COX4I1 Antibody
-
中文名稱:COX4I1兔多克隆抗體
-
貨號:CSB-PA080145
-
規格:¥1090
-
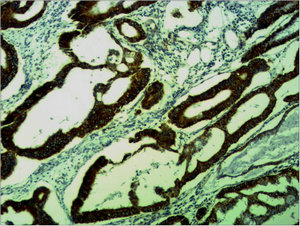
圖片:
-
其他:
產品詳情
-
Uniprot No.:
-
基因名:
-
別名:AL024441 antibody; COX 4 antibody; COX IV 1 antibody; COX IV antibody; COX IV-1 antibody; Cox4 antibody; COX41_HUMAN antibody; Cox4a antibody; COX4B antibody; COX4I1 antibody; COX4I2 antibody; COX4L2 antibody; COXIV antibody; Cytochrome c oxidase polypeptide IV antibody; Cytochrome c oxidase subunit 4 isoform 1 mitochondrial antibody; Cytochrome c oxidase subunit 4 isoform 1, mitochondrial antibody; Cytochrome C Oxidase subunit IV antibody; Cytochrome c oxidase subunit IV isoform 1 antibody; Cytochrome c oxidase subunit IV isoform 2 (lung) antibody; Cytochrome c oxydase subunit 4 antibody; dJ857M17.2 antibody; MGC105470 antibody; MGC72016 antibody
-
宿主:Rabbit
-
反應種屬:Human,Mouse,Rat
-
免疫原:Recombinant Protein
-
免疫原種屬:Homo sapiens (Human)
-
標記方式:Non-conjugated
-
抗體亞型:IgG
-
濃度:It differs from different batches. Please contact us to confirm it.
-
保存緩沖液:Liquid in PBS containing 50% glycerol, 0.5% BSA and 0.02% sodium azide.
-
產品提供形式:Liquid
-
應用范圍:WB, IHC
-
推薦稀釋比:
Application Recommended Dilution WB 1:1000 IHC 1:500-1000 -
Protocols:
-
儲存條件:Upon receipt, store at -20°C or -80°C. Avoid repeated freeze.
-
貨期:Basically, we can dispatch the products out in 1-3 working days after receiving your orders. Delivery time maybe differs from different purchasing way or location, please kindly consult your local distributors for specific delivery time.
-
用途:For Research Use Only. Not for use in diagnostic or therapeutic procedures.
相關產品
靶點詳情
-
功能:Component of the cytochrome c oxidase, the last enzyme in the mitochondrial electron transport chain which drives oxidative phosphorylation. The respiratory chain contains 3 multisubunit complexes succinate dehydrogenase (complex II, CII), ubiquinol-cytochrome c oxidoreductase (cytochrome b-c1 complex, complex III, CIII) and cytochrome c oxidase (complex IV, CIV), that cooperate to transfer electrons derived from NADH and succinate to molecular oxygen, creating an electrochemical gradient over the inner membrane that drives transmembrane transport and the ATP synthase. Cytochrome c oxidase is the component of the respiratory chain that catalyzes the reduction of oxygen to water. Electrons originating from reduced cytochrome c in the intermembrane space (IMS) are transferred via the dinuclear copper A center (CU(A)) of subunit 2 and heme A of subunbit 1 to the active site in subunit 1, a binuclear center (BNC) formed by heme A3 and copper B (CU(B)). The BNC reduces molecular oxygen to 2 water molecules using 4 electrons from cytochrome c in the IMS and 4 protons from the mitochondrial matrix.
-
基因功能參考文獻:
- In case of myocardial insufficiency and dilated cardiomyopathy, decreased expression of COX 4 results in an impaired CytOx activity. Higher enzymatic activity but equal oxygen consumption contribute to the pathophysiology of the myocardial insufficiency and appears as an indicator of oxidative stress. This kind of dysregulation should be in the focus for the development of diagnostic and therapy procedures PMID: 30223867
- COX4I1 variant K101N was identified in a patient with short stature, poor weight gain and increased chromosomal breaks, simulating Fanconi anemia. PMID: 28766551
- This cohort study showed that the COX411 gene was down regulation between patients with idiopathic Parkinson disease and controls PMID: 28916538
- We provide evidence that COX4-1 controls BMI1 expression via a redox mechanism PMID: 25726526
- COXIV mRNA (1.6 fold; P<0.01) and COXIV protein expression (1.5 fold; P<0.05) were increased by training but COXIV protein expression was decreased (20%; P<0.01) by acute exercise pre- and post-training. PMID: 23285255
- COX activity (electron transport complex IV) is reduced by 29% in maternal history of Alzheimer's disease compared to normal controls, and by 30% compared to paternal history of Alzheimer's disease. PMID: 21841246
- Studies suggest a model that links cell signaling with the phosphorylation state of Cytochrome c (Cytc) and cytochrome c oxidase (COX). PMID: 21771582
- Studies suggest that the main function of nuclear encoded subunits of cytochrome c oxidase appears to be "only" to control the activity of the mitochondrial subunits. PMID: 21802404
- Studies indicate that the mechanism for proton pumping in cytochrome c oxidase is based on an electrostatic analysis of a kinetic experiment for the O to E transition. PMID: 21978537
- Studies indicate that nitric oxide (NO) inhibition of cytochrome c oxidase (CcOX) is rapid and reversible and may occur in competition with oxygen. PMID: 21939634
- Studies indicate that the cytochrome oxidase enzyme-substrate (ES) Michaelis complex of cell respiration, the dioxygen adduct of heme a(3), which he termed Compound A. PMID: 22079200
- Novel insights into the assembly and function of human nuclear-encoded cytochrome c oxidase subunits 4 PMID: 20307258
- Data found that subunits Cox6a, Cox6b and Cox7a assembled into pre-existing complex IV, while Cox4-1 and Cox6c subunits assembled into subcomplexes that may represent rate-limiting intermediates. PMID: 19843159
- study points to a role for surfeit 1(SURF1) in promoting the association of cytochrome c oxidase II with the cytochrome c oxidase I.cytochrome c oxidase subunit 4.cytochrome c oxidase subunit 5A subassembly PMID: 14607829
- Under conditions of reduced oxygen availability, hypoxia-inducible factor 1 reciprocally regulates COX4 subunit expression by activating transcription of the genes encoding COX4-2 and LON, a mitochondrial protease that is required for COX4-1 degradation. PMID: 17418790
顯示更多
收起更多
-
亞細胞定位:Mitochondrion inner membrane; Single-pass membrane protein.
-
蛋白家族:Cytochrome c oxidase IV family
-
組織特異性:Ubiquitous.
-
數據庫鏈接:
Most popular with customers
-
-
YWHAB Recombinant Monoclonal Antibody
Applications: ELISA, WB, IHC, IF, FC
Species Reactivity: Human, Mouse, Rat
-
Phospho-YAP1 (S127) Recombinant Monoclonal Antibody
Applications: ELISA, WB, IHC
Species Reactivity: Human
-
-
-
-
-















