FFAR1 Antibody
-
中文名稱:FFAR1兔多克隆抗體
-
貨號:CSB-PA008604LA01HU
-
規格:¥440
-
圖片:
-
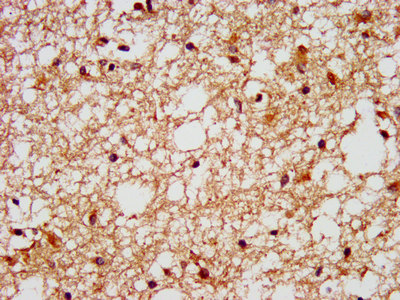
IHC image of CSB-PA008604LA01HU diluted at 1:400 and staining in paraffin-embedded human brain tissue performed on a Leica BondTM system. After dewaxing and hydration, antigen retrieval was mediated by high pressure in a citrate buffer (pH 6.0). Section was blocked with 10% normal goat serum 30min at RT. Then primary antibody (1% BSA) was incubated at 4°C overnight. The primary is detected by a biotinylated secondary antibody and visualized using an HRP conjugated SP system.
-
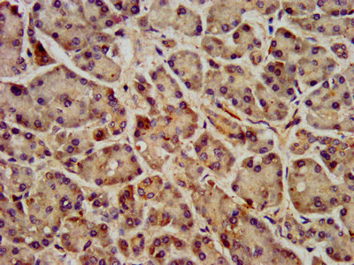
IHC image of CSB-PA008604LA01HU diluted at 1:400 and staining in paraffin-embedded human pancreatic tissue performed on a Leica BondTM system. After dewaxing and hydration, antigen retrieval was mediated by high pressure in a citrate buffer (pH 6.0). Section was blocked with 10% normal goat serum 30min at RT. Then primary antibody (1% BSA) was incubated at 4°C overnight. The primary is detected by a biotinylated secondary antibody and visualized using an HRP conjugated SP system.
-
Immunofluorescence staining of HepG2 cells with CSB-PA008604LA01HU at 1:133, counter-stained with DAPI. The cells were fixed in 4% formaldehyde, permeabilized using 0.2% Triton X-100 and blocked in 10% normal Goat Serum. The cells were then incubated with the antibody overnight at 4°C. The secondary antibody was Alexa Fluor 488-congugated AffiniPure Goat Anti-Rabbit IgG(H+L).
-
-
其他:
產品詳情
-
產品描述:
CUSABIO's product CSB-PA008604LA01HU is a polyclonal IgG antibody developed against the recombinant protein corresponding to the amino acids 143-178 of the human FFAR1. This FFAR1 antibody got purified by protein G, resulting in a purity exceeding 95%. It is recommended for the recognition and detection of human FFAR1 protein in ELISA, IHC, and IF applications.
The FFAR1 protein is involved in the fatty acid signaling pathway that can lead to the release of insulin from pancreatic beta cells, as well as the regulation of glucose and lipid metabolism in various tissues. FFAR1 has also been implicated in the regulation of appetite and energy expenditure, as well as inflammation, cell proliferation, and differentiation.
-
產品名稱:Rabbit anti-Homo sapiens (Human) FFAR1 Polyclonal antibody
-
Uniprot No.:
-
基因名:
-
別名:FFAR1; GPR40; Free fatty acid receptor 1; G-protein coupled receptor 40
-
宿主:Rabbit
-
反應種屬:Human
-
免疫原:Recombinant Human Free fatty acid receptor 1 protein (143-178AA)
-
免疫原種屬:Homo sapiens (Human)
-
標記方式:Non-conjugated
本頁面中的產品,FFAR1 Antibody (CSB-PA008604LA01HU),的標記方式是Non-conjugated。對于FFAR1 Antibody,我們還提供其他標記。見下表:
-
克隆類型:Polyclonal
-
抗體亞型:IgG
-
純化方式:>95%, Protein G purified
-
濃度:It differs from different batches. Please contact us to confirm it.
-
保存緩沖液:Preservative: 0.03% Proclin 300
Constituents: 50% Glycerol, 0.01M PBS, pH 7.4 -
產品提供形式:Liquid
-
應用范圍:ELISA, IHC, IF
-
推薦稀釋比:
Application Recommended Dilution IHC 1:200-1:500 IF 1:50-1:200 -
Protocols:
-
儲存條件:Upon receipt, store at -20°C or -80°C. Avoid repeated freeze.
-
貨期:Basically, we can dispatch the products out in 1-3 working days after receiving your orders. Delivery time maybe differs from different purchasing way or location, please kindly consult your local distributors for specific delivery time.
-
用途:For Research Use Only. Not for use in diagnostic or therapeutic procedures.
相關產品
靶點詳情
-
功能:G-protein coupled receptor for medium and long chain saturated and unsaturated fatty acids that plays an important role in glucose homeostasis. Fatty acid binding increases glucose-stimulated insulin secretion, and may also enhance the secretion of glucagon-like peptide 1 (GLP-1). May also play a role in bone homeostasis; receptor signaling activates pathways that inhibit osteoclast differentiation. Ligand binding leads to a conformation change that triggers signaling via G-proteins that activate phospholipase C, leading to an increase of the intracellular calcium concentration. Seems to act through a G(q) and G(i)-mediated pathway. Mediates the anti-inflammatory effects of omega-3 polyunsaturated fatty acids (PUFAs) via inhibition of NLRP3 inflammasome activation.
-
基因功能參考文獻:
- Study reports the 2.76-A crystal structure of human GPR40 complexed with compound 1 bound in a second structurally distinct allosteric site, located at the receptor side facing the membrane lipophilic environment. Binding of compound 1 stabilizes the intracellular loop 2 (ICL2) of GPR40 in a helical conformation. Mutagenesis studies in ICL2 shows that this loop is important for Gs alpha subunit coupling. PMID: 29695780
- Data indicate that 20-HETE and FFAR1 function together in a positive feedback loop to enhance glucose-stimulated insulin secretion (GSIS). PMID: 29330456
- Comparison with an additional 2.2-A structure of the human GPR40-MK-8666 binary complex reveals an induced-fit conformational coupling between the partial agonist and AgoPAM binding sites, involving rearrangements of the transmembrane helices 4 and 5 (TM4 and TM5) and transition of the intracellular loop 2 (ICL2) into a short helix. PMID: 28581512
- Results show that GPR40 negatively regulated the cell motile and invasive activities of HT1080 cells suggesting that GPR40 negatively regulates the tumor progression of fibrosarcoma cells. PMID: 26331585
- Brain free long-chain fatty acids-GPR40/FFA1 signaling might have an important role in the modulation of endogenous pain control systems. (review) PMID: 28154332
- It regulates insulin secretion in pancreatic beta-cells. (review) PMID: 26028412
- Data from molecular docking simulations suggest that the binding pocket of GPR40 exhibits binding of free fatty acids (FFA) with chain lengths of C15 or fewer; for FFA with lengths longer than C15, part of alkyl chain extends out of binding pocket. PMID: 26974599
- GPR120 negatively and GPR40 positively regulate cellular functions during tumor progression in lung cancer cells. PMID: 26968637
- These data demonstrate that R104 in GPR40 is critically involved in the normal receptor functions. Interestingly, R104P is a registered single-nucleotide polymorphism of GPR40. PMID: 26505901
- Characterizing pharmacological ligands to study the long-chain fatty acid receptors GPR40/FFA1 and GPR120/FFA4 PMID: 25131623
- results suggest that FFAR1 is the functionally dominant free fatty acid receptor in both human and guinea pig airway smooth muscle. PMID: 26342087
- upregulation of GPR40 expression enhances the mitogenic response to epoxyeicosatrienoic acids PMID: 25679385
- Palmitic acid boosted inflammatory response of microvascular endothelial cells to LPS via GPR40 and nSMase. PMID: 25795558
- knocking down the expression of the regulatory subunit PKAR1alpha, thereby reproducing the effects of IL-1beta and PGE on VSMCs, we demonstrated the contribution of PKA activity to the observed behavior of VSMCs PMID: 26408932
- These results suggest that distinct effects of GPR120 and GPR40 are involved in the acquisition of malignant property in pancreatic cancer cells. PMID: 26282200
- GPR40 functions via both G protein-mediated and beta-arrestin-mediated mechanisms; endogenous and synthetic ligands differentially engage these pathways to promote insulin secretion. PMID: 26157145
- GPR40 and PPARgamma can function as an integrated two-receptor signal transduction pathway, a finding with implications for rational antidiabetic drug development. PMID: 26105050
- the activation of GPR40 attenuates cisplatin-induced apoptosis. PMID: 25092426
- arrestin-3 and GRK2 play an essential role in the regulation of agonist-mediated GPR40 internalization, but are not involved in the regulation of constitutive GPR40 internalization. PMID: 25038452
- In a neuroblastoma cell line, GPR40 was activated by docosahexaenoic acid and selective agonists, yet not by palmitic acid. Its activation provoked the phosphorylation of CREB. PMID: 24550142
- the crystal structure of hGPR40 receptor bound to TAK-875 at 2.3 A resolution PMID: 25043059
- Potent free fatty acid 1 receptor agonist TUG-469 may be promising candidate for the treatment of type 2 diabetes mellitus. PMID: 23861168
- It was concluded that FFAR1 in the pancreatic beta-cell plays a substantial role not only in acute potentiation of insulin secretion by palmitate but also in the negative long-term effects of palmitate on insulin metabolism. PMID: 24035997
- FFAR1 agonists support beta-cell function, but variation in FFAR1 influences NEFA effects on insulin secretion and therefore could affect therapeutic efficacy of FFAR1 agonists. PMID: 23378609
- A review of the physiological role of GPR40 and potential antidiabetic drugs targeting GPR40. [Review] PMID: 23023155
- Propionate-stimulated GPR41 strongly coupled to ERK1/2 activation, while the coupling of linoleic acid-activated GPR40 and acetate-activated GPR43 was weaker. PMID: 22712802
- GPR41 gene expression is mediated by internal ribosome entry site (IRES)-dependent translation of bicistronic mRNA encoding GPR40 and GPR41 proteins PMID: 22493486
- Phytanic acid and pristanic acid activate the free fatty acid receptor GPR40, a G-protein-coupled receptor which is involved in the Ca2+ signaling of fatty acids. PMID: 21570468
- GPR40/FFA1 influences both insulin and glucagon secretion in rat islets, but only insulin secretion in human islets. PMID: 22106100
- differences in body composition and lipids associated with common SNPs in the FFAR1 gene PMID: 21552566
- Results describe agonist-receptor interactions of GPR40 using molecular dynamics simulations. PMID: 20227312
- results show expression of GPR40 in pancreatic islets which are regulated by FFA; finding that T2DM islets have lower GPR40 expression & correlation with insulin secretion raises possibility of involvement of GPR40 in diabetes beta-cell dysfunction PMID: 19758793
- Free fatty acids regulate insulin secretion from pancreatic beta cells through GPR40 PMID: 12629551
- Results suggest that GPR40 is implicated in the control of breast cancer cell growth by fatty acids and that GPR40 may provide a link between fat and cancer. PMID: 15695516
- results suggest that the Arg211His polymorphism in the GPR40 protein gene may contribute to the variation of insulin secretory capacity in Japanese men PMID: 15736105
- study provides evidence for GPR40 gene expression in pancreatic beta cells and implicates GPR40 in insulin secretion in humans. PMID: 16525841
- GPR40 responded to fatty acids with different on-rates, and could be occupied by endogenous agonists before assay, masking the pharmacology of the receptor PMID: 17200419
- cell-specific expression of the GPR40 gene involves a characteristic chromatin organization of the locus and is controlled at the transcriptional level through HR2, a potent beta cell-specific enhancer PMID: 17525159
- analysis of residues important for agonist recognition and activation in GPR40 PMID: 17699519
- Variation in the FFAR1 gene may contribute to impaired beta cell function in type 2 diabetes PMID: 17987108
- This newly identified GPR40 variant results in a loss of function that prevents the beta-cell ability to adequately sense lipids as an insulin secretory stimulus because of impaired intracellular Ca2+ concentration increase. PMID: 18583466
- A flow cytometry-based binding assay for FFAR1 is reported. PMID: 18927207
- In this review, the mechanism of receptor activation, pharmacology, and the physiological functions of the fatty acid binding receptors GPR40, GPR41, GPR43, and GPR119 are discussed. PMID: 19009545
- Two arginine-glutamate ionic locks near the extracellular surface of FFAR1 gate receptor activation. PMID: 19068482
- Transfection of GPR40 into mice may provide a novel insulin secretagogue beneficial for the treatment of type 2 diabetes. PMID: 19401434
- This paper predicts the 5' structure of the human GP40 gene based on alignments between mouse and human genomic DNA. PMID: 17525159
顯示更多
收起更多
-
亞細胞定位:Cell membrane; Multi-pass membrane protein.
-
蛋白家族:G-protein coupled receptor 1 family
-
組織特異性:Detected in brain and pancreas. Detected in pancreatic beta cells.
-
數據庫鏈接:
Most popular with customers
-
-
YWHAB Recombinant Monoclonal Antibody
Applications: ELISA, WB, IHC, IF, FC
Species Reactivity: Human, Mouse, Rat
-
Phospho-YAP1 (S127) Recombinant Monoclonal Antibody
Applications: ELISA, WB, IHC
Species Reactivity: Human
-
-
-
-
-















