CRKL Antibody
-
中文名稱:CRKL兔多克隆抗體
-
貨號:CSB-PA831164
-
規格:¥1100
-
圖片:
-
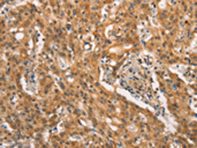
The image on the left is immunohistochemistry of paraffin-embedded Human gastic cancer tissue using CSB-PA831164(CRKL Antibody) at dilution 1/25, on the right is treated with synthetic peptide. (Original magnification: ×200)
-
The image on the left is immunohistochemistry of paraffin-embedded Human thyroid cancer tissue using CSB-PA831164(CRKL Antibody) at dilution 1/25, on the right is treated with synthetic peptide. (Original magnification: ×200)
-
Gel: 15%SDS-PAGE, Lysate: 40 μg, Lane 1-7: Lovo cells, A431 cells, A549 cells, hela cells, hepG2 cells, Raji cells, mouse brain tissue, Primary antibody: CSB-PA831164(CRKL Antibody) at dilution 1/550, Secondary antibody: Goat anti rabbit IgG at 1/8000 dilution, Exposure time: 1 minute
-
-
其他:
產品詳情
-
Uniprot No.:
-
基因名:
-
別名:Crk L antibody; Crk like protein antibody; Crk-like protein antibody; Crkl antibody; CRKL_HUMAN antibody; Crkol antibody; HGNC:2363 antibody; Oncogene CrkL antibody; V crk avian sarcoma virus CT10 oncogene homolog like antibody; v crk sarcoma virus CT10 oncogene homolog (avian) like antibody; V crk sarcoma virus CT10 oncogene homolog avian like antibody
-
宿主:Rabbit
-
反應種屬:Human,Mouse,Rat
-
免疫原:Synthetic peptide of Human CRKL
-
免疫原種屬:Homo sapiens (Human)
-
標記方式:Non-conjugated
-
抗體亞型:IgG
-
純化方式:Antigen affinity purification
-
濃度:It differs from different batches. Please contact us to confirm it.
-
保存緩沖液:-20°C, pH7.4 PBS, 0.05% NaN3, 40% Glycerol
-
產品提供形式:Liquid
-
應用范圍:ELISA,WB,IHC
-
推薦稀釋比:
Application Recommended Dilution ELISA 1:2000-1:5000 WB 1:500-1:2000 IHC 1:25-1:100 -
Protocols:
-
儲存條件:Upon receipt, store at -20°C or -80°C. Avoid repeated freeze.
-
貨期:Basically, we can dispatch the products out in 1-3 working days after receiving your orders. Delivery time maybe differs from different purchasing way or location, please kindly consult your local distributors for specific delivery time.
-
用途:For Research Use Only. Not for use in diagnostic or therapeutic procedures.
相關產品
靶點詳情
-
功能:May mediate the transduction of intracellular signals.
-
基因功能參考文獻:
- Taken together, our data demonstrated that miR-429 might function as an antimetastatic miRNA to regulate HCC metastasis by directly targeting CRKL via modulating Raf/MEK/ERK-epithelial mesenchymal transition pathway. PMID: 29403024
- High CRKL expression is associated with Cervical Cancer. PMID: 29295725
- Silencing CRKL expression in PTEN-null human cancer cells leads to a decrease in p110beta-dependent PI3K signaling and cell proliferation. PMID: 28723560
- Study found the expression of CRKL up-regulated and correlated with that of ABCG2 in gastric neoplasm. CRKL is one of the downstream molecules regulated by ABCG2, which promotes cell growth. PMID: 28029654
- We demonstrated that CRKL is a novel downstream effector of ALK signaling in non-small-cell lung cancer PMID: 27078848
- Dynamic multi-site phosphorylation by Fyn and Abl drives the interaction between CRKL and the novel scaffolding receptors DCBLD1 and DCBLD2. PMID: 29025973
- Data show that miR-193b, by directly targeting focal adhesion kinase (FAK), CRK-like proto-oncogene (CRKL), and methionine sulfoxide reductase A (MSRA), regulates focal adhesion signaling and ROS signaling, which play pivotal roles in liposarcomagenesis and adipogenic differentiation. PMID: 28882999
- TP53-miR-215-PCAT-1-CRKL axis might represent an important regulatory pathway in hepatocellular carcinoma. PMID: 28887306
- The impaired T-cell proliferation and reduction of CRKL, phosphorylated CRKL, and c-Fos levels suggest a possible role of CRKL in functional deficiencies of T cells in patients with pDGS. PMID: 26875746
- he findings in this study indicate a regulation relationship between CRKL and SLC7A5, and provide useful evidence for gastric cancer therapeutic strategies. PMID: 27846244
- We identified a recurrent 370-kb deletion at the 22q11.2 locus as a driver of kidney defects in the DiGeorge syndrome and in sporadic congenital kidney and urinary tract anomalies. SNAP29, AIFM3, and CRKL appear to be critical to the phenotype, with haploinsufficiency of CRKL emerging as the main genetic driver. PMID: 28121514
- a role for miR-429 as a novel target suppressing invasion and migration of human cervical cancer cells through modulation of its targeting genes ZEB1 and CRKL, is reported. PMID: 27133071
- CrkL mediates CCL20/CCR6-induced epithelial-to-mesenchymal transition via Akt pathway, instead of Erk1/2 pathway in development of gastric cancer PMID: 26044596
- CrkL regulates CCL19 and CCR7-induced epithelial-to-mesenchymal transition via ERK signaling pathway in epithelial ovarian carcinoma patients. PMID: 25636509
- these results suggest that CrkL plays a regulatory role in the SDF-1-induced Erk1/2 and PI3K/Akt pathways and further managed the invasion and migration of breast cancer cells PMID: 25476480
- The authors show that this potentiation involves reorganization of the natural CrkL-p85beta complex into a novel trimeric complex where influenza A virus NS1 serves as a bridging factor. PMID: 26099693
- Our results demonstrate that the p53 target miR-200b/200c/429 miRNAs are negative regulators of the CRKL oncogene PMID: 26079153
- results suggested that overexpression of CRKL promoted cell invasion through upregulation of MMP9 expression and activation of ERK pathway PMID: 24664993
- CRKL has the potential to be used as a biomarker for the diagnosis, treatment and prognosis of certain tumors PMID: 25531052
- We identified ZEB1 and CRKL as potential targets of miR-429 by analyzing combined results from in silico search and global expression array of the same RNA samples. Immunoblot assay confirmed that miR-429 reduced their expression at protein level. PMID: 25405387
- These results indicate that CRKL gene amplification is rare in acquisition of resistance to EGFR-TKIs in lung cancer patients with EGFR mutations. PMID: 24939008
- CrkL knockdown markedly suppressed the phosphorylated ERK (p-ERK) as well as the phosphorylated AKT (p-AKT) (p < 0.001) compared with control or TGF-b1 alone. PMID: 25307974
- our study demonstrated that CRKL was overexpressed in human pancreatic cancers and contributed to pancreatic cancer cell proliferation and invasion through ERK signaling. PMID: 25318601
- Study revealed that LASP1 phosphorylation results in an association with CRKL - another specific BCR-ABL substrate and bona fide biomarker for BCR-ABL activity. PMID: 24913448
- Haploinsufficiency of CRKL could be responsible for the etiology of conotruncal heart defects in individuals with nested distal deletions and might act as a genetic modifier of individuals with the typical 3 Mb deletion. PMID: 25658046
- CrkL is highly expressed in papillary thyroid carcinoma and papillary thyroid microcarcinoma and closely correlated to metastasis. PMID: 25185652
- results suggest that CRKL has the ability to regulate colon cancer malignancy and CRKL has the potential to serve as a diagnosis and prognosis marker and a therapy target of colon cancer PMID: 24389200
- CRKL is overexpressed in bladder cancer and regulates malignant cell growth and invasion. PMID: 24375195
- This is the first report to elucidate the novel function of NS1--binding protein collaborating with viral protein NS1 in modulation of host cell physiology. In addition, an alternative role of adaptor protein CRKL in association with NS1 and NS1-BP during influenza A virus infection is demonstrated. PMID: 24220336
- Data show Src-inducible association of CrkL with procaspase-8 promotes cell migration. PMID: 23751956
- CRKL may recruit NleH1 to a host kinase on which NleH1 performs its inhibitory function. PMID: 24145029
- we identified CRKL/YES as critical interrelated pathways necessary for rhabdomyosarcoma cell growth and survival and suggest a potential therapeutic role of SRC family kinase inhibition in the treatment of rhabdomyosarcoma. PMID: 23318429
- Knock-down of CRKL in SGC-7901 cells induced a suppression of cell proliferation along with a significant arrest of cell cycle in G0/G1 phase. PMID: 24055140
- Overexpression of CRKL in HBE and H1299 cell lines promoted cell proliferation by facilitating cell cycle progression. PMID: 22753141
- High expression levels of the CRKL and CRKL-FLT1 pair strongly correlate with reduced disease-free and overall survival in HCC patient samples. PMID: 23397142
- Overexpression of CRKL correlated with progression and malignant proliferation of human breast cancers. PMID: 23686806
- SFK activity was shown to be sufficient, but not required for the interaction between ESDN and the CrkL-SH2 domain PMID: 23770091
- study reveals a significant association between Crk protein expression with highly proliferative tumors and basal breast cancers of poor outcome; data highlight the physiological importance of Crk proteins in regulating growth of aggressive basal breast cancer cells PMID: 22569336
- BCR-ABL activity measured by 50% inhibitory concentration for imatinib, p-CrkL/CrkL ratio or p-CrkL ratio in CD34+ cells of patients with chronic myeloid leukemia does not predict treatment response PMID: 22233112
- Stathmin and CrkL proteins may be involved in drug resistance of K562 cells to adriamycin. PMID: 22169288
- CRKL overexpression induces cell transformation. PMID: 22586683
- These results suggested that CRKL protein is overexpressed in a subset of gastric cancers and is associated with CRKL amplification in gastric cancer. PMID: 22591714
- In silico three-dimensional modeling of apoptin, molecular docking experiments between apoptin model and the known structure of Bcr-Abl, and the 3D structures of SH2 domains of CrkL and Bcr-Abl, were performed. PMID: 22253690
- these results indicate that CRKL regulates HNSCC-cell growth, motility, and integrin-dependent cell adhesion, suggesting that CRKL plays a principal role in HNSCC tumorigenicity. PMID: 22244889
- The molecular signaling set off by ERalpha and CrkL association may have a central role in pregnancy and cancer. PMID: 21700719
- Lyn controls spatial activation of Rap1 by recruiting the CrkL-C3G protein complex to the leading edge PMID: 21628423
- These results suggest that CRKL, but not MAPK1 is the target oncogene of the rare but recurrent amplification at 22q11.2 in laryngeal squamous cell carcinoma. PMID: 21896986
- Findings indicate that amplification and resultant overexpression of CRKL contribute to diverse oncogenic phenotypes in lung cancer. PMID: 19966867
- DOCK2 associates with CrkL and regulates Rac1 in human leukemia cell lines PMID: 12393632
- directs ASAP1 to peripheral focal adhesions in platelets PMID: 12522101
顯示更多
收起更多
-
蛋白家族:CRK family
-
數據庫鏈接:
Most popular with customers
-
-
YWHAB Recombinant Monoclonal Antibody
Applications: ELISA, WB, IHC, IF, FC
Species Reactivity: Human, Mouse, Rat
-
Phospho-YAP1 (S127) Recombinant Monoclonal Antibody
Applications: ELISA, WB, IHC
Species Reactivity: Human
-
-
-
-
-















