DVL2 Antibody
-
中文名稱:DVL2兔多克隆抗體
-
貨號:CSB-PA040869
-
規格:¥1100
-
圖片:
-
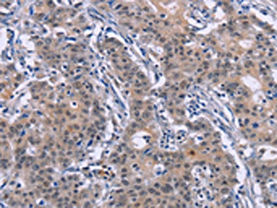
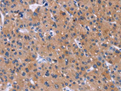
The image on the left is immunohistochemistry of paraffin-embedded Human liver cancer tissue using CSB-PA040869(DVL2 Antibody) at dilution 1/20, on the right is treated with synthetic peptide. (Original magnification: ×200)
-
The image on the left is immunohistochemistry of paraffin-embedded Human gastric cancer tissue using CSB-PA040869(DVL2 Antibody) at dilution 1/20, on the right is treated with synthetic peptide. (Original magnification: ×200)
-
-
其他:
產品詳情
-
Uniprot No.:
-
基因名:
-
別名:Dishevelled 2 (homologous to Drosophila dsh) antibody; Dishevelled dsh homolog 2 antibody; dishevelled segment polarity protein 2 antibody; Dishevelled-2 antibody; Dishevelled2 antibody; DSH homolog 2 antibody; DVL 2 antibody; Dvl2 antibody; DVL2_HUMAN antibody; Segment polarity protein dishevelled homolog DVL 2 antibody; Segment polarity protein dishevelled homolog DVL-2 antibody; Segment polarity protein dishevelled homolog DVL2 antibody
-
宿主:Rabbit
-
反應種屬:Human,Mouse
-
免疫原:Synthetic peptide of Human DVL2
-
免疫原種屬:Homo sapiens (Human)
-
標記方式:Non-conjugated
-
抗體亞型:IgG
-
純化方式:Antigen affinity purification
-
濃度:It differs from different batches. Please contact us to confirm it.
-
保存緩沖液:-20°C, pH7.4 PBS, 0.05% NaN3, 40% Glycerol
-
產品提供形式:Liquid
-
應用范圍:ELISA,IHC
-
推薦稀釋比:
Application Recommended Dilution ELISA 1:1000-1:2000 IHC 1:25-1:100 -
Protocols:
-
儲存條件:Upon receipt, store at -20°C or -80°C. Avoid repeated freeze.
-
貨期:Basically, we can dispatch the products out in 1-3 working days after receiving your orders. Delivery time maybe differs from different purchasing way or location, please kindly consult your local distributors for specific delivery time.
-
用途:For Research Use Only. Not for use in diagnostic or therapeutic procedures.
相關產品
靶點詳情
-
功能:Plays a role in the signal transduction pathways mediated by multiple Wnt genes. Participates both in canonical and non-canonical Wnt signaling by binding to the cytoplasmic C-terminus of frizzled family members and transducing the Wnt signal to down-stream effectors. Promotes internalization and degradation of frizzled proteins upon Wnt signaling.
-
基因功能參考文獻:
- Results show that WIF1-mediated autophagy inhibits Wnt/betacatenin signaling by downregulating Dvl2, which contributes to the inhibition of the proliferation and the promotion of the apoptosis of nonsmall cell lung cancer cells. PMID: 29916529
- The inactivation of Wnt3a reversed the effect of Dvl2 silencing. In conclusion, the results indicate that Dvl2 regulated osteogenic differentiation of SFBs in osteoarthritis. PMID: 29749449
- Overexpression of dishevelled 2 is associated with metastasis in hepatocellular carcinoma. PMID: 28589433
- FZD4 Tyrosine 250(2.39) is crucial for DVL2 interaction and DVL2 translocation to the plasma membrane. PMID: 28668722
- we found that Wnt3a treatment rapidly induces hyperphosphorylation and stabilization of Dvl2 and Dvl3. Our findings suggest a model of positive regulation of PKCzeta-mediated Dvl signaling activity, to produce a strong and sustained response to Wnt3a treatment by stabilizing Dvl protein levels. PMID: 28366812
- Dvl2 could play a part in epithelial ovarian cancer progression and might be an independent prognostic factor. Additionally, it might be a prospective therapeutic target in the treatment of EOC. PMID: 28513833
- Our findings reveal an underappreciated role of Dvl2 in regulating inflammation and rheumatoid arthritis-fibroblast-like synoviocyte apoptosis PMID: 28187436
- inhibition of DVL2 can sensitize cisplatin-resistant lung cancer cells through down-regulating Wnt/beta-catenin signaling. PMID: 27432651
- ESCC patients with high Dvl2 expression had worse prognoses and multivariate analysis indicated that Dvl2 was an independent risk factor for ESCC patients' survival. Our clinical data indicated that Dvl2 contribute to the malignant progression of ESCC and might be a prognostic biomarker. PMID: 27083564
- In pancreatic cancer cells, AF6 is expressed at reduced levels, causing Dvl2 to be upregulated and available to bind and enhance FOXE1-induced trans-activation of Snail, which promotes proliferation and metastasis. PMID: 26013125
- Epsins are required for Dishevelled stability and Wnt signalling activation in colon cancer development. PMID: 25871009
- The data suggest that the expression of DVL2 in colon tissue segments may be important in the pathogenesis of HSCR. PMID: 25395054
- Elevated DVL2 expression is associated with drug resistance in colorectal cancer. PMID: 24893630
- Dpr1 promotes the ubiquitination of Dvl2 by pVHL and mediates the protein aggregate-elicited autophagy initiation PMID: 25825496
- The interaction of Dvl2 with Dapper-1 is involved in the negative regulation of Wnt signaling. PMID: 25558878
- APPL1 is a positive regulator of Dvl2-dependent transcriptional activity of AP-1. PMID: 25622892
- High expression of IGFBP7 in fibroblasts induced by colorectal cancer cells is co-regulated by TGF-beta and Wnt signaling in a Smad2/3-Dvl2/3-dependent manner. PMID: 24427302
- these results indicate that RNF185 negatively regulates osteogenesis through the degradation of Dvl2 and down-regulation of canonical Wnt signaling pathway and suggest a possible therapeutic target in osteoporosis. PMID: 24727453
- IRS1/2 promotes EMT and cell proliferation through stabilizing Dvl2. PMID: 24616100
- Dvl2 knockdown in LNCaP cells reduces malignant cell behavior by suppressing Wnt-3a signaling and MMP activity. PMID: 23652996
- In a cohort of patients with neural tube defects but not in controls, 5 rare mutations were found.p.Tyr667Cys & p.Ala53Val were predicted to be harmful. A patient with caudal agenesis had a 1-bp insertion (c.1801_1802insG) in exon 15. PMID: 22892949
- Both single-marker and haplotype analyses showed an association between SNPs in the DVL2 gene and the risk for cleft lip with or without cleft palate. PMID: 22887353
- Wnt-induced dishevelled 2 phosphorylation has effects in in canonical and noncanonical Wnt3a and Wnt5a signaling PMID: 23396967
- site-specific Dvl2 phosphorylation is required for Dvl2 association with PKCiota; this interaction is likely to be one of the mechanisms essential for Wnt3a-dependent neurite outgrowth PMID: 23396968
- NEDD4L is able to directly bind Dvl2 and target Dvl2 for proteasomal degradation. PMID: 23396981
- Dvl2 protein transduce signals via the Wnt proteins non canonical pathways, namely via NFAT protein and Src kinase and novel NPM-ALK interacting proteins and possibly NPM-ALK substrates. PMID: 23022960
- RIPK4 interacted constitutively with the adaptor protein DVL2; phosphorylation of DVL2 by RIPK4 favored canonical Wnt signaling PMID: 23371553
- Overexpression of ITCH inhibited wild-type DVL2 -induced, but not DVL2-Y568F mutant-induced, Wnt reporter activity. PMID: 22826439
- Wnt5a promotes breast cancer cell migration via Dvl2/Daam1/RhoA. PMID: 22655072
- up-regulation of DVL2 is associated with androgen-independent prostate carcinoma PMID: 21487968
- Our results indicate that malin regulates Wnt signaling pathway through the degradation of dishevelled2 and suggest possible deregulation of Wnt signaling in Lafora disease. PMID: 22223637
- Dishevelled 2 (Dvl2), a key component of the Wnt signaling pathway, is overexpressed in human gliomas. PMID: 21990322
- These findings identify a role for beta-arrestin and Dvl-2 scaffolds in APC-activated PAR1 cytoprotective signaling in human endothelial cells. PMID: 22106258
- identification of a leucine-rich binding motif strongly resembling the consensus sequence of a nuclear export signal in human Dishevelled-2 using C-terminal phage display PMID: 21666888
- A novel function of Dishevelled protein in modulating NF-kappaB-regulated gene transcription. PMID: 20628365
- These results suggested that Dvl2 is involved in mitotic progression by regulating the dynamics of MT plus-ends and the SAC in Plk1-dependent and -independent manners. PMID: 20823832
- Binding of Dvl2 to p62 facilitates the aggregation and the LC3-mediated autophagosome recruitment of Dvl2 under starvation; the ubiquitylated Dvl2 aggregates are ultimately degraded through the autophagy-lysosome pathway. PMID: 20639871
- DACT1 antagonizes Wnt signaling by promoting DVL2 degradation. PMID: 16446366
- The DIX domain of Dishevelled confers Wnt signaling by dynamic polymerization. PMID: 17529994
- These data provide evidence that there is a novel signaling pathway from Dishevelled to p53. PMID: 17593335
- BAMBI interacts with Wnt receptor Frizzled5, coreceptor LRP6, and Dishevelled2 and increases the interaction between Frizzled5 and Dishevelled2 PMID: 18838381
顯示更多
收起更多
-
亞細胞定位:Cell membrane; Peripheral membrane protein; Cytoplasmic side. Cytoplasm, cytosol. Cytoplasmic vesicle. Nucleus.
-
蛋白家族:DSH family
-
數據庫鏈接:
Most popular with customers
-
-
YWHAB Recombinant Monoclonal Antibody
Applications: ELISA, WB, IHC, IF, FC
Species Reactivity: Human, Mouse, Rat
-
Phospho-YAP1 (S127) Recombinant Monoclonal Antibody
Applications: ELISA, WB, IHC
Species Reactivity: Human
-
-
-
-
-















