EHHADH Antibody
-
中文名稱:EHHADH兔多克隆抗體
-
貨號:CSB-PA787197
-
規格:¥1100
-
圖片:
-
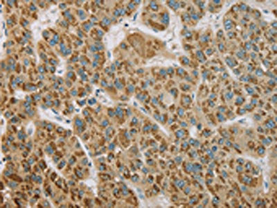
The image on the left is immunohistochemistry of paraffin-embedded Human liver cancer tissue using CSB-PA787197(EHHADH Antibody) at dilution 1/20, on the right is treated with fusion protein. (Original magnification: ×200)
-
The image on the left is immunohistochemistry of paraffin-embedded Human cervical cancer tissue using CSB-PA787197(EHHADH Antibody) at dilution 1/20, on the right is treated with fusion protein. (Original magnification: ×200)
-
Gel: 6%SDS-PAGE, Lysate: 40 μg, Lane: Mouse liver tissue, Primary antibody: CSB-PA787197(EHHADH Antibody) at dilution 1/250, Secondary antibody: Goat anti rabbit IgG at 1/8000 dilution, Exposure time: 2 minutes
-
-
其他:
產品詳情
-
Uniprot No.:
-
基因名:
-
別名:3 hydroxyacyl CoA dehydrogenase antibody; 3,2 trans enoyl CoA isomerase antibody; 3-hydroxyacyl-CoA dehydrogenase antibody; ECHD antibody; ECHP_HUMAN antibody; EHHADH antibody; Enoyl Coenzyme A antibody; Enoyl Coenzyme A; hydratase/3 hydroxyacyl Coenzyme A dehydrogenase antibody; L 3 hydroxyacyl CoA dehydrogenase antibody; L bifunctional protein antibody; L bifunctional protein; peroxisomal antibody; L PBE antibody; LBFP antibody; LBP antibody; MGC120586 antibody; MS730 antibody; PBE antibody; PBFE antibody; Peroxisomal bifunctional enzyme antibody; Peroxisomal enoyl CoA hydratase antibody
-
宿主:Rabbit
-
反應種屬:Human,Mouse
-
免疫原:Fusion protein of Human EHHADH
-
免疫原種屬:Homo sapiens (Human)
-
標記方式:Non-conjugated
-
抗體亞型:IgG
-
純化方式:Antigen affinity purification
-
濃度:It differs from different batches. Please contact us to confirm it.
-
保存緩沖液:-20°C, pH7.4 PBS, 0.05% NaN3, 40% Glycerol
-
產品提供形式:Liquid
-
應用范圍:ELISA,WB,IHC
-
推薦稀釋比:
Application Recommended Dilution ELISA 1:2000-1:5000 WB 1:200-1:1000 IHC 1:50-1:200 -
Protocols:
-
儲存條件:Upon receipt, store at -20°C or -80°C. Avoid repeated freeze.
-
貨期:Basically, we can dispatch the products out in 1-3 working days after receiving your orders. Delivery time maybe differs from different purchasing way or location, please kindly consult your local distributors for specific delivery time.
-
用途:For Research Use Only. Not for use in diagnostic or therapeutic procedures.
相關產品
靶點詳情
-
功能:Peroxisomal trifunctional enzyme possessing 2-enoyl-CoA hydratase, 3-hydroxyacyl-CoA dehydrogenase, and delta 3, delta 2-enoyl-CoA isomerase activities. Catalyzes two of the four reactions of the long straight chain fatty acids peroxisomal beta-oxidation pathway. Optimal isomerase for 2,5 double bonds into 3,5 form isomerization in a range of enoyl-CoA species (Probable). Also able to isomerize both 3-cis and 3-trans double bonds into the 2-trans form in a range of enoyl-CoA species. With HSD17B4, catalyzes the hydration of trans-2-enoyl-CoA and the dehydrogenation of 3-hydroxyacyl-CoA, but with opposite chiral specificity. Regulates the amount of medium-chain dicarboxylic fatty acids which are essential regulators of all fatty acid oxidation pathways. Also involved in the degradation of long-chain dicarboxylic acids through peroxisomal beta-oxidation.
-
基因功能參考文獻:
- Mistargeting of peroxisomal EHHADH disrupts mitochondrial metabolism and leads to renal Fanconi's syndrome; this indicates a central role of mitochondria in proximal tubular function. PMID: 24401050
-
相關疾病:Fanconi renotubular syndrome 3 (FRTS3)
-
亞細胞定位:Peroxisome.
-
蛋白家族:Enoyl-CoA hydratase/isomerase family; 3-hydroxyacyl-CoA dehydrogenase family
-
組織特異性:Liver and kidney. Strongly expressed in the terminal segments of the proximal tubule. Lower amounts seen in the brain.
-
數據庫鏈接:
Most popular with customers
-
-
YWHAB Recombinant Monoclonal Antibody
Applications: ELISA, WB, IHC, IF, FC
Species Reactivity: Human, Mouse, Rat
-
Phospho-YAP1 (S127) Recombinant Monoclonal Antibody
Applications: ELISA, WB, IHC
Species Reactivity: Human
-
-
-
-
-















