-
中文名稱:DDX50兔多克隆抗體
-
貨號:CSB-PA861080LA01HU
-
規格:¥440
-
圖片:
-
Western blot
All lanes: DDX50 antibody at 4µg/ml
Lane 1: Hela whole cell lysate
Lane 2: Jurkat whole cell lysate
Lane 3: K562 whole cell lysate
Lane 4: 293T whole cell lysate
Secondary
Goat polyclonal to rabbit IgG at 1/10000 dilution
Predicted band size: 83 kDa
Observed band size: 83 kDa -
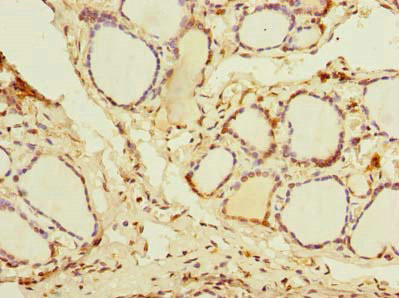
Immunohistochemistry of paraffin-embedded human thyroid tissue using CSB-PA861080LA01HU at dilution of 1:100
-
-
其他:
產品詳情
-
產品名稱:Rabbit anti-Homo sapiens (Human) DDX50 Polyclonal antibody
-
Uniprot No.:
-
基因名:DDX50
-
別名:4933429B04Rik antibody; ATP-dependent RNA helicase DDX50 antibody; Ddx50 antibody; DDX50_HUMAN antibody; DEAD (Asp-Glu-Ala-Asp) box polypeptide 50 antibody; DEAD box protein 50 antibody; Gu beta antibody; Gu-beta antibody; GU2 antibody; GUB antibody; MGC109605 antibody; MGC3199 antibody; Nucleolar protein Gu2 antibody; RH II antibody; RH II/GuB antibody; RNA helicase II / Gu beta antibody
-
宿主:Rabbit
-
反應種屬:Human
-
免疫原:Recombinant Human ATP-dependent RNA helicase DDX50 protein (1-210AA)
-
免疫原種屬:Homo sapiens (Human)
-
標記方式:Non-conjugated
本頁面中的產品,DDX50 Antibody (CSB-PA861080LA01HU),的標記方式是Non-conjugated。對于DDX50 Antibody,我們還提供其他標記。見下表:
-
克隆類型:Polyclonal
-
抗體亞型:IgG
-
純化方式:>95%, Protein G purified
-
濃度:It differs from different batches. Please contact us to confirm it.
-
保存緩沖液:Preservative: 0.03% Proclin 300
Constituents: 50% Glycerol, 0.01M PBS, PH 7.4 -
產品提供形式:Liquid
-
應用范圍:ELISA, WB, IHC
-
推薦稀釋比:
Application Recommended Dilution WB 1:500-1:2000 IHC 1:20-1:200 -
Protocols:
-
儲存條件:Upon receipt, store at -20°C or -80°C. Avoid repeated freeze.
-
貨期:Basically, we can dispatch the products out in 1-3 working days after receiving your orders. Delivery time maybe differs from different purchasing way or location, please kindly consult your local distributors for specific delivery time.
-
用途:For Research Use Only. Not for use in diagnostic or therapeutic procedures.
引用文獻
- System-wide Profiling of RNA-Binding Proteins Uncovers Key Regulators of Virus Infection Garcia-Moreno M, et al,Molecular Cell,2019
相關產品
靶點詳情
-
基因功能參考文獻:
- Results provide evidence that DDX50 negatively regulates DENV-2 replication during the early stages of infection by inducing IFN-beta production. PMID: 28181036
- Solution structure of the GUCT domain from human RNA helicase II/Gu beta reveals the RRM fold, but implausible RNA interactions. PMID: 18615715
-
亞細胞定位:Nucleus, nucleolus.
-
蛋白家族:DEAD box helicase family, DDX21/DDX50 subfamily
-
數據庫鏈接:
Most popular with customers
-
YWHAB Recombinant Monoclonal Antibody
Applications: ELISA, WB, IHC, IF, FC
Species Reactivity: Human, Mouse, Rat
-
Phospho-YAP1 (S127) Recombinant Monoclonal Antibody
Applications: ELISA, WB, IHC
Species Reactivity: Human
-
-
-
-
-
-















