-
中文名稱:EPRS兔多克隆抗體
-
貨號:CSB-PA007747LA01HU
-
規格:¥440
-
圖片:
-
Western Blot
Positive WB detected in: 293T whole cell lysate
All lanes: EPRS antibody at 7.4μg/ml
Secondary
Goat polyclonal to rabbit IgG at 1/50000 dilution
Predicted band size: 171 kDa
Observed band size: 171 kDa -
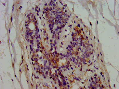
IHC image of CSB-PA007747LA01HU diluted at 1:600 and staining in paraffin-embedded human breast cancer performed on a Leica BondTM system. After dewaxing and hydration, antigen retrieval was mediated by high pressure in a citrate buffer (pH 6.0). Section was blocked with 10% normal goat serum 30min at RT. Then primary antibody (1% BSA) was incubated at 4°C overnight. The primary is detected by a biotinylated secondary antibody and visualized using an HRP conjugated SP system.
-
Immunofluorescence staining of Hela cells with CSB-PA007747LA01HU at 1:200, counter-stained with DAPI. The cells were fixed in 4% formaldehyde, permeabilized using 0.2% Triton X-100 and blocked in 10% normal Goat Serum. The cells were then incubated with the antibody overnight at 4°C. The secondary antibody was Alexa Fluor 488-congugated AffiniPure Goat Anti-Rabbit IgG(H+L).
-
-
其他:
產品詳情
-
產品名稱:Rabbit anti-Homo sapiens (Human) EPRS Polyclonal antibody
-
Uniprot No.:
-
基因名:EPRS
-
別名:Bifunctional aminoacyl tRNA synthetase antibody; Bifunctional aminoacyl-tRNA synthetase antibody; Bifunctional glutamate/proline tRNA ligase antibody; Cell proliferation-inducing gene 32 protein antibody; DKFZp313B047 antibody; EARS antibody; Eprs antibody; GLNS antibody; Glu pro tRNA synthetase antibody; GLUPRORS antibody; GluRS antibody; Glutamate tRNA ligase antibody; Glutamatyl prolyl tRNA synthetase antibody; Glutaminyl tRNA synthetase antibody; Glutamyl prolyl tRNA synthetase antibody; Glutamyl tRNA synthetase antibody; Glutamyl-tRNA synthetase antibody; PARS antibody; PIG 32 antibody; PIG32 antibody; Proliferation inducing gene 32 protein antibody; Proliferation inducing protein 32 antibody; Proline tRNA ligase antibody; Proline--tRNA ligase antibody; Prolyl tRNA synthetase antibody; Prolyl-tRNA synthetase antibody; QARS antibody; QPRS antibody; SYEP_HUMAN antibody
-
宿主:Rabbit
-
反應種屬:Human
-
免疫原:Recombinant Human Bifunctional glutamate/proline--tRNA ligase protein (1207-1399AA)
-
免疫原種屬:Homo sapiens (Human)
-
標記方式:Non-conjugated
本頁面中的產品,EPRS Antibody (CSB-PA007747LA01HU),的標記方式是Non-conjugated。對于EPRS Antibody,我們還提供其他標記。見下表:
-
克隆類型:Polyclonal
-
抗體亞型:IgG
-
純化方式:>95%, Protein G purified
-
濃度:It differs from different batches. Please contact us to confirm it.
-
保存緩沖液:Preservative: 0.03% Proclin 300
Constituents: 50% Glycerol, 0.01M PBS, pH 7.4 -
產品提供形式:Liquid
-
應用范圍:ELISA, WB, IHC, IF
-
推薦稀釋比:
Application Recommended Dilution WB 1:500-1:5000 IHC 1:500-1:1000 IF 1:50-1:200 -
Protocols:
-
儲存條件:Upon receipt, store at -20°C or -80°C. Avoid repeated freeze.
-
貨期:Basically, we can dispatch the products out in 1-3 working days after receiving your orders. Delivery time maybe differs from different purchasing way or location, please kindly consult your local distributors for specific delivery time.
-
用途:For Research Use Only. Not for use in diagnostic or therapeutic procedures.
引用文獻
相關產品
靶點詳情
-
功能:Multifunctional protein which is primarily part of the aminoacyl-tRNA synthetase multienzyme complex, also know as multisynthetase complex, that catalyzes the attachment of the cognate amino acid to the corresponding tRNA in a two-step reaction: the amino acid is first activated by ATP to form a covalent intermediate with AMP and is then transferred to the acceptor end of the cognate tRNA. The phosphorylation of EPRS1, induced by interferon-gamma, dissociates the protein from the aminoacyl-tRNA synthetase multienzyme complex and recruits it to the GAIT complex that binds to stem loop-containing GAIT elements in the 3'-UTR of diverse inflammatory mRNAs (such as ceruplasmin), suppressing their translation. Interferon-gamma can therefore redirect, in specific cells, the EPRS1 function from protein synthesis to translation inhibition. Also functions as an effector of the mTORC1 signaling pathway by promoting, through SLC27A1, the uptake of long-chain fatty acid by adipocytes. Thereby, it also plays a role in fat metabolism and more indirectly influences lifespan.
-
基因功能參考文獻:
- five different EPRS mutations were identified. PMID: 29576217
- Data indicate the necessity of EPRS for proliferation of tamoxifen-resistant estrogen receptor (ER+) breast cancer, but not ER- breast cancer cells. PMID: 27612429
- analysis of the heterotetrameric complex structure of the glutathione transferase (GST) domains shared among the four MSC components, methionyl-tRNA synthetase (MRS), glutaminyl-prolyl-tRNA synthetase (EPRS), AIMP2 and AIMP3 PMID: 26472928
- Dynamic model simulations predicted an inhibitory GAIT-element-interacting factor to account for this relationship and led to the identification of a truncated form of EPRS, a GAIT constituent that mediates binding to target transcripts. PMID: 22386318
- Study reveals a unique role of Cdk5/p35 in activation of the major noncanonical function of EPRS, namely translational control of macrophage inflammatory gene expression. PMID: 21220307
- Results show that glutamyl-prolyl-tRNA synthetase has a regulated, noncanonical activity that blocks synthesis of a specific protein. PMID: 15479637
- Essentiality of this enzyme's domains in its noncanonical function of regulating inflammatory gene expression. PMID: 18374644
- EPRS phosphorylation events regulate GAIT-mediated gene silencing. PMID: 19647514
顯示更多
收起更多
-
亞細胞定位:Cytoplasm, cytosol. Membrane; Peripheral membrane protein.
-
蛋白家族:Class-I aminoacyl-tRNA synthetase family, Glutamate--tRNA ligase type 2 subfamily; Class-II aminoacyl-tRNA synthetase family
-
數據庫鏈接:
Most popular with customers
-
-
YWHAB Recombinant Monoclonal Antibody
Applications: ELISA, WB, IHC, IF, FC
Species Reactivity: Human, Mouse, Rat
-
Phospho-YAP1 (S127) Recombinant Monoclonal Antibody
Applications: ELISA, WB, IHC
Species Reactivity: Human
-
-
-
-
-















