CPT1B Antibody
-
中文名稱:CPT1B兔多克隆抗體
-
貨號:CSB-PA821674LA01HU
-
規格:¥440
-
圖片:
-
Western Blot
Positive WB detected in: K562 whole cell lysate
All lanes: CPT1B antibody at 3.4μg/ml
Secondary
Goat polyclonal to rabbit IgG at 1/50000 dilution
Predicted band size: 88, 67, 84, 79 kDa
Observed band size: 88 kDa -
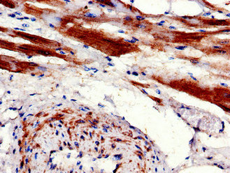
Immunohistochemistry of paraffin-embedded human heart tissue using CSB-PA821674LA01HU at dilution of 1:100
-
Immunofluorescent analysis of HepG2 cells using CSB-PA821674LA01HU at dilution of 1:100 and Alexa Fluor 488-congugated AffiniPure Goat Anti-Rabbit IgG(H+L)
-
-
其他:
產品詳情
-
產品名稱:Rabbit anti-Homo sapiens (Human) CPT1B Polyclonal antibody
-
Uniprot No.:
-
基因名:
-
別名:CPT1B; KIAA1670; Carnitine O-palmitoyltransferase 1, muscle isoform; CPT1-M; Carnitine O-palmitoyltransferase I, muscle isoform; CPT I; CPTI-M; Carnitine palmitoyltransferase 1B; Carnitine palmitoyltransferase I-like protein
-
宿主:Rabbit
-
反應種屬:Human
-
免疫原:Recombinant Human Carnitine O-palmitoyltransferase 1, muscle isoform protein (165-318AA)
-
免疫原種屬:Homo sapiens (Human)
-
標記方式:Non-conjugated
本頁面中的產品,CPT1B Antibody (CSB-PA821674LA01HU),的標記方式是Non-conjugated。對于CPT1B Antibody,我們還提供其他標記。見下表:
-
克隆類型:Polyclonal
-
抗體亞型:IgG
-
純化方式:>95%, Protein G purified
-
濃度:It differs from different batches. Please contact us to confirm it.
-
保存緩沖液:Preservative: 0.03% Proclin 300
Constituents: 50% Glycerol, 0.01M PBS, PH 7.4 -
產品提供形式:Liquid
-
應用范圍:ELISA, WB, IHC, IF
-
推薦稀釋比:
Application Recommended Dilution WB 1:500-1:5000 IHC 1:20-1:200 IF 1:50-1:200 -
Protocols:
-
儲存條件:Upon receipt, store at -20°C or -80°C. Avoid repeated freeze.
-
貨期:Basically, we can dispatch the products out in 1-3 working days after receiving your orders. Delivery time maybe differs from different purchasing way or location, please kindly consult your local distributors for specific delivery time.
-
用途:For Research Use Only. Not for use in diagnostic or therapeutic procedures.
相關產品
靶點詳情
-
基因功能參考文獻:
- CPT1 is active on the outer surface of mitochondria and serves as a regulatory site for fatty acid oxidation due to its sensitivity for malonyl-CoA. CPT1b is the muscle isoform. PMID: 26041663
- In subjects with PTSD, significant over-expression of CPT1B was also observed in the two common dysregulated pathways: fatty acid metabolism and PPAR. PMID: 26080315
- Differential DNA methylation may underlie the depressed expression of CPT1B in response to lipid, contributing to the metabolic inflexibility associated with severe obesity. PMID: 26058865
- E531K substitution in CPT1B decreases the mitochondrial beta-oxidation pathway, which increases the non-protein respiratory quotient value during recovery from exercise. PMID: 24905907
- study identified a novel haplotype consisting of the indel variation, which had not been detected in previous studies in Japanese and Korean populations, and observed four single-nucleotide polymorphisms in CHKB/CPT1B PMID: 24571861
- CPT1B heterozygous variants of G320D and S427C among control subjects showed significantly higher levels of total and free carnitine in the blood compared to acute myocardial infarction patients. PMID: 23566841
- present results confirm the association of carnitine palmitoyltransferase 1B coding polymorphisms with the metabolic syndrome PMID: 22809552
- Genetic mutations causative for McArdle disease, carnitine palmitoyl transferase deficiency 2, myoadenylate deaminase deficiency, and malignant hyperthermia have all been associated with Exertional rhabdomyolysis. PMID: 22538307
- The study extends on the observation of a strong multiethnic association of polymorphisms in the TCRA and P2RY11 with narcolepsy, but does not confirm the association of CPT1B/CHKB (rs5770917) in the Chinese population. PMID: 22177342
- C305 was replaceable with aspartic acid but that substitution with other amino acids caused both loss of function and reduced expression. PMID: 19937377
- Genetic analysis, comparison, and tissue distribution of CPT1b PMID: 12015320
- Leucine-764 near the extreme C-terminal end of carnitine palmitoyltransferase I is important for enzyme activity. PMID: 12565845
- Transcriptional activation of the CPT1B promotor by peroxisome proliferator-activated receptors-alpha and myocyte-specific enhancer-binding-factor 2C. PMID: 15356291
- muscle carnitine palmitoyltransferase I has a single cysteine residue (Cys-305) important for catalysis PMID: 15579906
- Three replacements of nucleotides resulting in missense mutations of I66V, S427C, and E531K were observed in the M-CPTI gene of patients showing abnormal fatty acid metabolism PMID: 17987377
- A single nucleotide polymorphism located between CPT1B and CHKB, was associated with narcolepsy in Japanese (rs5770917[C], odds ratio (OR) = 1.79, combined P = 4.4 x 10(-7)) and other ancestry groups (OR = 1.40, P = 0.02). PMID: 18820697
- Japanese CNS hypersomnias (essential hypersomnia: EHS) other than narcolepsy with cataplexy was significantly associated with SNP rs5770917 (located between CPT1B and CHKB) and HLA-DRB1*1501-DQB1*0602 haplotype PMID: 19404393
- There is a novel association between common nonsynonymous coding variants in CPT1B and ectopic skeletal muscle fat among middle-aged and older African ancestry men. PMID: 19553926
顯示更多
收起更多
-
亞細胞定位:Mitochondrion outer membrane; Multi-pass membrane protein.
-
蛋白家族:Carnitine/choline acetyltransferase family
-
組織特異性:Strong expression in heart and skeletal muscle. No expression in liver and kidney.
-
數據庫鏈接:
Most popular with customers
-
-
YWHAB Recombinant Monoclonal Antibody
Applications: ELISA, WB, IHC, IF, FC
Species Reactivity: Human, Mouse, Rat
-
Phospho-YAP1 (S127) Recombinant Monoclonal Antibody
Applications: ELISA, WB, IHC
Species Reactivity: Human
-
-
-
-
-















