-
中文名稱:CHMP4B兔多克隆抗體
-
貨號:CSB-PA078194
-
規格:¥1100
-
圖片:
-
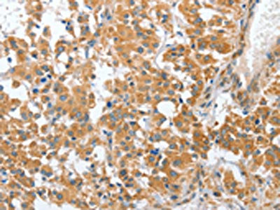
The image on the left is immunohistochemistry of paraffin-embedded Human thyroid cancer tissue using CSB-PA078194(CHMP4B Antibody) at dilution 1/40, on the right is treated with fusion protein. (Original magnification: ×200)
-
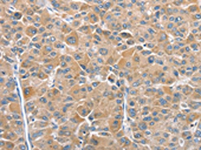
The image on the left is immunohistochemistry of paraffin-embedded Human liver cancer tissue using CSB-PA078194(CHMP4B Antibody) at dilution 1/40, on the right is treated with fusion protein. (Original magnification: ×200)
-
-
其他:
產品詳情
-
Uniprot No.:
-
基因名:
-
別名:Charged multivesicular body protein 4b antibody; CHM4B_HUMAN antibody; chmp4b antibody; Chromatin-modifying protein 4b antibody; hSnf7-2 antibody; hVps32-2 antibody; SNF7 homolog associated with Alix 1 antibody; SNF7-2 antibody; Vacuolar protein sorting-associated protein 32-2 antibody; Vps32-2 antibody
-
宿主:Rabbit
-
反應種屬:Human,Mouse
-
免疫原:Fusion protein of Human CHMP4B
-
免疫原種屬:Homo sapiens (Human)
-
標記方式:Non-conjugated
-
抗體亞型:IgG
-
純化方式:Antigen affinity purification
-
濃度:It differs from different batches. Please contact us to confirm it.
-
保存緩沖液:-20°C, pH7.4 PBS, 0.05% NaN3, 40% Glycerol
-
產品提供形式:Liquid
-
應用范圍:ELISA,IHC
-
推薦稀釋比:
Application Recommended Dilution ELISA 1:2000-1:5000 IHC 1:50-1:200 -
Protocols:
-
儲存條件:Upon receipt, store at -20°C or -80°C. Avoid repeated freeze.
-
貨期:Basically, we can dispatch the products out in 1-3 working days after receiving your orders. Delivery time maybe differs from different purchasing way or location, please kindly consult your local distributors for specific delivery time.
-
用途:For Research Use Only. Not for use in diagnostic or therapeutic procedures.
引用文獻
- Embryo‐Derived Cathepsin B Promotes Implantation and Decidualization by Activating Pyroptosis MY Li, Y Wu, HL Tang, Y Wang, B Li, YY He,Advanced Science,2024
相關產品
靶點詳情
-
功能:Probable core component of the endosomal sorting required for transport complex III (ESCRT-III) which is involved in multivesicular bodies (MVBs) formation and sorting of endosomal cargo proteins into MVBs. MVBs contain intraluminal vesicles (ILVs) that are generated by invagination and scission from the limiting membrane of the endosome and mostly are delivered to lysosomes enabling degradation of membrane proteins, such as stimulated growth factor receptors, lysosomal enzymes and lipids. The MVB pathway appears to require the sequential function of ESCRT-O, -I,-II and -III complexes. ESCRT-III proteins mostly dissociate from the invaginating membrane before the ILV is released. The ESCRT machinery also functions in topologically equivalent membrane fission events, such as the terminal stages of cytokinesis. Together with SPAST, the ESCRT-III complex promotes nuclear envelope sealing and mitotic spindle disassembly during late anaphase. Plays a role in the endosomal sorting pathway. ESCRT-III proteins are believed to mediate the necessary vesicle extrusion and/or membrane fission activities, possibly in conjunction with the AAA ATPase VPS4. When overexpressed, membrane-assembled circular arrays of CHMP4B filaments can promote or stabilize negative curvature and outward budding. CHMP4A/B/C are required for the exosomal release of SDCBP, CD63 and syndecan.; (Microbial infection) The ESCRT machinery also functions in topologically equivalent membrane fission events, such as the budding of enveloped viruses (HIV-1 and other lentiviruses). Via its interaction with PDCD6IP involved in HIV-1 p6- and p9-dependent virus release.
-
基因功能參考文獻:
- Data (including data from studies using transgenic mice) suggest that the process leading to microparticle release from cardiac myocytes involves recruitment of CHMP4B protein to the forming microparticle membrane which also contains cBIN1; plasma cBIN1 is reduced in patients with heart failure as compared to control subjects. (CHMP4B = charged multivesicular body protein 4B; cBIN1 = cardiac bridging integrator 1) PMID: 28806752
- homologous domain of human Bro1 domain-containing proteins, Alix and Brox, binds CHMP4B but not STAM2, despite their high structural similarity PMID: 26866605
- our results implied that CHMP4B could be a promising prognostic biomarker as well as a potential therapeutic target of HCC. PMID: 25874485
- CHMP4B, through its association with chromatin, may participate in the autophagolysosomal degradation of micronuclei and other extranuclear chromatin. PMID: 24741567
- hSnf7-1 and hSnf7-2 are preferentially associated with CHMP2A and CHMP2B, respectively, and regulate the turnover of distinct transmembrane cargos such as neurotransmitter receptors in human neurons. PMID: 21975012
- CHMP4b and Alix participate in formation of multivesicular bodies by cooperating with SKD1 PMID: 12860994
- ALIX can have a dramatic effect on HIV-1 release by binding at the CHMP4B site; the ability to use ALIX may allow HIV-1 to replicate in cells that express only low levels of Tsg101 PMID: 17428861
- These data provide the first evidence that CHMP4B plays a vital role the maintenance of lens transparency. PMID: 17701905
- Results suggest that efficient interaction between CHMP4s and Brox requires Brox farnesylation. PMID: 18190528
- Study demonstrates that CHMP4A and CHMP4B proteins form novel membrane-attached filaments that can promote or stabilize negative curvature and outward budding. PMID: 18209100
- The Bro1 domain of ALIX binds specifically to C-terminal residues of the human CHMP4B. PMID: 18511562
- The CHMP4b- and Src-docking sites in the Bro1 domain are autoinhibited in the native state of Alix. PMID: 19016654
顯示更多
收起更多
-
相關疾病:Cataract 31, multiple types (CTRCT31)
-
亞細胞定位:Cytoplasm, cytosol. Late endosome membrane; Peripheral membrane protein. Midbody. Nucleus envelope.
-
蛋白家族:SNF7 family
-
組織特異性:Widely expressed. Expressed at higher level in heart and skeletal muscle. Also expressed in brain, colon, thymus, spleen, kidney, liver, small intestine, placenta, lung and peripheral blood lymphocytes.
-
數據庫鏈接:
Most popular with customers
-
-
YWHAB Recombinant Monoclonal Antibody
Applications: ELISA, WB, IHC, IF, FC
Species Reactivity: Human, Mouse, Rat
-
Phospho-YAP1 (S127) Recombinant Monoclonal Antibody
Applications: ELISA, WB, IHC
Species Reactivity: Human
-
-
-
-
-















