FGF22 Antibody
-
中文名稱:FGF22兔多克隆抗體
-
貨號:CSB-PA077924
-
規格:¥1100
-
圖片:
-
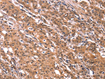
The image on the left is immunohistochemistry of paraffin-embedded Human gastic cancer tissue using CSB-PA077924(FGF22 Antibody) at dilution 1/20, on the right is treated with synthetic peptide. (Original magnification: ×200)
-
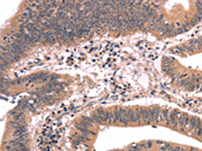
The image on the left is immunohistochemistry of paraffin-embedded Human colon cancer tissue using CSB-PA077924(FGF22 Antibody) at dilution 1/20, on the right is treated with synthetic peptide. (Original magnification: ×200)
-
-
其他:
產品詳情
-
Uniprot No.:
-
基因名:
-
別名:FGF 22 antibody; FGF-22 antibody; FGF22 antibody; FGF22_HUMAN antibody; Fibroblast growth factor 22 antibody
-
宿主:Rabbit
-
反應種屬:Human,Mouse
-
免疫原:Synthetic peptide of Human FGF22
-
免疫原種屬:Homo sapiens (Human)
-
標記方式:Non-conjugated
-
抗體亞型:IgG
-
純化方式:Antigen affinity purification
-
濃度:It differs from different batches. Please contact us to confirm it.
-
保存緩沖液:-20°C, pH7.4 PBS, 0.05% NaN3, 40% Glycerol
-
產品提供形式:Liquid
-
應用范圍:ELISA,IHC
-
推薦稀釋比:
Application Recommended Dilution ELISA 1:1000-1:2000 IHC 1:25-1:100 -
Protocols:
-
儲存條件:Upon receipt, store at -20°C or -80°C. Avoid repeated freeze.
-
貨期:Basically, we can dispatch the products out in 1-3 working days after receiving your orders. Delivery time maybe differs from different purchasing way or location, please kindly consult your local distributors for specific delivery time.
-
用途:For Research Use Only. Not for use in diagnostic or therapeutic procedures.
相關產品
靶點詳情
-
功能:Plays a role in the fasting response, glucose homeostasis, lipolysis and lipogenesis. Can stimulate cell proliferation (in vitro). May be involved in hair development.
-
基因功能參考文獻:
- This study showed that serum FGF22 levels in depressive patients were negatively correlated with serum IL-1beta levels. In animal and cell experiments, enhancing the levels of FGF22 in rat hippocampus was demonstrated to alleviate the chronic unpredictable mild stress-induced depression. The increase in FGF22 was found to be associated with reduced IL-1beta expression and hippocampal apoptosis. PMID: 28948716
-
亞細胞定位:Secreted.
-
蛋白家族:Heparin-binding growth factors family
-
數據庫鏈接:
Most popular with customers
-
-
YWHAB Recombinant Monoclonal Antibody
Applications: ELISA, WB, IHC, IF, FC
Species Reactivity: Human, Mouse, Rat
-
Phospho-YAP1 (S127) Recombinant Monoclonal Antibody
Applications: ELISA, WB, IHC
Species Reactivity: Human
-
-
-
-
-















