CHI3L2 Antibody
-
中文名稱:CHI3L2兔多克隆抗體
-
貨號:CSB-PA620893LA01HU
-
規格:¥440
-
圖片:
-
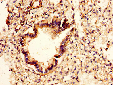
IHC image of CSB-PA620893LA01HU diluted at 1:400 and staining in paraffin-embedded human lung tissue performed on a Leica BondTM system. After dewaxing and hydration, antigen retrieval was mediated by high pressure in a citrate buffer (pH 6.0). Section was blocked with 10% normal goat serum 30min at RT. Then primary antibody (1% BSA) was incubated at 4°C overnight. The primary is detected by a biotinylated secondary antibody and visualized using an HRP conjugated SP system.
-
-
其他:
產品詳情
-
產品名稱:Rabbit anti-Homo sapiens (Human) CHI3L2 Polyclonal antibody
-
Uniprot No.:
-
基因名:
-
別名:CH3L2_HUMAN antibody; CHI3L2 antibody; Chitinase 3 like 2 antibody; Chitinase-3-like protein 2 antibody; Chondrocyte protein 39 antibody; OTTHUMP00000014028 antibody; YKL 39 antibody; YKL-39 antibody; YKL39 antibody
-
宿主:Rabbit
-
反應種屬:Human
-
免疫原:Recombinant Human Chitinase-3-like protein 2 protein (27-390AA)
-
免疫原種屬:Homo sapiens (Human)
-
標記方式:Non-conjugated
本頁面中的產品,CHI3L2 Antibody (CSB-PA620893LA01HU),的標記方式是Non-conjugated。對于CHI3L2 Antibody,我們還提供其他標記。見下表:
-
克隆類型:Polyclonal
-
抗體亞型:IgG
-
純化方式:>95%, Protein G purified
-
濃度:It differs from different batches. Please contact us to confirm it.
-
保存緩沖液:Preservative: 0.03% Proclin 300
Constituents: 50% Glycerol, 0.01M PBS, PH 7.4 -
產品提供形式:Liquid
-
應用范圍:ELISA, IHC
-
推薦稀釋比:
Application Recommended Dilution IHC 1:200-1:500 -
Protocols:
-
儲存條件:Upon receipt, store at -20°C or -80°C. Avoid repeated freeze.
-
貨期:Basically, we can dispatch the products out in 1-3 working days after receiving your orders. Delivery time maybe differs from different purchasing way or location, please kindly consult your local distributors for specific delivery time.
-
用途:For Research Use Only. Not for use in diagnostic or therapeutic procedures.
相關產品
靶點詳情
-
功能:Lectin that binds chitooligosaccharides and other glycans with high affinity, but not heparin. Has no chitinase activity.
-
基因功能參考文獻:
- This study shown that CHI3L2 is regulated differently in healthy and late onset Alzheimer"s disease brain depending on the sex. PMID: 27653898
- Structural analysis demonstrates that YKL-39 interacts with chitooligosaccharides through hydrogen bonds and hydrophobic interactions. Thermodynamic analysis indicates that binding of chitooligosaccharide to YKL-39 is mainly driven by enthalpy. PMID: 25477513
- These data suggest that hYKL-39 is a novel growth and differentiation factor involved in cartilage homeostasis. PMID: 23291184
- YKL-39 possesses a chitinase-like fold, but lacks key active-site residues required for catalysis. PMID: 22742450
- ERK1/2 phosphorylation by CHI3L2 inhibits cell mitogenesis and proliferation. PMID: 22211103
顯示更多
收起更多
-
亞細胞定位:Secreted.
-
蛋白家族:Glycosyl hydrolase 18 family
-
組織特異性:Highest expression in chondrocytes, followed by synoviocytes, lung and heart. Not detected in spleen, pancreas, and liver. May also be expressed in developing brain and placenta.
-
數據庫鏈接:
Most popular with customers
-
-
YWHAB Recombinant Monoclonal Antibody
Applications: ELISA, WB, IHC, IF, FC
Species Reactivity: Human, Mouse, Rat
-
Phospho-YAP1 (S127) Recombinant Monoclonal Antibody
Applications: ELISA, WB, IHC
Species Reactivity: Human
-
-
-
-
-















