CHIT1 Antibody
-
中文名稱:CHIT1兔多克隆抗體
-
貨號:CSB-PA623792LA01HU
-
規格:¥440
-
圖片:
-
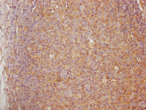
IHC image of CSB-PA623792LA01HU diluted at 1:100 and staining in paraffin-embedded human lymph node tissue performed on a Leica BondTM system. After dewaxing and hydration, antigen retrieval was mediated by high pressure in a citrate buffer (pH 6.0). Section was blocked with 10% normal goat serum 30min at RT. Then primary antibody (1% BSA) was incubated at 4°C overnight. The primary is detected by a Goat anti-rabbit polymer IgG labeled by HRP and visualized using 0.05% DAB.
-
-
其他:
產品詳情
-
產品名稱:Rabbit anti-Homo sapiens (Human) CHIT1 Polyclonal antibody
-
Uniprot No.:
-
基因名:CHIT1
-
別名:Chitotriosidase-1 (EC 3.2.1.14) (Chitinase-1), CHIT1
-
宿主:Rabbit
-
反應種屬:Human
-
免疫原:Recombinant Human Chitotriosidase-1 protein (215-430aa)
-
免疫原種屬:Homo sapiens (Human)
-
標記方式:Non-conjugated
本頁面中的產品,CHIT1 Antibody (CSB-PA623792LA01HU),的標記方式是Non-conjugated。對于CHIT1 Antibody,我們還提供其他標記。見下表:
-
克隆類型:Polyclonal
-
抗體亞型:IgG
-
純化方式:>95%, Protein G purified
-
濃度:It differs from different batches. Please contact us to confirm it.
-
保存緩沖液:Preservative: 0.03% Proclin 300
Constituents: 50% Glycerol, 0.01M PBS, pH 7.4 -
產品提供形式:Liquid
-
應用范圍:ELISA, IHC
-
推薦稀釋比:
Application Recommended Dilution IHC 1:100-1:500 -
Protocols:
-
儲存條件:Upon receipt, store at -20°C or -80°C. Avoid repeated freeze.
-
貨期:Basically, we can dispatch the products out in 1-3 working days after receiving your orders. Delivery time maybe differs from different purchasing way or location, please kindly consult your local distributors for specific delivery time.
-
用途:For Research Use Only. Not for use in diagnostic or therapeutic procedures.
相關產品
靶點詳情
-
功能:Degrades chitin, chitotriose and chitobiose. May participate in the defense against nematodes and other pathogens. Isoform 3 has no enzymatic activity.
-
基因功能參考文獻:
- CHIT1 might be considered as a circulating biomarker in polycythemia vera. Additional studies are needed to clarify the role of CHIT1 in promoting disease progression and bone marrow fibrosis in polycythemia vera. PMID: 29993340
- Data suggest that up-regulation of amniotic fluid chitotriosidase may serve as prenatal diagnostic biomarker for lysosomal storage disorders, more specifically for Gaucher and Niemann-Pick A/B diseases; these findings appear to result from gene duplication. This study was conducted in India. PMID: 30205089
- Circulating chitotriosidase is a test which can potentially be used for the monitoring of critical limb ischemia patients without other inflammatory conditions. PMID: 29263045
- All patients with NPC1 mutations had high ChT activity, high CCL18/PARC concentrations and/or Niemann-Pick disease type C suspicion index scores >/=70. PMID: 28222799
- The total allele frequency of the dup24bp in the CHIT1 gene in the Ukrainian population was determined, which amounted to 0.26 (323/1244) that is higher than in the Western European population. PMID: 29227082
- the two variations of CHIT1, rs61745299 and rs35920428, increase expression of the gene and are associated with colorectal cancer in Chinese Han populations PMID: 27153562
- SCD children are at risk of developing premature atherogenic changes. Plasma chitotriosidase and CIMT may represent useful predictors of these changes. PMID: 28677113
- chitotriosidase as a possible chronic inflammation marker in children with common variable immunodeficiency and early atherosclerosis PMID: 27705887
- Processivity and the rate constant of dissociation of Human chitotriosidase (HCHT) were found to be in-between those, characteristic to processive exo-enzymes, like SmChiA and randomly acting non-processive endo-enzymes, like SmChiC. Apart from increasing the affinity for chitin, CBM had no major effect on kinetic properties of HCHT. PMID: 28129403
- PMA stimulation and preincubation with rhDNase increased CHIT-1 activity in culture supernatants from non-CF and CF donors.Stimulation of isolated leucocytes with PMA and treatment with rhDNase interfered with anti-fungal defence mechanisms. PMID: 27324468
- X-Ray crystal structure of the full length CHIT1 reveals features of its chitin binding domain. PMID: 27111557
- Deletion in the CHIT1 gene is associated with Chitotriosidase deficiency disease. PMID: 27129798
- confirmed the strong association between chitotriosidase activity and the markers of progressive kidney disease in a cohort of type 2 diabetic patients; also demonstrated that diabetic patients genetically lacking the full active enzyme (with at least one CHIT1 functionally mutated allele) are at lower risk of developing nephropathy compared to patients having wild genotype PMID: 26589000
- BALF chitotriosidase activity is increased in patients with sarcoidosis. PMID: 26847098
- study indicates that genotype analysis by HRM-PCR is a fast, reliable, and highly accurate screening approach for identifying the 24-bp duplication in CHIT1 exon 10. PMID: 26624962
- CHIT-1 is expressed during the process of differentiation and maturation of dendritic cells in a time-dependent manner. PMID: 26026464
- No correlation between CHIT1 24-base pair duplication polymorphism and prognosis in sarcoidosis was shown, but possible protective role of homozygous condition for CHIT1 24-base pair duplication polymorphism is suggested. PMID: 26422563
- the presence of product polymers of 40 sugar moieties and higher starts to disappear already at 8% degradation for HCHT50-W31A. Such behavior contrast that of the wild type and HCHT-W218A and resembles the action of endo-nonprocessive chitinases PMID: 26621384
- Our findings indicate that chitotriosidase and S10012A are useful in diagnosis and detection of subclinical inflammation and/or assessment of disease activity in FMF patients. PMID: 26339162
- Serum CHIT1 rs3831317 and CHI3L1 rs4950928 genotypes were examined in patients with asthma and COPD in a European study to evaluate factors that affect chitinase levels in patients with severe airway disease. PMID: 26372680
- study found the 24-bp insertion in the gene for chitotriosidase was associated with the development of mycetoma caused by M. mycetomatis PMID: 26332238
- The study presents new X-ray data to resolutions of between 0.95 and 1.10 A for CHIT1 in apo and pseudo-apo forms and in complex with chitobiose, an N-acetylglucosamine (NAG) dimer. PMID: 26143917
- elevated in pregnant women with threatened preterm labor PMID: 25005858
- The two Chit1 isoforms combine features of exo-processive and endo-nonprocessive chitinases with the somewhat unusual carbohydrate binding module 14 to reach a high degree of efficiency. PMID: 26116146
- Catalytic deficiency of chitotriosidase has a very high frequency in Amerindians highly exposed to chitin from enteroparasites and diet. PMID: 25256524
- Report a significant association between 24 bp duplication in CHIT1 gene polymorphism and asthma in the studied North Indian population. PMID: 24928104
- c.1049_1072dup24 in CHIT1 presents an allele frequency of 0.22 in Spain.p.G102S in CHIT1 presents an allele frequency of 0.27 in Spain.Ser102 CHIT1 allele caused a significant reduction of chitotriosidase activity. PMID: 24060732
- The results of the current study suggest that CHIT1 duplication cannot be the sole explanation for Aspergillus positive sputum in CF patients. PMID: 23359515
- may be a useful biochemical marker of fetal compromise that reflects the severity of fetoplacental blood flow resistance in pregnancies complicated by preeclampsia PMID: 23844836
- Glycolipids or glycoproteins with LacNAc and LacdiNAc represent potential CHIT1 substrates. PMID: 24462685
- age, gender, TNFalpha, hemocysteine, sleep efficiency and waist circumference were responsible for approximately 14% of CHIT variation. PMID: 23692992
- HCHT with higher endo-activity and a higher transglycosylation potential. PMID: 24036453
- increased serum levels is a good prtognostic marker for recovery from World Trade Center lung injury PMID: 23744081
- The association of chitotriosidase (ChT) with age remains significant after controlling for neopterin and IL-6 changes with age, suggesting that ChT levels reflect a macrophage state distinct from acute macrophage activation or inflammatory state. PMID: 23525479
- serum chitotriosidase is more highly expressed in ST-segment elevation myocardial infaction than in non ST-segment elevation myocardial infarction and unstable angina pectoris PMID: 22986554
- These results indicate that the nonsynonymous A442G polymorphism in CHIT1 is associated with risk of atopy. PMID: 23706714
- CCL18 and YKL-40 levels and CHIT1 activity are enhanced in allergic airway inflammation and thus may contribute to airway remodelling in asthma. PMID: 23331560
- results showed that the expression of AMCase and CHIT-1 were differently modulated in monocyte macrophages at different stage of maturation. The behavior of these two active chitinase suggests that in the immune response their role is complementary. PMID: 23129258
- Serum CHIT concentrations are significantly higher in patients than in healthy controls and are directly correlated with angiotensin converting enzyme (ACE)levels. PMID: 22878841
- This work analyses the chitin-binding and catalytic domains of the human macrophage chitotriosidase and investigates the physiological role of this glycoside hydrolase in a complex mechanism such as the innate immune system, esp. its antifungal activity. PMID: 21674664
- allelic and genotypic frequencies of the 24-bp Dup in CHIT1 gene in homozygotes and heterozygotes were in accordance to worldwide reports PMID: 23234739
- Data suggest that serum chitotriosidase is increased during first trimester in women who later develop pre-eclampsia as compared to control subjects; serum metastin is decreased; serum placenta growth factor is decreased. PMID: 22770630
- elevates in polycystic ovary syndrome independent of obesity PMID: 22718099
- Patients with systemic sclerosis and interstitial lung disease show high levels of circulating Chit1 activity that correlate with disease severity. PMID: 22826322
- Serum Chitotriosidase activity was significantly higher in the preeclampsia group as compared with levels in the control group. PMID: 22183425
- study demonstrated genetic associations between chitinase gene variants and lung function level and rate of decline in chronic obstructive pulmonary disease patients from the Lung Health Study PMID: 22200767
- Data suggest that serum chitotriosidase activity (a possible marker of inflammatory processes) is increased in obese adolescents with impaired glucose tolerance. PMID: 22206738
- activity of chitotriosidase in plasma was statistically higher in severe endometriosis patients than women without endometriosis PMID: 22132778
- Data confirm elevation of chitotriosidase activity in patients with active cerebral adrenoleukodystrophy, and suggest that these levels predict prognosis of patients with C-ALD undergoing transplantation. PMID: 22014002
- Human chitotriosidase degrades chitosan primarily via an endoprocessive mechanism: the main hydrolysis product is chitobiose, (i.e., the acetylated dimer) fully consistent with its role as a "normal" processive enzyme. PMID: 22192075
顯示更多
收起更多
-
亞細胞定位:Secreted. Lysosome. Note=A small proportion is lysosomal.
-
蛋白家族:Glycosyl hydrolase 18 family, Chitinase class II subfamily
-
組織特異性:Detected in spleen. Secreted by cultured macrophages.
-
數據庫鏈接:
Most popular with customers
-
-
YWHAB Recombinant Monoclonal Antibody
Applications: ELISA, WB, IHC, IF, FC
Species Reactivity: Human, Mouse, Rat
-
Phospho-YAP1 (S127) Recombinant Monoclonal Antibody
Applications: ELISA, WB, IHC
Species Reactivity: Human
-
-
-
-
-















