CYP11B1 Antibody
-
中文名稱:CYP11B1兔多克隆抗體
-
貨號:CSB-PA248001
-
規格:¥1100
-
圖片:
-
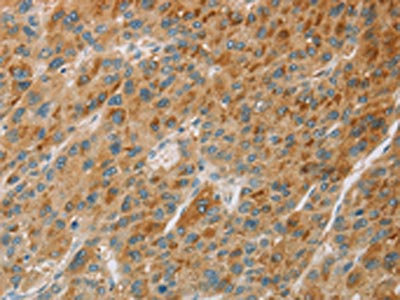
The image on the left is immunohistochemistry of paraffin-embedded Human liver cancer tissue using CSB-PA248001(CYP11B1 Antibody) at dilution 1/30, on the right is treated with fusion protein. (Original magnification: ×200)
-
The image on the left is immunohistochemistry of paraffin-embedded Human thyroid cancer tissue using CSB-PA248001(CYP11B1 Antibody) at dilution 1/30, on the right is treated with fusion protein. (Original magnification: ×200)
-
-
其他:
產品詳情
-
Uniprot No.:
-
基因名:CYP11B1
-
別名:CYP11B1 antibody; S11BHCytochrome P450 11B1 antibody; mitochondrial antibody; CYPXIB1 antibody; Cytochrome P-450c11 antibody; Cytochrome P450C11 antibody; Steroid 11-beta-hydroxylase antibody; CYP11B1 antibody; EC 1.14.15.4 antibody
-
宿主:Rabbit
-
反應種屬:Human
-
免疫原:Fusion protein of Human CYP11B1
-
免疫原種屬:Homo sapiens (Human)
-
標記方式:Non-conjugated
-
抗體亞型:IgG
-
純化方式:Antigen affinity purification
-
濃度:It differs from different batches. Please contact us to confirm it.
-
保存緩沖液:-20°C, pH7.4 PBS, 0.05% NaN3, 40% Glycerol
-
產品提供形式:Liquid
-
應用范圍:ELISA,IHC
-
推薦稀釋比:
Application Recommended Dilution ELISA 1:2000-1:5000 IHC 1:50-1:200 -
Protocols:
-
儲存條件:Upon receipt, store at -20°C or -80°C. Avoid repeated freeze.
-
貨期:Basically, we can dispatch the products out in 1-3 working days after receiving your orders. Delivery time maybe differs from different purchasing way or location, please kindly consult your local distributors for specific delivery time.
-
用途:For Research Use Only. Not for use in diagnostic or therapeutic procedures.
相關產品
靶點詳情
-
功能:A cytochrome P450 monooxygenase involved in the biosynthesis of adrenal corticoids. Catalyzes the hydroxylation of carbon hydrogen bond at 11-beta position of 11-deoxycortisol and 11-deoxycorticosterone/21-hydroxyprogesterone yielding cortisol or corticosterone, respectively. Mechanistically, uses molecular oxygen inserting one oxygen atom into a substrate and reducing the second into a water molecule. Two electrons are provided by NADPH via a two-protein mitochondrial transfer system comprising flavoprotein FDXR (adrenodoxin/ferredoxin reductase) and nonheme iron-sulfur protein FDX1 or FDX2 (adrenodoxin/ferredoxin).
-
基因功能參考文獻:
- p.L340P CYP11B1 mutation is associated with 11beta-Hydroxylase deficiency. PMID: 29703198
- CYP11B1 silencing confirmed the lack of a significant metyrapone effect on mitotane action. The present findings do not support the view that CYP11B1 catalyzes a crucial step in the metabolic activation of mitotane and that CYP11B1 confers the adrenal specificity to mitotane PMID: 29734384
- we report clinical, genetic, hormonal, and structural effects of CYP11B1 gene mutations in the largest international cohort of 108 patients with steroid 11b-hydroxylase deficiency CAH. PMID: 28228528
- We conclude that 11 beta-OHD in Saudi Arabia has a unique genotype with a high rate of novel mutations. The novel p. R448P mutation is the most common mutation in this highly inbred population. PMID: 28962970
- One known and two novel CYP11B1 mutations are associated with congenital adrenal hyperplasia in a Chinese family. The two novel CYP11B1 mutations change heme binding site and decrease 11-hydroxylase activity in vitro. PMID: 28514642
- Data suggest that binding sites between CYP11B1/CYP11B2 and adrenodoxin/ferredoxin-1 exhibit electrostatic interactions at K370 in CYP11B1 and at K366 in CYP11B2 mutant R366K with D79 in adrenodoxin/ferredoxin-1. (CYP11B1 = cytochrome P450 family 11 subfamily B member 1; CYP11B2 = cytochrome P450 family 11 subfamily B member 2) PMID: 28355486
- analysis of CYP11B1 gene mutations in Turkish patients with 11-beta hydroxylase deficiency PMID: 26956189
- CYP11B1 mutants are a rare cause of congenital adrenal hyperplasia with hyperandrogenemia. PMID: 27376426
- Letter/Case Report: compound heterozygous CYP11B1 p.A199P/R448H mutation may predict severe congenital adrenal hypoplasia with severe hypokalemia leading to rhabdomyolysis. PMID: 27376433
- Data from a 19-year-old Chinese woman and her parents suggest congenital adrenal hyperplasia due to steroid 11beta-hydroxylase deficiency can be attributed to both a novel deletion mutation (g.9525_9526delCT, corresponding to p.L380V em leaderR420X) and a known missense mutation (g.5194G>C corresponding to p.D63H) in CYP11B1. [CASE-REPORT] PMID: 26806323
- Congenital adrenal hyperplasia caused by novel mutations in the CYP11B1 gene. PMID: 26476331
- Chimeric CYP11B2/CYP11B1 causing 11beta-hydroxylase deficiency in Chinese patients with congenital adrenal hyperplasia PMID: 26066897
- Seven novel CYP11B1 mutations identified in Chinese patients with 11 beta-hydroxylase deficiency. PMID: 25911436
- Mutations in the CYP11B1 gene are the cause of 11beta-hydroxylase deficiency. PMID: 25913739
- study of the functional consequences of 3 novel and 1 previously described CYP11B1 gene mutations (p.(Arg143Trp), p.(Ala306Val), p.(Glu310Lys) and p.(Arg332Gln)) detected in patients suffering from classical and non-classical 11beta-OHD PMID: 24022297
- Heterogenous immunolocalization of CYP11B2 and diffuse immunoreactivity of CYP11B1 were detected. PMID: 24837548
- Data from recombinant proteins suggest three additional mutations in CYP11B1 (p.His125Thrfs*8; p.Leu463_Leu464dup; p.Ser150Leu) can account for congenital adrenal hyperplasia due to 11-beta-hydroxylase deficiency (classical/non-classical phenotype). PMID: 24536089
- Analysis of the CYP11B1 gene revealed two novel mutations, a small insertion in exon 7 (InsAG393) and a small deletion in exon 2 (DelG766), and three previously known missense mutations (T318M, Q356X, and R427H). PMID: 23345044
- Expression of P45011beta and StAR (steroidogenic acute regulatory protein) is down-regulated in adrenocortical cells and neurons under oxidative stress by ALADIN (triple A syndrome protein, human) knockdown. PMID: 23825130
- Identification and functional characterization of a large deletion of the CYP11B1 gene causing an 11beta-Hydroxylase deficiency. PMID: 23146819
- Functional analysis of heterozygous human adrenal tissue demonstrated decreased CYP11B2 expression and increased CYP11B1 expression for those alleles associating with reduced risk of hypertension. PMID: 23150505
- CYP11B1 gene mutations were identified in nine patients, with a prevalent (p.R454C) and three novel mutations (p.V148G, IVS7-9C>A, c.1359_1360insG). PMID: 22964742
- Mutations in the CYP11B1 gene is associated with congenital adrenal hyperplasia. PMID: 22921894
- Hypertensives homozygous for the -344 T allele of CYP11B2 demonstrate altered 11beta-hydroxylase efficiency (CYP11B1); this is consistent with the hypothesis of a genetically determined increase in adrenal ACTH drive in these subjects. PMID: 17651452
- Both CMO I/CYP11B1 and CMO II/CYP11B2 (expressed as recombinant proteins in COS-7 cells) exhibit steroid 11-beta-hydroxylase activity, but only CMO II/CYP11B2 exhibits steroid 18-hydroxylase activity to form aldosterone. [REVIEW] PMID: 22217843
- We describe a family with an atypical CYP11B1/CYP11B2 gene inheritance pattern and variable phenotypic expression, where the majority of pediatric patients have primary aldosteronism. PMID: 22083159
- CYP11B1 is overexpressed in subclinical cortisol-producing adenomas and its overexpression accounts for the increased production of cortisol PMID: 21848792
- a definitive diagnosis of glucocorticoid-remediable aldosteronism can only be obtained by identification of the CYP11B1/CYP11B2 chimeric gene PMID: 21625068
- Results describe an unprecedented case of unequal cross-over mutation for the chimeric CYP11B1/CYP11B2 gene causing familial hyperaldosteronism-I, which may be linked to a polymorphism in the index case's father germ line. PMID: 20634641
- A novel missense mutation (p.R454C) in the CYP11B1 gene was identified PMID: 20947076
- Importance of adrenal steroid synthesis in the development of hypertension and cardiovascular dysfunction as well as the role of common polymorphisms in adrenal synthetic genes in altering corticosteroid biosynthesis. PMID: 21164264
- in 15 unrelated Tunisian patients with classical 11beta-hydroxylase deficiency, only 2 mutations were detected in homozygous state in the CYP11B1 gene, the p.Q356X in exon 6 (26.6%) and the novel p.G379V in exon 7 with large prevalence (73.3%) PMID: 20331679
- Each CYP11B1 mutation is new and private, contrasting with the high incidence of two Tunisian mutations. PMID: 20523022
- The chimeric gene CYP11B1/CYP11B2 (crossover to be located between intron 2 of CYP11B1 and exon 3 of CYP11B2) cause Glucocorticoid-remediable aldosteronism. (CTP11B1) PMID: 20808686
- Aldosterone-producing adenoma patients were genotyped for rs6410 (G22 5A)& rs6387 (A2803G). DNA polymorphisms at CYP11B2/B1 locus may confer susceptibility to postoperative hypertension of patients with APA. PMID: 20708777
- there was a significant association between polymorphisms in the CYP11B2 and CYP11B1 genes and a genetic predisposition to idiopathic hyperaldosteronism. PMID: 20339375
- Functional analysis results allow for the classification of novel CYP11B1 mutations as causative for classic and nonclassic 11OHD, respectively. PMID: 20089618
- role in familial hyperaldosteronism PMID: 11903322
- Differential regulation of aldosterone synthase and 11beta-hydroxylase transcription by steroidogenic factor-1 PMID: 11932209
- novel nonsense mutation that converts codon 265 CAG (glutamine) to TAG (stop) of exon 4; patient suffers from complete loss of the final step in cortisol biosynthesis pathway because of the nonsense mutation PMID: 14682466
- Molecular variant in CYP11B2 is in linkage disequilibrium (LD) with a key quantitative trait in CYP11B1. PMID: 15507509
- Linkage disequilibrium between causative CYP11B1 variants and CYP11B2 polymorphisms account for urinary 11-deoxycortisol excretion. PMID: 15522937
- Mutations are associated with congenital adrenal hyperplasia. PMID: 15699546
- DNA analysis of the gene (CYP11B1) encoding 11beta-hydroxylase was used in the prenatal diagnosis of 11beta-hydroxylase deficiency, and prenatal dexamethasone treatment was successful in preventing virilization in one affected female fetus. PMID: 15751602
- L299P mutation causes a change in the position of the I helix relative to the heme group, whereas the DeltaF438 mutation results in a steric disarrangement of the heme group relative to the enzyme giving rise sto congenital adrenal hyperplasia. PMID: 15755848
- Micro-satellite polymorphism (tttta)n of gene CYP11 alpha exists in Chinese women and the polymorphism does not relate to the pathogenesis of hyperandrogenism in women with polycystic ovary syndrome. PMID: 15793791
- PCB126 up-regulates steroidogenic CYP11B1 and CYP11B2 mRNA expression not via AhR-mediated transcriptional activation but by increasing posttranscriptional mRNA stability PMID: 16396990
- Aldosterone synthesis is highly heritable and is affected by genotype at CYP11B1. PMID: 16984984
- Impaired 11beta-hydroxylase efficiency associated previously with the CYP11B2 -344 and intron conversion variants is because of linkage with these newly identified polymorphisms in CYP11B1. PMID: 17075029
- no variants were identified in the coding region of CYP11B1 that could account for hypertension and/or a raised aldosterone to renin ratio; however study identifies the importance of these affected residues to enzyme function PMID: 17121536
顯示更多
收起更多
-
相關疾病:Adrenal hyperplasia 4 (AH4); Hyperaldosteronism, familial, 1 (HALD1)
-
亞細胞定位:Mitochondrion inner membrane; Peripheral membrane protein.
-
蛋白家族:Cytochrome P450 family
-
數據庫鏈接:
Most popular with customers
-
YWHAB Recombinant Monoclonal Antibody
Applications: ELISA, WB, IHC, IF, FC
Species Reactivity: Human, Mouse, Rat
-
Phospho-YAP1 (S127) Recombinant Monoclonal Antibody
Applications: ELISA, WB, IHC
Species Reactivity: Human
-
-
-
-
-
-















