CUL2 Antibody
-
中文名稱:CUL2兔多克隆抗體
-
貨號:CSB-PA190726
-
規格:¥2024
-
圖片:
-
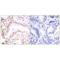
Immunohistochemical analysis of paraffin-embedded human lung carcinoma tissue using Cullin 2 antibody.
-
Immunofluorescence analysis of NIH/3T3 cells, using Cullin 2 antibody.
-
Western blot analysis of extracts from LOVO cells, using Cullin 2 antibody.
-
Western blot analysis of extracts from HepG2 cells (Lane 2), using Cullin 2 antiobdy. The lane on the left is treated with systhesized peptide.
-
-
其他:
產品詳情
-
產品名稱:Rabbit anti-Homo sapiens (Human) CUL2 Polyclonal antibody
-
Uniprot No.:
-
基因名:
-
宿主:Rabbit
-
反應種屬:Human,Mouse
-
免疫原:Synthesized peptide derived from Human Cullin 2.
-
免疫原種屬:Homo sapiens (Human)
-
克隆類型:Polyclonal
-
純化方式:The antibody was affinity-purified from rabbit antiserum by affinity-chromatography using epitope-specific immunogen.
-
濃度:It differs from different batches. Please contact us to confirm it.
-
產品提供形式:Liquid
-
應用范圍:ELISA,WB,IHC,IF
-
推薦稀釋比:
Application Recommended Dilution WB 1:500-1:3000 IHC 1:50-1:100 IF 1:100-1:500 -
Protocols:
-
儲存條件:Upon receipt, store at -20°C or -80°C. Avoid repeated freeze.
-
貨期:Basically, we can dispatch the products out in 1-3 working days after receiving your orders. Delivery time maybe differs from different purchasing way or location, please kindly consult your local distributors for specific delivery time.
-
用途:For Research Use Only. Not for use in diagnostic or therapeutic procedures.
相關產品
靶點詳情
-
功能:Core component of multiple cullin-RING-based ECS (ElonginB/C-CUL2/5-SOCS-box protein) E3 ubiquitin-protein ligase complexes, which mediate the ubiquitination of target proteins. CUL2 may serve as a rigid scaffold in the complex and may contribute to catalysis through positioning of the substrate and the ubiquitin-conjugating enzyme. The E3 ubiquitin-protein ligase activity of the complex is dependent on the neddylation of the cullin subunit and is inhibited by the association of the deneddylated cullin subunit with TIP120A/CAND1. The functional specificity of the ECS complex depends on the substrate recognition component. ECS(VHL) mediates the ubiquitination of hypoxia-inducible factor (HIF). A number of ECS complexes (containing either KLHDC2, KLHDC3, KLHDC10, APPBP2, FEM1A, FEM1B or FEM1C as substrate-recognition component) are part of the DesCEND (destruction via C-end degrons) pathway, which recognizes a C-degron located at the extreme C terminus of target proteins, leading to their ubiquitination and degradation. ECS complexes and ARIH1 collaborate in tandem to mediate ubiquitination of target proteins.
-
基因功能參考文獻:
- direct evidence that both A3A and HPV16 E7 interact with CUL2, suggesting that the E7-CUL2 complex formed during HPV infection may regulate A3A protein levels in the cell. PMID: 29367246
- The crystal structure of a pentameric CRL2(VHL) complex, composed of Cul2, Rbx1, Elongin B, Elongin C, and pVHL reveals hydrophobic contact residues critical for the Cul2 interactions. PMID: 28591624
- Results suggest that E7 recruited CUL2, driven by CUL2/E2F1/miR-424 regulatory loop, is overexpressed and accelerates HPV16-induced cervical carcinogenesis. PMID: 27153550
- Cullins are a family of NEDD8 targets important in the stabilization and degradation of proteins, such as hypoxia-inducible factor (HIF1A), via Cullin-2. PMID: 25326537
- Nevertheless, the identification of the Cul2 box may allow prediction of Cullin specificity for all E4orf6-containing Adenoviridae. PMID: 24453364
- a novel link between the oncoprotein PRAME and the conserved EKC complex PMID: 22912744
- Study finds that UBXN7 over-expression converts CUL2 to its neddylated form and causes the accumulation of non-ubiquitylated HIF1alpha. PMID: 22537386
- The authors applied protein-complex purification strategies and identified PRAME as a substrate recognition subunit of a Cullin2-based E3 ubiquitin ligase. PMID: 21822215
- The data suggest that neither HIF1alpha nor CUL2 mutation may play a central role in HIF1alpha activation in gastric, colorectal, breast, lung and hepatocellular carcinomas, and acute leukemias. PMID: 20078552
- Cullin selection is determined by specific Elongin C and Skp1 sequences PMID: 15280393
- the HPV16 E7-associated cullin 2 ubiquitin ligase complex contributes to aberrant degradation of the pRB tumor suppressor in HPV16 E7-expressing cells. PMID: 17609271
- CUL2 is required for normal vasculogenesis, at least in part mediated by its regulation of HIF-mediated transcription. PMID: 18372249
顯示更多
收起更多
-
蛋白家族:Cullin family
-
數據庫鏈接:
Most popular with customers
-
-
YWHAB Recombinant Monoclonal Antibody
Applications: ELISA, WB, IHC, IF, FC
Species Reactivity: Human, Mouse, Rat
-
Phospho-YAP1 (S127) Recombinant Monoclonal Antibody
Applications: ELISA, WB, IHC
Species Reactivity: Human
-
-
-
-
-















