-
中文名稱:CDKN2B兔多克隆抗體
-
貨號:CSB-PA005092LA01HU
-
規格:¥440
-
圖片:
-
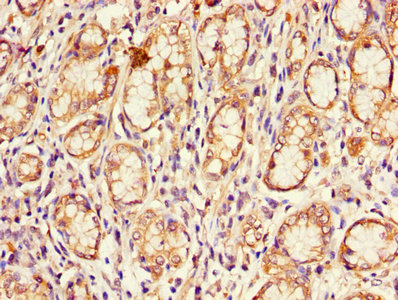
Immunohistochemistry of paraffin-embedded human stomach tissue using CSB-PA005092LA01HU at dilution of 1:100
-
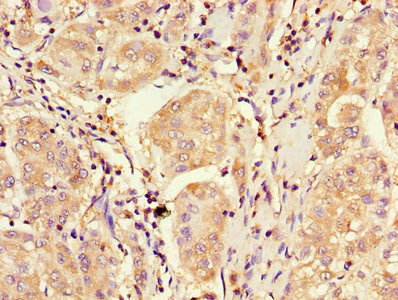
Immunohistochemistry of paraffin-embedded human liver cancer using CSB-PA005092LA01HU at dilution of 1:100
-
Immunofluorescent analysis of Hela cells using CSB-PA005092LA01HU at dilution of 1:100 and Alexa Fluor 488-congugated AffiniPure Goat Anti-Rabbit IgG(H+L)
-
-
其他:
產品詳情
-
產品名稱:Rabbit anti-Homo sapiens (Human) CDKN2B Polyclonal antibody
-
Uniprot No.:
-
基因名:
-
別名:CDK inhibitory protein antibody; CDK4B Inhibitor antibody; Cdkn2b antibody; CDN2B_HUMAN antibody; Cyclin dependent kinase 4 inhibitor B antibody; Cyclin Dependent Kinase Inhibitor 2B antibody; Cyclin dependent kinase inhibitor 2B p15 inhibits CDK4 antibody; Cyclin dependent kinases 4 and 6 binding protein antibody; Cyclin-dependent kinase 4 inhibitor B antibody; INK4B antibody; MTS 2 antibody; MTS-2 antibody; MTS2 antibody; Multiple tumor suppressor 2 antibody; Multiple Tumor Supressor 2 antibody; OTTHUMP00000021154 antibody; OTTHUMP00000021155 antibody; p14 CDK inhibitor antibody; p14 INK4b antibody; p14-INK4b antibody; P15 antibody; p15 CDK inhibitor antibody; p15 inhibits CDK4 antibody; p15 INK4b antibody; p15-INK4b antibody; p15INK4B antibody; TP 15 antibody; TP15 antibody
-
宿主:Rabbit
-
反應種屬:Human
-
免疫原:Recombinant Human Cyclin-dependent kinase 4 inhibitor B protein (1-138AA)
-
免疫原種屬:Homo sapiens (Human)
-
標記方式:Non-conjugated
本頁面中的產品,CDKN2B Antibody (CSB-PA005092LA01HU),的標記方式是Non-conjugated。對于CDKN2B Antibody,我們還提供其他標記。見下表:
-
克隆類型:Polyclonal
-
抗體亞型:IgG
-
純化方式:>95%, Protein G purified
-
濃度:It differs from different batches. Please contact us to confirm it.
-
保存緩沖液:Preservative: 0.03% Proclin 300
Constituents: 50% Glycerol, 0.01M PBS, PH 7.4 -
產品提供形式:Liquid
-
應用范圍:ELISA, IHC, IF
-
推薦稀釋比:
Application Recommended Dilution IHC 1:20-1:200 IF 1:50-1:200 -
Protocols:
-
儲存條件:Upon receipt, store at -20°C or -80°C. Avoid repeated freeze.
-
貨期:Basically, we can dispatch the products out in 1-3 working days after receiving your orders. Delivery time maybe differs from different purchasing way or location, please kindly consult your local distributors for specific delivery time.
-
用途:For Research Use Only. Not for use in diagnostic or therapeutic procedures.
引用文獻
相關產品
靶點詳情
-
功能:Interacts strongly with CDK4 and CDK6. Potent inhibitor. Potential effector of TGF-beta induced cell cycle arrest.
-
基因功能參考文獻:
- Concurrent mutations, in genes such as CDKN2B or RB1, were associated with worse clinical outcome in lung adenocarcinoma patients with EGFR active mutations. PMID: 29343775
- CDKN2B expression in HPDE6-C7 human pancreatic ductal cells is induced by oncogenic KRAS via TGF-beta signaling. PMID: 28892048
- findings suggest that the GG genotype of the CDKN2B-AS1 gene variant rs4977574, which has been previously associated with an increased CAD risk, is also associated with a decreased susceptibility to the development of hypertension PMID: 29791233
- CDKN2B gene locus is a cardiovascular risk in ethnic Saudi Arabs PMID: 29894795
- ANRIL plays an important role in the formation of atherosclerosis, and the artificial modification of ANRIL transcripts should be considered following the development of this disease. (Review) PMID: 29270737
- CDKN2A/B locus SNPs may impact T2D risk by modulating islet gene expression and beta-cell proliferation. PMID: 29432124
- Complete methylation and loss of p15 gene expression causes susceptibility to relapse and decreased survival in APL patients. Thus, p15 promoter hypermethylation is a prospective prognostic indicator and a reliable clinical aid in assessment of patients with APL. PMID: 28052659
- Patients with higher levels of DNA methylation of CDKN2B may bear increased risk for aortic arch calcification PMID: 27773886
- E2F1 induces TINCR transcriptional activity and accelerates gastric cancer progression via activation of TINCR/STAU1/CDKN2B signaling axis. PMID: 28569791
- ANRIL may reduce p15INK4B expression through inhibiting TGF-beta/Smad signaling pathway, promoting invasion and metastasis of TC cells, and the silencing of ANRIL inhibits the invasion and metastasis of TPC-1 cells PMID: 27507052
- The obtained data suggested a negative association between copy number variation of the CDK2B genes and Atherothrombotic stroke. PMID: 28477716
- Among 8 SNPs in 3 loci that showed at least nominal association (P < 5.00E-02) in the primary cohort, a representative SNP for each loci (rs2157719 for CDKN2B-AS1, rs33912345 for SIX6, and rs9913911 for GAS7) were selected PMID: 29261660
- Results show that expression of CDKN2B was reduced significantly in colorectal cancer (CRC) and its promotor is targeted by miR-18b which controls its regulation. PMID: 28784723
- Mechanistic investigations demonstrated that BLACAT1 had a key role in G1/G0 arrest, and showed that BLACAT1 can repress p15 expression by binding to EZH2, thus contributing to the regulation of CRC cell cycle and proliferation. Our results suggest that BLACAT1, as a cell cycle regulator, may serve as a potential target for colon cancer prevention and treatment in human CRC PMID: 28277544
- DNA methylation of CDKN2B may play a potential role in artery calcification. PMID: 27905995
- These data support the hypothesis that decreased p15 expression is a robust biomarker for distinguishing nevus from melanoma. PMID: 27855847
- Total 1208 differentially expressed genes were screened, and 5 coronary artery disease (CAD)-associated miRNAs (including miR-92a) were predicted associated with CAD. The SVM classifier was constructed based on the 41 featured genes and had high recognition efficiency. Only one lncRNA CDKN2B-antisense targeting miR-92a was obtained. PMID: 28760552
- Upregulation of ZEB1-AS1 colorectal cancer promotes cell proliferation and inhibits cell apoptosis. In addition, cell cycle inhibitory protein p15 participates in the oncogenic function of ZEB1-AS1. Collectively, ZEB1-AS1 has asignificant effect on colorectal cancer pathological process and serves as a valuable prognostic biomarker for colorectal cancer. PMID: 28618933
- Genetic association analyses using the cpRNFLT with 768 points suggest that the CDKN2B gene was associated with paracentral/lower hemifield scotomas. PMID: 28472212
- We found that CDKN2B was a virtual target of miR-15a-5p with potential binding sites in the 3'UTR of CDKN2B (77-83 bp). We also showed that miR-15a-5p could bind to the CDKN2B 3'UTR. The data revealed a negative regulatory role of miR-15a-5p in the apoptosis of smooth muscle cells via targeting CDKN2B, and showed that miR-15a-5p could be a novel therapeutic target of AAA. PMID: 28214350
- Meta-analysis indicates that CDKN2B gene rs1063192 polymorphism is significantly associated with a decreased risk of glaucoma. [meta-analysis] PMID: 28416752
- results suggest that the cyclin dependent kinase inhibitor 2B rs10811656 locus might be associated with coronary artery disease in a Chinese Han population PMID: 27507036
- Polymorphism rs1063192 in CDKN2B is not a risk factor for Open-Angle Glaucoma in Saudi cohort. PMID: 27541204
- The CC genotype of CDKN2B rs1063192 in the hsa-miR-323b-5p binding site increased the risk of gestational diabetes mellitus in pregnant Chinese Han women PMID: 25990668
- Genetic risk variants in the CDKN2B gene is associated with somatic biomarkers in glioma. PMID: 26839018
- Aberrant methylation of the promoter regions of the p15INK4b gene in patients with acute myeloid leukemias. PMID: 27459612
- Inhibited HO-1 expression attenuated the hypermethylation of CDKN2B by suppressing DNMT1, which was conducive to treatment by cooperating with decitabine. PMID: 26782424
- Tumor suppressor ASXL1 is essential for the activation of INK4B expression in response to oncogene activity and anti-proliferative signals PMID: 26470845
- This study investigated the potential roles of CDKN2B-related piRNA in leukemia cells to provide a potential tumorigenesis model of leukemia PMID: 26205624
- CDKN2B Loss Promotes Progression from Benign Melanocytic Nevus to Melanoma PMID: 26183406
- Children with ALL have higher levels of p15 CpG island methylation than a control group of children with ITP. PMID: 26501552
- High expression of p15 antisense RNA is associated with acute myeloid leukemia. PMID: 27060304
- CDKN2B variants are associated with pediatric B-cell precursor acute lymphoblastic leukemia. PMID: 26868379
- Loss of CDKN2B may not only promote cardiovascular disease through the development of atherosclerosis but may also impair TGFbeta signaling and hypoxic neovessel maturation. PMID: 26596284
- CD93 regulates LSC self-renewal by silencing CDKN2B in MLL leukemia PMID: 26387756
- The treatment of Raji cell line with 10 muM curcumin caused hypomethylation of the p15 promoter after six days. This led to the up-regulation of p15 and down-regulation of DNA methyltransferase 1. PMID: 26333125
- Findings identify germline CDKN2B mutations as a novel cause of familial renal cell carcinoma. PMID: 25873077
- There was no association between germline coding CDKN2B variants and B cell acute lymphoblastic leukemia in children. PMID: 26104880
- Results show that ANRIL positively regulates the proliferation of cancer cells, via regulating p15 and other genes related to G2/M phase control. PMID: 26408699
- these data show that DC-SCRIPT acts as a novel regulator of CDKN2B and induces cell cycle arrest in ESR1-positive breast cancer cells. PMID: 25663546
- silencing of p15 gene expression by epigenetic modification such as promoter hypermethylation plays a role not only in the initiation of multiple myeloma but also in plasma cell malignant transformation, disease progression, and development PMID: 25382971
- promoter methylation of p15 gene could have prognostic value in diffuse large B-cell lymphoma patients. PMID: 24815848
- CDKN2B locus deletion is associated with melanoma brain metastases. PMID: 24968695
- genotypes of the polymorphic markers of KCNJ11, SLC30A8 and CDKN2B genes showed the presence of association with T2DM in Russian population, while for the FTO gene was not found statistically significant associations with type 2 diabetes PMID: 25916116
- CDKN2B polymorphism is associated with the development of coronary atherosclerosis. PMID: 24573017
- Single nucleotide polymorphisms in CDKN2B gene are associated with cancer. PMID: 25239644
- Exogenous p15 protein expression combined with STI571 appeared to have a synergistic effect on proliferation inhibition and apoptosis induction in K562 cells. PMID: 24938701
- Investigate the relationship between urinary nickel and methylation of p16 in workers exposed to nickel. The levels of urinary nickel were significantly associated with the methylation of p15. PMID: 24806561
- CDKN2B upregulation was found in myelodysplastic syndrome mesenchymal stem cells. PMID: 24943834
- Loss of p15INK4b was associated with older age. PMID: 24716938
顯示更多
收起更多
-
亞細胞定位:Cytoplasm. Note=Also found in the nucleus.
-
蛋白家族:CDKN2 cyclin-dependent kinase inhibitor family
-
組織特異性:Isoform 2 is expressed in normal (keratinocytes, fibroblasts) and tumor cell lines.
-
數據庫鏈接:
Most popular with customers
-
-
YWHAB Recombinant Monoclonal Antibody
Applications: ELISA, WB, IHC, IF, FC
Species Reactivity: Human, Mouse, Rat
-
-
-
-
-
-















