DRD5 Antibody
-
中文名稱:DRD5兔多克隆抗體
-
貨號:CSB-PA007182EA01HU
-
規格:¥440
-
圖片:
-
Western blot
All lanes: DRD5 antibody at 2µg/ml + Mouse brain tissue
Secondary
Goat polyclonal to rabbit IgG at 1/10000 dilution
Predicted band size: 53 kDa
Observed band size: 53 kDa -
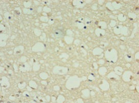
Immunohistochemistry of paraffin-embedded human brain tissue using CSB-PA007182EA01HU at dilution of 1:100
-
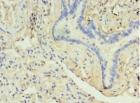
Immunohistochemistry of paraffin-embedded human lung cancer using CSB-PA007182EA01HU at dilution of 1:100
-
Immunofluorescent analysis of U87 cells using CSB-PA007182EA01HU at dilution of 1:100 and Alexa Fluor 488-congugated AffiniPure Goat Anti-Rabbit IgG(H+L)
-
Immunofluorescent analysis of A549 cells using CSB-PA007182EA01HU at dilution of 1:100 and Alexa Fluor 488-congugated AffiniPure Goat Anti-Rabbit IgG(H+L)
-
-
其他:
產品詳情
-
產品名稱:Rabbit anti-Homo sapiens (Human) DRD5 Polyclonal antibody
-
Uniprot No.:
-
基因名:
-
別名:DRD5; DRD1B; DRD1L2; D(1B dopamine receptor; D(5 dopamine receptor; D1beta dopamine receptor; Dopamine D5 receptor
-
宿主:Rabbit
-
反應種屬:Human, Mouse
-
免疫原:Recombinant Human D(1B) dopamine receptor protein (361-477AA)
-
免疫原種屬:Homo sapiens (Human)
-
標記方式:Non-conjugated
本頁面中的產品,DRD5 Antibody (CSB-PA007182EA01HU),的標記方式是Non-conjugated。對于DRD5 Antibody,我們還提供其他標記。見下表:
-
克隆類型:Polyclonal
-
抗體亞型:IgG
-
純化方式:>95%, Protein G purified
-
濃度:It differs from different batches. Please contact us to confirm it.
-
保存緩沖液:Preservative: 0.03% Proclin 300
Constituents: 50% Glycerol, 0.01M PBS, PH 7.4 -
產品提供形式:Liquid
-
應用范圍:ELISA, WB, IHC, IF
-
推薦稀釋比:
Application Recommended Dilution WB 1:500-1:5000 IHC 1:20-1:200 IF 1:50-1:200 -
Protocols:
-
儲存條件:Upon receipt, store at -20°C or -80°C. Avoid repeated freeze.
-
貨期:Basically, we can dispatch the products out in 1-3 working days after receiving your orders. Delivery time maybe differs from different purchasing way or location, please kindly consult your local distributors for specific delivery time.
-
用途:For Research Use Only. Not for use in diagnostic or therapeutic procedures.
相關產品
靶點詳情
-
功能:Dopamine receptor whose activity is mediated by G proteins which activate adenylyl cyclase.
-
基因功能參考文獻:
- Dopamine D5 receptor may play an important role in the preservation of normal heart function by inhibiting the production of reactive oxygen species, via inhibition of NADPH oxidase, Nrf2 degradation, and ERK1/2/JNK pathways. PMID: 30153650
- The C allele of DRD5 rs6283 SNP was associated with decreased risk of awake bruxism (p = 0.01). PMID: 28451935
- DRD5 (dopamine receptor D5) agonists were potent inhibitors of pituitary tumor growth. PMID: 28613975
- Meta-analysis of data from six sites of the International Multicentre persistent ADHD CollaboraTion tested the association of the common DRD5 alleles with categorically defined ADHD and with inattentive and hyperactive/impulsive symptom counts, found evidence that none of the common DRD5 alleles are associated with ADHD risk or ADHD symptom counts in adults. PMID: 27480019
- Study investigated the contribution of DRD5 gene variants in the symptoms of attention-deficit/hyperactivity disorder (ADHD): 19 exonic variants were monomorphic in the Indo-Caucasoid individuals. rs6283 "C" and rs113828117 "A" exhibited significant higher occurrence in families with ADHD probands. Early and late onset groups exhibited significantly different genotypic frequencies. PMID: 27250208
- This study reveled that DRD5 are up regulation in CD4+ T effector and regulatory cells in patient with multiple sclerosis. PMID: 27609280
- DRD5 gene expression reduction in breast cancer patients after spiritual intervention PMID: 26597879
- This study shown DRD5 to be the risk factor for attention deficit/hyperactivity disorder. PMID: 25840828
- This study demonistrated that Lymphocyte DR D5 is reduced in MS and IFN-beta restores their expression and responsiveness. PMID: 25468276
- Constitutive D5R signalling up-regulated expression of Na,K-ATPase-alpha2 and NHE-2, increasing glucose metabolism. Agonist treatment increased this and also upregulated NHE-3. PMID: 25154512
- Our find-ings suggest that common genetic variations of DRD5 are likely to con-tribute to genetic susceptibility to paranoid schizophrenia in Han Chinese PMID: 24668635
- confirmed at protein level the previously reported increased expression of DRD5 and the variably aberrant expression of ADORA2A, in Lesch-Nyhan disease lymphocytes PMID: 22403020
- SNX1 has a crucial role in D(5)R trafficking and SNX1 depletion results in D(5)R dysfunction and thus may represent a novel mechanism for the pathogenesis of essential hypertension PMID: 23152498
- Tests of a DRD5 microsatellite and four DRD5 single nucleotide polymorphism variants do not support a significant deviation from the Hardy-Weinberg equilibrium in either Caucasian or African American patients. PMID: 22203087
- For the first time we report a significant association between nicotine dependence and DRD5, NPY1R MAP3K4 single nucleotide polymorphism. PMID: 22309839
- intracellular loop 3 is the critical determinant underlying the subtype-specific regulation of human D5-dopaminergic receptor responsiveness by protein kinase C PMID: 21893192
- Data show that the D5 receptor shows a trafficking profile distinct from that of any of the other dopamine receptors. PMID: 21348911
- These findings suggest that the conflicting findings obtained in association studies between ADRA2A polymorphisms and ADHD might be related to temperament profiles, and support additional studies addressing these effects in larger samples. PMID: 20864182
- The DRD5 expression in the temporal lobe of Alzheimer's disease patients is decressed. PMID: 20164562
- susceptibility loci for attention deficit disorder with hyperactivity at DRD5 PMID: 12660802
- these results suggest that there may be a functional variant of dopamine d5 receptor that conders susceptibility to developing focal dystonia in later life. PMID: 14509667
- There is no association of DRD5 polymorphism with ADHD. PMID: 14755441
- The ability of D5 receptor stimulation to decrease ROS production may explain, in part, the antihypertensive action of D5 receptor activation. PMID: 16352863
- Preferential transmission of paternal alleles at risk genes for ADHD is established. PMID: 16380908
- seven consecutive SNPs surrounding the D5 dopamine receptor gene (DRD5), were associated with the age at onset for attention deficit hyperactivity disorder PMID: 17501935
- Genetic analyses of dopamine related genes in adult ADHD patients suggest an association with the DRD5-microsatellite repeat, but not with DRD4 or SLC6A3 VNTRs. PMID: 18081165
- DRD5 (CA)(n) repeat has a modest effect in modulating susceptibility to adult attention deficit hyperactivity disorder PMID: 18164132
- Dopamine 5 receptor mediates Ang II type 1 receptor degradation via a ubiquitin-proteasome pathway in mice and human cells PMID: 18464932
- DRD5 protein is associated with ADHD. PMID: 18563476
- co-localizes with dopamine D2 receptor (together, they activate a calcium signal); a robust calcium signal is also seen with dopamine D5 alone. PMID: 19171671
- study reports the haplotype structure of the DRD5 coding region; analysis of the DRD5 coding region reveals two highly polymorphic SNPs in weak linkage disequilibrium and a low frequency of rare variants PMID: 19397556
顯示更多
收起更多
-
相關疾病:Benign essential blepharospasm (BEB)
-
亞細胞定位:Cell membrane; Multi-pass membrane protein.
-
蛋白家族:G-protein coupled receptor 1 family
-
組織特異性:Neuron-specific, localized primarily within limbic regions of the brain.
-
數據庫鏈接:
Most popular with customers
-
-
YWHAB Recombinant Monoclonal Antibody
Applications: ELISA, WB, IHC, IF, FC
Species Reactivity: Human, Mouse, Rat
-
Phospho-YAP1 (S127) Recombinant Monoclonal Antibody
Applications: ELISA, WB, IHC
Species Reactivity: Human
-
-
-
-
-















