ERBB3 Antibody
-
中文名稱:ERBB3兔多克隆抗體
-
貨號:CSB-PA578770
-
規格:¥1100
-
圖片:
-
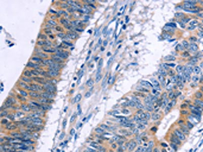
The image on the left is immunohistochemistry of paraffin-embedded Human colon cancer tissue using CSB-PA578770(ERBB3 Antibody) at dilution 1/20, on the right is treated with fusion protein. (Original magnification: ×200)
-
The image on the left is immunohistochemistry of paraffin-embedded Human breast cancer tissue using CSB-PA578770(ERBB3 Antibody) at dilution 1/20, on the right is treated with fusion protein. (Original magnification: ×200)
-
-
其他:
產品詳情
-
Uniprot No.:
-
基因名:
-
別名:c erbB 3 antibody; c erbB3 antibody; Erb b2 receptor tyrosine kinase 3 antibody; ErbB 3 antibody; ERBB3 antibody; ERBB3 protein antibody; erbB3 S antibody; ERBB3_HUMAN antibody; Glial growth factor receptor antibody; HER 3 antibody; HER3 antibody; Human epidermal growth factor receptor 3 antibody; LCCS2 antibody; MDA BF 1 antibody; MGC88033 antibody; p180 ErbB3 antibody; p45 sErbB3 antibody; p85 sErbB3 antibody; proto-oncogene-like protein c ErbB 3 antibody; proto-oncogene-like protein c ErbB3 antibody; Proto-oncogene-like protein c-ErbB-3 antibody; Receptor tyrosine protein kinase erbB 3 antibody; Receptor tyrosine protein kinase erbB3 antibody; Receptor tyrosine-protein kinase erbB-3 antibody; Tyrosine kinase type cell surface receptor HER3 antibody; Tyrosine kinase-type cell surface receptor HER3 antibody; v erb b2 avian erythroblastic leukemia viral oncogene homolog 3 antibody; v erb b2 erythroblastic leukemia viral oncogene homolog 3 (avian) antibody; v erb b2 erythroblastic leukemia viral oncogene homolog 3 antibody
-
宿主:Rabbit
-
反應種屬:Human,Mouse,Rat
-
免疫原:Fusion protein of Human ERBB3
-
免疫原種屬:Homo sapiens (Human)
-
標記方式:Non-conjugated
-
抗體亞型:IgG
-
純化方式:Antigen affinity purification
-
濃度:It differs from different batches. Please contact us to confirm it.
-
保存緩沖液:-20°C, pH7.4 PBS, 0.05% NaN3, 40% Glycerol
-
產品提供形式:Liquid
-
應用范圍:ELISA,IHC
-
推薦稀釋比:
Application Recommended Dilution ELISA 1:1000-1:5000 IHC 1:25-1:100 -
Protocols:
-
儲存條件:Upon receipt, store at -20°C or -80°C. Avoid repeated freeze.
-
貨期:Basically, we can dispatch the products out in 1-3 working days after receiving your orders. Delivery time maybe differs from different purchasing way or location, please kindly consult your local distributors for specific delivery time.
-
用途:For Research Use Only. Not for use in diagnostic or therapeutic procedures.
相關產品
靶點詳情
-
功能:Tyrosine-protein kinase that plays an essential role as cell surface receptor for neuregulins. Binds to neuregulin-1 (NRG1) and is activated by it; ligand-binding increases phosphorylation on tyrosine residues and promotes its association with the p85 subunit of phosphatidylinositol 3-kinase. May also be activated by CSPG5. Involved in the regulation of myeloid cell differentiation.
-
基因功能參考文獻:
- ERBB3 mutations can be found in a wide variety of tumour types, and can be used to select treatment with HER family inhibitors. PMID: 29413684
- identified P2RX2, KCNQ5, ERBB3 and SOCS3 to be associated with the progression of age-related hearing impairment PMID: 29325454
- Results demonstrate that 4-PBA promotes gastric cancer cells migration through upregulation of HER3/HER4 subsequent to increased levels of acetyl-histone and activation of ERK signaling. PMID: 28851073
- miR152 was found to be involved in the proliferation and metastasis of ovarian cancer cells through repression of ERBB3 expression. PMID: 29286064
- This phase Ib study was designed to determine the MTD, safety, preliminary efficacy, and pharmacokinetics of the HER3 (ErbB3) mAb SAR256212 in combination with the oral PI3K inhibitor SAR245408 for patients with metastatic or locally advanced solid tumors. PMID: 28031425
- To determine additional resistance mechanisms to cetuximab treatment besides HER3 signaling. PMID: 28910149
- Study shows ErbB3 expression was markedly decreased in suicide completers compared to controls. PMID: 28675388
- EGFR expression is increased in oesophageal and gastric adenocarcinomas after neoadjuvant therapy and was significantly associated with a prolonged overall survival in univariable analysis. PMID: 29138285
- Using time-resolved-fluorescence energy transfer (TR-FRET), we demonstrated that in the presence of recombinant NRG1, binding of 9F7-F11 to HER3 is increased, whereas that of ligand-competing anti-HER3 antibodies (H4B-121, U3-1287, Ab#6, Mab205.10.2, and MOR09825) is decreased. PMID: 28507002
- This study uncovers a direct relationship between HPV infection and HER3 in head and neck squamous cell carcinomas and provides a rationale for the clinical evaluation of targeted HER3 therapy for the treatment of HPV(+) patients. PMID: 27986750
- Cetuximab treatment induced HER3 activation and HER2/HER3 dimerization in head and neck squamous cell carcinoma cell lines. Cetuximab induces HER3 expression and activation in HNSCC cell lines. Upregulation of HER3 by cetuximab is one mechanism underlying resistance to EGFR inhibition in HNSCC. PMID: 27358485
- High HER3 expression is associated with breast cancer. PMID: 27582551
- hematopoietic expression of ERBB3 appears to be highest in bone marrow common myeloid and megakaryocyte-erythrocyte progenitors. Identified ERBB3 as a candidate gene for predisposition to erythroid MDS/AML PMID: 27416908
- High LINC00052 levels predict activation of HER3-mediated signaling, promoting breast cancer growth. PMID: 28036286
- we show that ErbB3 interacts with the ESCRT-0 subunit Hrs both in the presence and absence of heregulin. This indicates an ESCRT-mediated sorting of ErbB3 to late endosomes and lysosomes, and in line with this we show that impaired ESCRT function leads to an endosomal accumulation of ErbB3. PMID: 28867611
- our findings provide support for an autocrine signaling loop engaged by oncogenic K-Ras involving ErbB3 that contributes to the dedifferentiation of the intestinal epithelium during tumor initiation and progression. PMID: 27447549
- Results indicate the feasibility by using a pharmacophore of the small molecular compound VS1 for designing and optimization of proto-oncogene protein erbB-3 (ERBB3) inhibitors. PMID: 27188722
- The A/A genotype of the ERBB3 rs2292239 SNP is associated with risk for T1DM in a white Brazilian population. PMID: 29109006
- Results shows that HER3 mRNA is upregulated in hepatocellular carcinoma associated to chronic HBV infection. PMID: 27514687
- Data show that afatinib resistant clones were selectively killed by knock down of ERBB3 + c-MET + c-KIT, but not by the individual or doublet knock down combinations, and the combination of afatinib with the SRC family inhibitor dasatinib killed afatinib resistant H1975 cells in a greater than additive fashion. PMID: 26934000
- results suggest that the combination of a histone deacetylase inhibitor (HDACi) plus an anti-ErbB3 MoAb represents a viable strategy that warrants further evaluation for the treatment of non-small cell lung cancer (NSCLC) patients. PMID: 26862736
- observations suggest that Rtn4A counteracts the Nrdp1-mediated degradation of ErbB3 by sequestering the ubiquitin ligase into ER tubules. PMID: 27353365
- Engineered multivalency enhanced affibody-mediated HER3 downregulation in multiple cancer cell types. PMID: 28248115
- Pretreatment with the soluble ErbB3 N418Q mutant suppressed heregulin beta1-induced HIF-1alpha activation in MCF7 cells. PMID: 25451255
- review and meta-analysis of essential role in clinicopathology and prognosis of gastric cancer PMID: 27536774
- HER3 is frequently overexpressed in high-grade dysplastic lesions of the gastroesophageal junction and may be a marker of invasive progression PMID: 27559738
- the mechanistic regulation and linkage of the ROR1-HER3 and Hippo-YAP pathway in a cancer-specific context PMID: 28114269
- Detecting nuclear ErbB380kDa could constitute a useful marker of prostate cancer progression. PMID: 27191720
- YAP induces the expression of epidermal growth factor (EGF) receptors (EGFR, ERBB3) and production of EGF-like ligands (HBEGF, NRG1 and NRG2); YAP induces the expression of epidermal growth factor (EGF) receptors (EGFR, ERBB3) and production of EGF-like ligands (HBEGF, NRG1 and NRG2) PMID: 25798835
- In high-grade serous ovarian carcinoma (HGSC), high HER3 mRNA expression was a favorable prognostic factor for survival, while for high HER3 protein expression, a trend towards better survival was seen. A subgroup of HGSC with negative HER3 staining and negative HER3 mRNA levels showed most unfavorable survival. PMID: 27913862
- ERBB3 and ERBB4 have roles in lung adenocarcinoma PMID: 26254096
- Results suggest that silibinin is a potential anti-cancer drug to inhibit proliferative and invasive characteristics of the epithelial ovarian cancer (EOC) cells that exhibit an autocrine heregulin (HRG)/HER3 protein (HRG/HER3) pathway. PMID: 26482609
- findings suggest that HBx promotes the progression of hepatocellular carcinoma by decreasing the stability of Nrdp1, which results in up-regulation of ErbB3 PMID: 26846102
- High HER3 expression in colon cancer was associated to distal colon location and low-grade tumor. PMID: 26863446
- Correlate ERBB3 gene SNPs with rheumatoid arthritis susceptibility. PMID: 25530448
- Nrdp1S is a tumour suppressor that which potentiates the Nrdp1-mediated ubiquitination and degradation of ErbB3. An Nrdp1S deficiency may also be an important factor in the loss of Nrdp1. PMID: 26612725
- In response to trastuzumab, both HER3 and the metalloprotease ADAM10 are simultaneously upregulated. The proteolytic activity of the latter then releases the HER3 ligand heregulin from the cell surface to activate HER3 and confer resistance to trastuzumab by inducing compensatory growth factor receptor signaling. PMID: 26863569
- the identification of HER3-V855A and its functional properties for the first time clearly implicates genomic HER3 activation in the pathogenesis of lung cancer. PMID: 26689995
- These data indicate that erbB3 signaling is critical for both trastuzumab and lapatinib resistances mainly through the PI-3K/Akt pathway, whereas IGF-1R-initiated Src activation results in trastuzumab resistance without affecting lapatinib sensitivity. PMID: 26621843
- Data show that heat shock protein 90 (HSP90) inhibitor 17-DMAG caused loss of ret proto-oncogene protein (RET) and proto-oncogene protein erbB-3 (ERBB3) phosphorylation and lead to rapid cell death. PMID: 26595521
- Data indicate the role of proto-oncogene protein erbB-3 (ErbB3) in hepatitis B virus X protein (HBx)-mediated cell survival. PMID: 26595522
- our results suggest that HER3 over-expression may be associated with worse overall survival in gastric cancers PMID: 26517355
- Study shows that ERBB3 is a novel regulator of beta-cell apoptosis and found rs2292239 strongly correlated with residual b-cell function and metabolic control in children with type 1 diabetes. PMID: 26450151
- Authors show experimental evidence for an ErbB3 gain-of-function point mutation located in the C-lobe asymmetric dimerization interface, which shows enhanced phosphorylation at low ligand dose associated with increased kinase activity. PMID: 26378253
- HER2/HER3 interaction and increased expression was linked to risk for poor outcome in lung cancer patients. PMID: 26678909
- Data show that cotreatment with anti-ERBB3 proto-oncogene protein antibody seribantumab and letrozole had increased antitumor activity. PMID: 26310543
- HPV 16 E2 can modulate ErbB-3 by interacting with Nrdp-1, which is involved in the regulation of this receptor, via ubiquitination and degradation. PMID: 26963794
- findings show that the local 3D tumor microenvironment can trigger reprograming and switching of ErbB family members and thereby influence ErbB3-driven tumor growth PMID: 26073080
- ERa-dependent expression of LRIG1 dampens ErbB3 signaling in luminal breast cancer cells, and by blocking ERa activity with fulvestrant, LRIG1 is decreased thus permitting ErbB3 accumulation, enhanced ErbB3 signaling to cell survival pathways PMID: 26148232
- Data indicate that clathrin-mediated endocytosis of proto-oncogene protein erbB-3 (ErbB3) is depending on epsin-1. PMID: 26975582
顯示更多
收起更多
-
相關疾病:Lethal congenital contracture syndrome 2 (LCCS2)
-
亞細胞定位:[Isoform 1]: Cell membrane; Single-pass type I membrane protein.; [Isoform 2]: Secreted.
-
蛋白家族:Protein kinase superfamily, Tyr protein kinase family, EGF receptor subfamily
-
組織特異性:Epithelial tissues and brain.
-
數據庫鏈接:
Most popular with customers
-
-
YWHAB Recombinant Monoclonal Antibody
Applications: ELISA, WB, IHC, IF, FC
Species Reactivity: Human, Mouse, Rat
-
Phospho-YAP1 (S127) Recombinant Monoclonal Antibody
Applications: ELISA, WB, IHC
Species Reactivity: Human
-
-
-
-
-















