DAG1 Antibody
-
中文名稱:DAG1兔多克隆抗體
-
貨號:CSB-PA613486NA01HU
-
規格:¥440
-
圖片:
-
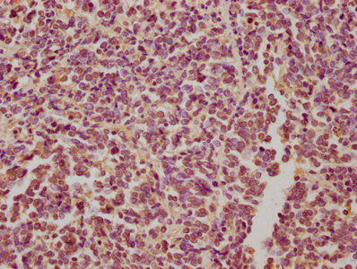
IHC image of CSB-PA613486NA01HU diluted at 1:300 and staining in paraffin-embedded human glioma performed on a Leica BondTM system. After dewaxing and hydration, antigen retrieval was mediated by high pressure in a citrate buffer (pH 6.0). Section was blocked with 10% normal goat serum 30min at RT. Then primary antibody (1% BSA) was incubated at 4°C overnight. The primary is detected by a biotinylated secondary antibody and visualized using an HRP conjugated SP system.
-
-
其他:
產品詳情
-
產品名稱:Rabbit anti-Homo sapiens (Human) DAG1 Polyclonal antibody
-
Uniprot No.:
-
基因名:
-
別名:156DAG antibody; A3a antibody; AGRNR antibody; Alpha dystroglycan antibody; Alpha-DG antibody; Beta-DG antibody; Beta-dystroglycan antibody; DAG antibody; Dag1 antibody; DAG1_HUMAN antibody; Dystroglycan 1 (dystrophin associated glycoprotein 1) antibody; Dystroglycan antibody; Dystrophin associated glycoprotein 1 antibody; Dystrophin-associated glycoprotein 1 antibody; OTTHUMP00000210857 antibody; OTTHUMP00000210858 antibody
-
宿主:Rabbit
-
反應種屬:Human
-
免疫原:Peptide sequence from Human Dystroglycan protein (726-744AA)
-
免疫原種屬:Homo sapiens (Human)
-
標記方式:Non-conjugated
本頁面中的產品,DAG1 Antibody (CSB-PA613486NA01HU),的標記方式是Non-conjugated。對于DAG1 Antibody,我們還提供其他標記。見下表:
-
克隆類型:Polyclonal
-
抗體亞型:IgG
-
純化方式:>95%, Protein G purified
-
濃度:It differs from different batches. Please contact us to confirm it.
-
保存緩沖液:Preservative: 0.03% Proclin 300
Constituents: 50% Glycerol, 0.01M PBS, pH 7.4 -
產品提供形式:Liquid
-
應用范圍:ELISA, IHC
-
推薦稀釋比:
Application Recommended Dilution IHC 1:200-1:500 -
Protocols:
-
儲存條件:Upon receipt, store at -20°C or -80°C. Avoid repeated freeze.
-
貨期:Basically, we can dispatch the products out in 1-3 working days after receiving your orders. Delivery time maybe differs from different purchasing way or location, please kindly consult your local distributors for specific delivery time.
-
用途:For Research Use Only. Not for use in diagnostic or therapeutic procedures.
相關產品
靶點詳情
-
功能:The dystroglycan complex is involved in a number of processes including laminin and basement membrane assembly, sarcolemmal stability, cell survival, peripheral nerve myelination, nodal structure, cell migration, and epithelial polarization.; Extracellular peripheral glycoprotein that acts as a receptor for extracellular matrix proteins containing laminin-G domains. Receptor for laminin-2 (LAMA2) and agrin in peripheral nerve Schwann cells. Also acts as a receptor for laminin LAMA5.; Transmembrane protein that plays important roles in connecting the extracellular matrix to the cytoskeleton. Acts as a cell adhesion receptor in both muscle and non-muscle tissues. Receptor for both DMD and UTRN and, through these interactions, scaffolds axin to the cytoskeleton. Also functions in cell adhesion-mediated signaling and implicated in cell polarity.; (Microbial infection) Acts as a receptor for lassa virus and lymphocytic choriomeningitis virus glycoprotein and class C new-world arenaviruses. Acts as a Schwann cell receptor for Mycobacterium leprae, the causative organism of leprosy, but only in the presence of the G-domain of LAMA2.
-
基因功能參考文獻:
- Study identified beta-dystroglycan as a substrate of WWP1 and found that the muscular dystrophy-causing mutation of WWP1 renders the enzyme hyperactive by relieving autoinhibition. PMID: 29635000
- ISPD and FKTN are essential for the incorporation of ribitol into alpha-dystroglycan. PMID: 27194101
- N-terminal alpha Dystroglycan ELISA signals were significantly reduced in Duchenne muscular dystrophy serum relative to serum from otherwise normal controls. PMID: 27854211
- TMEM5 is a UDP-xylosyl transferase that elaborates the O-mannose glycan structure on alpha-dystroglycan. The authors demonstrate in a zebrafish model as well as in a human patient that defects in TMEM5 result in muscular dystrophy in combination with abnormal brain development. PMID: 27130732
- Our results strongly suggest that the balance and integrity between the dystroglycan alpha and beta subunits are indispensable and responsible for the cell differentiation and proliferation in acute leukemia cells. PMID: 28591567
- interation of DG with laminin and dynamin is involved in the regulation of AQP4 internalization PMID: 27788222
- The Muscular Dystrophy Gene TMEM5 Encodes a Ribitol beta1,4-Xylosyltransferase Required for the Functional Glycosylation of Dystroglycan. PMID: 27733679
- Data show that CD93 antigen proved to be phosphorylated on tyrosine 628 and 644 following cell adhesion on laminin through dystroglycan. PMID: 26848865
- alpha-DG-N removal as an important posttranslational control of endometrial receptivity and uterine fluid alpha-DG-N as a potential biomarker for receptivity in women. PMID: 26077903
- Phosphorylation within the cysteine-rich region of dystrophin enhances its association with beta-dystroglycan and identifies a potential novel therapeutic target for skeletal muscle wasting. PMID: 25082828
- Novel mutations in DAG1 are associated with asymptomatic hyperCKemia with hypoglycosylation of alpha-dystroglycan. PMID: 25503980
- Reduction of alpha-dystroglycan expression is correlated with glioma. PMID: 25139094
- Depletion of DAG resulted in altered morphology and reduced properties of differentiated HL-60 cells, including chemotaxis, respiratory burst, phagocytic activities and markers of differentiation, implicating DAG as a protein involved in differentiation. PMID: 24792180
- A report of a homozygous novel DAG1 missense mutation c.2006G>T in the beta-subunit of dystroglycan in two Libyan siblings with with a novel muscle-eye-brain disease-like phenotype with multicystic leucodystrophy. PMID: 24052401
- The study provides evidence for at least three separate pools of dystroglycan complexes within myofibers that differ in composition and are differentially affected by loss of dystrophin. PMID: 23951345
- These data suggest that proteolysis, tyrosine phosphorylation and translocation of dystroglycan to the nucleus resulting in altered gene transcription could be important mechanisms in the progression of prostate cancer. PMID: 24077328
- T192M point-mutation in dystroglycan leads to a weaker interactions with laminin-1, which leads to hypoglycosylation and which finally leads to the limb girdle disease. PMID: 24361964
- GTDC2 generates CTD110.6 antibody-reactive N-acetylglucosamine epitopes on the O-mannosylated alpha-dystroglycan. PMID: 24041696
- the Dystroglycan-mediated cortical microtubule anchoring, the disruption of which initiates gastrulation EMT. PMID: 23940118
- Loss of alpha-dystroglycan and increased CD133 expression are frequent events in human colon cancer and evaluation of CD133 expression could help to identify high-risk colon cancer patients. PMID: 22964035
- Loss of LARGE2 disrupts functional glycosylation of alpha-dystroglycan in prostate cancer PMID: 23223448
- The loss of dystroglycan during tumorigenesis leads to an increased ability for tumor growth. PMID: 22996647
- novel role for HNK-1ST as a tumor suppressor controlling the functional glycans on alpha-DG and the importance of sulfate transfer in the glycosylation of alpha-DG. PMID: 22801424
- Dynamics of expression patterns of dystroglycan in human glioblastoma PMID: 22307776
- The virus-induced perturbation of alpha6beta1 integrin signalling critically depended on high-affinity Lassa virus binding to dystroglycan and dystroglycan's cytoplasmic domain. PMID: 22405130
- Data suggest that throughout pregnancy, changes occur in expression and distribution of DAG1 and dystroglycan subunits in placental tissues undergoing placentation. PMID: 22138543
- a mechanism by which Large competes with galactosyltransferase to target GlcNAc terminals to induce the functional glycans on alpha-DG PMID: 21347376
- Reduced expression and altered localization of dystroglycan is common in pancreatic cancer, potentially contributing to the aggressive behavior of this disease. PMID: 20338590
- the ligand-binding activity of alpha-dystroglycan is conferred primarily by LARGE modification at Thr-317 and -319, within the highly conserved first 18 amino acids of the mucin-like domain PMID: 21987822
- These observations suggest that secreted alpha-DG-N may be transported via CSF and have yet unidentified effects on the nervous system. PMID: 21741360
- LARGE has a role in inducing alpha-dystroglycan hyperglycosylation in skeletal and cardiac muscle PMID: 21203384
- Ameloblastoma cells proliferate and are differentiated by capturing perlecan differentially with alpha-dystroglycan and integrin beta1, respectively PMID: 21255062
- Data show that loss of nuclear p27(kip1) is a frequent event in human RCCs and is a powerful predictor of poor outcome which, in combination with low DG expression, could help to identify high-risk patients with clear cell RCC. PMID: 20626751
- Beta-Dystroglycan interaction with caveolin-1 in smooth muscle is required for receptor-mediated Ca2+ release. PMID: 20736308
- Twenty-five glycopeptides were characterized from human alpha-dystroglycan, which provide insight to the complex in vivo O-glycosylation of alpha-dystroglycan. PMID: 20507882
- Biological role of dystroglycan in Schwann cell function, especially myelination, and its implications in diseases is reviewed. PMID: 20625412
- Beta-dystroglycan follows a conventional Importin alpha/beta-dependent nuclear import pathway PMID: 20512930
- Loss of alpha-dystroglycan expression is a frequent event in human oral squamous cell carcinoma PMID: 20350218
- analysis of the main cleavage site involved in enzymatic processing of beta-dystroglycan recombinant ectodomain by MMP-9 PMID: 19946898
- study identified phosphorylated O-mannosyl glycan on mucin-like domain of alpha-DG, which was required for laminin binding; patients with muscular dystrophy have defects in a postphosphoryl modification of this phosphorylated O-linked mannose PMID: 20044576
- Post-translational disruption of dystroglycan-ligand interactions in congenital muscular dystrophies. PMID: 12140558
- Glomeruli possess large amounts of a specifically composed complex; this complex may undergo changes in human glomerular disease; and flattening of foot processes is directly associated with dissociation of laminin-dystroglycan complexes. PMID: 12386278
- hAG-2 and hAG-3, human homologues of genes involved in differentiation, are associated with oestrogen receptor-positive breast tumours and interact with metastasis gene C4.4a and dystroglycan. PMID: 12592373
- Expression is frequently reduced in human breast and colon cancers and is associated with tumor progression. PMID: 12598319
- in human coxsackievirus B myocarditis a focal disruption of the DAG can principally occur and may contribute to the pathogenesis of human enterovirus-induced dilated cardiomyopathy PMID: 12920582
- mutation of certain residues prevents both ezrin binding and the induction of actin-rich surface protrusions PMID: 15175275
- Cells that are defective in components of the O-mannosylation pathway showed strikingly reduced lymphocytic choriomeningitis virus infectbility. PMID: 16254364
- alpha-DG glycosylation may differ between neurons and glial cells in congenital musculaar dystrophy brains. PMID: 16466646
- DG may be involved in the progression of primary brain tumors PMID: 16575202
- Fukutin seems to bind to both the hypoglycosylated and fully glycosylated form of alpha-dystroglycan, and seems bind to the core area rather than the sugar chain of alpha-dystroglycan PMID: 17005282
顯示更多
收起更多
-
相關疾病:Muscular dystrophy-dystroglycanopathy limb-girdle C9 (MDDGC9); Muscular dystrophy-dystroglycanopathy congenital with brain and eye anomalies A9 (MDDGA9)
-
亞細胞定位:[Alpha-dystroglycan]: Secreted, extracellular space.; [Beta-dystroglycan]: Cell membrane; Single-pass type I membrane protein. Cytoplasm, cytoskeleton. Nucleus, nucleoplasm. Cell membrane, sarcolemma. Cell junction, synapse, postsynaptic cell membrane.
-
組織特異性:Expressed in a variety of fetal and adult tissues. In epidermal tissue, located to the basement membrane. Also expressed in keratinocytes and fibroblasts.
-
數據庫鏈接:
Most popular with customers
-
-
YWHAB Recombinant Monoclonal Antibody
Applications: ELISA, WB, IHC, IF, FC
Species Reactivity: Human, Mouse, Rat
-
Phospho-YAP1 (S127) Recombinant Monoclonal Antibody
Applications: ELISA, WB, IHC
Species Reactivity: Human
-
-
-
-
-















