CTGF Antibody
-
中文名稱:CTGF兔多克隆抗體
-
貨號:CSB-PA060417
-
規格:¥1100
-
圖片:
-
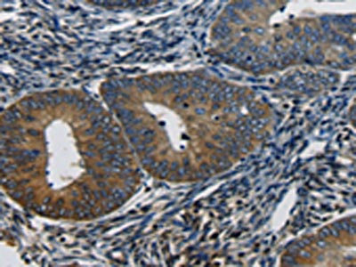
The image on the left is immunohistochemistry of paraffin-embedded Human cervical cancer tissue using CSB-PA060417(CTGF Antibody) at dilution 1/50, on the right is treated with synthetic peptide. (Original magnification: ×200)
-
Gel: 8%SDS-PAGE, Lysate: 40 μg, Lane: Hela cells, Primary antibody: CSB-PA060417(CTGF Antibody) at dilution 1/850, Secondary antibody: Goat anti rabbit IgG at 1/8000 dilution, Exposure time: 1 minute
-
-
其他:
產品詳情
-
Uniprot No.:
-
基因名:
-
別名:CCN 2 antibody; CCN family member 2 antibody; CCN2 antibody; Connective tissue growth factor antibody; Ctgf antibody; CTGF_HUMAN antibody; Hcs 24 antibody; Hcs24 antibody; Hypertrophic chondrocyte specific protein 24 antibody; Hypertrophic chondrocyte-specific gene product 24 antibody; Hypertrophic chondrocyte-specific protein 24 antibody; IBP-8 antibody; IGF-binding protein 8 antibody; IGFBP-8 antibody; IGFBP8 antibody; Insulin like Growth Factor Binding Protein 8 antibody; Insulin-like growth factor-binding protein 8 antibody; MGC102839 antibody; NOV 2 antibody; NOV2 antibody
-
宿主:Rabbit
-
反應種屬:Human,Mouse,Rat
-
免疫原:Synthetic peptide of Human CTGF
-
免疫原種屬:Homo sapiens (Human)
-
標記方式:Non-conjugated
-
抗體亞型:IgG
-
純化方式:Antigen affinity purification
-
濃度:It differs from different batches. Please contact us to confirm it.
-
保存緩沖液:-20°C, pH7.4 PBS, 0.05% NaN3, 40% Glycerol
-
產品提供形式:Liquid
-
應用范圍:ELISA,WB,IHC
-
推薦稀釋比:
Application Recommended Dilution ELISA 1:1000-1:5000 WB 1:500-1:2000 IHC 1:25-1:50 -
Protocols:
-
儲存條件:Upon receipt, store at -20°C or -80°C. Avoid repeated freeze.
-
貨期:Basically, we can dispatch the products out in 1-3 working days after receiving your orders. Delivery time maybe differs from different purchasing way or location, please kindly consult your local distributors for specific delivery time.
-
用途:For Research Use Only. Not for use in diagnostic or therapeutic procedures.
相關產品
靶點詳情
-
功能:Major connective tissue mitoattractant secreted by vascular endothelial cells. Promotes proliferation and differentiation of chondrocytes. Mediates heparin- and divalent cation-dependent cell adhesion in many cell types including fibroblasts, myofibroblasts, endothelial and epithelial cells. Enhances fibroblast growth factor-induced DNA synthesis.
-
基因功能參考文獻:
- This work indicates that NELL-1, HMGB1, and CCN2 might enhance bone defect healing via the recruitment of endogenous cells and induction of vascularization and act via different processes than BMP2. PMID: 28463604
- TRAF1, CTGF, and CX3CL1 genes are hypomethylated in osteoarthritis PMID: 28470428
- Down-regulation of CTGF could markly decrease proliferation. PMID: 29800920
- PVT1 was able to bind and degrade miR26b to promote connective tissue growth factor (CTGF) and angiopoietin 2 (ANGPT2) expression. PMID: 29620147
- CTGF can reduce glycolysis and mitochondrial OXPHOS pathways by increasing mtTFA protein degradation and in turn reduces cancer migration and invasion in oral squamous cell carcinoma (OSCC). PMID: 28438434
- Results show that mRNA and serum expression levels of Cyr61, CTGF, and VEGF in muscle tissues of patients with polymyositis (PM)/dermatomyositis (DM). These data suggest that these genes may be involved in the pathogenesis mainly by affecting the formation of blood vessels and promoting inflammatory response. PMID: 30142763
- This study study discovered a positive feedback loop between CTGF and CCL18 in hepatocellular carcinoma metastasis. PMID: 28837877
- Serum connective tissue growth factor (CTGF) is a promising diagnostic biomarker for rheumatoid arthritis (RA). PMID: 29166915
- Connective tissue growth factor (CTGF) is an important mediator of renal allograft fibrosis, and urinary CTGF (CTGFu) levels correlate with the development of allograft interstitial fibrosis. We evaluated the predictive value of CTGF protein expression in 160 kidney transplant recipients with paired protocol biopsies at 3 months and 5 years after transplantation. PMID: 28390067
- Lymphangiogenesis during tubulointerstitial fibrosis to be associated with increased expression of CTGF and VEGF-C in human obstructed nephropathy as well as in diabetic kidney disease. vitro, CTGF induced VEGF-C production in HK-2 cells, while CTGF siRNA suppressed transforming growth factor beta1-induced VEGF-C upregulation. PMID: 28545716
- miR132 may target CTGF in regulating fibrosis in Ang IItreated cardiac fibroblasts. PMID: 28731126
- CTGF-mediated temozolomide resistance in glioblastoma operates through TGF-beta1-dependent activation of Smad/ERK signaling pathways PMID: 28617438
- CCN2 plays a promoting role in hepatocellular carcinoma (HCC)progression through activating LRP6 in a HSPGs-dependent manner. Heparin in combination with chemotherapy has a synergic effect and could be a treatment choice for HCCs with a high CCN2 expression. PMID: 28870205
- real-time polymerase chain reaction showed higher expression levels of TGF-beta and CTGF in desmoid fibromatosis compared with normal skin. The high constitutive expression of beta-catenin downstream effectors; TGF-beta, CTGF has the potential for enabling targeted therapy PMID: 26894649
- results demonstrated that mechanical stretch and CoCl2-induced HIF-1alpha together increased the level of MMP-2 and decreased the levels of VEGF and CTGF in cultured ACL fibroblasts. PMID: 27600173
- CTGF and BMP2 are induced following myocardial ischemia in mice and humans. PMID: 28460577
- Smurf2, an E3 ubiquitin ligase, interacts with PDE4B and attenuates liver fibrosis through miR-132 mediated CTGF inhibition PMID: 29100790
- the up-regulation of CTGF expression by visfatin might be mediated via HIF-1a -dependent pathway, but not the TGF-b1 pathway in EAHy926 cells PMID: 28478800
- Data suggested that the co-expression of the Hippo transducers TAZ/YAP and CTGF may be an adverse prognostic factor in male breast cancer. PMID: 27248471
- These findings suggest that 5-HT promotes CCN2 production through the 5-HT2AR in growth plates, and that it represses CCN2 production through the 5-HT2BR in articular cartilage for harmonized development of long bones PMID: 29145495
- In addition to well-known anti-inflammatory features, glucocorticoids may have adverse effects on long-term remodeling by TGF-beta1-independent induction of CTGF in lung cells. Simultaneous treatment with caffeine may attenuate glucocorticoid-induced expression of CTGF, thereby promoting restoration of lung homeostasis. PMID: 28330503
- CytoD modified MKL1, a coactivator of serum response factor (SRF) regulating CTGF induction, and promoted its nuclear localization. PMID: 27721022
- CTGF silencing aggravated energy stress induced by hyperthermia and enhanced apoptosis of hyperthermia-resistant cancers. PMID: 27806300
- In lesional SSc dermal fibroblasts, GKT-137831 reduced alpha-SMA and CCN2 protein overexpression and collagen gel contraction PMID: 29049376
- High glucose-induced cytoplasmic translocation of Dnmt3a contributes to CTGF hypo-methylation in mesangial cells. PMID: 27364355
- Results demonstrat that GDF8 stimulates the expression and secretion of CTGF in human granulosa cells and provide evidence that both proteins may play critical roles in the regulation of extracellular matrix formation in these cells. PMID: 27392496
- combined inhibition of ALK5 and CTGF is required to prevent TGFbeta-induced nodule formation in tri-cellular cultures PMID: 28815607
- YAP/TAZ and Smad2 regulate CTGF expression in tubular epithelial cells. Reduced nuclear Smad2 correlated with impaired CTGF secretion in DMOG-treated cells and transient downregulation of Smad2 interfered with TGFbeta-1-induced CTGF synthesis. YAP is an indispensable transcription factor involved in CTGF synthesis. PMID: 27155083
- CTGF mediates TGF-beta1-inhibited human trophoblast cell invasion. PMID: 28977597
- RPTOR (regulatory associated protein of mTOR, complex 1) is a novel target of miR-155 in CF lung epithelial cells. The suppression of RPTOR expression and subsequent activation of TGF-beta signaling resulted in the induction of fibrosis by elevating connective tissue growth factor (CTGF) abundance in CF lung epithelial cells. PMID: 27284727
- The present findings indicate that genetic variation in CTGF may contribute to the attainment of extreme old age in Japanese. PMID: 27365368
- SC-derived CCN2 partially accelerated tumor growth in vitro. PMID: 28208216
- We document for the first time a functional role of CTGF in altering disease progression in a lymphoid malignancy. The findings provide support for targeting the bone marrow microenvironment in aggressive forms of leukaemia. PMID: 26804166
- CCN2 suppression by miR-199a-5p accounts, in part, for low-level fibrogenic gene expression in quiescent hepatic stellate cells (HSCs) and causes dampened gene expression in activated HSCs after horizontal transfer of miR-199a-5p in exosomes from quiescent HSCs. PMID: 27662798
- Data suggest that CTGF could be involved in oncogenic pathways promoting non-viral hepatocellular carcinoma associated with metabolic risk factors via induction of liver inflammation. PMID: 26739296
- MEKK1/MEK1/ERK1/GLI-1/GLI-2, and AP-1 pathways mediated hypoxia-induced CTGF expression in human lung fibroblasts. PMID: 27486656
- Data show that the expression of Interleukin-8 (IL-8) and connective tissue growth factor (CTGF) was significantly reduced by treatment with vemurafenib and trametinib in (V600E)BRAF protein melanoma cells. PMID: 28067893
- CTGF is overexpressed in gastric cancer and adjacent tissue compared to normal gastric tissue. Gastrin induces expression of CTGF in gastric epithelial cells. PMID: 27179776
- We found significantly more positively expressed Connective Tissue Growth Factor protein in Esophageal Squamous Cell Carcinoma tissues was than in normal adjacent esophageal tissues. MiR-145 inhibited the proliferation, migration, invasiveness, and the EMT process of Esophageal Squamous Cell Carcinoma cells through targeted regulation of Connective Tissue Growth Factor expression. PMID: 27771733
- The expression of inflammatory markers in the conjunctiva of trachomatous trichiasis patients were studied; CTGF, S100A7, and IL-1beta were all increased. PMID: 27249027
- Study shows the role of the CTGF gene as a target of miR-18a, and identifies the function of HBV/HBX/miR-18a/CTGF as a key signaling pathway mediating HBV infection-induced HCC. PMID: 27421245
- CTGF expression is significantly upregulated in human masticatory mucosa during wound healing PMID: 28005267
- The present study aimed to examine the clinical relevance of NOV along with CYR61 and CTGF in gastric cancer by analysing their transcript levels...the expression of NOV and CYR61 was increased in gastric cancer. The elevated expression of CYR61 was associated with poorer survival. NOV promoted proliferation and invasion of gastric cancer cells PMID: 27633176
- Authors found that CTGF is always associated with haemosiderin-pigmented macrophage-like cells, which suggests that CTGF is produced by synovial A cells following the uptake of blood breakdown products. PMID: 27704689
- Decreased expression of CTGF is a common feature in Non Small Cell Lung Cancer; however, it can be restored by the chromatin-modifying agents such as 5-dAzaC or TSA and consequently restrain cancer development. PMID: 27393180
- our present findings indicate that the CTGF/p38 axis is a novel therapeutic target of NSCLC metastasis, particularly NSCLC secreting low levels of CTGF. PMID: 27403934
- miR-143-3p inhibits hypertrophic scarring by regulating the proliferation and apoptosis of human HSFs, inhibiting ECM production-associated protein expression by targeting CTGF, and restraining the Akt/mTOR pathway. PMID: 27075467
- Plasma CTGF levels were significantly higher in pulmonary arterial hypertension associated with congenital heart disease than in those with CHD and healthy volunteers PMID: 26714814
- Connective tissue growth factor (CTGF) was found to be overrepresented in most significant enriched pathways and was experimentally confirmed as a bona fide target of miR-18a, which modulated cell migration and proliferation of human corneal epithelial cells. PMID: 27390086
- It has now been shown that CTGF expression is essential for multiplication of fibroblasts, and in its absence, the fibroblasts become unresponsive to agents like TGF-beta1 that normally enhance their growth PMID: 27036370
顯示更多
收起更多
-
亞細胞定位:Secreted, extracellular space, extracellular matrix. Secreted.
-
蛋白家族:CCN family
-
組織特異性:Expressed in bone marrow and thymic cells. Also expressed one of two Wilms tumors tested.
-
數據庫鏈接:
Most popular with customers
-
-
YWHAB Recombinant Monoclonal Antibody
Applications: ELISA, WB, IHC, IF, FC
Species Reactivity: Human, Mouse, Rat
-
Phospho-YAP1 (S127) Recombinant Monoclonal Antibody
Applications: ELISA, WB, IHC
Species Reactivity: Human
-
-
-
-
-















