F2RL2 Antibody
-
中文名稱:F2RL2兔多克隆抗體
-
貨號:CSB-PA572574
-
規格:¥1100
-
圖片:
-
The image on the left is immunohistochemistry of paraffin-embedded Human prostate cancer tissue using CSB-PA572574(F2RL2 Antibody) at dilution 1/30, on the right is treated with synthetic peptide. (Original magnification: ×200)
-
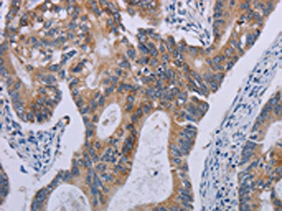
The image on the left is immunohistochemistry of paraffin-embedded Human colon cancer tissue using CSB-PA572574(F2RL2 Antibody) at dilution 1/30, on the right is treated with synthetic peptide. (Original magnification: ×200)
-
-
其他:
產品詳情
-
Uniprot No.:
-
基因名:
-
別名:F2RL2; PAR3; Proteinase-activated receptor 3; PAR-3; Coagulation factor II receptor-like 2; Thrombin receptor-like 2
-
宿主:Rabbit
-
反應種屬:Human
-
免疫原:Synthetic peptide of Human F2RL2
-
免疫原種屬:Homo sapiens (Human)
-
標記方式:Non-conjugated
-
抗體亞型:IgG
-
純化方式:Antigen affinity purification
-
濃度:It differs from different batches. Please contact us to confirm it.
-
保存緩沖液:-20°C, pH7.4 PBS, 0.05% NaN3, 40% Glycerol
-
產品提供形式:Liquid
-
應用范圍:ELISA,IHC
-
推薦稀釋比:
Application Recommended Dilution ELISA 1:1000-1:2000 IHC 1:25-1:100 -
Protocols:
-
儲存條件:Upon receipt, store at -20°C or -80°C. Avoid repeated freeze.
-
貨期:Basically, we can dispatch the products out in 1-3 working days after receiving your orders. Delivery time maybe differs from different purchasing way or location, please kindly consult your local distributors for specific delivery time.
-
用途:For Research Use Only. Not for use in diagnostic or therapeutic procedures.
相關產品
靶點詳情
-
功能:Receptor for activated thrombin coupled to G proteins that stimulate phosphoinositide hydrolysis.
-
基因功能參考文獻:
- PAR3 is essential in thrombin stimulated insulin secretion. PMID: 26742564
- TFRGAP, a PAR-3 mimicking peptide significantly induced the phosphorylation of eNOS-Thr-495 with minimal phosphorylation of eNOS-Ser-1177 with no change in nitric oxide production. PMID: 26729042
- These data provide intriguing novel insights into the diversification of functional selectivity of protease signaling achievable by canonical and noncanonical PAR activation, such as the activation of vascular-protective Tie2 by noncanonical PAR3 activation. PMID: 25320242
- In pancreatic adenocarcinoma cells, PAR3 knockdown enhances cell adhesion. We propose this is due to increased expression of E-cadherin, leading to a greater adhesion of free-floating cells to cells bound to the surface via integrins, particularly ITGalphav. PMID: 24699825
- Elevated expression of PAR-3, but not PAR-4, was detected in the lungs of idiopathic pulmonary fibrosis patients. PMID: 23739922
- A unique contributory role for PAR3 in the complex mechanisms underlying Activated protein C cytoprotective effects. PMID: 23788139
- PAR-3 receptors interact with thrombin and increase heme oxygenase-1 expression in synovial fibroblasts. PMID: 22541814
- Human PAR-3 is regulated post-transcriptionally via the mRNA-stabilizing factor HuR, whereas transcriptional control involves nuclear factor of activated T cells (NFAT). PMID: 21596928
- FXa bound in a punctate manner to thrombi under shear, while thrombin and fibrin(ogen) distributed ubiquitously over platelet-fibrin thrombi PMID: 20454680
- genetic polymorphism is associated with peripheral arterial disease severity PMID: 20390230
- A novel role is identified for PAR3 in thrombin signaling. PMID: 20442298
- Down-regulation of connexin and par-3 signals early anaplasia and malignant change in rectal cancer. PMID: 19513616
- upregulated thrombin generation and inhibition of fibrinolysis, occurred in one-third of the Stem cell transplant patients associating with the development of Graft versus host disease PMID: 19718071
- Lower plasma levels of thrombin-antithrombin complex correlate to higher recanalisation rates after ischaemic stroke PMID: 19806263
- PAR-3 is expressed in human SMC and triggers intracellular calcium signaling. PMID: 14515192
- expression of PAR3 mRNA and protein in cells undergoing megakaryocytic maturation suggests a developmental role for PAR3; regulation of PAR3 expression appears to be specifically coupled to the protein kinase C system. PMID: 15504554
- a Na-independent Cl-/HCO3- exchange mechanism mediates the recovery of pHi from alkalosis in platelets and that thrombin activates this exchanger by a direct regulatory pathway PMID: 15850610
- The changes in levels of blood coagulation factor ii in folic acid deficient rats are reversed by treatment with folic acid. PMID: 16046705
- F2R genetic variants may influence the natural history of CHD in patients at high risk of cardiovascular events. PMID: 17347481
- PAR-3 is able to signal autonomously to induce IL-8 release mediated by ERK1/2 phosphorylation, which contributes actively to inflammatory responses PMID: 18264801
- Thrombin-mediated increases in cytosolic [Ca2+] involve different mechanisms in human pulmonary artery smooth muscle and endothelial cells. PMID: 18836030
- This study demonstrates that the anticoagulant profile of thrombin often caused by a mutation of the thrombin scaffold finds its likely molecular origin in the stabilization of the inactive E* form. PMID: 19473969
- Mechanism of the anticoagulant activity of thrombin mutant W215A/E217A. PMID: 19586901
顯示更多
收起更多
-
亞細胞定位:Cell membrane; Multi-pass membrane protein.
-
蛋白家族:G-protein coupled receptor 1 family
-
組織特異性:Highest expression in the megakaryocytes of the bone marrow, lower in mature megakaryocytes, in platelets and in a variety of other tissues such as heart and gut.
-
數據庫鏈接:
Most popular with customers
-
-
YWHAB Recombinant Monoclonal Antibody
Applications: ELISA, WB, IHC, IF, FC
Species Reactivity: Human, Mouse, Rat
-
Phospho-YAP1 (S127) Recombinant Monoclonal Antibody
Applications: ELISA, WB, IHC
Species Reactivity: Human
-
-
-
-
-















