CTSA Antibody
-
中文名稱:CTSA兔多克隆抗體
-
貨號:CSB-PA006184LA01HU
-
規格:¥440
-
圖片:
-
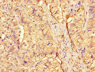
Immunohistochemistry of paraffin-embedded human adrenal gland tissue using CSB-PA006184LA01HU at dilution of 1:100
-
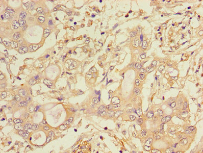
Immunohistochemistry of paraffin-embedded human pancreatic cancer using CSB-PA006184LA01HU at dilution of 1:100
-
Immunofluorescent analysis of Hela cells using CSB-PA006184LA01HU at dilution of 1:100 and Alexa Fluor 488-congugated AffiniPure Goat Anti-Rabbit IgG(H+L)
-
-
其他:
產品詳情
-
產品名稱:Rabbit anti-Homo sapiens (Human) CTSA Polyclonal antibody
-
Uniprot No.:
-
基因名:
-
別名:beta galactosidase 2 antibody; BETA GALACTOSIDASE PROTECTIVE PROTEIN antibody; beta-galactosidase 2 antibody; beta-galactosidase protective protein antibody; betagalactosidase 2 antibody; Carboxypeptidase C antibody; Carboxypeptidase L antibody; carboxypeptidase Y-like kininase antibody; Cathepsin A antibody; Ctsa antibody; deamidase antibody; EC 3.4.16.5 antibody; Glactosialidosis antibody; GLB2 antibody; Goldberg Syndrome antibody; GSL antibody; lysosomal carboxypeptidase A antibody; Lysosomal protective protein 20 kDa chain antibody; Lysosomal protective protein antibody; Lysosomal protective protein deficiency antibody; NEURAMINIDASE BETA GALACTOSIDASE EXPRESSION; NGBE antibody; Neuraminidase deficiency with beta-galactosidase deficiency antibody; NGBE antibody; OTTHUMP00000031778 antibody; OTTHUMP00000031781 antibody; PPCA antibody; PPCA deficiency antibody; PPGB antibody; PPGB_HUMAN antibody; Protective protein cathepsin A antibody; Protective protein for beta galactosidase antibody; Protective protein for beta-galactosidase antibody; Protective protein/cathepsin A deficiency antibody; urinary kininase antibody
-
宿主:Rabbit
-
反應種屬:Human
-
免疫原:Recombinant Human Lysosomal protective protein (30-327AA)
-
免疫原種屬:Homo sapiens (Human)
-
標記方式:Non-conjugated
本頁面中的產品,CTSA Antibody (CSB-PA006184LA01HU),的標記方式是Non-conjugated。對于CTSA Antibody,我們還提供其他標記。見下表:
-
克隆類型:Polyclonal
-
抗體亞型:IgG
-
純化方式:>95%, Protein G purified
-
濃度:It differs from different batches. Please contact us to confirm it.
-
保存緩沖液:Preservative: 0.03% Proclin 300
Constituents: 50% Glycerol, 0.01M PBS, PH 7.4 -
產品提供形式:Liquid
-
應用范圍:ELISA, IHC, IF
-
推薦稀釋比:
Application Recommended Dilution IHC 1:20-1:200 IF 1:50-1:200 -
Protocols:
-
儲存條件:Upon receipt, store at -20°C or -80°C. Avoid repeated freeze.
-
貨期:Basically, we can dispatch the products out in 1-3 working days after receiving your orders. Delivery time maybe differs from different purchasing way or location, please kindly consult your local distributors for specific delivery time.
-
用途:For Research Use Only. Not for use in diagnostic or therapeutic procedures.
相關產品
靶點詳情
-
功能:Protective protein appears to be essential for both the activity of beta-galactosidase and neuraminidase, it associates with these enzymes and exerts a protective function necessary for their stability and activity. This protein is also a carboxypeptidase and can deamidate tachykinins.
-
基因功能參考文獻:
- The usefulness of modified U1 snRNA for rescue from exon 7 skipping caused by the IVS7 +3a>g mutation of the CTSA gene. PMID: 30010039
- The gene signature of OPA1, CTSA, NDUFA1, STK10 and PRDX1 was able to identify patients post-implant with a sensitivity of 91% and a specificity of 86% in discrimination between post-implant group and healthy controls. PMID: 27177495
- Galactosialidosis is a rare lysosomal storage disease caused by a combined deficiency of GM1 beta-galactosidase (beta-gal) and neuraminidase secondary to a defect of a lysosomal enzyme protective protein/cathepsin A (PPCA) and mutation in CTSA gene. PMID: 26259553
- Case Report: galactosialidosis with novel mutations of CTSA gene diagnosed using placental pathology. PMID: 25075748
- We identified compound heterozygous mutations in the CTSA gene, responsible for causing galactosialidosis PMID: 24769197
- correct nomenclature of mutations for this gene is discussed; clinical and mutational analyses of 4 cases with rare infantile form of galactosialidosis; identified 3 novel nucleotide changes, 2 resulting in missense mutations and the third, resulting in the p.Gln406* stop codon; complexity of the clinical phenotypes in GS reflects dual functions of PPCA/CTSA PMID: 23915561
- Catalytic function, tissue distribution and substrates of cathepsin A are discussed as well as inhibition of cathepsin A as an emerging strategy for the treatment of heart failure. PMID: 23495688
- The Cathepsin C releases the glycosidases from complexes formed with cathepsin A, and reinstates their activity. PMID: 22532132
- Our data suggest that CatA is involved in the C-terminal fine-tuning of antigenic T cell epitopes in human APC. PMID: 19954752
- mutations in early infantile galactosialidosis in two Dutch patients PMID: 12649068
- Increased activity of beta-galactosidase in the peritoneal fluid is associated with gynecologic cancers and pelvic inflammatory disease PMID: 15785934
- effects of GLB1, PPCA and NEU1 gene mutations on elastogenesis in skin fibroblasts PMID: 16538002
- Results describe the hydrodynamic properties of PPCA, NEU1, and a complex of the two proteins and identified multiple binding sites on both proteins. PMID: 19666471
顯示更多
收起更多
-
相關疾病:Galactosialidosis (GSL)
-
亞細胞定位:Lysosome.
-
蛋白家族:Peptidase S10 family
-
數據庫鏈接:
Most popular with customers
-
-
YWHAB Recombinant Monoclonal Antibody
Applications: ELISA, WB, IHC, IF, FC
Species Reactivity: Human, Mouse, Rat
-
Phospho-YAP1 (S127) Recombinant Monoclonal Antibody
Applications: ELISA, WB, IHC
Species Reactivity: Human
-
-
-
-
-















