DPT Antibody
-
中文名稱:DPT兔多克隆抗體
-
貨號:CSB-PA007156ESR1HU
-
規格:¥440
-
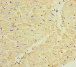
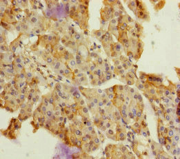
圖片:
-
其他:
產品詳情
-
產品名稱:Rabbit anti-Homo sapiens (Human) DPT Polyclonal antibody
-
Uniprot No.:
-
基因名:DPT
-
別名:DERM_HUMAN antibody; Dermatopontin antibody; Dpt antibody; TRAMP antibody; Tyrosine rich acidic matrix protein antibody; Tyrosine-rich acidic matrix protein antibody
-
宿主:Rabbit
-
反應種屬:Human
-
免疫原:Recombinant Human Dermatopontin protein (19-201AA)
-
免疫原種屬:Homo sapiens (Human)
-
標記方式:Non-conjugated
-
克隆類型:Polyclonal
-
抗體亞型:IgG
-
純化方式:Antigen Affinity Purified
-
濃度:It differs from different batches. Please contact us to confirm it.
-
保存緩沖液:PBS with 0.02% sodium azide, 50% glycerol, pH7.3.
-
產品提供形式:Liquid
-
應用范圍:ELISA, IHC
-
推薦稀釋比:
Application Recommended Dilution IHC 1:20-1:200 -
Protocols:
-
儲存條件:Upon receipt, store at -20°C or -80°C. Avoid repeated freeze.
-
貨期:Basically, we can dispatch the products out in 1-3 working days after receiving your orders. Delivery time maybe differs from different purchasing way or location, please kindly consult your local distributors for specific delivery time.
-
用途:For Research Use Only. Not for use in diagnostic or therapeutic procedures.
相關產品
靶點詳情
-
功能:Seems to mediate adhesion by cell surface integrin binding. May serve as a communication link between the dermal fibroblast cell surface and its extracellular matrix environment. Enhances TGFB1 activity. Inhibits cell proliferation. Accelerates collagen fibril formation, and stabilizes collagen fibrils against low-temperature dissociation.
-
基因功能參考文獻:
- DPT gene silencing could effectively reduce the proliferation of MG-63 cells, slow down the cell cycle progression and promote cell apoptosis. PMID: 29115446
- Novel mutation in DPT segregates with the complete phenotype with variable expressivity in two pedigrees with autosomal dominant familial Meniere's disease. PMID: 27876815
- This study essentially deals with assessing the expression and integrity of an extracellular matrix protein, Dermatopontin (DPT), in chronic cutaneous wounds. PMID: 25260909
- dermatopontin functional peptide produces fibrinogen fibrils and modifies its biological activity PMID: 25082449
- These results indicate that DPT can modify certain biological functions of fibrin, and thus a another function of this extracellular matrix protein was revealed. PMID: 23877568
- data provided strong evidence that downregulation of DPT is a characteristic event in human oral squamous cell carcinoma and that DPT was correlated with cellular adhesion and invasiveness. PMID: 21796630
- DPT has an accelerating role in fibroblast cell adhesion to the provisional matrix in the initial stage of wound healing. PMID: 21398523
- suggests that dermatopontin can play various roles in different tissues and might be a molecule related to carcinogenesis and the progression of HCC via possible interaction with TGF-beta1 and other potential mechanisms PMID: 19916908
- roles of dermatopontin and histamine receptor H1 genes as downstream targets for the VDR were confirmed by gel electromotility shift and chromatin immunoprecipitation assays that showed the presence of VDR complex binding sequences PMID: 17547532
顯示更多
收起更多
-
亞細胞定位:Secreted, extracellular space, extracellular matrix.
-
蛋白家族:Dermatopontin family
-
組織特異性:Expressed in fibroblasts, heart, skeletal muscle, brain and pancreas. Expressed at an intermediate level in lung and kidney, and at a low level in liver and placenta. Expressed at a lower level in fibroblasts from hypertrophic scar lesional skin and in fi
-
數據庫鏈接:
Most popular with customers
-
-
YWHAB Recombinant Monoclonal Antibody
Applications: ELISA, WB, IHC, IF, FC
Species Reactivity: Human, Mouse, Rat
-
Phospho-YAP1 (S127) Recombinant Monoclonal Antibody
Applications: ELISA, WB, IHC
Species Reactivity: Human
-
-
-
-
-















