FDCSP Antibody
-
中文名稱:FDCSP兔多克隆抗體
-
貨號:CSB-PA051790
-
規格:¥1100
-
圖片:
-
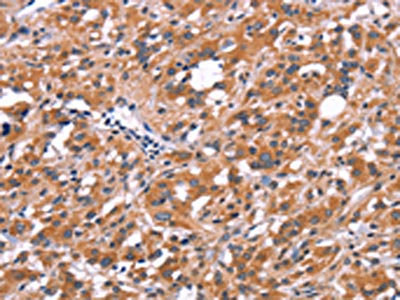
The image on the left is immunohistochemistry of paraffin-embedded Human gastic cancer tissue using CSB-PA051790(FDCSP Antibody) at dilution 1/25, on the right is treated with synthetic peptide. (Original magnification: ×200)
-
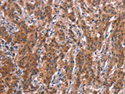
The image on the left is immunohistochemistry of paraffin-embedded Human thyroid cancer tissue using CSB-PA051790(FDCSP Antibody) at dilution 1/25, on the right is treated with synthetic peptide. (Original magnification: ×200)
-
-
其他:
產品詳情
-
Uniprot No.:
-
基因名:FDCSP
-
別名:C4orf7 antibody; FDC secreted protein antibody; FDC-SP antibody; FDCSP antibody; FDSCP_HUMAN antibody; Follicular dendritic cell secreted peptide antibody; Follicular dendritic cell secreted protein antibody
-
宿主:Rabbit
-
反應種屬:Human
-
免疫原:Synthetic peptide of Human FDCSP
-
免疫原種屬:Homo sapiens (Human)
-
標記方式:Non-conjugated
-
抗體亞型:IgG
-
純化方式:Antigen affinity purification
-
濃度:It differs from different batches. Please contact us to confirm it.
-
保存緩沖液:-20°C, pH7.4 PBS, 0.05% NaN3, 40% Glycerol
-
產品提供形式:Liquid
-
應用范圍:ELISA,IHC
-
推薦稀釋比:
Application Recommended Dilution ELISA 1:1000-1:2000 IHC 1:25-1:100 -
Protocols:
-
儲存條件:Upon receipt, store at -20°C or -80°C. Avoid repeated freeze.
-
貨期:Basically, we can dispatch the products out in 1-3 working days after receiving your orders. Delivery time maybe differs from different purchasing way or location, please kindly consult your local distributors for specific delivery time.
-
用途:For Research Use Only. Not for use in diagnostic or therapeutic procedures.
相關產品
靶點詳情
-
功能:Can bind to the surface of B-lymphoma cells, but not T-lymphoma cells, consistent with a function as a secreted mediator acting upon B-cells.
-
基因功能參考文獻:
- These studies show that TNF-alpha stimulates human FDC-SP gene transcription by targeting YY1, GATA, C/EBP2 and C/EBP3 in the FDC-SP gene promoter. PMID: 29356241
- LPS-induced upregulation of FDC-SP expression in human periodontal ligament cells may enhance osteoclastogenesis in periodontal disease. PMID: 26577469
- FDC-SP may be involved in IgA production in the tonsils of Immunoglobulin A nephropathy patients. PMID: 25953661
- FDC-SP overexpression inhibits osteogenic differentiation of hPDLCs. study contributes to a better understanding of biological functions governing FDC-SP-induced hPDLC differentiation. PMID: 24138099
- Our findings demonstrate that transfection with FDC-SP has negligible adverse effect on proliferation of hPDLCs and imply the biological function of FDC-SP as a fibroblastic phenotype stabilizer PMID: 24357406
- The role of C4orf7 in ovarian cancer cell morphology, motility and invasion was demonstrated. PMID: 20811673
- FDC-SP has a very restricted tissue distribution, expressed by activated FDCs from tonsils and TNF-alpha-activated FDC-like cell lines, but not by B cell lines, primary germinal center B cells, or anti-CD40 plus IL-4-activated B cells. PMID: 12193705
- Since only normal tissue was examined, these findings suggest that FDC-SP plays an important but previously unsuspected role within oral connective tissue. PMID: 16259954
- These results provide the first evidence for immunomodulatory activities of FDC-SP and implicate this molecule as a regulator of B cell responses. PMID: 17548624
顯示更多
收起更多
-
亞細胞定位:Secreted.
-
組織特異性:Abundantly expressed in tonsil, lymph node, and trachea; strong expression in prostate; lower expression in thyroid, stomach, and colon.
-
數據庫鏈接:
Most popular with customers
-
-
YWHAB Recombinant Monoclonal Antibody
Applications: ELISA, WB, IHC, IF, FC
Species Reactivity: Human, Mouse, Rat
-
Phospho-YAP1 (S127) Recombinant Monoclonal Antibody
Applications: ELISA, WB, IHC
Species Reactivity: Human
-
-
-
-
-















