EPHA7 Antibody
-
中文名稱:EPHA7兔多克隆抗體
-
貨號:CSB-PA618004LA01HU
-
規格:¥440
-
圖片:
-
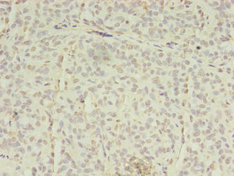
Immunohistochemistry of paraffin-embedded human breast cancer using CSB-PA618004LA01HU at dilution of 1:100
-
Immunofluorescence staining of A549 cells with CSB-PA618004LA01HU at 1:400, counter-stained with DAPI. The cells were fixed in 4% formaldehyde, permeabilized using 0.2% Triton X-100 and blocked in 10% normal Goat Serum. The cells were then incubated with the antibody overnight at 4°C. The secondary antibody was Alexa Fluor 488-congugated AffiniPure Goat Anti-Rabbit IgG(H+L).
-
-
其他:
產品詳情
-
產品名稱:Rabbit anti-Homo sapiens (Human) EPHA7 Polyclonal antibody
-
Uniprot No.:
-
基因名:
-
別名:Cek 11 antibody; Developmental kinase 1 antibody; EBK antibody; EHK-3 antibody; EHK3 antibody; EK11 antibody; Embryonic brain kinase antibody; EPH homology kinase 3 antibody; EPH-like kinase 11 antibody; Epha7 antibody; EPHA7_HUMAN antibody; Ephrin receptor Eph A7 antibody; Ephrin type A receptor 7 antibody; Ephrin type-A receptor 7 antibody; hEK11 antibody; MDK 1 antibody; Receptor protein tyrosine kinase HEK 11 antibody; Tyrosine protein kinase receptor EHK 3 antibody
-
宿主:Rabbit
-
反應種屬:Human
-
免疫原:Recombinant Human Ephrin type-A receptor 7 protein (28-182AA)
-
免疫原種屬:Homo sapiens (Human)
-
標記方式:Non-conjugated
本頁面中的產品,EPHA7 Antibody (CSB-PA618004LA01HU),的標記方式是Non-conjugated。對于EPHA7 Antibody,我們還提供其他標記。見下表:
-
克隆類型:Polyclonal
-
抗體亞型:IgG
-
純化方式:>95%, Protein G purified
-
濃度:It differs from different batches. Please contact us to confirm it.
-
保存緩沖液:Preservative: 0.03% Proclin 300
Constituents: 50% Glycerol, 0.01M PBS, PH 7.4 -
產品提供形式:Liquid
-
應用范圍:ELISA, IHC, IF
-
推薦稀釋比:
Application Recommended Dilution IHC 1:20-1:200 IF 1:50-1:500 -
Protocols:
-
儲存條件:Upon receipt, store at -20°C or -80°C. Avoid repeated freeze.
-
貨期:Basically, we can dispatch the products out in 1-3 working days after receiving your orders. Delivery time maybe differs from different purchasing way or location, please kindly consult your local distributors for specific delivery time.
-
用途:For Research Use Only. Not for use in diagnostic or therapeutic procedures.
相關產品
靶點詳情
-
功能:Receptor tyrosine kinase which binds promiscuously GPI-anchored ephrin-A family ligands residing on adjacent cells, leading to contact-dependent bidirectional signaling into neighboring cells. The signaling pathway downstream of the receptor is referred to as forward signaling while the signaling pathway downstream of the ephrin ligand is referred to as reverse signaling. Among GPI-anchored ephrin-A ligands, EFNA5 is a cognate/functional ligand for EPHA7 and their interaction regulates brain development modulating cell-cell adhesion and repulsion. Has a repellent activity on axons and is for instance involved in the guidance of corticothalamic axons and in the proper topographic mapping of retinal axons to the colliculus. May also regulate brain development through a caspase(CASP3)-dependent proapoptotic activity. Forward signaling may result in activation of components of the ERK signaling pathway including MAP2K1, MAP2K2, MAPK1 AND MAPK3 which are phosphorylated upon activation of EPHA7.
-
基因功能參考文獻:
- receptor phosphorylation of EphA7, at least in part, suppress prostate cancer tumor malignancy through targeting PI3K/Akt signaling pathways. PMID: 29022918
- these findings suggest that miR-448 functioned as a tumor suppressor gene in the development of osteosarcoma through targeting EPHA7. PMID: 28604772
- We have demonstrated the physical association and cellular co-localization of EPHA7 and EPHA10 in breast carcinoma cells. The nuclear co-localization of these two receptors in invasive MDA-MB-231 cells suggests their involvement in transcriptional activation of genes involved in invasiveness. PMID: 27566654
- Eph receptor A7 may have an important role in the pathogenesis of nonsmall cell lung cancer by regulating PTEN expression via thephosphatase and tensin homolog/AKT pathway. PMID: 26936314
- Depletion of EphA7 remarkably inhibited the proliferation and invasion of Hep-2 and AMC-HN-8 cells in comparison to control and EphA7 siRNA negative control (NC)-transfected cells. PMID: 25968442
- Authors observed that the extracellular region of the EphA7 receptor was critical for interacting with caspase-8, whereas the cytoplasmic region of EphA7 was not. PMID: 25855521
- miR-137 is able to directly bind to the EPHA7 3'UTR and negatively regulate the expression of EPHA7 in HUVECs. PMID: 24927112
- MTDH and EphA7 are markers for metastasis and poor prognosis of gallbladder adenocarcinoma. PMID: 21964981
- The expression of EphA7 and/or MTDH might be closely related to the carcinogenesis, progression, clinical biological behaviors and prognosis of gallbladder adenocarcinoma. PMID: 21609571
- Overexpression of EphA7 and/or MTDH might indicate poor prognosis in squamous cell cancer of the tongue. PMID: 22246354
- EPHA7 acts as a tumor suppressor in vivo and is targeted by genomic deletions and differential epigenetic silencing in human lymphomas. PMID: 22036564
- EphA7 protein expression is significantly correlated with the biological behavior of primary hepatocellular carcinoma. PMID: 20302756
- analysis of the secreted form of EphA7 in lung cancer PMID: 20126984
- downregulation of an Eph family gene in a solid tumor via aberrant 5'CpG island methylation, providing evidence that EphA7 gene is involved in human colorectal carcinogenesis PMID: 16007213
- EphA7 expression in 52 gastric carcinoma was consistent with its transcript expression, with the protein being significantly overexpressed in younger patients (P = .016) and in patients with advanced tumors (P = .033) PMID: 17669470
- siRNA-mediated suppression of ALL1/AF4 in SEMK2 cells carrying the t(4;11) chromosome translocation resulted in down-regulation of EphA7 PMID: 17726105
- EphA7 protein may have a role in progression of glioblastoma multiforme PMID: 18366728
- epigenetic inactivation of EphA7 may be involved in prostate carcinogenesis PMID: 18821581
顯示更多
收起更多
-
亞細胞定位:Cell membrane; Single-pass type I membrane protein.
-
蛋白家族:Protein kinase superfamily, Tyr protein kinase family, Ephrin receptor subfamily
-
組織特異性:Widely expressed.
-
數據庫鏈接:
Most popular with customers
-
-
YWHAB Recombinant Monoclonal Antibody
Applications: ELISA, WB, IHC, IF, FC
Species Reactivity: Human, Mouse, Rat
-
Phospho-YAP1 (S127) Recombinant Monoclonal Antibody
Applications: ELISA, WB, IHC
Species Reactivity: Human
-
-
-
-
-















