CHRFAM7A Antibody
-
中文名稱:CHRFAM7A兔多克隆抗體
-
貨號:CSB-PA670962ESR2HU
-
規格:¥440
-
圖片:
-
Western blot
All lanes: CHRFAM7A antibody at 3μg/ml
Lane 1: Jurkat whole cell lysate
Lane 2: Rat liver tissue
Secondary
Goat polyclonal to rabbit IgG at 1/10000 dilution
Predicted band size: 46 kDa
Observed band size: 46 kDa -
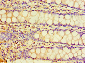
Immunohistochemistry of paraffin-embedded human colon tissue using CSB-PA670962ESR2HU at dilution of 1:100
-
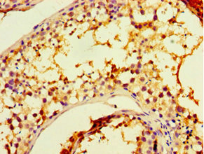
Immunohistochemistry of paraffin-embedded human testis tissue using CSB-PA670962ESR2HU at dilution of 1:100
-
-
其他:
產品詳情
-
產品名稱:Rabbit anti-Homo sapiens (Human) CHRFAM7A Polyclonal antibody
-
Uniprot No.:
-
基因名:CHRFAM7A
-
別名:CHRFAM7A; CHRNA7-FAM7A fusion protein; CHRNA7-DR1; D-10
-
宿主:Rabbit
-
反應種屬:Human, Rat
-
免疫原:Recombinant Human CHRNA7-FAM7A fusion protein (1-150AA)
-
免疫原種屬:Homo sapiens (Human)
-
標記方式:Non-conjugated
-
克隆類型:Polyclonal
-
抗體亞型:IgG
-
純化方式:Antigen Affinity Purified
-
濃度:It differs from different batches. Please contact us to confirm it.
-
保存緩沖液:PBS with 0.02% sodium azide, 50% glycerol, pH7.3.
-
產品提供形式:Liquid
-
應用范圍:ELISA, WB, IHC
-
推薦稀釋比:
Application Recommended Dilution WB 1:500-1:2000 IHC 1:20-1:200 -
Protocols:
-
儲存條件:Upon receipt, store at -20°C or -80°C. Avoid repeated freeze.
-
貨期:Basically, we can dispatch the products out in 1-3 working days after receiving your orders. Delivery time maybe differs from different purchasing way or location, please kindly consult your local distributors for specific delivery time.
-
用途:For Research Use Only. Not for use in diagnostic or therapeutic procedures.
相關產品
靶點詳情
-
基因功能參考文獻:
- gp120IIIB promotes the downregulation of CHRFAM7A in neuronal cells. PMID: 26567012
- Data show preferential fetal CHRFAM7A expression in the human prefrontal cortex and suggest abnormalities in the CHRFAM7A/CHRNA7 ratios in schizophrenia and bipolar disorder, due mainly to overexpression of CHRFAM7A. PMID: 26206074
- Data show that a 1 kb sequence in the untranslated regions of the alpha7-nicotinic acetylcholine receptor (alpha7nAChR) gene CHRFAM7A that is modulated by lipopolysaccharides (LPS). PMID: 25681457
- This association study was replicated in the NIA-LOAD Familial Study dataset. CHRFAM7A is a dominant negative regulator of CHRNA7 function, the receptor that facilitates amyloid-beta1-42 internalization through endocytosis and has been implicated in AD. PMID: 24787912
- CHRFAM7A, a human-specific and partially duplicated alpha7-nicotinic acetylcholine receptor gene with the potential to specify a human-specific inflammatory response to injury. PMID: 25473097
- the involvement of CHRFAM7A in the pathophysiology of the idiopathic generalized epilepsy and indication that c.497-498TG deletion or a nearby polymorphism in the CHRFAM7A gene may play a role in the pathogenesis of this disease PMID: 24024466
- lack of CHRFAM7A expression in ADNFLE patients might be an important factor in the pathogenesis of autosomal dominant nocturnal frontal lobe epilepsy PMID: 23553139
- evidence on the association between variations in CHRNA7 or CHRFAM7A and the risk of dementia is still sparse and inconclusive. Further studies are needed to establish whether some polymorphisms may affect the probability of developing dementia [review] PMID: 22300029
- the partially duplicated alpha7 nAChR subunit gene may specifically participate in the inflammatory response of the innate immune system. PMID: 20926142
- 3-Mb map of 15q13-q14 showing that CHRFAM7A is part of a large segmental duplication in the opposite orientation to CHRNA7 and revealing several other duplications PMID: 11829490
- Human mesothelioma cells and human biopsies of mesothelioma as well as of normal pleural mesothelial cells functionally express CHRNA7. PMID: 14729617
- Results demonstrate that human and rat nicotinic acetylcholine receptors are senstive targets for volatile organic compounds in industrial products and are used in the risk assessment of these compounds. PMID: 15885267
- CHRFAM7A was identified as a candidate gene in the D15S165 region in a study of allelic variants at chromosome 15q14 in schizophrenia. PMID: 16417613
- These observations indicate that episodic memory function is a schizophrenia endophenotype and implicate the CHRFAM7A/CHRNA7 locus in modulating its function. PMID: 17012698
- In persons with bipolar type schizoaffective disorder, CHRNA7 promoter region allelic variants are linked to the capacity to inhibit the P50 auditory evoked potential and thus are associated with a type of illness similar to schizophrenia. PMID: 17192894
- In 20 smoking-matched people (n = 10 schizophrenia, n = 10 controls), we found significantly lower CHRFAM7A in cotinine and self-reported smokers versus nonsmokers (p PMID: 19082523
- No significant associations of 2-bp deletion or CHRFAM7A copy number with antisaccade performance parameters were observed. PMID: 19149910
- polymorphism of CHRFAM7A can be implicated in Alzheimer's disease, dementia with Lewy bodies and Pick's disease PMID: 19641318
顯示更多
收起更多
-
亞細胞定位:Membrane; Multi-pass membrane protein.
-
蛋白家族:Ligand-gated ion channel (TC 1.A.9) family
-
組織特異性:Expressed in hippocampus.
-
數據庫鏈接:
Most popular with customers
-
-
YWHAB Recombinant Monoclonal Antibody
Applications: ELISA, WB, IHC, IF, FC
Species Reactivity: Human, Mouse, Rat
-
Phospho-YAP1 (S127) Recombinant Monoclonal Antibody
Applications: ELISA, WB, IHC
Species Reactivity: Human
-
-
-
-
-















