CXCR6 Antibody
-
中文名稱:CXCR6兔多克隆抗體
-
貨號:CSB-PA224134
-
規格:¥1100
-
圖片:
-
The image on the left is immunohistochemistry of paraffin-embedded Human gastic cancer tissue using CSB-PA224134(CXCR6 Antibody) at dilution 1/30, on the right is treated with fusion protein. (Original magnification: ×200)
-
The image on the left is immunohistochemistry of paraffin-embedded Human thyroid cancer tissue using CSB-PA224134(CXCR6 Antibody) at dilution 1/30, on the right is treated with fusion protein. (Original magnification: ×200)
-
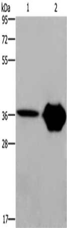
Gel: 8%SDS-PAGE, Lysate: 40 μg, Lane 1-2: Human fetal brain tissue, mouse brain tissue, Primary antibody: CSB-PA224134(CXCR6 Antibody) at dilution 1/350, Secondary antibody: Goat anti rabbit IgG at 1/8000 dilution, Exposure time: 2 minutes
-
-
其他:
產品詳情
-
Uniprot No.:
-
基因名:
-
別名:CXCR6; BONZO; STRL33; TYMSTR; C-X-C chemokine receptor type 6; CXC-R6; CXCR-6; CDw186; G-protein coupled receptor STRL33; G-protein coupled receptor bonzo; CD antigen CD186
-
宿主:Rabbit
-
反應種屬:Human,Mouse
-
免疫原:Fusion protein of Human CXCR6
-
免疫原種屬:Homo sapiens (Human)
-
標記方式:Non-conjugated
-
抗體亞型:IgG
-
純化方式:Antigen affinity purification
-
濃度:It differs from different batches. Please contact us to confirm it.
-
保存緩沖液:Liquid in PBS containing 50% glycerol, 0.5% BSA and 0.02% sodium azide.
-
產品提供形式:Liquid
-
應用范圍:ELISA,WB,IHC
-
推薦稀釋比:
Application Recommended Dilution ELISA 1:2000-1:5000 WB 1:500-1:2000 IHC 1:50-1:200 -
Protocols:
-
儲存條件:Upon receipt, store at -20°C or -80°C. Avoid repeated freeze.
-
貨期:Basically, we can dispatch the products out in 1-3 working days after receiving your orders. Delivery time maybe differs from different purchasing way or location, please kindly consult your local distributors for specific delivery time.
-
用途:For Research Use Only. Not for use in diagnostic or therapeutic procedures.
相關產品
靶點詳情
-
功能:Receptor for the C-X-C chemokine CXCL16. Used as a coreceptor by SIVs and by strains of HIV-2 and m-tropic HIV-1.
-
基因功能參考文獻:
- demonstrate that macrophages can promote the migration and invasion of ovarian carcinoma cells by affecting the CXCL16/CXCR6 pathway PMID: 30049511
- Identified a population of gut-derived TREG cells producing CCR6 and CXCR6 which are significantly reduced in inflammatory bowel disease. PMID: 29981781
- The expression of CXCR6 in tumor tissue may serve as a potential prognostic biomarker to refine clinical prognosis prediction combined with traditional clinical and pathological analysis for patients with clear cell renal cell carcinoma (ccRCC) after surgery. PMID: 28918166
- Data showed that reverse signaling via CXCL16 promotes migration in CXCL16-expressing melanoma and glioblastoma cells, but does not affect proliferation or protection from chemically-induced apoptosis. PMID: 28698473
- Our results demonstrated that CXCR6 is an independent prognostic factor for poor survival in gastric cancer patients, and may promote gastric cancer metastasis through epithelial-mesenchymal transition. PMID: 28440473
- In this study, we undertook a comprehensive comparison of CXCR6 gene variation in two South African populations (black and Caucasian) and investigated the possible association between two CXCR6 SNPs and different phenotypes of HIV-1 control in HIV-1-infected black South African individuals. PMID: 28428094
- Our study demonstrated that CXCL16-CXCR6 mediates CD8(+) T-cell skin trafficking under oxidative stress in patients with vitiligo. PMID: 27826097
- the DRF motif of CXCR6 may display a receptor adaptation allowing adhesion and cell retention by transmembrane CXCL16 but reducing the chemotactic response to soluble CXCL16. PMID: 28267793
- this study shows that CXCR6 mRNA levels in osteosarcoma tissues are higher than those in normal bone tissues PMID: 27823764
- CXCR6 rs2234358 was associated with HCV spontaneous clearance and response to IFN-alpha/RBV therapy in Chinese Han population. PMID: 28456591
- The expression level of CXCR6 was increased in gastric cancer. PMID: 25921630
- The expression of CXCL16 and and its receptor, CXCR6, their immunolocalization in disc tissue and their presence following exposure of cultured human annulus fibrosus cells to proinflammatory cytokines are reported. PMID: 27869573
- Inflammation contributed to foam cell formation in the radial arteries of ESRD patients via activation of the CXCL16/CXCR6 pathway, which may be regulated by P2X7R. PMID: 27877078
- High CXCR6 expression is associated with prostate cancer. PMID: 26799186
- MiR-361-5p was down-regulated in Hepatocellular Carcinoma tissues in comparison to adjacent normal tissues, due to hypermethylation at its promoter region. Overexpression of miR-361-5p suppressed proliferation and invasion of HCC cells. Chemokine (C-X-C Motif) receptor 6 (CXCR6) was identified as a target of miR-361-5p. PMID: 26872014
- Wnt5a-Ror2 signaling enhances expression and secretion of CXCL16 in mesenchymal stem cells thereby activating CXCR6 expressed on tumor cells to promote proliferation. PMID: 26708384
- high protein expression of CXCL16 and high protein co-expression of CXCL16/CXCR6 in prostate cancer were independent predictors for a worse clinical outcome PMID: 26272362
- Authors present evidence that chemokine receptor CXCR6 and its only natural ligand, CXCL16, are significantly expressed by non-small cell lung cancer (NSCLC) and are involved in the pathobiology of lung cancer. PMID: 25888629
- we examined the expression of CXCL16 and CXCR6 and their relations to prognosis in 335 unselected patients with NSCLC, and investigated possible relationships with our previously studied immunologic and angiogenic markers PMID: 26021984
- high expression of CXCR6 is positively associated with distant invasion of human hepatocellular carcinoma (HCC) patients. PMID: 25572735
- CXCL16/CXCR6 interaction may play an important role in modifying the response of pDCs to environmental danger signals PMID: 24302814
- Our results suggest that the CXCL16/CXCR6 axis appears to be important in the progression of Ewing sarcoma family tumor PMID: 24507753
- Data suggest that expression of CXCR6 in T-cells and natural killer cells is up-regulated in subjects with metabolic syndrome and correlates with severity of carotid atherosclerosis (i.e., intima-media thickness and plaque index). PMID: 23398954
- CXCL16 is highly expressed by glial tumor and stroma cells whereas CXCR6 defines a subset of cells with stem cell character. PMID: 23628207
- CXCR6 was found to be abundantly expressed in human meningioma samples of different malignant grades. PMID: 23229614
- the present review proposes and discusses the possibility to modulate tumor self renewal affecting asymmetric/symmetric cell division targeting specific factors such as CXCR6. PMID: 22678828
- The expressions of CXCL12/CXCR4 and CXCL16/CXCR6 were significantly higher in epithelial ovarian carcinomas than in normal epithelial ovarian tissues or benign epithelial ovarian tumors. Expression of CXCR6 was related to lymph node metastasis. PMID: 21527066
- CXCL16 and CXCR6 might be involved in the pathophysiology of endometriosis through regulation of the inflammatory response. PMID: 21773780
- The data supported a role for CCR5, CXCR3, and CXCR6 in the selective recruitment of T cells into renal cell carcinoma tissue and, together with CCR6, in the recruitment of regulatory T cells. PMID: 22079021
- The results indicated that CXCL16-CXCR6 interactions mediate homing of CD8+ T cells into human skin, and thereby contribute to psoriasis pathogenesis. PMID: 22113484
- CXCL16 and CXCR6 are elevated in Systemic sclerosis (SSc) serum and on SSc dermal Endothelial cells, respectively PMID: 21303517
- High CXCL16/CXCR6 expression may be related to aggressive cancer behavior, and high CXCL16 expression to bone metastases. PMID: 21468586
- CXCR6 has a role in aggressive tumor phenotype in melanoma PMID: 21203549
- The CXCL16 A181V mutation selectively inhibits monocyte adhesion to CXCR6 but is not associated with human coronary heart disease. PMID: 21233446
- CXCR6 protein was detected in all clinical prostate cancer samples. Both PC3 and LNCap cells expressed CXCR6 mRNA and protein. PMID: 20646641
- The statistical significance, the replication, and the magnitude of the association demonstrate that CXCR6 is likely involved in the molecular etiology of AIDS and, in particular, in long-term nonprogression. PMID: 20704485
- data suggest that CXCL16 and CXCR6 may mark cancers arising in an inflammatory milieu and mediate pro-tumorigenic effects of inflammation through effects on cancer cell growth and by inducing the migration and proliferation of tumor-associated leukocytes PMID: 19690611
- Chemokine receptor expression on MBP-reactive T cells: CXCR6 is a marker of IFNgamma-producing effector cells. PMID: 12044980
- CCR1, CCR6, and CXCR6 are preferentially expressed by the low cytokine-producing CD8 and CD4(-)CD8(-) subsets of natural killer T-cells. PMID: 12070001
- There is an association between CXCR6 genotype and progression from Pneumocystis carinii pneumonia to death in African-Americans with AIDS. PMID: 12761559
- CXCR6 expression is down-regulated, independent of CCR5 or CD69 expression and of cytokine induction, by T cell activation signals that involve predominantly the Ca(2+)-dependent calcineurin pathway. PMID: 12914753
- The chemokine domain of SR-PSOX/CXCL16 mediated the adhesion of CXCR6-expressing cells, which was not impaired by treatment with pertussis toxin, and was up-regulated by treatment of SR-PSOX/CXCL16-expressing cells with a metalloprotease inhibitor. PMID: 14634054
- HIV-2 isolates from aviremic and viremic individuals commonly use as coreceptors CCR5, GPR15, and CXCR6 PMID: 15650194
- Immunohistochemistry revealed CXCR6 protein predominantly localised in normal colorectal epithelial cells and some scattered stromal cells. No or weak expression was found in cancerous tissue. PMID: 15736401
- chemokine receptor CXCR6 was overexpressed in Th1 and Tc1 T lymphocytes compared with peripheral blood lymphocytes in Graves disease PMID: 15817921
- CXCR6 was expressed more frequently on synovial T cells than in peripheral blood PMID: 16200580
- LPS upregulates CXCR6 mRNA, protein, & surface expression in human aortic smooth muscle cells. Inhibition of TLR4 blocked LPS-mediated CXCR6 expression. LPS stimulated both AP-1 (c-Fos, c-Jun) and NF-kappaB (p50 and p65) activation. PMID: 16870145
- T cells expressing CCR6, CXCR3, and CXCR6 act coordinately with respective ligands and Th1 inflammatory cytokines in the alveolitic/granuloma phases of the disease. PMID: 17615381
- Data show that CC chemokine receptor 5 and CXC chemokine receptor 6 expression by lung CD8+ cells correlates with chronic obstructive pulmonary disease severity. PMID: 17640964
- HIV-1 infected patients with initial viral load suppression due to HAART showed a faster virologic failure in the presence of the CXCR6-3K allele PMID: 17725420
顯示更多
收起更多
-
亞細胞定位:Cell membrane; Multi-pass membrane protein.
-
蛋白家族:G-protein coupled receptor 1 family
-
組織特異性:Expressed in lymphoid tissues and activated T cells.
-
數據庫鏈接:
Most popular with customers
-
-
YWHAB Recombinant Monoclonal Antibody
Applications: ELISA, WB, IHC, IF, FC
Species Reactivity: Human, Mouse, Rat
-
-
-
-
-
-















