CRLF2 Antibody
-
中文名稱:CRLF2兔多克隆抗體
-
貨號:CSB-PA905549
-
規格:¥1100
-
圖片:
-
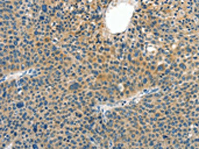
The image on the left is immunohistochemistry of paraffin-embedded Human liver cancer tissue using CSB-PA905549(CRLF2 Antibody) at dilution 1/60, on the right is treated with synthetic peptide. (Original magnification: ×200)
-
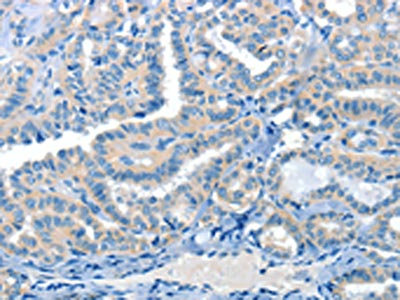
The image on the left is immunohistochemistry of paraffin-embedded Human thyroid cancer tissue using CSB-PA905549(CRLF2 Antibody) at dilution 1/60, on the right is treated with synthetic peptide. (Original magnification: ×200)
-
-
其他:
產品詳情
-
Uniprot No.:
-
基因名:
-
別名:CRL 2 antibody; CRL2 antibody; CRLF 2 antibody; Crlf2 antibody; CRLF2_HUMAN antibody; CRLF2Y antibody; Cytokine receptor CRL2 precusor antibody; Cytokine receptor like 2 antibody; Cytokine receptor like factor 2 antibody; Cytokine receptor like factor 2 precursor antibody; Cytokine receptor-like 2 antibody; Cytokine receptor-like factor 2 antibody; IL XR antibody; IL-XR antibody; ILXR antibody; Thymic stromal derived lymphopoietin receptor antibody; Thymic stromal lymphopoietin protein receptor antibody; Thymic stromal lymphopoietin receptor antibody; TSLP receptor antibody; TSLPR antibody
-
宿主:Rabbit
-
反應種屬:Human
-
免疫原:Synthetic peptide of Human CRLF2
-
免疫原種屬:Homo sapiens (Human)
-
標記方式:Non-conjugated
-
抗體亞型:IgG
-
純化方式:Antigen affinity purification
-
濃度:It differs from different batches. Please contact us to confirm it.
-
保存緩沖液:-20°C, pH7.4 PBS, 0.05% NaN3, 40% Glycerol
-
產品提供形式:Liquid
-
應用范圍:ELISA,IHC
-
推薦稀釋比:
Application Recommended Dilution ELISA 1:1000-1:5000 IHC 1:50-1:200 -
Protocols:
-
儲存條件:Upon receipt, store at -20°C or -80°C. Avoid repeated freeze.
-
貨期:Basically, we can dispatch the products out in 1-3 working days after receiving your orders. Delivery time maybe differs from different purchasing way or location, please kindly consult your local distributors for specific delivery time.
-
用途:For Research Use Only. Not for use in diagnostic or therapeutic procedures.
相關產品
靶點詳情
-
功能:Receptor for thymic stromal lymphopoietin (TSLP). Forms a functional complex with TSLP and IL7R which is capable of stimulating cell proliferation through activation of STAT3 and STAT5. Also activates JAK2. Implicated in the development of the hematopoietic system.
-
基因功能參考文獻:
- Family-based whole genome analysis of a family with hereditary pulmonary alveolar proteinosis revealed a homozygous deletion that disrupts CSF2RA, CRLF2, and IL3RA gene in the pseudoautosomal region of the X chromosome in the affected child and one of asymptomatic siblings. PMID: 28233860
- TSLP expression on the basophil membrane of patients with severe asthma was not significantly different from healthy controls. PMID: 29402810
- high CRLF2 expression works with the IKZF1 deletion to drive oncogenesis of acute lymphoblastic leukemia PMID: 27391346
- this study shows that CRLF2 over-expression is a poor prognostic marker in children with high risk T-cell acute lymphoblastic leukemia PMID: 27449287
- data suggest that this high frequency of genetic aberrations in the context of a high CRLF2 expression could contribute to the high risk of relapse in P2RY8/CRLF2- and IGH/CRLF2-positive acute lymphoblastic leukemia. PMID: 28371317
- CRLF2 overexpression is associated with childhood B-cell acute lymphoblastic leukemia. PMID: 27637012
- CRLF2 gene rearrangement is associated with acute lymphoblastic leukemia. PMID: 28033648
- TSLPR levels were found to be significantly higher in asthmatic than in nonasthmatic children. TSLPR expression in non-allergic asthmatic and allergic asthmatic groups was found to be significantly higher than in non-allergic nonasthmatic group PMID: 26999524
- In adult B-cell acute lymphoblastic leukemia without recurrent fusion genes , high CRLF2 expression is associated with distinct clinico-biological features and an unfavourable prognosis PMID: 26754556
- CD4+ T cells from atopic dermatitis patients directly interacted with TSLP to produce a higher amount of IL-4 than those from normal subjects, and this action was attenuated with anti-TSLPR antibody PMID: 26288354
- The levels of mRNA for TSLP and TSLPR were significantly elevated in parotid gland tissues from the KD group as compared to the control group. PMID: 25676453
- Differences exist in the genetic profiles of Down syndrome-associated acute lymphoblastic leukemia patients in Japan and in Western countries, and that P2RY8-CRLF2 and EBF1 deletions may cooperate in leukemogenesis in a subset of Japanese DS-ALL patients. PMID: 25044358
- CRLF2 overexpression (OE) was detected in 30 (18%) of 167 patients, the P2RY8-CRLF2 fusion was identified in only 3 (1.8%) of 167 patients, all of which demonstrated CRLF2 OE. PMID: 24935070
- we report noncysteine in-frame mutations in IL7R and CRLF2 located in a region of the transmembrane domain closer to the cytosolic domain in acute lymphoblastic leukemias PMID: 24787007
- The TSLPR in blood plateltes promotes platelet activation via activating the PI3K/AKT pathway. PMID: 24356513
- both IKZF1 deletions and IGH@-CRLF2 are associated with an increased risk of treatment failure in adult acute lymphoblastic leukemia PMID: 24018820
- Data indicate that CD66c is frequently expressed in CRLF2-positive as well as hypodiploid cases. PMID: 24231528
- Higher cumulative incidence of relapse was found for BCR-ABL1-like and IKZF1-deleted, but not CRLF2-high, cases relative to remaining BCP-ALL cases. PMID: 23974192
- IKZF1 deletions and CRLF2-high expression predicted poor outcomes in patients with HR-ALL but not in patients with SR-ALL in our Japanese cohort PMID: 23804397
- Results show no clinical or laboratory difference between those with high and low crlf2 expression PMID: 23145900
- P2RY8-CRLF2-positive clones do not have the necessary proliferative or selective advantage to evolve into a disease-relevant relapse clone. PMID: 23091296
- Neither CRLF2 nor JAK2 were predictors for worse prognosis in children with Down's syndrome and acute lymphoblastic leukemia. PMID: 22441210
- Poor prognosis for P2RY8-CRLF2 fusion but not for CRLF2 over-expression in children with intermediate risk B-cell precursor acute lymphoblastic leukemia. PMID: 22484421
- CRLF2-overexpressing B-cell acute lymphoblastic leukemias have a gain-of-function CRLF2 F232C mutation or activating mutations in JAK2. PMID: 22915648
- CRLF2-deregulation and IGH locus translocations represent distinct subtypes of adolescent and adult acute lymphoblastic leukemia. PMID: 22851563
- This review sums up diverse mechanisms that mediate TSLP/TSLP receptor-signalling network in chronic airway diseases. PMID: 22168549
- CRLF2 overexpression is associated with acute lymphoblastic leukemia. PMID: 22297722
- High CRLF2 expression is associated with a very poor outcome in high-risk, but not standard-risk, acute lymphoblastic leukemia. PMID: 22368272
- Data indicate that overexpression of CRLF2 was not observed in adult patients with Ph-positive or T-ALL but was limited to B-ALL patients with a normal diagnostic karyotype. PMID: 21457190
- review highlights the current knowledge of the incidence, prognostic significance, and biology of CRLF2-overexpressing ALL and future directions for development of targeted therapies PMID: 22150304
- TSLPR expression was significantly higher in the inflammatory infiltrate and in the epithelial cells of chronic rhinosinusitis with or without nasal polyps PMID: 21978707
- Integrated genomic profiling has identified potential therapeutic targets in acute lymphoblastic leukemia, including aberrant cytokine receptor signaling mediated by rearrangements and mutation of CRLF2 PMID: 21169835
- Deregulated expression of CRLF2 (CRLF2-d) arises via its juxtaposition to the IGH@ enhancer or P2RY8 promoter. Among 865 BCP-ALL children treated on MRC ALL97, 52 (6%) had CRLF2-d, but it was more prevalent among Down syndrome patients (54%). PMID: 21106984
- increased CRLF2 expression associates with JAK2 mutation, a combination that transforms hematopoietic cells, suggesting that mutant JAK2 and CRLF2 may cooperate to contribute to B-progenitor acute lymphoblastic leukemia formation [review] PMID: 20807819
- The genotype and allele frequencies of the g.33G>C and g.19646A>G of the TSLPR gene were significantly associated in the atopic asthma patients rather than in the non-atopic asthma patients PMID: 20663412
- Studies indicate that of 19 total CRLF2 breakpoints, 7 are directly at CpGs and breakpoints are much closer to CpGs than expected by random chance. PMID: 20847213
- Study reports an extremely high incidence of relapse (71% +/- 19%) in non-high-risk precursor B-cell acute lymphoblastic leukemia patients with P2RY8-CRLF2 rearrangement. PMID: 20378752
- Activation of CRLF2 expression, mutation of of JAK1 or JAK2, and alterations of IKZF1 cooperate to promote B-cell leukemogenesis. PMID: 20139093
- The hymic stromal lymphopoietin receptor is involved in the pathogenesis of allergic asthma through the activation of human airway smooth muscle cells by t hymic stromal lymphopoietin PMID: 20483734
- human TSLP receptor requires the function of JAK1 and JAK2 for STAT activation PMID: 20128689
- Activating mutation in the TSLPR gene in B-cell precursor lymphoblastic leukemia; results indicate that TSLPR activation may occur independently of a JAK2R683 mutation and that TSLPR can also be the site of a point mutation PMID: 19907440
- Our data indicate that epithelial cells express TSLPR and that TSLP induces bronchial epithelial cell proliferation and increases injury repair through IL-13 production. PMID: 20236697
- Induced homodimerization of receptor chimeras containing the transmembrane and cytoplasmic domains of both human and mouse TSLP receptors is not sufficient for driving cell proliferation. PMID: 20096461
- Results implicate CRLF2 as an important factor in precursor B-cell acute lymphoblastic leukemia with diagnostic, prognostic, and therapeutic implications. PMID: 20018760
- Results suggest that the majority of DS children with ALL may benefit from therapy blocking the CRLF2/JAK2 pathways. PMID: 19965641
- Expression of TSLP receptor was upregulated on atopic DCs primed with H22-Fel d 1 through a pathway regulated by FcgammaRI-associated signaling components. PMID: 20109752
- The presence of TSLP receptors is unexpectedly demonstrated on activated human CD4-positive T cells. PMID: 17513717
- A causal role of CRLF2 overexpression in lymphoid transformation. PMID: 19641190
- report a recurring interstitial deletion of the pseudoautosomal region 1 of chromosomes X and Y in B-progenitor acute lymphoblastic leukemia that juxtaposes the first, noncoding exon of P2RY8 with the coding region of CRLF2. PMID: 19838194
顯示更多
收起更多
-
亞細胞定位:[Isoform 1]: Cell membrane; Single-pass type I membrane protein.; [Isoform 2]: Secreted.
-
蛋白家族:Type I cytokine receptor family, Type 5 subfamily
-
組織特異性:Expressed in heart, skeletal muscle, kidney and adult and fetal liver. Primarily expressed in dendrites and monocytes. Weakly expressed in T-cells.
-
數據庫鏈接:
Most popular with customers
-
-
YWHAB Recombinant Monoclonal Antibody
Applications: ELISA, WB, IHC, IF, FC
Species Reactivity: Human, Mouse, Rat
-
Phospho-YAP1 (S127) Recombinant Monoclonal Antibody
Applications: ELISA, WB, IHC
Species Reactivity: Human
-
-
-
-
-















