EDN2 Antibody
-
中文名稱:EDN2兔多克隆抗體
-
貨號:CSB-PA033256
-
規格:¥1100
-
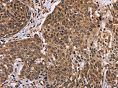
圖片:
-
The image on the left is immunohistochemistry of paraffin-embedded Human cervical cancer tissue using CSB-PA033256(EDN2 Antibody) at dilution 1/30, on the right is treated with fusion protein. (Original magnification: ×200)
-
The image on the left is immunohistochemistry of paraffin-embedded Human colon cancer tissue using CSB-PA033256(EDN2 Antibody) at dilution 1/30, on the right is treated with fusion protein. (Original magnification: ×200)
-
-
其他:
產品詳情
-
Uniprot No.:
-
基因名:EDN2
-
別名:EDN2 antibody; EDN2_HUMAN antibody; Endothelin 2 antibody; Endothelin-2 antibody; ET 2 antibody; ET-2 antibody; ET2 antibody; PPET2 antibody; Preproendothelin 2 antibody; Preproendothelin-2 antibody
-
宿主:Rabbit
-
反應種屬:Human
-
免疫原:Fusion protein of Human EDN2
-
免疫原種屬:Homo sapiens (Human)
-
標記方式:Non-conjugated
-
抗體亞型:IgG
-
純化方式:Antigen affinity purification
-
濃度:It differs from different batches. Please contact us to confirm it.
-
保存緩沖液:-20°C, pH7.4 PBS, 0.05% NaN3, 40% Glycerol
-
產品提供形式:Liquid
-
應用范圍:ELISA,IHC
-
推薦稀釋比:
Application Recommended Dilution ELISA 1:2000-1:5000 IHC 1:50-1:200 -
Protocols:
-
儲存條件:Upon receipt, store at -20°C or -80°C. Avoid repeated freeze.
-
貨期:Basically, we can dispatch the products out in 1-3 working days after receiving your orders. Delivery time maybe differs from different purchasing way or location, please kindly consult your local distributors for specific delivery time.
-
用途:For Research Use Only. Not for use in diagnostic or therapeutic procedures.
相關產品
靶點詳情
-
功能:Endothelins are endothelium-derived vasoconstrictor peptides.
-
基因功能參考文獻:
- EDN2 expression in left internal mammary arteries depends on tissue harvesting technique. PMID: 24647318
- Overexpression of Edn2 in the mouse retina causes an excess of tip cells and inhibits vascular growth. Overexpression of Edn2 in the brain and skin had no effect, but vascular development was inhibited in midgestation mouse embryos. PMID: 24043815
- Endothelin 2 and endothelin receptor type B may be a regenerative pathway for central nervous system myelination and remyelination. PMID: 23518706
- Studies revealed hypermethylation of EDN2 and EDN3 genes in human primary colon cancers and in a panel of human colon cancer cell lines. Epigenetic inactivation of ET-2 and ET-3 occurs frequently in both rat and human colon cancers. PMID: 22865632
- plasma levels of big ET-2, and big ET-3 are markedly increased in patients with end stage renal disease on hemodialysis PMID: 22921304
- In granulosa lutein cells from women with polycystic ovary syndrome, endothelin-2 mRNA was reduced as compared with normally ovulating women PMID: 22727793
- although endothelin 2 does not appear to be an independent prognostic marker, there is evidence of a putative role in clear cell renal cell carcinoma progression PMID: 22047647
- Endothelin-2 is a macrophage chemoattractant. ET-2 expression by tumors may modulate the behavior of macrophages such that activated cells accumulate in areas of hypoxia. PMID: 12207323
- Endothelin-2 is a hypoxia-induced autocrine survival factor for breast tumor cells PMID: 12516960
- The EDN2 A985 allele, which is considered to be protective in cardiovascular disease, may be a risk factor for atrial fibrillation in patients with hypertrophic cardiomyopathy. PMID: 18037749
顯示更多
收起更多
-
亞細胞定位:Secreted.
-
蛋白家族:Endothelin/sarafotoxin family
-
組織特異性:Expressed in lung, but not in placental stem villi vessels or cultured placental villi smooth muscle cells.
-
數據庫鏈接:
Most popular with customers
-
-
YWHAB Recombinant Monoclonal Antibody
Applications: ELISA, WB, IHC, IF, FC
Species Reactivity: Human, Mouse, Rat
-
Phospho-YAP1 (S127) Recombinant Monoclonal Antibody
Applications: ELISA, WB, IHC
Species Reactivity: Human
-
-
-
-
-















