CYCS Antibody
-
中文名稱:CYCS兔多克隆抗體
-
貨號:CSB-PA858095
-
規格:¥1100
-
圖片:
-
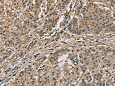
The image is immunohistochemistry of paraffin-embedded Human colon cancer tissue using CSB-PA858095(CYCS Antibody) at dilution 1/70. (Original magnification: ×200)
-
The image is immunohistochemistry of paraffin-embedded Human gastric cancer tissue using CSB-PA858095(CYCS Antibody) at dilution 1/70. (Original magnification: ×200)
-
Gel: 8%SDS-PAGE, Lysate: 40 μg, Lane 1-7: Hela cells, K562 cells, mouse brain tissue, Mouse heart tissue, Mouse kidney tissue, PC3 cells, Jurkat cells, Primary antibody: CSB-PA858095(CYCS Antibody) at dilution 1/700, Secondary antibody: Goat anti rabbit IgG at 1/8000 dilution, Exposure time: 5 seconds
-
-
其他:
產品詳情
-
Uniprot No.:
-
基因名:
-
別名:CYC antibody; CYC_HUMAN antibody; CYCS antibody; Cytochrome c antibody; Cytochrome c somatic antibody; HCS antibody; THC4 antibody
-
宿主:Rabbit
-
反應種屬:Human,Mouse,Rat
-
免疫原:Fusion protein of Human CYCS
-
免疫原種屬:Homo sapiens (Human)
-
標記方式:Non-conjugated
-
抗體亞型:IgG
-
純化方式:Antigen affinity purification
-
濃度:It differs from different batches. Please contact us to confirm it.
-
保存緩沖液:-20°C, pH7.4 PBS, 0.05% NaN3, 40% Glycerol
-
產品提供形式:Liquid
-
應用范圍:ELISA,WB,IHC
-
推薦稀釋比:
Application Recommended Dilution ELISA 1:2000-1:10000 WB 1:500-1:2000 IHC 1:100-1:300 -
Protocols:
-
儲存條件:Upon receipt, store at -20°C or -80°C. Avoid repeated freeze.
-
貨期:Basically, we can dispatch the products out in 1-3 working days after receiving your orders. Delivery time maybe differs from different purchasing way or location, please kindly consult your local distributors for specific delivery time.
-
用途:For Research Use Only. Not for use in diagnostic or therapeutic procedures.
相關產品
靶點詳情
-
功能:Electron carrier protein. The oxidized form of the cytochrome c heme group can accept an electron from the heme group of the cytochrome c1 subunit of cytochrome reductase. Cytochrome c then transfers this electron to the cytochrome oxidase complex, the final protein carrier in the mitochondrial electron-transport chain.; Plays a role in apoptosis. Suppression of the anti-apoptotic members or activation of the pro-apoptotic members of the Bcl-2 family leads to altered mitochondrial membrane permeability resulting in release of cytochrome c into the cytosol. Binding of cytochrome c to Apaf-1 triggers the activation of caspase-9, which then accelerates apoptosis by activating other caspases.
-
基因功能參考文獻:
- Cytochrome c was upregulated in the primary Sjogren's syndrome patients, indicating the potential role of cytochrome c in the pathogenesis and development of primary Sjogren's syndrome. PMID: 29257225
- The caspase-8/Bid/cytochrome c axis links signals from death receptors to mitochondrial reactive oxygen species production. PMID: 28888620
- This work reveals a direct conformational link between the 40-57 Omega-loop of cytochrome c in which residue 41 resides and the dynamical properties of the axial ligand to the heme iron. PMID: 27461282
- The naturally occurring Y48H variant of cytochrome c in its oxidized heme state is more peroxidatic than either the Wild Type protein or the G41S variant that is also implicated in thrombocytopenia. PMID: 29083920
- ROCK activation phosphorylated Rac1b at Ser71 and increased reactive oxygen species (ROS) levels by facilitating the interaction between Rac1b and cytochrome c. Conversely, ROCK inactivation abolished their interaction, concomitant with ROS reduction. PMID: 28317242
- Data suggest that although HCCS mediates heme attachment to N-terminal cysteine in heme-attachment site (CXXXH) of cytochrome C variants, up to 50% of cytochrome C produced is modified in an oxygen-dependent manner, resulting in a mixed population of cytochrome c. [HCCS = holocytochrome c synthase] PMID: 28617588
- Data suggest that the stronger effect of K72A mutation on the peroxidase activity of human versus yeast cytochrome c results from relief of steric interactions between side chains at positions 72 and 81 (Ile in human vs Ala in yeast), which suppresses the dynamics of omega-loop D necessary for the intrinsic peroxidase activity of cytochrome c. PMID: 28598148
- These findings establish a framework for understanding the molecular basis of cytochrome c-mediated blocking of SET/TAF-Ibeta. PMID: 26216969
- Monitoring of serum cytochrome c might also serve as a sensitive apoptotic marker in vivo reflecting chemotherapy-induced cell death burden in patients with non-small cell lung cancer. PMID: 25578497
- G-Rh2 causes rapid and dramatic translocation of both Bak and Bax, which subsequently triggers mitochondrial cytochrome c release and consequent caspase activation. PMID: 23443079
- The mitochondrial metalloprotease OMA1 was activated in a Bax- and Bak-dependent fashion. PMID: 25275009
- In vitro ultrastructural changes of MCF-7 for metastasise bone cancer and induction of apoptosis via mitochondrial cytochrome C released by CaCO3/Dox nanocrystals PMID: 25028650
- a mechanism of multiple radical formations in the cytochrome c-phospholipid complexes under H2O2 treatment, consistent with the stabilization of the radical in the G41S mutant, which elicits a greater peroxidase activity from cytochrome c PMID: 24099549
- proposed that mutation of residue 41, and interaction with cardiolipin, increase peroxidase activity by altering the 40-57 Omega loop and its hydrogen bond network with the propionate of haem ring A; these changes enhance access of hydrogen peroxide and substrate to the haem PMID: 24329121
- Data indicate a novel missense mutation (Y48H) of the cytochrome c (CYCS) gene responsible for thrombocytopenia. PMID: 24326104
- results suggest the impact of residue 41 on the conformation of cytochrome c influences its ability to act in both of its physiological roles, electron transport and caspase activation PMID: 23334161
- structural characterization of cytochrome c in micelle PMID: 23070294
- Data indicate that the formation of cytochrome c-Apaf-1 apoptosome and the presence of Smac are absolutely required for PSAP-induced apoptosis. PMID: 23207240
- Spectroscopic analyses of HCCS alone and complexes of HCCS with site-directed variants of cytochrome c revealed the fundamental steps of heme attachment and maturation. PMID: 23150584
- The levels of cellular apoptosis-associated proteins such as Smac/DIABLO, Cyto C, and the activated fragment of caspase-3 increased in pancreatic cancer cells, but the expression of XIAP was significantly decreased after 24 h treatment with the combination of TRAIL and gemcitabine. PMID: 22320973
- CCN1 promotes the activation of p53 and p38 MAPK, which mediate enhanced cytochrome c release to amplify the cytotoxicity of TNFalpha. PMID: 22363611
- Translocation of ARTS initiates a first wave of caspase activation leading to the subsequent release of additional mitochondrial factors, including cytochrome C and SMAC/Diablo. PMID: 21869827
- Tyrosine phosphorylation turns alkaline transition into a biologically relevant process and makes human cytochrome c behave as an anti-apoptotic switch. PMID: 21706253
- mitochondrial import and direct electron transfer from cytochrome c to Rac1 modulates mitochondrial H(2)O(2) production in alveolar macrophages pulmonary fibrosis. PMID: 22157762
- Dynamic changes in cytochrome c distribution at the Raman band of 750 cm(-1) were observed after adding an apoptosis inducer to the cells. PMID: 22184220
- Specific nitration of tyrosines 46 and 48 makes cytochrome c assemble a non-functional apoptosome. PMID: 22192356
- Studies indicate that the CYCS mutation in TP Cargeegis a glycine 41 replacement by serine, which yields a cytochrome C variant with enhanced apoptotic pathway activity in vitro. PMID: 22102269
- Data show that G-Rh2 and Bet A cooperated to induce Bax traslocation to mitochondria and cytochrome c release, and enhanced cleavage of caspase-8 and Bid. PMID: 21751259
- Cerebrospinal fluid Bcl-2 and cytochrome C levels are elevated in adults after severe traumatic brain injury. PMID: 21448217
- Resveratrol induces p53-independent, X-linked inhibitor of apoptosis protein (XIAP)-mediated Bax protein oligomerization on mitochondria to initiate cytochrome c release and caspase activation. PMID: 21712378
- heme electronic structure change may ultimately be responsible for the enhanced proapoptotic activity of G41S mutated human cyt c PMID: 21192676
- it is the specific nitration of solvent-exposed Tyr74 which enhances the peroxidase activity and blocks the ability of cytochrome c to activate caspase-9, thereby preventing the apoptosis signaling pathway PMID: 20227384
- Data show that sorafenib initiated lethal apoptotic process through the release of cytochrome c and caspase 3/7 activation. PMID: 19770576
- Serum LRG when bound to extracellular Cyt c that is released from apoptotic cells acts as a survival factor for lymphocytes and possibly other cells that are susceptible to the toxic effect of extracellular Cyt c. PMID: 19851871
- NOA36/ZNF330 is translocated from the mitochondria to the cytoplasm when apoptosis is induced and that it contributes to cytochrome c release. PMID: 19895853
- Membrane-associated XIAP induces mitochondrial outer membrane permeabilization leading to cytochrome c and Smac release, which is dependent on Bax and Bak. PMID: 19875445
- galectin-3 is enriched in the mitochondria and prevents mitochondrial damage and cytochrome c release PMID: 11839755
- non-rare allelic variants of the Cyt c protein are absent in the populations analyzed in this study PMID: 16934433
- Mutation of human cytochrome c enhances the intrinsic apoptotic pathway and causes thrombocytopenia PMID: 18345000
- MICS1 individually functions in mitochondrial morphology and cytochrome c release. PMID: 18417609
- Serum cyto-c is a potent tumor marker as a predictor for malignant potential in several different types of cancer. PMID: 18825408
- Both neurons and cancer cells strictly inhibit cytochrome c-mediated apoptosis by a mechanism dependent on glucose metabolism. PMID: 19029908
- In 77 Italian patients with inherited thrombocytopenia and clinical and laboratory features similar to those of patients with the CYCS missense (Gly41Ser) mutation, no alterations of the open reading frame were identified. PMID: 19172527
- there was no evidence of somatic mutations of CYTOCHROME C in the cancers PMID: 19404857
- No difference in the serum level of cytochrome c was seen among the the groups of patients with type 2 diabetes, controls or in subjects with IGT. PMID: 19640329
顯示更多
收起更多
-
相關疾病:Thrombocytopenia 4 (THC4)
-
亞細胞定位:Mitochondrion intermembrane space. Note=Loosely associated with the inner membrane.
-
蛋白家族:Cytochrome c family
-
數據庫鏈接:
Most popular with customers
-
-
YWHAB Recombinant Monoclonal Antibody
Applications: ELISA, WB, IHC, IF, FC
Species Reactivity: Human, Mouse, Rat
-
Phospho-YAP1 (S127) Recombinant Monoclonal Antibody
Applications: ELISA, WB, IHC
Species Reactivity: Human
-
-
-
-
-















