-
中文名稱:DHX35兔多克隆抗體
-
貨號:CSB-PA887985LA01HU
-
規格:¥440
-
圖片:
-
Western blot
All lanes: DHX35 antibody at 12µg/ml
Lane 1: Mouse kidney tissue
Lane 2: Mouse liver tissue
Lane 3: K562 whole cell lysate
Lane 4: Hela whole cell lysate
Secondary
Goat polyclonal to rabbit IgG at 1/10000 dilution
Predicted band size: 79, 76 kDa
Observed band size: 79 kDa -
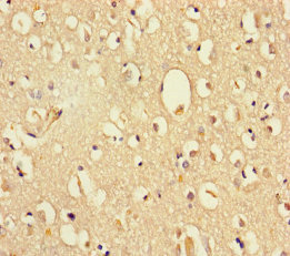
Immunohistochemistry of paraffin-embedded human brain tissue using CSB-PA887985LA01HU at dilution of 1:100
-
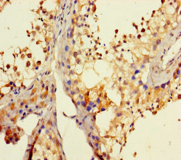
Immunohistochemistry of paraffin-embedded human testis tissue using CSB-PA887985LA01HU at dilution of 1:100
-
-
其他:
產品詳情
-
產品名稱:Rabbit anti-Homo sapiens (Human) DHX35 Polyclonal antibody
-
Uniprot No.:
-
基因名:DHX35
-
別名:DHX35 antibody; C20orf15 antibody; DDX35Probable ATP-dependent RNA helicase DHX35 antibody; EC 3.6.4.13 antibody; DEAH box protein 35 antibody
-
宿主:Rabbit
-
反應種屬:Human, Mouse
-
免疫原:Recombinant Human Probable ATP-dependent RNA helicase DHX35 protein (1-300AA)
-
免疫原種屬:Homo sapiens (Human)
-
標記方式:Non-conjugated
本頁面中的產品,DHX35 Antibody (CSB-PA887985LA01HU),的標記方式是Non-conjugated。對于DHX35 Antibody,我們還提供其他標記。見下表:
-
克隆類型:Polyclonal
-
抗體亞型:IgG
-
純化方式:>95%, Protein G purified
-
濃度:It differs from different batches. Please contact us to confirm it.
-
保存緩沖液:Preservative: 0.03% Proclin 300
Constituents: 50% Glycerol, 0.01M PBS, PH 7.4 -
產品提供形式:Liquid
-
應用范圍:ELISA, WB, IHC
-
推薦稀釋比:
Application Recommended Dilution WB 1:1000-1:5000 IHC 1:20-1:200 -
Protocols:
-
儲存條件:Upon receipt, store at -20°C or -80°C. Avoid repeated freeze.
-
貨期:Basically, we can dispatch the products out in 1-3 working days after receiving your orders. Delivery time maybe differs from different purchasing way or location, please kindly consult your local distributors for specific delivery time.
-
用途:For Research Use Only. Not for use in diagnostic or therapeutic procedures.
引用文獻
相關產品
靶點詳情
-
功能:May be involved in pre-mRNA splicing.
-
基因功能參考文獻:
- human DDX40gene, a new member of the DEAH-box protein family shares 53% and 43% amino acid identity with human DDX8 and yeast Drh1.DDX40 may play roles in pre-mRNA splicing, ribosome biogenesis and other RNA processing functions PMID: 12522690
-
蛋白家族:DEAD box helicase family, DEAH subfamily
-
數據庫鏈接:
Most popular with customers
-
-
YWHAB Recombinant Monoclonal Antibody
Applications: ELISA, WB, IHC, IF, FC
Species Reactivity: Human, Mouse, Rat
-
Phospho-YAP1 (S127) Recombinant Monoclonal Antibody
Applications: ELISA, WB, IHC
Species Reactivity: Human
-
-
-
-
-















