CDS1 Antibody
-
中文名稱:CDS1兔多克隆抗體
-
貨號:CSB-PA842170LA01HU
-
規格:¥440
-
圖片:
-
Immunohistochemistry of paraffin-embedded human melanoma using CSB-PA842170LA01HU at dilution of 1:100
-
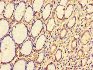
Immunohistochemistry of paraffin-embedded human stomach tissue using CSB-PA842170LA01HU at dilution of 1:100
-
Immunofluorescent analysis of Hela cells using CSB-PA842170LA01HU at dilution of 1:100 and Alexa Fluor 488-congugated AffiniPure Goat Anti-Rabbit IgG(H+L)
-
-
其他:
產品詳情
-
產品名稱:Rabbit anti-Homo sapiens (Human) CDS1 Polyclonal antibody
-
Uniprot No.:
-
基因名:
-
別名:CDS1; CDS; Phosphatidate cytidylyltransferase 1; CDP-DAG synthase 1; CDP-DG synthase 1; CDP-diacylglycerol synthase 1; CDS 1; CDP-diglyceride pyrophosphorylase 1; CDP-diglyceride synthase 1; CTP:phosphatidate cytidylyltransferase 1
-
宿主:Rabbit
-
反應種屬:Human
-
免疫原:Recombinant Human Phosphatidate cytidylyltransferase 1 protein (6-85AA)
-
免疫原種屬:Homo sapiens (Human)
-
標記方式:Non-conjugated
本頁面中的產品,CDS1 Antibody (CSB-PA842170LA01HU),的標記方式是Non-conjugated。對于CDS1 Antibody,我們還提供其他標記。見下表:
-
克隆類型:Polyclonal
-
抗體亞型:IgG
-
純化方式:>95%, Protein G purified
-
濃度:It differs from different batches. Please contact us to confirm it.
-
保存緩沖液:Preservative: 0.03% Proclin 300
Constituents: 50% Glycerol, 0.01M PBS, PH 7.4 -
產品提供形式:Liquid
-
應用范圍:ELISA, IHC, IF
-
推薦稀釋比:
Application Recommended Dilution IHC 1:20-1:200 IF 1:50-1:200 -
Protocols:
-
儲存條件:Upon receipt, store at -20°C or -80°C. Avoid repeated freeze.
-
貨期:Basically, we can dispatch the products out in 1-3 working days after receiving your orders. Delivery time maybe differs from different purchasing way or location, please kindly consult your local distributors for specific delivery time.
-
用途:For Research Use Only. Not for use in diagnostic or therapeutic procedures.
相關產品
靶點詳情
-
功能:Catalyzes the conversion of phosphatidic acid (PA) to CDP-diacylglycerol (CDP-DAG), an essential intermediate in the synthesis of phosphatidylglycerol, cardiolipin and phosphatidylinositol. Exhibits almost no acyl chain preference for PA, showing no discrimination for the sn-1/sn-2 acyl chain composition of PAs. Plays an important role in regulating the growth of lipid droplets which are storage organelles at the center of lipid and energy homeostasis. Positively regulates the differentiation and development of adipocytes.
-
基因功能參考文獻:
- CDS1 and CDS2 are important novel regulators of lipid storage. PMID: 26946540
- distinct properties of the two isoforms of CDP-diacylglycerol synthase PMID: 25375833
-
亞細胞定位:Endoplasmic reticulum membrane; Multi-pass membrane protein.
-
蛋白家族:CDS family
-
組織特異性:Expressed in adult tissues such as placenta, brain, small intestine, ovary, testis and prostate. Highly expressed in fetal kidney, lung and brain. Lower level in fetal liver.
-
數據庫鏈接:
Most popular with customers
-
-
YWHAB Recombinant Monoclonal Antibody
Applications: ELISA, WB, IHC, IF, FC
Species Reactivity: Human, Mouse, Rat
-
Phospho-YAP1 (S127) Recombinant Monoclonal Antibody
Applications: ELISA, WB, IHC
Species Reactivity: Human
-
-
-
-
-















