FAAH2 Antibody
-
中文名稱:FAAH2兔多克隆抗體
-
貨號:CSB-PA969975
-
規格:¥1100
-
圖片:
-
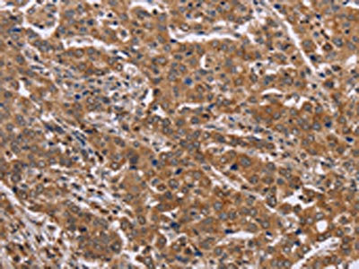
The image on the left is immunohistochemistry of paraffin-embedded Human liver cancer tissue using CSB-PA969975(FAAH2 Antibody) at dilution 1/30, on the right is treated with fusion protein. (Original magnification: ×200)
-
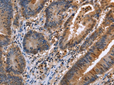
The image on the left is immunohistochemistry of paraffin-embedded Human colon cancer tissue using CSB-PA969975(FAAH2 Antibody) at dilution 1/30, on the right is treated with fusion protein. (Original magnification: ×200)
-
-
其他:
產品詳情
-
Uniprot No.:
-
基因名:FAAH2
-
別名:FAAH2; AMDD; Fatty-acid amide hydrolase 2; Amidase domain-containing protein; Anandamide amidohydrolase 2; Oleamide hydrolase 2
-
宿主:Rabbit
-
反應種屬:Human
-
免疫原:Fusion protein of Human FAAH2
-
免疫原種屬:Homo sapiens (Human)
-
標記方式:Non-conjugated
-
抗體亞型:IgG
-
純化方式:Antigen affinity purification
-
濃度:It differs from different batches. Please contact us to confirm it.
-
保存緩沖液:-20°C, pH7.4 PBS, 0.05% NaN3, 40% Glycerol
-
產品提供形式:Liquid
-
應用范圍:ELISA,IHC
-
推薦稀釋比:
Application Recommended Dilution ELISA 1:2000-1:5000 IHC 1:50-1:200 -
Protocols:
-
儲存條件:Upon receipt, store at -20°C or -80°C. Avoid repeated freeze.
-
貨期:Basically, we can dispatch the products out in 1-3 working days after receiving your orders. Delivery time maybe differs from different purchasing way or location, please kindly consult your local distributors for specific delivery time.
-
用途:For Research Use Only. Not for use in diagnostic or therapeutic procedures.
相關產品
靶點詳情
-
功能:Catalyzes the hydrolysis of endogenous amidated lipids like the sleep-inducing lipid oleamide ((9Z)-octadecenamide), the endocannabinoid anandamide (N-(5Z,8Z,11Z,14Z-eicosatetraenoyl)-ethanolamine), as well as other fatty amides, to their corresponding fatty acids, thereby regulating the signaling functions of these molecules. Hydrolyzes monounsaturated substrate anandamide preferentially as compared to polyunsaturated substrates.
-
基因功能參考文獻:
- A male patient with neuropsychiatric disorders attributed to a FAAH2 missense mutation is described. PMID: 25885783
- results establish FAAH-2 as a bone fide N-acylethanolamine-catabolizing enzyme and suggest that inactivation is spatially separated in cells of higher mammals PMID: 19926788
- FAAH2 is the second membrane-associated AS enzyme in humans that displays FAAH activity PMID: 17015445
- Biochemical and biological properties of 4-(3-phenyl-[1,2,4] thiadiazol-5-yl)-piperazine-1-carboxylic acid phenylamide, a mechanism-based inhibitor of fatty acid amide hydrolase. PMID: 19095868
-
亞細胞定位:Membrane; Single-pass membrane protein. Lipid droplet.
-
蛋白家族:Amidase family
-
組織特異性:Expressed in kidney, liver, lung, prostate, heart and ovary.
-
數據庫鏈接:
Most popular with customers
-
-
YWHAB Recombinant Monoclonal Antibody
Applications: ELISA, WB, IHC, IF, FC
Species Reactivity: Human, Mouse, Rat
-
Phospho-YAP1 (S127) Recombinant Monoclonal Antibody
Applications: ELISA, WB, IHC
Species Reactivity: Human
-
-
-
-
-















