CSNK2B Antibody
-
中文名稱:CSNK2B兔多克隆抗體
-
貨號:CSB-PA01655A0Rb
-
規格:¥440
-
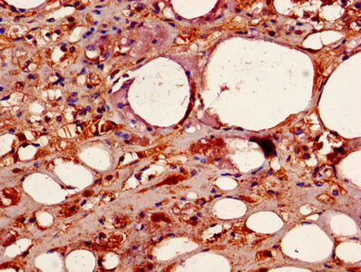
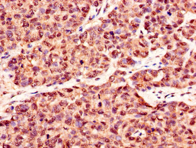
圖片:
-
其他:
產品詳情
-
產品名稱:Rabbit anti-Homo sapiens (Human) CSNK2B Polyclonal antibody
-
Uniprot No.:
-
基因名:
-
別名:Casein kinase 2 beta polypeptide antibody; Casein kinase II beta subunit antibody; Casein kinase II subunit beta antibody; CK II beta antibody; CK2B antibody; CK2N antibody; CSK2B antibody; CSK2B_HUMAN antibody; CSNK 2B antibody; csnk2b antibody; G5A antibody; MGC138222 antibody; MGC138224 antibody; Phosvitin antibody; Protein G5a antibody
-
宿主:Rabbit
-
反應種屬:Human
-
免疫原:Recombinant Human Casein kinase II subunit beta protein (1-215AA)
-
免疫原種屬:Homo sapiens (Human)
-
標記方式:Non-conjugated
本頁面中的產品,CSNK2B Antibody (CSB-PA01655A0Rb),的標記方式是Non-conjugated。對于CSNK2B Antibody,我們還提供其他標記。見下表:
-
克隆類型:Polyclonal
-
抗體亞型:IgG
-
純化方式:>95%, Protein G purified
-
濃度:It differs from different batches. Please contact us to confirm it.
-
保存緩沖液:Preservative: 0.03% Proclin 300
Constituents: 50% Glycerol, 0.01M PBS, PH 7.4 -
產品提供形式:Liquid
-
應用范圍:ELISA, IHC
-
推薦稀釋比:
Application Recommended Dilution IHC 1:20-1:200 -
Protocols:
-
儲存條件:Upon receipt, store at -20°C or -80°C. Avoid repeated freeze.
-
貨期:Basically, we can dispatch the products out in 1-3 working days after receiving your orders. Delivery time maybe differs from different purchasing way or location, please kindly consult your local distributors for specific delivery time.
-
用途:For Research Use Only. Not for use in diagnostic or therapeutic procedures.
相關產品
靶點詳情
-
功能:Regulatory subunit of casein kinase II/CK2. As part of the kinase complex regulates the basal catalytic activity of the alpha subunit a constitutively active serine/threonine-protein kinase that phosphorylates a large number of substrates containing acidic residues C-terminal to the phosphorylated serine or threonine. Participates in Wnt signaling.
-
基因功能參考文獻:
- Patients described are the first cases presenting a loss-of-function variant in the CSNK2B gene in the context of intellectual disability (ID), suggesting that CSNK2Bvariants can cause ID. PMID: 28585349
- ALMS1, GLT8D1, and CSNK2B are schizophrenia risk genes. PMID: 29483533
- We report interactions between CSNK-2beta and IGFBP-1 as well as mTOR and CSNK-2beta, providing strong evidence of a mechanistic link between mTOR and IGF-I signaling, two critical regulators of cell growth via CSNK-2. PMID: 29037858
- Casein kinase 2 role in the proliferation of human osteosarcoma cells. PMID: 27959425
- Data suggest that cryptochromes (Cry1 and Cry2) mediate periodic binding of Ck2b (casein kinase 2beta) to Bmal1 (aryl hydrocarbon receptor nuclear translocator-like protein) and thus inhibit Bmal1-Ser90 phosphorylation by Ck2a (casein kinase 2alpha). PMID: 26562092
- AMPKalpha signalling suppresses EMT and secretion of chemokines in renal tubular epithelia through interaction with CK2beta to attenuate renal injury. PMID: 26108355
- ARKL1 binds CK2beta through the KSSR motif and this involves a polyserine sequence resembling the CK2beta binding sequence in EBNA1. PMID: 24216761
- The high expression of protein kinase CK2beta is closely related to the carcinogenesis and malignancy of esophageal cancer. PMID: 23076192
- The high expression of ck2beta in colorectal cancer is closely correlated to carcinogenesis and metastasis. PMID: 21515457
- A dysregulation of CK2beta expression might contribute to epithelial-to-mesenchymal-transition induction during cancer progression. PMID: 21755461
- C-terminal domain of PLD2 can regulate CKII by accelerating CKIIbeta degradation in HCT116 cells PMID: 21944249
- Our findings argue against the hypothesis that genetic variability in the G-Protein-Coupled Receptor Kinase 5 and Casein Kinase 2 genes modifies Parkinson disease susceptibility PMID: 21514207
- CK2 enhances the protein level and activity of TTP via the modulation of the MKP-1-p38 MAPK signaling pathway; TGF-beta1 enhances the activity of CK2 PMID: 21507959
- Identification of key residues on CK2alpha and CK2beta that play a cooperative role in CK2alpha/CK2beta binding and thermodynamics is important to further understand how these subunits interact in order to form a tetramer. PMID: 21142136
- Threonine at amino acid (aa) 770 and serine at aa 854 to 855 of RIG-I are phosphorylated by casein kinase II (CK2) in the resting state of the cell and dephosphorylated when cells are infected by RNA virus. PMID: 21068236
- analysis of interaction sites between Wee1 kinase and the regulatory beta-subunit of protein kinase CK2 PMID: 20372791
- Freshly isolated peripheral blood mononuclear cells from patients with chronic lymphocytic leukemia (n = 44) showed significantly higher levels of phosphorylated Akt1,PTEN, and casein kinase 2 than healthy persons (n = 8). PMID: 20576813
- CK2 could phosphorylate TNFAIP1 in vitro and in vivo, which facilitated the distribution of TNFAIP1 in nucleus and enhanced its interaction with PCNA. PMID: 19851886
- The Casein Kinase 2 (CK2) was identified as a binding and regulatory partner for Mitogen- and stress-activated protein kinase(MSK1). PMID: 20044958
- Mapping of the interaction domain of the protein kinase CKII beta subunit with target proteins. PMID: 11710515
- Protein kinase CK2 dependent phosphorylation of the E2 ubiquitin conjugating enzyme UBC3B induces its interaction with beta-TRCp and enhances beta-catenin degradation. PMID: 12037680
- sequencing of full-length DNA encoding subunits in platelets and megakaryocytic cells PMID: 12102635
- FGF-1 binds to both the catalytic alpha-subunit & to the regulatory beta-subunit of CK2.The presence of FGF-1 or FGF-2 was found to enhance the autophosphorylation of CK2 beta. PMID: 12145206
- results show that the Ring-H2 finger motif of CKBBP1 is necessary for efficient binding to CKIIbeta, as well as for optimal cell proliferation PMID: 12470599
- microtubule-associated protein that confers microtubule stability in a phosphorylation-independent manner PMID: 14634006
- Casein kinase II (CKII) phosphorylates synphilin-1; beta subunit of this enzyme complex binds to synphilin-1. CKII-mediated phosphorylation of synphilin-1, rather than alpha-synuclein, modulates the aggregation into inclusion bodies. PMID: 14645218
- CK2 phosphorylation of La can affect production of the translational machinery PMID: 15485924
- These findings support the notion that CK2beta can act as a general modulator of remote docking sites in protein kinase--substrate interactions. PMID: 15940255
- there is a functional link between S6K1 II and CK2 signaling, which involves the regulation of S6K1 II nuclear export by CK2-mediated phosphorylation of Ser-17 PMID: 16895915
- hNopp140 serves as a negative regulator of CK2 and InsP(6) stimulates the activity of CK2 by blocking the interaction between hNopp140 and CK2 PMID: 17038328
- a stabilized form of CK2beta can be used to inhibit cell proliferation PMID: 17681943
- protein kinase CK2 is involved in cell cycle regulation and indicate the mechanism by which CDC25A turnover might be regulated by Chk1 in the absence of DNA damage. PMID: 17912454
- Further studies in transgenic mice and cultured cells suggest that cellular toxicity, including proteasomal dysfunction, increases casein kinase 2 activity, which results in elevated Ser129 alpha-syn phosphorylation. PMID: 18451726
- The regulatory beta-subunit of protein kinase CK2 regulates cell-cycle progression. PMID: 18469858
- These findings support the view that CK2beta regulates various intracellular processes by modulating the activity of protein kinases that are distinct from CK2. PMID: 18560763
- Data show that these CK2-targeted motifs in MDC1 are required to mediate NBS1 association with chromatin-flanking sites of unrepaired DNA double-strand breaks. PMID: 18583988
- In epithelial cells, a fraction of CK2 is associated to the plasma membrane and that this localization is controlled by cell-matrix interactions. PMID: 18587631
- presents unbound three-dimensional structure of a CK2beta construct that is fully capable of CK2alpha recruitment and quantify its affinity to CK2alpha thermodynamically PMID: 18824508
- CK2beta is widely expressed in endometrial carcinoma , and suggest a role in cell proliferation and anchorage-independent cell growth PMID: 19056846
- Casein kinase 2 phosphorylates human cytomegalovirus pUL84, and this interaction is required for oriLyt-dependent DNA replication. PMID: 19091862
- These studies support CK2beta as an important regulator of ALK-1 signaling and ALK-1-mediated functions in endothelial cells. PMID: 19592636
- These experiments indicate that casein kinase II phosphorylation of varicella-zoster virus open reading frame 63 S186 occurs in the nucleus and possibly identify an initial molecular event operative in virus reactivation. PMID: 19759161
顯示更多
收起更多
-
蛋白家族:Casein kinase 2 subunit beta family
-
數據庫鏈接:
Most popular with customers
-
-
YWHAB Recombinant Monoclonal Antibody
Applications: ELISA, WB, IHC, IF, FC
Species Reactivity: Human, Mouse, Rat
-
Phospho-YAP1 (S127) Recombinant Monoclonal Antibody
Applications: ELISA, WB, IHC
Species Reactivity: Human
-
-
-
-
-















