CIAO1 Antibody
-
中文名稱:CIAO1兔多克隆抗體
-
貨號:CSB-PA005423ESR1HU
-
規格:¥440
-
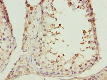
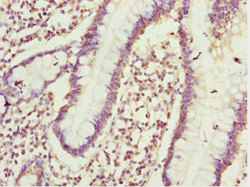
圖片:
-
其他:
產品詳情
-
產品名稱:Rabbit anti-Homo sapiens (Human) CIAO1 Polyclonal antibody
-
Uniprot No.:
-
基因名:CIAO1
-
別名:CIAO1 antibody; CIA1 antibody; WDR39Probable cytosolic iron-sulfur protein assembly protein CIAO1 antibody; WD repeat-containing protein 39 antibody
-
宿主:Rabbit
-
反應種屬:Human
-
免疫原:Recombinant Human Probable cytosolic iron-sulfur protein assembly protein CIAO1 protein (1-339AA)
-
免疫原種屬:Homo sapiens (Human)
-
標記方式:Non-conjugated
-
克隆類型:Polyclonal
-
抗體亞型:IgG
-
純化方式:Antigen Affinity Purified
-
濃度:It differs from different batches. Please contact us to confirm it.
-
保存緩沖液:PBS with 0.02% sodium azide, 50% glycerol, pH7.3.
-
產品提供形式:Liquid
-
應用范圍:ELISA, IHC
-
推薦稀釋比:
Application Recommended Dilution IHC 1:20-1:200 -
Protocols:
-
儲存條件:Upon receipt, store at -20°C or -80°C. Avoid repeated freeze.
-
貨期:Basically, we can dispatch the products out in 1-3 working days after receiving your orders. Delivery time maybe differs from different purchasing way or location, please kindly consult your local distributors for specific delivery time.
-
用途:For Research Use Only. Not for use in diagnostic or therapeutic procedures.
相關產品
靶點詳情
-
功能:Key component of the cytosolic iron-sulfur protein assembly (CIA) complex, a multiprotein complex that mediates the incorporation of iron-sulfur cluster into extramitochondrial Fe/S proteins. As a CIA complex component, interacts specifically with CIAO2A or CIAO2B and MMS19 to assist different branches of iron-sulfur protein assembly, depending of its interactors. The complex CIAO1:CIAO2B:MMS19 binds to and facilitates the assembly of most cytosolic-nuclear Fe/S proteins. CIAO1:CIAO2A specifically matures ACO1 and stabilizes IREB2. Seems to specifically modulate the transactivation activity of WT1. As part of the mitotic spindle-associated MMXD complex it may play a role in chromosome segregation.
-
基因功能參考文獻:
- Data suggest that CIA2B and MMS19 physically interact with C-terminus of viperin/RSAD2; CIAO1 appears to function as primary viperin-interacting protein; CIA2A binds to N-terminus of viperin in CIAO1-, CIA2B-, and MMS19-independent fashion. (CIA2B = metallochaperone CIA2B/FAM96B; MMS19 = transcription factor MMS19; CIAO1 = cytosolic iron-sulfur assembly component 1; CIA2A = metallochaperone CIA2A/Fam96a) PMID: 28615450
- POLE1 is phosphorylated at serine-1940 after DNA damage and interacts with the iron-sulfur complex chaperones CIAO1 and MMS19. PMID: 27235625
- These data suggest that viperin requires CIAO1 for [4Fe-4S] cluster assembly, and acts through an enzymatic, Fe-S cluster- and SAM-dependent mechanism to inhibit viral RNA synthesis. PMID: 24245804
- CIA2B-CIA1-MMS19 and CIA2A-CIA1 assist different branches of Fe/S protein assembly and intimately link this process to cellular iron regulation via IRP1 Fe/S cluster maturation and IRP2 stabilization. PMID: 23891004
-
亞細胞定位:Cytoplasm.
-
蛋白家族:WD repeat CIA1 family
-
數據庫鏈接:
Most popular with customers
-
-
YWHAB Recombinant Monoclonal Antibody
Applications: ELISA, WB, IHC, IF, FC
Species Reactivity: Human, Mouse, Rat
-
Phospho-YAP1 (S127) Recombinant Monoclonal Antibody
Applications: ELISA, WB, IHC
Species Reactivity: Human
-
-
-
-
-















