COL4A3BP Antibody
-
中文名稱:COL4A3BP兔多克隆抗體
-
貨號:CSB-PA896912LA01HU
-
規格:¥440
-
圖片:
-
Western Blot
Positive WB detected in: Mouse kidney tissue, Mouse stomach tissue, Mouse thymus tissue
All lanes: COL4A3BP antibody at 3.4μg/ml
Secondary
Goat polyclonal to rabbit IgG at 1/50000 dilution
Predicted band size: 71, 69, 84 kDa
Observed band size: 71 kDa -
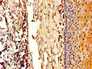
Immunohistochemistry of paraffin-embedded human tonsil tissue using CSB-PA896912LA01HU at dilution of 1:100
-
Immunofluorescent analysis of Hela cells using CSB-PA896912LA01HU at dilution of 1:100 and Alexa Fluor 488-congugated AffiniPure Goat Anti-Rabbit IgG(H+L)
-
-
其他:
產品詳情
-
產品名稱:Rabbit anti-Homo sapiens (Human) COL4A3BP Polyclonal antibody
-
Uniprot No.:
-
基因名:COL4A3BP
-
別名:Alpha 3 type IV collagen binding protein antibody; C43BP_HUMAN antibody; Ceramide transfer protein antibody; Ceramide transporter antibody; CERT antibody; Cert protein antibody; CERTL antibody; col4a3bp antibody; Collagen type IV alpha 3 (Goodpasture antigen) binding protein antibody; Collagen type IV alpha 3 binding protein antibody; Collagen type IV alpha-3-binding protein antibody; FLJ20597 antibody; Goodpasture antigen binding protein antibody; Goodpasture antigen-binding protein antibody; GPBP antibody; hCERT antibody; Lipid transfer protein CERTL antibody; Procollagen type IV alpha 3 (Goodpasture antigen) binding protein antibody; StAR related lipid transfer (START) domain containing 11 antibody; StAR related lipid transfer protein 11 antibody; StAR-related lipid transfer protein 11 antibody; StARD 11 antibody; StARD11 antibody; START domain containing 11 antibody; START domain containing protein 11 antibody; START domain-containing protein 11 antibody
-
宿主:Rabbit
-
反應種屬:Human, Mouse
-
免疫原:Recombinant Human Collagen type IV alpha-3-binding protein (201-500AA)
-
免疫原種屬:Homo sapiens (Human)
-
標記方式:Non-conjugated
本頁面中的產品,COL4A3BP Antibody (CSB-PA896912LA01HU),的標記方式是Non-conjugated。對于COL4A3BP Antibody,我們還提供其他標記。見下表:
-
克隆類型:Polyclonal
-
抗體亞型:IgG
-
純化方式:>95%, Protein G purified
-
濃度:It differs from different batches. Please contact us to confirm it.
-
保存緩沖液:Preservative: 0.03% Proclin 300
Constituents: 50% Glycerol, 0.01M PBS, PH 7.4 -
產品提供形式:Liquid
-
應用范圍:ELISA, WB, IHC, IF
-
推薦稀釋比:
Application Recommended Dilution WB 1:2000-1:5000 IHC 1:20-1:200 IF 1:50-1:200 -
Protocols:
-
儲存條件:Upon receipt, store at -20°C or -80°C. Avoid repeated freeze.
-
貨期:Basically, we can dispatch the products out in 1-3 working days after receiving your orders. Delivery time maybe differs from different purchasing way or location, please kindly consult your local distributors for specific delivery time.
-
用途:For Research Use Only. Not for use in diagnostic or therapeutic procedures.
相關產品
靶點詳情
-
功能:Shelters ceramides and diacylglycerol lipids inside its START domain and mediates the intracellular trafficking of ceramides and diacylglycerol lipids in a non-vesicular manner.
-
基因功能參考文獻:
- Importance of Endoplasmic reticulum to Golgi ceramide traffic to preserve muscle cell insulin signaling, CERT as a major actor in this process. PMID: 29759974
- Data suggest that isolated PH and START domains of CERT interact with each other; START domain binds to PH domain at same site for PtdIns[4]P-binding; mutations disrupting PH-START interaction increase both PtdIns[4]P-binding affinity and ceramide transfer activity. (PH domain = N-terminal pleckstrin homology domain; START domain = StAR-related lipid transfer domain; PtdIns[4]P = phosphatidylinositol 4-phosphate) PMID: 28652409
- Cells expressing mitoCERT import ceramides into mitochondria and undergo Bax-dependent apoptosis. PMID: 27888218
- phosphorylation of CERT at the FFAT motif-adjacent serine affects its affinity for VAP, which may regulate the inter-organelle trafficking of ceramide in response to the perturbation of cellular sphingomyelin and/or other sphingolipids PMID: 24569996
- Both CERT isoforms, when immobilized, bind the globular head region of C1q and initiate the classical complement pathway. C1q binds endogenous CERTL on the surface of apoptotic cells. PMID: 24395916
- Structural basis for the Golgi association by the pleckstrin homology domain of the ceramide trafficking protein (CERT) PMID: 22869376
- CERT is at a convergence point of non-vesicular and vesicular transport processes and plays a central role within the PKD signaling network at the Golgi complex. (Review) PMID: 22226883
- Loss of the ceramide transfer protein augments EGF receptor signaling in breast cancer. PMID: 22472120
- The START domain in GPBP is important for this interaction. SAP and GPBP form complexes in blood and partly colocalize in amyloid plaques from Alzheimer disease patients. PMID: 22396542
- This review is focused on ceramide transfer protein (CERT) as a major regulator of ceramide flux in the cell. [review] PMID: 21707482
- during cellular stress, disassembly of Golgi structure together with inactivation of CERT by caspases causes a reduction in ceramide trafficking and sphingomyelin synthesis, and could contribute to the cellular response to pro-apoptotic stress PMID: 22129459
- the presence of IncD, CERT, VAPA/B, and potentially additional host and/or bacterial factors, at points of contact between the ER and the inclusion membrane provides a specialized microenvironment favorable to bacterial development. PMID: 21731489
- We hypothesize that sphingomyelin acquired by CERT-dependent transport of ceramide and subsequent conversion to SM is necessary for C. trachomatis replication whereas SM acquired by GBF1-dependent pathway is essential for inclusion growth and stability. PMID: 21909260
- GPBP directs myofibril formation through interaction with intracellular downstream effector 130-kDa GPBP-interacting protein PMID: 21832087
- PKD negatively regulates HCV secretion/release by attenuating OSBP and CERT functions by phosphorylation inhibition. This study identifies the key role of the Golgi components in the HCV maturation process. PMID: 21285358
- the membrane matrix surrounding ceramide, that is ceramide miscibility, is largely affecting the transfer activity of CERT PMID: 20875392
- hBVR is a regulator of the TNF-alpha-GPBP-collagen type IV signaling cascade PMID: 20177069
- Crystal structures of the CERT START domain in complex with HPAs ((1R,3R)-N-(3-Hydroxy-1-hydroxymethyl-3-phenylpropyl)alkanamide) of varying acyl chain lengths. PMID: 20036255
- CERT mediates the intracellular trafficking of ceramide in a non-vesicular manner PMID: 14685229
- results indicate that CERT can mediate transfer of various types of ceramides that naturally exist and their close relatives PMID: 15596449
- crypticity is a feature of the quaternary structure of two subsets of alpha3alpha4alpha5(IV) NC1 hexamers: autoantibody-reactive M-hexamers containing only monomer subunits and autoantibody-impenetrable D-hexamers composed of dimer and monomer subunits PMID: 15917228
- Results identify a human-specific TNF-responsive transcriptional unit that locates GPBP in the signalling cascade of TNF and substantiates previous observations, which independently related TNF and GPBP with human autoimmunity. PMID: 16218959
- A clinical evaluation of probands and their relatives of the five families carrying mutations in either the COL4A3 or the COL4A4 gene was carried out to underline the natural history of the autosomal recessive ATS. PMID: 16338941
- Regulation of ceramide transport protein by oxysterol binding protein, and VAMP reveals a novel mechanism for ceramide transport and sphingophingomyelin synthesis in the Golgi apparatus. PMID: 16571669
- The Golgi-targeting domain and endoplasmic reticulum-interacting FFAT amino acid motif of CERT spatially restrict the random ceramide transfer activity of the START domain in cells. PMID: 16895911
- Data show that CERT receives multiple phosphorylations at a serine-repeat motif, a possibe site for casein kinase I, and that the phosphorylation down-regulates the ER-to-Golgi transport of ceramide. PMID: 17442665
- Regulation of secretory transport by PKD-mediated phosphorylation of CERT is reported. PMID: 17591919
- GPBP regulates GBM collagen organization and its elevated expression causes dissociation and subsequent accumulation of IgA on the GBM. PMID: 17916599
- CERT is a physiological substrate of PP2Cepsilon and that dephosphorylation of CERT by PP2Cepsilon may play an important role in the regulation of ceramide trafficking from the ER to the Golgi apparatus. PMID: 18165232
- analysis of the mechanism by which CERT can distinguish ceramide from other lipid types yet still recognize multiple species of ceramides PMID: 18184806
- healthy individuals have low frequencies of unstimulated alpha3(IV)NC1-reactive T cells with similar specificities to the autoreactive T cells found in patients with Goodpasture disease PMID: 18216317
- CERT can attenuate a key metabolic protective mechanism against ceramide-induced apoptosis in keratinocytes PMID: 18411267
- Goodpasture antigen-binding protein is a soluble exportable protein that interacts with type IV collagen PMID: 18772132
- These results indicate that CKIgamma2 hyperphosphorylates the serine-repeat motif of CERT, thereby inactivating CERT and down-regulating the synthesis of sphingomyelin. PMID: 19005213
- the allergen causing the most food-induced anaphylaxis in Italy PMID: 19494524
顯示更多
收起更多
-
相關疾病:Mental retardation, autosomal dominant 34 (MRD34)
-
亞細胞定位:Cytoplasm. Golgi apparatus. Endoplasmic reticulum.
-
組織特異性:Widely expressed.
-
數據庫鏈接:
Most popular with customers
-
-
YWHAB Recombinant Monoclonal Antibody
Applications: ELISA, WB, IHC, IF, FC
Species Reactivity: Human, Mouse, Rat
-
Phospho-YAP1 (S127) Recombinant Monoclonal Antibody
Applications: ELISA, WB, IHC
Species Reactivity: Human
-
-
-
-
-















