CDK4 Antibody
-
中文名稱:CDK4兔多克隆抗體
-
貨號:CSB-PA597701
-
規格:¥1100
-
圖片:
-
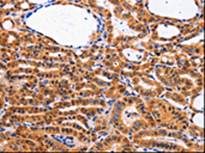
The image on the left is immunohistochemistry of paraffin-embedded Human thyroid cancer tissue using CSB-PA597701(CDK4 Antibody) at dilution 1/10, on the right is treated with fusion protein. (Original magnification: ×200)
-
Gel: 12%SDS-PAGE, Lysate: 30 μg, Lane 1-2: Hela cells, 293T cells, Primary antibody: CSB-PA597701(CDK4 Antibody) at dilution 1/450, Secondary antibody: Goat anti rabbit IgG at 1/8000 dilution, Exposure time: 1 minute
-
-
其他:
產品詳情
-
Uniprot No.:
-
基因名:
-
別名:Cdk 4 antibody; cdk4 antibody; CDK4 protein antibody; CDK4_HUMAN antibody; Cell division kinase 4 antibody; Cell division protein kinase 4 antibody; CMM 3 antibody; CMM3 antibody; Crk3 antibody; Cyclin dependent kinase 4 antibody; Cyclin-dependent kinase 4 antibody; Melanoma cutaneous malignant 3 antibody; MGC14458 antibody; p34 cdk4 antibody; PSK J3 antibody; PSK-J3 antibody
-
宿主:Rabbit
-
反應種屬:Human,Mouse,Rat
-
免疫原:Fusion protein of Human CDK4
-
免疫原種屬:Homo sapiens (Human)
-
標記方式:Non-conjugated
-
抗體亞型:IgG
-
純化方式:Antigen affinity purification
-
濃度:It differs from different batches. Please contact us to confirm it.
-
保存緩沖液:-20°C, pH7.4 PBS, 0.05% NaN3, 40% Glycerol
-
產品提供形式:Liquid
-
應用范圍:ELISA,WB,IHC
-
推薦稀釋比:
Application Recommended Dilution ELISA 1:1000-1:5000 WB 1:500-1:2000 IHC 1:10-1:50 -
Protocols:
-
儲存條件:Upon receipt, store at -20°C or -80°C. Avoid repeated freeze.
-
貨期:Basically, we can dispatch the products out in 1-3 working days after receiving your orders. Delivery time maybe differs from different purchasing way or location, please kindly consult your local distributors for specific delivery time.
-
用途:For Research Use Only. Not for use in diagnostic or therapeutic procedures.
相關產品
靶點詳情
-
功能:Ser/Thr-kinase component of cyclin D-CDK4 (DC) complexes that phosphorylate and inhibit members of the retinoblastoma (RB) protein family including RB1 and regulate the cell-cycle during G(1)/S transition. Phosphorylation of RB1 allows dissociation of the transcription factor E2F from the RB/E2F complexes and the subsequent transcription of E2F target genes which are responsible for the progression through the G(1) phase. Hypophosphorylates RB1 in early G(1) phase. Cyclin D-CDK4 complexes are major integrators of various mitogenenic and antimitogenic signals. Also phosphorylates SMAD3 in a cell-cycle-dependent manner and represses its transcriptional activity. Component of the ternary complex, cyclin D/CDK4/CDKN1B, required for nuclear translocation and activity of the cyclin D-CDK4 complex.
-
基因功能參考文獻:
- Data indicate that PAQR4 has a tumorigenic effect on human breast cancers, and such effect is associated with a modulatory activity of PAQR4 on protein degradation of CDK4 PMID: 29228296
- MiR-340 overexpression inhibited tumor growth by regulating CDK4 expression. miR-340 functions as a tumor suppressor in non small cell lung cancer (NSCLC) cells and may provide a potential target of NSCLC treatment. PMID: 29935356
- CDK4 and XPO1 are not altered in a rare undifferentiated sarcoma, making them therapeutic targets PMID: 27329820
- while mTOR inhibitors restore endocrine sensitivity, CDK4/6 inhibitors may favor the emergence of estrogen receptor 1 (ESR1) mutations resulting in ligand-independent activity of the receptor PMID: 28685610
- Inhibition of CDK4/6 is potentially a highly effective strategy for the treatment of SHH and MYC-amplified group 3 medulloblastoma. PMID: 28637687
- SOX12 can increase the expression of CDK4 and IGF2BP1, which confer malignant phenotypes to Hepatocellular Carcinoma. PMID: 28975985
- Study showed that CDK4 and BCAS2 may be target genes of miR-486 and levels of CDK4 and BCAS2 were both significantly higher in the esophageal cancer tissues and cell lines than levels in the normal tissues and cells. PMID: 29115564
- blocking CDK4 activity efficiently eliminated both normal and chemotherapy-resistant cancer cells in triple negative breast cancers, highlighting CDK4 as a promising novel therapeutic target for these aggressive breast tumors. PMID: 27759034
- Amplification of gene CDK4 is associated with lung adenocarcinoma. PMID: 28381877
- Ongoing trials of doublet and triplet targeted therapies containing ribociclib seek to identify optimal CDK4/6-based targeted combination regimens for various tumor types and advance the field of precision therapeutics in oncology PMID: 28351928
- Palbociclib induces activation of AMPK and inhibits hepatocellular carcinoma in a CDK4/6-independent manner PMID: 28453226
- The combination of ribociclib, a dual inhibitor of cyclin-dependent kinase (CDK) 4 and 6, and the ALK inhibitor ceritinib demonstrated higher cytotoxicity and synergy scores (P = 0.006) in cell lines with ALK mutations as compared with cell lines lacking mutations or alterations in ALK . PMID: 27986745
- Results showed that CDK4 expression was up-regulated in colorectal carcinoma and suggested that cdc37 increased the stability of CDK4 to activate RB1 which ultimately promotes G1-S transition. PMID: 29288563
- Data show that sulfatase 1 (hSulf-1) overexpression in melanoma cells can inhibit cell proliferation and induce cell cycle arrest and apoptosis by decreasing the protein kinase B (AKT) phosphorylation and limiting cyclin dependent kinase 4 (CDK4) nuclear import. PMID: 27806323
- we here show that subgroups of SDCs display genomic amplifications of MDM2 and/or CDK4, partly in association with TP53 mutations and rearrangement/amplification of HMGA2. PMID: 27662657
- CDK4/6 inhibition suppressed cell cycle progression of ER+/HER2- brreast cancer models. PMID: 27564114
- Proliferating tumor stem cells with high telomerase expression are suitable targets for CDK4/6 inhibitor, palbociclib. PMID: 28039467
- PRMT5 inhibited the interaction between CDK4 and CDKN2A and then activated the CDK4-RB-E2F pathway in hepatocellular carcinoma cells under glucose induction. PMID: 27708221
- This is the first clinical study exploring the use of a CDK4/6 inhibitor in a pediatric population. In this phase I study, we established the maximum tolerated dose (MTD) and recommended phase II dose (RP2D) of single-agent ribociclib in pediatric patients with neuroblastoma, MRTs, or other cancers with documented cyclin D-CDK4/6-INK4-retinoblastoma pathway aberrations PMID: 28432176
- Ribociclib (an oral, highly specific cyclin-dependent kinase 4/6 inhibitor) inhibits tumor growth. PMID: 27542767
- network-based rigidity analysis and emulation of thermal unfolding of the Cdk4-cyclin D complex and Hsp90-Cdc37-Cdk4 complex revealed weak spots of kinase instability that are present in the native Cdk4 structure and are targeted by the chaperone during client recruitment PMID: 29267381
- The study of 140 cases confirms that the incidence of MDM2/CDK4 amplification is low (5%) in large and/or deep-seated (subfascial) lipomatous neoplasms with histological features of a lipoma (or lipoma variant). PMID: 27020493
- miR-486-5p inhibits non-small cell lung cancer progression by down-regulating the expression of CDK4. PMID: 27049724
- Combined PI3Kalpha and CDK4/6 inhibition significantly improved disease control in human xenograft models compared with either monotherapy. PMID: 28947417
- High amplification levels of CDK4 is associated with dedifferentiated liposarcoma. PMID: 29153098
- Activation of cdk4 triggers NAFLD. PMID: 27373160
- Our results show that combined exogenous expression of hTERT and mutant CDK4 is an effective method to generate single-cell-derived Cancer-associated fibroblasts (CAFs) clones. This provides an innovative and suitable approach to investigate the heterogeneous function and phenotype of CAFs PMID: 28364361
- these findings support that PIKE amplification or overexpression coordinately acts with CDK4 to drive glioblastoma tumorigenesis. PMID: 28368413
- Specific E2Fs also have prognostic value in breast cancer, independent of clinical parameters. We discuss here recent advances in understanding of the RB-E2F pathway in breast cancer. We also discuss the application of genome-wide genetic screening efforts to gain insight into synthetic lethal interactions of CDK4/6 inhibitors in breast cancer for the development of more effective combination therapies. PMID: 26923330
- p16 in combination with MDM2 and CDK4 immunohistochemistry may help in the differential diagnosis of atypical lipomatous tumor/well-differentiated liposarcoma and dedifferentiated liposarcoma. PMID: 27597521
- conclude that p16 is highly sensitive for retroperitoneal DDL. However, the lack of specificity limits the diagnostic utility compared with the more established markers MDM2 and CDK4 PMID: 26509911
- CDK4 overexpression is associated with cancer. PMID: 27206849
- High CDK4 expression is associated with Melanoma. PMID: 26988987
- Staining for MDM2 and CDK4 was noted in 25/56 and 23/56 atypical lipomatous tumor/well-differentiated liposarcoma (ALT/WDL), respectively, giving a sensitivity of 45% and 41% and a specificity of 98% and 92%. Staining was noted exclusively in the nuclei of atypical cells and not in the nuclei of adipocytes. Staining for MDM2 and CDK4 occurred in 2/125 and 10/117 benign lipomatous lesions, respectively. PMID: 27508976
- Cdk4 inhibition leads to directing human mesenchymal stem cells to a multipotent neurogenic fate by inactivating Smads-STAT3 signaling. PMID: 27192561
- Reduced SIRT2 expression during tumorigenesis failed to repress cyclindependent kinase 4 expression, which eventually led to accelerated cell proliferation. PMID: 28259910
- older patients with head and neck squamous cell carcinoma and lung cancer have raised serums CDK4 levels, which has the potential to emerge as a biomarker in clinical practice PMID: 27815686
- we illustrate that the miR-124/CDK4 axis plays an important role in radiation sensitivity of human esophageal cancer cells by targeting CDK4. PMID: 27323123
- MiR-16 upregulation could reduce CDK4 expression. PMID: 26383521
- both miR-613 mimics and inhibitors could decrease and increase CDK4 protein levels in non-small cell lung cancer-derived cells, respectively. PMID: 26744345
- Upregulation of CDK4 expression is associated with gastric cancer. PMID: 26735582
- Our studies demonstrate that CDK4 and miR-15a comprise an abnormal automodulatory feedback loop stimulating the pathogenesis and inducing chemotherapy resistance in nasopharyngeal carcinoma . PMID: 26993269
- miR-539 plays an important role in the initiation and progression of nasopharyngeal carcinoma by targeting CDK4. PMID: 26559153
- The concept that cotargeting MEK and CDK4/6 would prove efficacious in KRAS-mutant (KRAS(mt)) colorectal cancers. PMID: 26369631
- This review highlights our current understanding of CDK signaling in both normal and malignant breast tissues, with special attention placed on recent clinical advances in inhibition of CDK4/6 in ER+ disease PMID: 26857361
- concurrent inhibition of ESR1 and the cyclin-dependent kinases 4 and 6 (CDK4/6) significantly increased progression-free survival in advanced patients PMID: 25991817
- amplification of HMGA2 was associated with the atypical lipomatous tumor/well-differentiated liposarcoma histological type and a good prognosis, whereas CDK4 and JUN amplifications were associated with dedifferentiated liposarcoma histology PMID: 26336885
- CDK4 Amplification Reduces Sensitivity to CDK4/6 Inhibition in Fusion-Positive Rhabdomyosarcoma PMID: 25810375
- Observations disclose the presence of CDK4 protein in human erythrocytes and its involvement in suicidal erythrocyte death. PMID: 26418250
- Data show that the p16/CDKN2A-cyclin-dependent kinase 4 (CDK4)-RB1 protein pathway is frequently disrupted in fibrosarcomatous dermatofibrosarcoma protuberans (FS-DFSP). PMID: 25852058
顯示更多
收起更多
-
相關疾病:Melanoma, cutaneous malignant 3 (CMM3)
-
亞細胞定位:Cytoplasm. Nucleus. Nucleus membrane.
-
蛋白家族:Protein kinase superfamily, CMGC Ser/Thr protein kinase family, CDC2/CDKX subfamily
-
數據庫鏈接:
Most popular with customers
-
-
YWHAB Recombinant Monoclonal Antibody
Applications: ELISA, WB, IHC, IF, FC
Species Reactivity: Human, Mouse, Rat
-
Phospho-YAP1 (S127) Recombinant Monoclonal Antibody
Applications: ELISA, WB, IHC
Species Reactivity: Human
-
-
-
-
-















