EGLN1 Antibody
-
中文名稱:EGLN1兔多克隆抗體
-
貨號:CSB-PA519093
-
規格:¥1100
-
圖片:
-
The image on the left is immunohistochemistry of paraffin-embedded Human breast cancer tissue using CSB-PA519093(EGLN1 Antibody) at dilution 1/25, on the right is treated with fusion protein. (Original magnification: ×200)
-
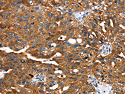
The image on the left is immunohistochemistry of paraffin-embedded Human liver cancer tissue using CSB-PA519093(EGLN1 Antibody) at dilution 1/25, on the right is treated with fusion protein. (Original magnification: ×200)
-
-
其他:
產品詳情
-
Uniprot No.:
-
基因名:
-
別名:C1ORF12 antibody; Chromosome 1 Open Reading Frame 12 antibody; DKFZp761F179 antibody; ECYT 3 antibody; ECYT3 antibody; Egl 9 family hypoxia inducible factor 1 antibody; EGL 9 homolog of C. elegans 1 antibody; EGL nine (C.elegans) homolog 1 antibody; Egl nine homolog 1 (C. elegans) antibody; Egl nine homolog 1 antibody; Egl nine like protein 1 antibody; EGLN 1 antibody; Egln1 antibody; EGLN1_HUMAN antibody; HIF PH2 antibody; HIF Prolyl Hydroxylase 2 antibody; HIF-PH2 antibody; HIF-prolyl hydroxylase 2 antibody; HIFP4H 2 antibody; HIFPH2 antibody; HPH 2 antibody; HPH-2 antibody; HPH2 antibody; Hypoxia inducible factor prolyl hydroxylase 2 antibody; Hypoxia-inducible factor prolyl hydroxylase 2 antibody; ORF13 antibody; P4H2 antibody; PHD 2 antibody; PhD2 antibody; PNAS 118 antibody; PNAS 137 antibody; Prolyl Hydroxylase Domain Containing Protein 2 antibody; Prolyl hydroxylase domain-containing protein 2 antibody; Rat Homolog of SM20 antibody; SM 20 antibody; SM-20 antibody; SM20 antibody; Zinc finger MYND domain containing protein 6 antibody; ZMYND6 antibody
-
宿主:Rabbit
-
反應種屬:Human,Mouse,Rat
-
免疫原:Fusion protein of Human EGLN1
-
免疫原種屬:Homo sapiens (Human)
-
標記方式:Non-conjugated
-
抗體亞型:IgG
-
純化方式:Antigen affinity purification
-
濃度:It differs from different batches. Please contact us to confirm it.
-
保存緩沖液:-20°C, pH7.4 PBS, 0.05% NaN3, 40% Glycerol
-
產品提供形式:Liquid
-
應用范圍:ELISA,IHC
-
推薦稀釋比:
Application Recommended Dilution ELISA 1:2000-1:5000 IHC 1:25-1:100 -
Protocols:
-
儲存條件:Upon receipt, store at -20°C or -80°C. Avoid repeated freeze.
-
貨期:Basically, we can dispatch the products out in 1-3 working days after receiving your orders. Delivery time maybe differs from different purchasing way or location, please kindly consult your local distributors for specific delivery time.
-
用途:For Research Use Only. Not for use in diagnostic or therapeutic procedures.
相關產品
靶點詳情
-
功能:Cellular oxygen sensor that catalyzes, under normoxic conditions, the post-translational formation of 4-hydroxyproline in hypoxia-inducible factor (HIF) alpha proteins. Hydroxylates a specific proline found in each of the oxygen-dependent degradation (ODD) domains (N-terminal, NODD, and C-terminal, CODD) of HIF1A. Also hydroxylates HIF2A. Has a preference for the CODD site for both HIF1A and HIF1B. Hydroxylated HIFs are then targeted for proteasomal degradation via the von Hippel-Lindau ubiquitination complex. Under hypoxic conditions, the hydroxylation reaction is attenuated allowing HIFs to escape degradation resulting in their translocation to the nucleus, heterodimerization with HIF1B, and increased expression of hypoxy-inducible genes. EGLN1 is the most important isozyme under normoxia and, through regulating the stability of HIF1, involved in various hypoxia-influenced processes such as angiogenesis in retinal and cardiac functionality. Target proteins are preferentially recognized via a LXXLAP motif.
-
基因功能參考文獻:
- This study elucidates the molecular basis of the c-Myc/EGLN1-mediated induction of LSH expression that inhibits ferroptosis PMID: 28900510
- In vitro studies showed that a complement C1q-A chain peptide is not a substrate for PHD2 but is a substrate for CP4H1. PMID: 28506759
- GPT2 reduced alpha-ketoglutarate level in cells leading to the inhibition of proline hydroxylase 2 (PHD2) activity involved in the regulation of HIF1alpha stability. Accumulation of HIF1alpha, resulting from GPT2-alpha-ketoglutarate-PHD2 axis, constitutively activates sonic hedgehog (Shh) signaling pathway. PMID: 28839461
- Studied the association between SNPs around the EGLN1 genomic region, possibly involved in high-altitude adaptation, and physiological changes to hypobaric hypoxia exposure in a cohort of Japanese lowlanders. PMID: 29625625
- the expression of prolyl hydroxylase domain 2 (PHD2) is selectively increased in CKD-AT-MSCs and its inhibition can restore the expression of HIF-1alpha and the wound healing function of CKD-AT-MSCs. These results indicate that more studies about the functions of MSCs from CKD patients are required before they can be applied in the clinical setting PMID: 28537846
- Functionally active PHD2 SNP rs516651 [18], located in the key pathway for the hypoxic-inflammatory response, is associated with increased 30-day mortality in Acute Respiratory Distress Syndrome (ARDS) patients. In contrast, the PHD2 SNP rs480902 is not. Furthermore, the HIF-2alpha SNP [ch2: 46441523(hg18)] GG-genotype was neither present in our ARDS patients of Caucasian heritage nor in healthy Caucasian blood donors. PMID: 28613249
- We genotyped 347 Tibetan individuals from varying altitudes for both the Tibetan-specific EGLN1 haplotype and 10 candidate SNPs in the EPAS1 haplotype and correlated their association with hemoglobin levels. PMID: 28233034
- PHD2 is a direct binding partner of EGFR and show that PHD2 regulates EGFR stability as well as its subsequent signaling in breast carcinoma cells. PMID: 28038470
- A mechanism of PHD2 regulation that involves the mTOR and PP2A pathways. PMID: 28199842
- These data unravel B55alpha as a PHD2 substrate and highlight a role for PHD2-B55alpha in the response to nutrient deprivation. PMID: 28329677
- miR-21 contributes to the protection of delayed ischemic preconditioning against renal ischemia reperfusion injury in mice, which is at least in part mediated by targeting of PHD2 and subsequently up-regulating HIF-1alpha/VEGF pathway. PMID: 27030384
- Phd2 is the dominant HIF-hydroxylase in neutrophils under normoxic conditions; intrinsic regulation of glycolysis and glycogen stores is linked to the resolution of neutrophil-mediated inflammatory responses PMID: 28805660
- prolyl hydroxylase 2 plays an important tumor suppressive role in liver cancer PMID: 27307407
- Genetic variants in HIF-1alpha and PHD2 genes exist in Caucasians but do not appear to alter 30-day mortality in sepsis PMID: 27515179
- Results identified a critical role of PHD2 for a reversible glycolytic reprogramming in macrophages with a direct impact on their function. PMID: 27795296
- Tuning the Transcriptional Response to Hypoxia by Inhibiting Hypoxia-inducible Factor (HIF) Prolyl and Asparaginyl Hydroxylases. PMID: 27502280
- The role of PHD-2 in breast cancer [review] PMID: 26951539
- Sulfur mustard negatively affects hypoxia-stimulated HIF-1alpha signaling in keratinocytes and fibroblasts and thus possibly contributes to delayed wound healing in SM-injured patients, which could be treated with PHD-2 inhibitors. PMID: 26082309
- The HIFalpha subunit is usually prolyl-hydroxylated by EglN family members under normoxic conditions, causing its rapid degradation. Study confirmed that triple-negative breast cancer cells secrete glutamate, which is both necessary and sufficient for the paracrine induction of HIF1alpha in such cells under normoxic conditions. PMID: 27368101
- Disulfide bond-mediated PHD2 dimerization and inactivation result in the activation of HIF-1alpha and aerobic glycolysis in response to oxidative stress. PMID: 26740011
- The present study demonstrated that the antiapoptotic effect of TMP in CoCl2-induced HUVECs was, at least in part, via the regulation of the PHD2/HIF-1alpha signaling pathway. PMID: 26676934
- the levels of both miR-182 and HIF1alpha were elevated, while the expression PHD2 and FIH1 was downregulated in a mouse model of prostate cancer. PMID: 26205124
- findings show hypoxia and loss of PHD2 revert cancer-associated fibroblast (CAF) activation PMID: 26323721
- In this article, UTMD/PEI mediated gene transfection was investigated and the US parameters were optimized. Furthermore, the biological effects of PHD2 shRNA were investigated in H9C2 cells. PMID: 26267649
- a genetic link between EGLN1 and VWF in a constitution specific manner which could modulate thrombosis/bleeding susceptibility and outcomes of hypoxia, is reported. PMID: 26047609
- Data show that dimethyl-2-ketoglutarate (DKG) inhibits hypoxia-inducible factor 1alpha (HIF-1alpha) proline hydroxylation and degradation mediated by prolyl-4-hydroxylase PHD2. PMID: 25420025
- striking enrichment of high-altitude ancestry in the Tibetan genome, indicating that migrants from low altitude acquired adaptive alleles from the highlanders PMID: 24513612
- The kinetic properties of PHD2 and FIH with respect to oxygen reflect their cellular hypoxia-sensing ability. PMID: 26112411
- Germ-line PHD1 and PHD2 mutations detected in patients with pheochromocytoma/paraganglioma-polycythemia PMID: 25263965
- The association between EGLN1 and HIF-1AN single nucleotide polymorphisms and acute mountain sickness in a Han Chinese population, was examined. PMID: 25431923
- Compared to those with high PHD2 expressions, patients with low PHD2 expression had significantly longer DFS and OS periods. PMID: 25546659
- PHD2 inhibits the adaptation of glioblastoma cells to hypoxia by regulating the expression of HIF-alpha subunits. PMID: 25010988
- higher expression in normal skin compared to seborrheic keratosis, Bowen's disease and cutaneous squamous cell carcinoma PMID: 24354513
- Regulation and expression of both PHD2 and HIF-1a are important to the biology of sarcomas, and loss of PHD2 function has an additional adverse effect in the prognosis of sarcomas in tumors expressing HIF-1a. PMID: 20026900
- Data indicate that the Tibetan prolyl hydroxylase domain protein 2 (PHD2) haplotype (D4E/C127S) strikingly diminishes the interaction of PHD2 with heat shock protein 90 co-chaperone protein p23 (prostaglandin E synthase). PMID: 24711448
- The diminished expression of PHD1 and PHD2 and elevated level of FIH protein in cancerous tissue compared to histopathologically unchanged colonic mucosa was not associated with DNA methylation within the CpG islands of the PHD1, PHD2 and FIH genes. PMID: 24195777
- results demonstrate that HIF-1alpha transcription and protein synthesis are controlled by TGF-beta1/Smad3 signaling, whereas HIF-1alpha protein stability is controlled by PHD2, which is regulated by TGF-beta1/Smad3 signaling. PMID: 23088526
- EGLN1 contributes to the adaptively low hemoglobin level of Tibetans compared with acclimatized lowlanders at high altitude. PMID: 23666208
- PHD2 regulates and hydroxylates HIF-1alpha by binding to its C-terminal domain. PMID: 23787140
- These studies formally prove that a missense mutation in PHD2 is the cause of the erythrocytosis, show that this occurs through haploinsufficiency, and point to multifactorial control of red cell mass by PHD2. PMID: 24121508
- the N-terminal region of C16 is predicted to have a PHD2-like structural fold but lacks the catalytic active site residues of PHDs PMID: 23836663
- PHD2 silencing promotes adipose-derived stem cell survival in infarcted myocardia. PMID: 23694817
- HIF-specific hydroxylase PHD-2 may represent a relevant target for cartilage repair. PMID: 23334958
- Knockdown of prolyl-4-hydroxylase domain 2 inhibits tumor growth of human breast cancer MDA-MB-231 cells by affecting TGF-beta1 processing. PMID: 23225569
- PHD2-mediated hydroxylation of HIF-1alpha predominantly occurs in the cell nucleus and is dependent on very dynamic subcellular trafficking of PHD2. PMID: 22946054
- p23 recruits PHD2 to the HSP90 machinery to facilitate HIF-1alpha hydroxylation PMID: 23413029
- a unique mechanism for the regulation of HIF-1alpha stability that involves ERbeta-mediated transcriptional regulation of PHD2 and they highlight an unexpected role for PHD2 in maintaining epithelial differentiation. PMID: 23487784
- The study scrutinizes the unfolding pathways of the PHD2 catalytic domain's possible species and demonstrates the properties of their unfolding states by computational approaches. PMID: 23077544
- PHD2 may directly interact with PDE4D to function as a novel regulator of the intracellular cAMP levels in cardiomyocytes. PMID: 22975349
- prevalence of the risk alleles in high altitude pulmonary edema and the protective alleles in healthy Lakakhi highland natives have provided us with allelic variants at the same locus that are involved in disease and adaptation PMID: 23130672
顯示更多
收起更多
-
相關疾病:Erythrocytosis, familial, 3 (ECYT3)
-
亞細胞定位:Cytoplasm. Nucleus.
-
組織特異性:According to PubMed:11056053, widely expressed with highest levels in skeletal muscle and heart, moderate levels in pancreas, brain (dopaminergic neurons of adult and fetal substantia nigra) and kidney, and lower levels in lung and liver. According to Pub
-
數據庫鏈接:
Most popular with customers
-
-
YWHAB Recombinant Monoclonal Antibody
Applications: ELISA, WB, IHC, IF, FC
Species Reactivity: Human, Mouse, Rat
-
Phospho-YAP1 (S127) Recombinant Monoclonal Antibody
Applications: ELISA, WB, IHC
Species Reactivity: Human
-
-
-
-
-















