ESM1 Antibody
-
中文名稱:ESM1兔多克隆抗體
-
貨號:CSB-PA007825HA01HU
-
規格:¥440
-
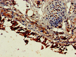
圖片:
-
其他:
產品詳情
-
產品描述:
The ESM1 polyclonal antibody is raised in the rabbit against a recombinant protein mapping within 20-184 amino acids of human EMS1 protein. This ESM1 antibody is available as the unconjugated IgG isoform. It only reacts with human EMS1 protein. The purity of the ESM1 polyclonal antibody is over 95% using protein G purified. Its specificity for human EMS1 protein has been verified with ELISA and IHC applications.
Its target protein ESM1 mainly promotes angiogenesis by binding to integrin αvβ3, thus stimulating endothelial cell proliferation and migration, which are necessary for the formation of new blood vessels. In addition to its role in angiogenesis, ESM1 also plays a role in inflammation. It is induced by pro-inflammatory cytokines such as TNF-α and IL-1β and is involved in the regulation of leukocyte recruitment and adhesion to endothelial cells. ESMI protein is frequently overexpressed in many cancer types.
-
產品名稱:Rabbit anti-Homo sapiens (Human) ESM1 Polyclonal antibody
-
Uniprot No.:
-
基因名:
-
別名:Endocan antibody; Endothelial cell specific molecule 1 antibody; Endothelial cell-specific molecule 1 antibody; ESM 1 antibody; ESM 1 secretory protein antibody; ESM-1 antibody; Esm1 antibody; ESM1 secretory protein antibody; ESM1_HUMAN antibody
-
宿主:Rabbit
-
反應種屬:Human
-
免疫原:Recombinant Human Endothelial cell-specific molecule 1 protein (20-184AA)
-
免疫原種屬:Homo sapiens (Human)
-
標記方式:Non-conjugated
本頁面中的產品,ESM1 Antibody (CSB-PA007825HA01HU),的標記方式是Non-conjugated。對于ESM1 Antibody,我們還提供其他標記。見下表:
-
克隆類型:Polyclonal
-
抗體亞型:IgG
-
純化方式:>95%, Protein G purified
-
濃度:It differs from different batches. Please contact us to confirm it.
-
保存緩沖液:Preservative: 0.03% Proclin 300
Constituents: 50% Glycerol, 0.01M PBS, pH 7.4 -
產品提供形式:Liquid
-
應用范圍:ELISA, IHC
-
推薦稀釋比:
Application Recommended Dilution IHC 1:20-1:200 -
Protocols:
-
儲存條件:Upon receipt, store at -20°C or -80°C. Avoid repeated freeze.
-
貨期:Basically, we can dispatch the products out in 1-3 working days after receiving your orders. Delivery time maybe differs from different purchasing way or location, please kindly consult your local distributors for specific delivery time.
-
用途:For Research Use Only. Not for use in diagnostic or therapeutic procedures.
相關產品
靶點詳情
-
功能:Involved in angiogenesis; promotes angiogenic sprouting. May have potent implications in lung endothelial cell-leukocyte interactions.
-
基因功能參考文獻:
- Results show that aerum ESM-1 levels were significantly higher in the idiopathic sudden sensorineural hearing loss group than the control group which may confirm endothelial dysfunction involvement. PMID: 30370871
- suggest that measurement of endocan level may help clinicians to predict the development of coronary collateral circulation in patients with stable coronary artery disease PMID: 28393589
- suggest that serum ESM-1 level may be a novel endothelial dysfunction biomarker PMID: 26927690
- Plasma ESM-1 levels are decreased during pregnancy and increased in early- and late-onset preeclampsia. The source of ESM-1 is probably not the placenta, but most likely maternal endothelial cells. PMID: 29674200
- Serial endocan concentration meets the major requirements for predicting outcome in patients with severe sepsis. An assay of endocan concentration may be a good prognostic biomarker in the clinic for severe sepsis. PMID: 29750963
- The cutoff serum level of endocan predicting AD was >288.94 ng/mL in receiver operating characteristic curve analysis PMID: 29393258
- A strong negative correlation was found between serum endocan levels and peak systolic velocity in men with severe erectile dysfunction. PMID: 29057489
- Results show the endocan level in peripheral blood significantly elevated in patients newly diagnosed with multiple myeloma (MM), and associated with myeloma-specific clinical parameters. PMID: 30194153
- The correlation between the secretion of endocan and that of IL-6 by endothelial cells suggests that endocan can be used as a predictive marker of inflammation for the quality assessment of transfusion grade PLTs PMID: 29238987
- Serum ESM-1 levels correlate with stress hyperglycemia in patients with STEMI and are associated with short-term prognosis. PMID: 26685180
- Endocan could be a common predictor of the endothelium-dependent inflammatory processes, rather than related with specific risk factors in coronary artery disease and microvascular angina. PMID: 26744512
- Endocan is an inflammatory marker released by the endothelium and is associated with endothelial dysfunction and atherosclerosis in patients with systemic lupus erythematosus. PMID: 26614790
- Endocan levels are higher in patients with large-artery atherosclerotic stroke and can help in predicting the short-term unfavourable outcome. PMID: 29287901
- elevated expression on epidermal keratinocytes and dermal endothelial cells in lesional skin of atopic dermatitis; decreased expression in atopic dermatitis sera PMID: 28714079
- Plasma ESM-1 is a novel biomarker for predicting the T status in OSCC patients. PMID: 29104463
- ESM1 expression correlates with Gleason grade/score and with androgen receptor expression in prostate carcinoma tissue, so ESM1 should also be considered as a biomarker for diagnosis of prostate cancer. PMID: 29104483
- Demonstrate an increased Endocan serum level in NAFLD patients, higher in those with type 2 diabetes mellitus and/or NASH because of an endothelial dysfunction in these pathologies. PMID: 28922438
- Studied serum endocan levels in endometrial and ovarian cancer. Serum endocan levels were significantly higher in the entire patient group than in the controls. PMID: 27734523
- This study showed that ESM-1 level in pleural effusion could be a potential diagnostic and prognostic marker in NSCLC patients with MPE. PMID: 28514746
- Severe erectile dysfunction was associated with higher serum endocan levels than less severe erectile dysfunction or healthy controls. PMID: 28424502
- Serum endocan levels >/= 2.05 ng/ml had a sensitivity of 76.1% and specificity of 85% for the diagnosis of bacterial infection in decompensated cirrhotic patients. The endocan measured at admission is a good clinical parameter predicting the occurrence of infection in these patients. Elevated endocan may reflect the degree of endothelial cell injury by a systemic inflammatory response. PMID: 28614777
- study showed that higher endocan levels were significantly and independently related to the presence of slow coronary flow. PMID: 26607436
- The results suggest that endocan may have a role in the pathogenesis of pterygium. PMID: 28410547
- Endocan expression is increased in the human placenta from obese women with gestational diabetes, and in response to pro-inflammatory stimuli. Loss-of-function studies in villous trophoblast cells and HUVECs revealed that endocan is not directly involved in the genesis or in the expression of pro-inflammatory cytokines induced by LPS or IL-1beta. PMID: 27871471
- Systemic inflammation may be responsible for the rise in endocan levels following cardiopulmonary bypass. PMID: 26999704
- Endocan expression was correlated with poor clinical outcomes in patients with Pancreatic Neuroendocrine Tumors . The results indicated that endocan expression may be a reliable marker for predicting tumor recurrence in patients with PNETs. PMID: 29019897
- glomerular-derived Esm-1 as a potential non-invasive biomarker of diabetic nephropathy PMID: 28934365
- Physical activity increases circulating endocan level. PMID: 28056805
- These findings provide the first evidence that the imbalance of MMP-9/TIMP-1, is one of the regulation mechanisms by which ESM1 promotes tumorigenicity and metastasis of prostate cancer cells. PMID: 28108731
- These results are consistent with the view that endocan measured in ICU patients is intact, stable, and accurate. Then, the low endocan level observed in ICU patients who developed acute respiratory distress syndrome is likely to be reliable. PMID: 28427918
- Dopamine agonist resistance-related ESM1 promotes the angiogenesis and tumor cells growth of prolactinomas, suggesting that ESM1 may be a novel therapeutic target for prolactinomas. PMID: 26662185
- These results suggest human cytomegalovirus infection leads to glioma progression through an upregulation of endocan and the secretion of inflammatory cytokines. PMID: 27474433
- Endocan-expressing microvessel density significantly correlates with the expression of VEGF and VEGFR2 and is a valuable prognostic factor for survival in human gastric cancer. PMID: 27340359
- Circulating P-selectin levels were closely associated with endocan levels in obese children and adolescents with non-alcoholic fatty liver disease. PMID: 28318371
- this study shows that endocan may play an important role in the development of connective tissue disease related pulmonary arterial hypertension PMID: 27912147
- The distribution of Gleason score and biochemical failure rate were significantly higher in patients with serum endocan >/=1.8 ng/mL (p = 0.031 and p = 0.047). PMID: 27470607
- endocan plays an anti-carcinogenic role in gastric cancer development and progression and might serve as a prognostic biomarker as well as a potential therapeutic target for gastric cancer. PMID: 27644250
- High ESM1 expression is associated with Meningiomas and Gliomas. PMID: 27528791
- Serum and urinary endocan concentrations are significantly elevated in patients with bladder cancer. PMID: 26748103
- Subclinical hypothyroidism is associated with increased levels of serum endocan, dimethylarginine, and TGF-beta, which are new markers for endothelial dysfunction. PMID: 27993872
- The levels of ESM1, CLDN5, IL-1beta, IL-6, and TNF-alpha were significantly higher in the migraine attack group than in the control group PMID: 27010153
- Results found that serum endocan levels were significantly lower in Alzheimer's disease (AD) patients with depression than in AD patients without depression or healthy controls suggesting that serum endocan levels might be associated with depression in AD. PMID: 26924874
- serum levels of endocan, a new biomarker of endothelial dysfunction, increase in obstructive sleep apnea subjects. PMID: 26808694
- Endocan may play a role in the progression of pregnancy and has a potential to be a new marker for the detection of pre-eclampsia PMID: 26823798
- Serum endocan concentrations were significantly elevated in women with pre-eclampsia versus normotensive controls, and concentrations seem to be associated with the severity of the disease. PMID: 26418319
- Suggest that serum endocan concentrations are elevated in patients with type 2 diabetes and decrease following anti-hyperglycemic treatment. PMID: 25969567
- Median maternal plasma endocan concentrations were higher in preeclampsia and lower in acute pyelonephritis with bacteremia than in uncomplicated pregnancy. PMID: 25211383
- Elevated endocan levels were more strongly associated with disease severity among Johnson Syndrome, Toxic Epidermal Necrolysis subjects than among less severe allergic reactions with skin involvement. PMID: 25394955
- Detection of ESM-1 levels in the serum may serve as a tumor biomarker for assessing prognosis in colorectal cancer. PMID: 26125749
- Serum endocan level is independently correlated with the presence and severity of coronary artery disease in hypertension patients. PMID: 26200037
顯示更多
收起更多
-
亞細胞定位:Secreted.
-
組織特異性:Expressed in lung, on the vascular capillary network within alveolar walls, and also at lower level in kidney.
-
數據庫鏈接:
Most popular with customers
-
-
YWHAB Recombinant Monoclonal Antibody
Applications: ELISA, WB, IHC, IF, FC
Species Reactivity: Human, Mouse, Rat
-
Phospho-YAP1 (S127) Recombinant Monoclonal Antibody
Applications: ELISA, WB, IHC
Species Reactivity: Human
-
-
-
-
-















