COX11 Antibody
-
中文名稱:COX11兔多克隆抗體
-
貨號:CSB-PA277061
-
規格:¥1100
-
圖片:
-
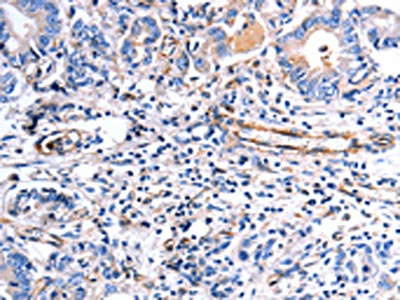
The image on the left is immunohistochemistry of paraffin-embedded Human stomach cancer tissue using CSB-PA277061(COX11 Antibody) at dilution 1/30, on the right is treated with fusion protein. (Original magnification: ×200)
-
Gel: 10%SDS-PAGE, Lysate: 40 μg, Lane: Mouse brain tissue, Primary antibody: CSB-PA277061(COX11 Antibody) at dilution 1/600, Secondary antibody: Goat anti rabbit IgG at 1/8000 dilution, Exposure time: 15 seconds
-
-
其他:
產品詳情
-
Uniprot No.:
-
基因名:
-
別名:COX11 antibody; COX11 homolog antibody; COX11 homolog; cytochrome c oxidase assembly protein (yeast) antibody; COX11_HUMAN antibody; COX11P antibody; Cytochrome c oxidase assembly protein COX11 antibody; Cytochrome c oxidase assembly protein COX11; mitochondrial antibody; Cytochrome c oxidase subunit 11 antibody; mitochondrial antibody
-
宿主:Rabbit
-
反應種屬:Human,Mouse
-
免疫原:Fusion protein of Human COX11
-
免疫原種屬:Homo sapiens (Human)
-
標記方式:Non-conjugated
-
抗體亞型:IgG
-
純化方式:Antigen affinity purification
-
濃度:It differs from different batches. Please contact us to confirm it.
-
保存緩沖液:-20°C, pH7.4 PBS, 0.05% NaN3, 40% Glycerol
-
產品提供形式:Liquid
-
應用范圍:ELISA,WB,IHC
-
推薦稀釋比:
Application Recommended Dilution ELISA 1:2000-1:10000 WB 1:1000-1:5000 IHC 1:25-1:100 -
Protocols:
-
儲存條件:Upon receipt, store at -20°C or -80°C. Avoid repeated freeze.
-
貨期:Basically, we can dispatch the products out in 1-3 working days after receiving your orders. Delivery time maybe differs from different purchasing way or location, please kindly consult your local distributors for specific delivery time.
-
用途:For Research Use Only. Not for use in diagnostic or therapeutic procedures.
相關產品
靶點詳情
-
功能:Exerts its effect at some terminal stage of cytochrome c oxidase synthesis, probably by being involved in the insertion of the copper B into subunit I.
-
基因功能參考文獻:
- meta-analysis suggested that polymorphism STXBP4/COX11 rs6504950 variant was significantly associated with breast cancer risk; the A allele of rs6504950 decreased the risk of breast cancer PMID: 22863968
-
亞細胞定位:Mitochondrion inner membrane; Single-pass membrane protein; Intermembrane side.
-
蛋白家族:COX11/CtaG family
-
組織特異性:Ubiquitous.
-
數據庫鏈接:
Most popular with customers
-
-
YWHAB Recombinant Monoclonal Antibody
Applications: ELISA, WB, IHC, IF, FC
Species Reactivity: Human, Mouse, Rat
-
Phospho-YAP1 (S127) Recombinant Monoclonal Antibody
Applications: ELISA, WB, IHC
Species Reactivity: Human
-
-
-
-
-















