CELSR2 Antibody
-
中文名稱:CELSR2兔多克隆抗體
-
貨號:CSB-PA052305
-
規格:¥1100
-
圖片:
-
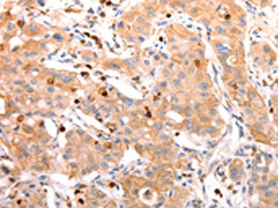
The image on the left is immunohistochemistry of paraffin-embedded Human colon cancer tissue using CSB-PA052305(CELSR2 Antibody) at dilution 1/50, on the right is treated with synthetic peptide. (Original magnification: ×200)
-
The image on the left is immunohistochemistry of paraffin-embedded Human lung cancer tissue using CSB-PA052305(CELSR2 Antibody) at dilution 1/50, on the right is treated with synthetic peptide. (Original magnification: ×200)
-
-
其他:
產品詳情
-
Uniprot No.:
-
基因名:
-
別名:Cadherin EGF LAG seven pass G type receptor 2 flamingo Drosophila homolog antibody; Cadherin EGF LAG seven-pass G-type receptor 2 antibody; Cadherin family member 10 antibody; CDHF10 antibody; CELR2_HUMAN antibody; Celsr2 antibody; EGF like domain multiple 2 antibody; EGF-like protein 2 antibody; EGFL2 antibody; epidermal growth factor like 2 antibody; Epidermal growth factor-like protein 2 antibody; Flamingo homolog 3 antibody; Flamingo1 antibody; KIAA0279 antibody; MEGF3 antibody; Multiple EGF-like domains protein 3 antibody; Multiple epidermal growth factor-like domains 3 antibody; Multiple epidermal growth factor-like domains protein 3 antibody
-
宿主:Rabbit
-
反應種屬:Human,Mouse,Rat
-
免疫原:Synthetic peptide of Human CELSR2
-
免疫原種屬:Homo sapiens (Human)
-
標記方式:Non-conjugated
-
抗體亞型:IgG
-
純化方式:Antigen affinity purification
-
濃度:It differs from different batches. Please contact us to confirm it.
-
保存緩沖液:-20°C, pH7.4 PBS, 0.05% NaN3, 40% Glycerol
-
產品提供形式:Liquid
-
應用范圍:ELISA,IHC
-
推薦稀釋比:
Application Recommended Dilution ELISA 1:2000-1:5000 IHC 1:50-1:200 -
Protocols:
-
儲存條件:Upon receipt, store at -20°C or -80°C. Avoid repeated freeze.
-
貨期:Basically, we can dispatch the products out in 1-3 working days after receiving your orders. Delivery time maybe differs from different purchasing way or location, please kindly consult your local distributors for specific delivery time.
-
用途:For Research Use Only. Not for use in diagnostic or therapeutic procedures.
相關產品
靶點詳情
-
功能:Receptor that may have an important role in cell/cell signaling during nervous system formation.
-
基因功能參考文獻:
- Both CELSR2 and ING4 display increased cytoplasmic staining in breast cancer cells compared to benign epithelium, suggesting a possible role of both genes in the pathogenesis of human mammary neoplasia. PMID: 29489009
- findings suggest a rare variant in CELSR2 as causative for idiopathic scoliosis in a family with dominant segregation and further highlight common variation in CELSR2 in general susceptibility to idiopathic scoliosis in the Swedish-Danish population PMID: 29240829
- we report bi-allelic mutations in CELSR2 in a Joubert patient with cortical heterotopia, microophthalmia, and growth hormone deficiency. PMID: 28052552
- no association was found between the SNPs of rs599839, rs464218 and rs6698843 at the CELSR2-PSRC1-SORT1 and the risk of coronary artery disease or ischemic stroke PMID: 26464717
- CELSR2 in the cholesterol gene cluster shows a significant association with coronary artery disease and its single nucleotide polymorphism regulates plasma cholesterol levels. PMID: 24674750
- The novel CAD-associated locus in the vicinity of the PSRC1 and CELSR2 genes on chromosome 1 probably enhances CAD risk through an effect on plasma LDL cholesterol. PMID: 18649068
顯示更多
收起更多
-
亞細胞定位:Cell membrane; Multi-pass membrane protein.
-
蛋白家族:G-protein coupled receptor 2 family, LN-TM7 subfamily
-
組織特異性:Highest expression in brain and testis.
-
數據庫鏈接:
Most popular with customers
-
-
YWHAB Recombinant Monoclonal Antibody
Applications: ELISA, WB, IHC, IF, FC
Species Reactivity: Human, Mouse, Rat
-
Phospho-YAP1 (S127) Recombinant Monoclonal Antibody
Applications: ELISA, WB, IHC
Species Reactivity: Human
-
-
-
-
-















