CEACAM3 Antibody
-
中文名稱:CEACAM3兔多克隆抗體
-
貨號:CSB-PA795702
-
規格:¥1100
-
圖片:
-
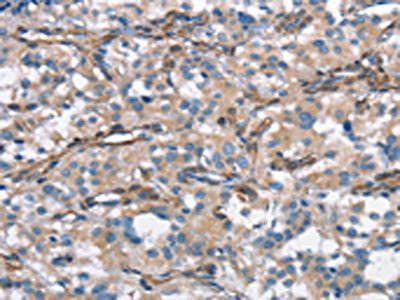
The image on the left is immunohistochemistry of paraffin-embedded Human gastic cancer tissue using CSB-PA795702(CEACAM3 Antibody) at dilution 1/30, on the right is treated with synthetic peptide. (Original magnification: ×200)
-
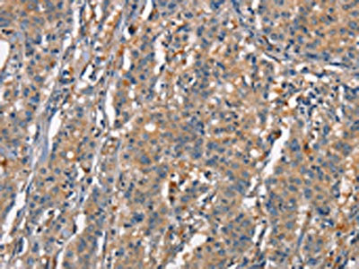
The image on the left is immunohistochemistry of paraffin-embedded Human thyroid cancer tissue using CSB-PA795702(CEACAM3 Antibody) at dilution 1/30, on the right is treated with synthetic peptide. (Original magnification: ×200)
-
-
其他:
產品詳情
-
Uniprot No.:
-
基因名:CEACAM3
-
別名:carcinoembryonic antibody; Carcinoembryonic antigen CGM1 antibody; Carcinoembryonic antigen gene family member 1 antibody; carcinoembryonic antigen related cell adhesion molecule 3 antibody; Carcinoembryonic antigen-related cell adhesion molecule 3 antibody; cd66 d antibody; CD66d antibody; CD66d antigen antibody; CEA antibody; CEACAM 3 antibody; CEACAM-3 antibody; Ceacam3 antibody; CEAM 3 antibody; CEAM-3 antibody; CEAM3 antibody; CEAM3_HUMAN antibody; CGM1 antibody; Nonspecific cross reacting antigen antibody; W264 antibody; W282 antibody
-
宿主:Rabbit
-
反應種屬:Human
-
免疫原:Synthetic peptide of Human CEACAM3
-
免疫原種屬:Homo sapiens (Human)
-
標記方式:Non-conjugated
-
抗體亞型:IgG
-
純化方式:Antigen affinity purification
-
濃度:It differs from different batches. Please contact us to confirm it.
-
保存緩沖液:-20°C, pH7.4 PBS, 0.05% NaN3, 40% Glycerol
-
產品提供形式:Liquid
-
應用范圍:ELISA,IHC
-
推薦稀釋比:
Application Recommended Dilution ELISA 1:1000-1:2000 IHC 1:25-1:100 -
Protocols:
-
儲存條件:Upon receipt, store at -20°C or -80°C. Avoid repeated freeze.
-
貨期:Basically, we can dispatch the products out in 1-3 working days after receiving your orders. Delivery time maybe differs from different purchasing way or location, please kindly consult your local distributors for specific delivery time.
-
用途:For Research Use Only. Not for use in diagnostic or therapeutic procedures.
相關產品
靶點詳情
-
功能:Major granulocyte receptor mediating recognition and efficient opsonin-independent phagocytosis of CEACAM-binding microorganisms, including Neissiria, Moxarella and Haemophilus species, thus playing an important role in the clearance of pathogens by the innate immune system. Responsible for RAC1 stimulation in the course of pathogen phagocytosis.
-
基因功能參考文獻:
- the findings reveal an integration of the specific innate immune receptor CEACAM3 into the network of more conventional pattern recognition receptors, providing a mechanism by which the innate immune system can unleash its response to a relentless pathogen. PMID: 28886618
- CEACAM3 signalling in neutrophils is able to specifically modulate airway inflammation caused by infection with M. catarrhalis. PMID: 27038042
- Opacity protein OpaI of Neisseria gonorrhoeae in lipooligosaccharide mutants lost ability to interact with neutrophil-restricted CEACAM3. PMID: 27376801
- p-CEA measurement in patients with pleural effusion of uncertain etiology is a safe and cost-effective procedure, everywhere easily available, which may help clinicians in selecting patients for further evaluations PMID: 27521620
- Demonstrated the CEACAM3 specificity and a perioperative trend of circulating tumor cells which is coherent with the clinical/pathological considerations in colorectal cancer. PMID: 26556959
- COLIV is a promising tumour marker for CLM and can possibly be used to detect postoperative CLM recurrence. The combination of COLIV and CEA is superior to either marker alone in detecting CLM PMID: 26162539
- The higher expression of CD44v6, integrin-beta1, CA199, and CEA are closely related to the progression and metastasis of pancreatic cancer.[CA199, CD44v6] PMID: 22382453
- A failure of CEACAM3-mediated innate immune detection might be linked to the ability of gonococci to cause disseminated infections. PMID: 23630956
- Grb14 is the first negative regulator of CEACAM3-initiated bacterial phagocytosis and might help to focus granulocyte responses to the subcellular sites of pathogen-host cell contact PMID: 22948154
- CEACAM3 promotes opsonin-independent phagocytosis of CEACAM-binding bacteria. CEACAM3 is the main driver for this process on human granulocytes. PMID: 22469950
- the ability of CEACAM3 to coordinate signaling events that not only mediate bacterial uptake, but also trigger the killing of internalized pathogens. PMID: 21216968
- CEACAM6 and a regulatory element near the 3' end of CEACAM3 are associated with cystic fibrosis disease severity and intrapair discordance PMID: 20047061
- CA-19.9 serum tumor marker levels retain independent prognostic value for poor survival in patients with advanced pancreatic cancer. PMID: 20071292
- CEACAM3 has a role in internalizing bacteria to epithelial cells PMID: 12571236
- CEACAM3 controls human-specific pathogens by the innate immune system. PMID: 14707113
- Molecular staging of SLN using real-time RT-PCR for early breast cancer could serve as a useful complement to standard clinicopathological risk factors. PMID: 17071045
- Increased p53, CEA, and CA 19-9 serum levels are associated with colorectal cancer. PMID: 17211733
- Our results suggest that an immunohistochemical panel consisting of TTF-1, CEA, CA-125, and OCT-4 is helpful in distinguishing most pulmonary and ovarian carcinomas with clear cell features. PMID: 17413979
- These data reveal CEACAM3 as a specific innate immune receptor that mediates the opsonin-independent clearance of CEACAM-binding bacteria via Syk, a molecular trigger for functional immunoreceptor responses of both the adaptive and innate immune systems. PMID: 17506820
- killing of bulk NK cultures was inhibited by CEA-expressing cells, suggesting that this putative receptor is an inhibitory receptor PMID: 17878338
- Increased CA 19-9 level is associated with pancreatic adenocarcinoma and cholangiocarcinoma. PMID: 19089662
顯示更多
收起更多
-
亞細胞定位:Membrane; Single-pass type I membrane protein.
-
蛋白家族:Immunoglobulin superfamily, CEA family
-
組織特異性:CGM1a, the predominant CGM1 transcript, is granulocyte-specific. Not detected out of the granulocytic lineage, such as monocytes, lymphocytes, spleen, testis, colon, brain, liver, pancreas, thymus, ovary, placenta, skeletal muscle, prostate, small intesti
-
數據庫鏈接:
Most popular with customers
-
-
YWHAB Recombinant Monoclonal Antibody
Applications: ELISA, WB, IHC, IF, FC
Species Reactivity: Human, Mouse, Rat
-
Phospho-YAP1 (S127) Recombinant Monoclonal Antibody
Applications: ELISA, WB, IHC
Species Reactivity: Human
-
-
-
-
-















