CXCL12 Antibody
-
中文名稱:CXCL12兔多克隆抗體
-
貨號:CSB-PA185715
-
規格:¥1100
-
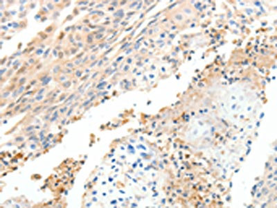
圖片:
-
The image on the left is immunohistochemistry of paraffin-embedded Human breast cancer tissue using CSB-PA185715(CXCL12 Antibody) at dilution 1/40, on the right is treated with synthetic peptide. (Original magnification: ×200)
-
The image on the left is immunohistochemistry of paraffin-embedded Human cervical cancer tissue using CSB-PA185715(CXCL12 Antibody) at dilution 1/40, on the right is treated with synthetic peptide. (Original magnification: ×200)
-
-
其他:
產品詳情
-
Uniprot No.:
-
基因名:
-
別名:12-O-tetradecanoylphorbol 13-acetate repressed protein 1 antibody; AI174028 antibody; C-X-C motif chemokine 12 antibody; Chemokine (C-X-C motif) ligand 12 (stromal cell-derived factor 1) antibody; Chemokine (C-X-C motif) ligand 12 antibody; Chemokine CXC motif ligand 12 antibody; cxcl12 antibody; hIRH antibody; hSDF-1 antibody; Intercrine reduced in hepatomas antibody; IRH antibody; OTTHUMP00000019491 antibody; PBSF antibody; Pre-B cell growth-stimulating factor antibody; SCYB12 antibody; SDF 1 antibody; SDF-1 antibody; SDF-1-alpha(3-67) antibody; SDF-1a antibody; SDF-1b antibody; SDF1_HUMAN antibody; SDF1A antibody; SDF1B antibody; Stromal cell-derived factor 1 antibody; Stromal cell-derived factor 1 delta antibody; Stromal cell-derived factor 1 gamma antibody; Stromal cell-derived factor 1a antibody; Stromal cell-derived factor-1 alpha antibody; Thymic lymphoma cell-stimulating factor antibody; Tlsf antibody; TLSF-a antibody; TLSF-b antibody; Tlsfa antibody; Tlsfb antibody; TPAR1 antibody
-
宿主:Rabbit
-
反應種屬:Human,Mouse
-
免疫原:Synthetic peptide of Human CXCL12
-
免疫原種屬:Homo sapiens (Human)
-
標記方式:Non-conjugated
-
抗體亞型:IgG
-
純化方式:Antigen affinity purification
-
濃度:It differs from different batches. Please contact us to confirm it.
-
保存緩沖液:-20°C, pH7.4 PBS, 0.05% NaN3, 40% Glycerol
-
產品提供形式:Liquid
-
應用范圍:ELISA,IHC
-
推薦稀釋比:
Application Recommended Dilution ELISA 1:2000-1:5000 IHC 1:50-1:200 -
Protocols:
-
儲存條件:Upon receipt, store at -20°C or -80°C. Avoid repeated freeze.
-
貨期:Basically, we can dispatch the products out in 1-3 working days after receiving your orders. Delivery time maybe differs from different purchasing way or location, please kindly consult your local distributors for specific delivery time.
-
用途:For Research Use Only. Not for use in diagnostic or therapeutic procedures.
相關產品
靶點詳情
-
功能:Chemoattractant active on T-lymphocytes and monocytes but not neutrophils. Activates the C-X-C chemokine receptor CXCR4 to induce a rapid and transient rise in the level of intracellular calcium ions and chemotaxis. SDF-1-beta(3-72) and SDF-1-alpha(3-67) show a reduced chemotactic activity. Binding to cell surface proteoglycans seems to inhibit formation of SDF-1-alpha(3-67) and thus to preserve activity on local sites. Also binds to atypical chemokine receptor ACKR3, which activates the beta-arrestin pathway and acts as a scavenger receptor for SDF-1. Binds to the allosteric site (site 2) of integrins and activates integrins ITGAV:ITGB3, ITGA4:ITGB1 and ITGA5:ITGB1 in a CXCR4-independent manner. Acts as a positive regulator of monocyte migration and a negative regulator of monocyte adhesion via the LYN kinase. Stimulates migration of monocytes and T-lymphocytes through its receptors, CXCR4 and ACKR3, and decreases monocyte adherence to surfaces coated with ICAM-1, a ligand for beta-2 integrins. SDF1A/CXCR4 signaling axis inhibits beta-2 integrin LFA-1 mediated adhesion of monocytes to ICAM-1 through LYN kinase. Inhibits CXCR4-mediated infection by T-cell line-adapted HIV-1. Plays a protective role after myocardial infarction. Induces down-regulation and internalization of ACKR3 expressed in various cells. Has several critical functions during embryonic development; required for B-cell lymphopoiesis, myelopoiesis in bone marrow and heart ventricular septum formation. Stimulates the proliferation of bone marrow-derived B-cell progenitors in the presence of IL7 as well as growth of stromal cell-dependent pre-B-cells.
-
基因功能參考文獻:
- CXCL12-positive cases exhibited shorter disease-free survival rates compared to CXCL12-negative cases. PMID: 30182340
- this study shows an essential role of CXCR7, together with CXCR4, in the control of normal and malignant hematopoietic cell migration and homing induced by CXCL12. PMID: 29433559
- CXCL12 rs1801157 is independently associated with Human papillomavirus infection and exerts influence in high grade intraepithelial lesions development PMID: 30227860
- silencing of CXCL12 had a protective effect on podocyte injury, which may be through inhibiting CXCL12/STAT3 signaling pathway. PMID: 29508174
- The CXCL12/SDF1 protein expression is a good prognostic biomarker in breast cancer. PMID: 29800557
- the CXCL12-CXCR4 axis promotes the migration, invasion, and EMT processes in B-CPAP cells, at least partly, by activating the NF-kappaB signaling pathway. PMID: 29316404
- Study shows that CXCL12 methylation-mediated epigenetic regulation of gene expression in papillary thyroid carcinoma (PTC). The study was the first to perform an reduced representation bisulfite sequencing analysis for PTC and suggested that CXCL12 may contribute to PTC development by methylation-mediated epigenetic regulation of gene expression. PMID: 28272462
- results demonstrate that non-oxidizable HMGB1 induce a sustained cardiac fibroblasts migration despite the redox state of the environment and by altering CXCL12/CXCR4 axis. This affects proper cardiac remodeling after an infarction. PMID: 28716707
- A basis for understanding how multiple elements in the sequence encoding the 3'UTR of the CXCL12 gene regulates its transcription and insights about diseases involving abnormal CXCL12alpha expression. PMID: 30266500
- High SDF-1 expression is associated with bladder cancer progression. PMID: 30015971
- High CXCL12 expression is associated with metastasis in colon cancer. PMID: 29305742
- MiR-125b functions as an important downstream mediator upon the activation of CXCL12/CXCR4 axis. PMID: 28176874
- CXCL12-related rs18011517 polymorphism was more frequent in non-Hodgkin lymphoma patients: it might be associated with non-Hodgkin lymphoma pathogenesis and outcome PMID: 30197351
- Data suggest that CXCL12 and its receptor CXCR4 are critical in maintaining homeostasis, specifically during hematopoiesis. Present clinical trials (especially in hematological tumors) are testing whether adding CXCR4 inhibitors to impair tumor dissemination will increase effectiveness of ongoing anti-cancer treatments. (CXCL12 = C-X-C motif chemokine ligand 12; CXCR4 = C-X-C motif chemokine receptor-4) [REVIEW] PMID: 29288743
- BCP-ALL cells actively migrate toward mesenchymal stromal cells (MSCs) in a CXCL12-dependent manner. PMID: 28619846
- Serum CXCR4 and CXCL12 levels increase significantly in septic neonates and they are valuable marker in diagnosis of neonatal sepsis. Serum concentrations of both chemokines represent promising novel biomarkers for neonatal sepsis. PMID: 28562124
- CXCL12 and CXCR4 polymorphisms may be risk factors for hepatocellular carcinoma (HCC), and they may be potential HCC markers. PMID: 29741398
- Stromal cell derived factor-1/C-X-C chemokine receptor type 4 axis induces human dental pulp stem cell migration through FAK/PI3K/Akt and GSK3beta/beta-catenin pathways. PMID: 28067275
- EGFR Over-expression and Mutations Leading to Biological Characteristics Changes of Human Lung Adenocarcinoma Cells through CXCR4/CXCL12 Signaling Pathway PMID: 30037369
- Serum CXCL12, but not CXCR4, Is Associated with Head and Neck Squamous Cell Carcinomas. PMID: 29693336
- The aim of the present study was to assess whether fibrosis markers, estrogen receptor (ER)alpha and the stromal derived factor (SDF)1/CXC chemokine receptor type 4 (CXCR4) axis are abnormally expressed in Intrauterine adhesions endometrium. PMID: 29568895
- HIV-1 infectors with SDF-1 3'A polymorphism have a higher chance of developing late AIDS. PMID: 30053458
- the SDF1/CXCR4 signaling pathway is involved in Lowintensity pulsed ultrasoundpromoted periodontal ligament stem cell migration. PMID: 29620151
- These results suggest that SDF1 (e.g. presented on proteoglycans) can rapidly activate integrins in an allosteric manner by binding to site 2 in the absence of CXCR4. The allosteric integrin activation by SDF1 is a novel target for drug discovery PMID: 29301984
- CXCL12 single nucleotide polymorphisms association with the risk of hypertension in Chinese Han population. PMID: 30180964
- These results suggest a key role for the CXCR4-CXCL12 chemokine axis in breast cancer progression and highlight the prognostic importance of this chemokine axis for breast cancer survival. PMID: 29516917
- serum SDF-1 is increased in and may be a potential useful marker for primary biliary cholangitis PMID: 29414663
- disruption of the CXCR4/CXCL12 axis by CXCR4 antagonist AMD3100 blocked the contribution of both cancer and stromal cells to the metastatic cascade in the liver. PMID: 29436696
- SDF-1 alpha overexpression in bone marrow-derived stromal stem cells promotes bone generation as indicated by osteogenesis and angiogenesis. PMID: 29758548
- These results suggest that SDF1, as an inflammatory cytokine, induces MMP expression in human endplate chondrocytes and that ECM remodeling in the degenerated cartilage endplate may be a favorable factor of endogenous stem cell homing into the nucleus pulposus for regeneration in vivo PMID: 29207021
- data demonstrate that: (i) hypoxia does not affect the capacity of EPCs to support the angiogenic process; (ii) the absence of either VEGF-A or SDF-1 from EPC-CM can be rescued by the presence of the other one, so that the overall angiogenic effects remain unchanged; and (iii) and the concomitant deletion of VEGF-A and SDF-1 from EPC-CM impairs its pro-angiogenic effect, both in vitro and in vivo. PMID: 27943613
- estrogen may promote the progression of ER-negative breast cancer by stimulating cancer-associated fibroblasts to secrete SDF-1alpha, which can recruit MDSCs to the tumor microenvironment to exert tumor-promoting effects PMID: 27996037
- Data support the importance of SDF-1 and CXCR4 expression for loco-regional control and overall survival in HNSCC after primary radiochemotherapy. PMID: 29061496
- Data (including data from studies in knockout mice) suggest that adipocyte autocrine function involving SDF1 regulates insulin resistance; SDF1 gene expression correlates with insulin-desensitized conditions in adipocytes but not other tissues (liver, skeletal muscle); adipocyte-specific ablation of Sdf1 enhances insulin sensitivity in adipose tissues and in whole body. PMID: 29581126
- Study reports that stromal cell-derived factor-1alpha elevated or therapeutically administered in ischemic wounded tissue can stimulate both local endothelial cells (EC) and bone marrow-derived endothelial progenitor cells (EPC) to express reciprocally E-selectin/ligand pairs and thereby enhance EPC-EC interactions. PMID: 27713493
- Authors produced recombinant CXCL12 and CXCL12(5-67) and evaluated their effect in murine adult NSCs migration and survival in vitro. We showed CXCL12(5-67) does not promote NSCs migration, but does induce cell death. PMID: 28623786
- a SDF-1/CXCR4-RhoA and RhoC-ROS-cytoskeleton pathway that regulates Jurkat cell migration in response to SDF-1. PMID: 28536953
- Expression upregulation of mir31 was also validated using GEO data sets. PMID: 27597234
- Differential expression of SDF-1 receptor CXCR4 in molecularly defined forms of inherited thrombocytopenias. PMID: 28032520
- A role for CXCl12 in bladder cancer [review] PMID: 29022185
- Intravenous administration of rhSDF-1alpha accelerates reendothelialization in the aneurysm neck after flow diverter implantation. PMID: 28159982
- These findings suggest a possibility that cells at the sites of MELF pattern had acquired increased invasiveness through the function of the CXCL14-CXCR4 and CXCL12-CXCR4 axes. PMID: 28277316
- study suggested that the SDF-1 rs1801157 polymorphism may serve as a risk factor for cancer development among Asians, especially an increased risk of urologic and lung cancers PMID: 27265091
- no significant association was found between SDF1 polymorphism and HIV susceptibility; a protective effect of SDF1 on AIDS progression and death was seen; in conclusion, SDF1 polymorphism exerts a moderate protective effect against AIDS disease deterioration in some specific populations PMID: 29420545
- Findings indicate that induction of EMT, increased migration and survival depend, in MCF-7 and H460 cells, on the release of FHC control on two pathways, namely the iron/ROS metabolism and CXCR4/CXCL12 axis. PMID: 28774348
- serum level is higher in preeclamptic women PMID: 28001450
- a defect of CXCL12 promoter histone acetylation may represent an additional process participating in CXCL12 expression extinction in colon cancer PMID: 28418886
- The findings indicated that SDF-1alpha/CXCR4 signaling pathway might be associated with the clinicopathological features and prognosis of patients with nasopharyngeal carcinoma. PMID: 28559386
- CXCL12-CXCR7 axis accelerates migration and invasion of pancreatic cancer cells through mTOR and Rho/ROCK pathways, and predicts poor prognosis of pancreatic cancer PMID: 27542220
- the role of CXCL12 in multiple sclerosis, with an emphasis on CXCL12 serum concentrations and its gene polymorphism at position +801 (Review) PMID: 27894110
顯示更多
收起更多
-
亞細胞定位:Secreted.
-
蛋白家族:Intercrine alpha (chemokine CxC) family
-
組織特異性:Isoform Alpha and isoform Beta are ubiquitously expressed, with highest levels detected in liver, pancreas and spleen. Isoform Gamma is mainly expressed in heart, with weak expression detected in several other tissues. Isoform Delta, isoform Epsilon and i
-
數據庫鏈接:
Most popular with customers
-
-
YWHAB Recombinant Monoclonal Antibody
Applications: ELISA, WB, IHC, IF, FC
Species Reactivity: Human, Mouse, Rat
-
Phospho-YAP1 (S127) Recombinant Monoclonal Antibody
Applications: ELISA, WB, IHC
Species Reactivity: Human
-
-
-
-
-















