CD82 Antibody
-
中文名稱:CD82兔多克隆抗體
-
貨號:CSB-PA13269A0Rb
-
規格:¥440
-
圖片:
-
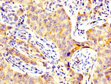
IHC image of CSB-PA13269A0Rb diluted at 1:300 and staining in paraffin-embedded human pancreatic cancer performed on a Leica BondTM system. After dewaxing and hydration, antigen retrieval was mediated by high pressure in a citrate buffer (pH 6.0). Section was blocked with 10% normal goat serum 30min at RT. Then primary antibody (1% BSA) was incubated at 4°C overnight. The primary is detected by a biotinylated secondary antibody and visualized using an HRP conjugated SP system.
-
Immunofluorescence staining of A549 cells with CSB-PA13269A0Rb at 1:100, counter-stained with DAPI. The cells were fixed in 4% formaldehyde, permeabilized using 0.2% Triton X-100 and blocked in 10% normal Goat Serum. The cells were then incubated with the antibody overnight at 4°C. The secondary antibody was Alexa Fluor 488-congugated AffiniPure Goat Anti-Rabbit IgG(H+L).
-
-
其他:
產品詳情
-
產品名稱:Rabbit anti-Homo sapiens (Human) CD82 Polyclonal antibody
-
Uniprot No.:
-
基因名:
-
別名:CD82; KAI1; SAR2; ST6; TSPAN27; CD82 antigen; C33 antigen; IA4; Inducible membrane protein R2; Metastasis suppressor Kangai-1; Suppressor of tumorigenicity 6 protein; Tetraspanin-27; Tspan-27; CD antigen CD82
-
宿主:Rabbit
-
反應種屬:Human
-
免疫原:Recombinant Human CD82 antigen protein (111-228AA)
-
免疫原種屬:Homo sapiens (Human)
-
標記方式:Non-conjugated
本頁面中的產品,CD82 Antibody (CSB-PA13269A0Rb),的標記方式是Non-conjugated。對于CD82 Antibody,我們還提供其他標記。見下表:
-
克隆類型:Polyclonal
-
抗體亞型:IgG
-
純化方式:>95%, Protein G purified
-
濃度:It differs from different batches. Please contact us to confirm it.
-
保存緩沖液:Preservative: 0.03% Proclin 300
Constituents: 50% Glycerol, 0.01M PBS, pH 7.4 -
產品提供形式:Liquid
-
應用范圍:ELISA, IHC, IF
-
推薦稀釋比:
Application Recommended Dilution IHC 1:200-1:500 IF 1:20-1:200 -
Protocols:
-
儲存條件:Upon receipt, store at -20°C or -80°C. Avoid repeated freeze.
-
貨期:Basically, we can dispatch the products out in 1-3 working days after receiving your orders. Delivery time maybe differs from different purchasing way or location, please kindly consult your local distributors for specific delivery time.
-
用途:For Research Use Only. Not for use in diagnostic or therapeutic procedures.
相關產品
靶點詳情
-
功能:Associates with CD4 or CD8 and delivers costimulatory signals for the TCR/CD3 pathway.
-
基因功能參考文獻:
- Low CD82 expression is associated with Biochemical Failure in Prostate cancer. PMID: 29936782
- The inhibition of miR-338-5p suppressed growth and metastasis of A375 cells. CD82 mRNA was identified as a direct target mRNA of miR-338-5p. PMID: 29710538
- The positive expression rates of KAI1 and nm23 were significantly lower in laryngeal squamous cell carcinoma than normal laryngeal mucosa. PMID: 29187211
- these data propose a mechanism where CD82 membrane organization regulates sustained PKCalpha signaling that results in an aggressive leukemia phenotype. These observations suggest that the CD82 scaffold may be a potential therapeutic target for attenuating aberrant signal transduction in acute myeloid leukemia (AML). PMID: 27417454
- CD82 is a component of the promiscuous TIMP-1 interacting protein complex on cell surface of human pancreatic adenocarcinoma cells. CD82 directly binds to TIMP-1 N-terminal region through its large extracellular loop and co-localizes with TIMP-1. PMID: 28030805
- the results suggest that CD82 suppresses epithelial-to-mesenchymal transition in prostate cancer cells adhered to the fibronectin matrix by repressing adhesion signaling through lateral interactions with the associated alpha3beta1 and alpha5beta1 integrins, leading to reduced cell migration and invasive capacities. PMID: 27926483
- Overexpression of LAMC2 and knockdown of CD82 markedly promoted GC cell invasion and activated EGFR/ERK1/2-MMP7 signaling via upregulation of the expression of phosphorylated (p)-EGFR, p-ERK1/2 and MMP7. PMID: 28252644
- Authors showed that miR-K6-5p directly targeted the coding sequence of CD82 molecule (CD82), a metastasis suppressor. PMID: 28534512
- a sub-population of DeltaNp63 and CD82-positive cells, whose disruption significantly perturbs the development of prostate metastatic tumor growth. PMID: 28368419
- These findings uncovered a hitherto unappreciated function of CD82 in severing the linkage between U2AF2-mediated CD44 alternative splicing and cancer aggressiveness, with potential prognostic and therapeutic implications in melanoma PMID: 27041584
- a mechanism where the membrane organization of CD82, through specific posttranslational modifications, regulates N-cadherin clustering and membrane density, which impacts the in vivo trafficking of AML cells. PMID: 26592446
- Methylation of CpG islands within the KAI1 promoter region was observed in the low KAI1-expressing prostate cancer cells. PMID: 27813113
- CD82 function may be important for muscle stem cell function in muscular disorders. PMID: 27641304
- The overexpression of KAI1/CD82 inhibited the proliferation and invasion of OSCC-15 cells. PMID: 28260006
- Our present work therefore suggests that CD82 on EC is a potential target for anti-angiogenic therapy in VEGFR2-dependent tumor angiogenesis. PMID: 27103437
- that a loss of KAI1/CD82 and an increase in PDGFR expression in gliomas relate to a progressive tumor growth PMID: 27764516
- KAI1 underexpression is associated with gastric cancer. PMID: 27793161
- KAI1-induced decreases in VEGFC expression are mediated via Src/STAT3 signaling pathways in pancreatic cancer cells. PMID: 27082851
- The simultaneous overexpression of p12CDK2-AP1 and CD82 significantly suppressed the in vivo tumor growth. PMID: 27349208
- Lack of expression of the KAI1 might indicate a more aggressive form of breast cancer. PMID: 27509988
- KAI1 and KISS1 are implicated in the pathogenesis and maintenance of endometriosis. PMID: 26918694
- Ubiquitously expressed CD82 restrains cell migration and cell invasion by modulating both cell-matrix and cell-cell adhesiveness and confining outside-in pro-motility signaling. PMID: 26335499
- Survivin, Bcl-2, and KAI1 are metastasis-related factors in cervical cancer. Overexpression of survivin and Bcl-2, and low expression of KAI1 promotes cervical cancer progress and metastasis. PMID: 26681053
- KAI1 was able to suppress melanoma angiogenesis by downregulating IL-6 and VEGF expression. PMID: 26199094
- Loss of both KAI1 and p27 defines a subgroup of primary melanoma patients with poor prognosis. PMID: 26246476
- The expression of KAI1/CD82, CD44, MMP7 and beta-catenin is related to tumor metastasis and prognosis in colorectal carcinoma. PMID: 26408312
- Serum-free media and hypoxia protected the MiaPaCa-2 cells from a KAI1-induced apoptosis and proliferation inhibition via autophagy induction. PMID: 25199507
- High KAI1 expression is associated with epithelial-mesenchymal transition in non-small cell lung cancer. PMID: 26231404
- CD82 regulated BCL2L12 expression via STAT5A and AKT signaling and stimulated proliferation and engrafting of leukemia cells. PMID: 26260387
- CD82 enhanced the expression of miR-203 and directly downregulated FZD2 expression, suppressing cancer metastasis/cell migration by inhibiting the Wnt signaling pathway. PMID: 26132195
- blockade of CD82 in leukemia cells lowered EZH2 expression via activation of p38 MAPK signaling. PMID: 25955299
- KAI1-splice does not only counteract the tumor-suppressive actions of KAI1, but - beyond that - promotes alphavbeta3-mediated biological functions in favor of tumor progression and metastasis. PMID: 25435431
- CD82 down-regulation could be a critical step involved in the EGFR over-expression and the stronger tumorigenic activity triggered by EGFR mutations PMID: 25912735
- These results suggested that microRNA-362-3p or CD82 can be exploited as a new potential target for control of gastric cancers in the future. PMID: 25652145
- Expression level of KAI1 was downregulated, while the expression level of VEGF was upregulated in the tissues or serum of patients with hepatocellular carcinoma. Combined detection of KAI1 and VEGF form a reliable panel of diagnostic markers for HCC. PMID: 25071074
- Hypermethylation of the CD82 promoter may be an event leading to the development of hepatoma and is likely to be involved in tumor progression. PMID: 25119390
- High expression of COX-2 and low expression of KAI-1/CD82 are associated with increased tumor invasiveness in papillary thyroid carcinoma. PMID: 23617728
- KAI-1, might be important biological marker involved in the carcinogenesis, metastasis, and invasion of gallbladder adenocarcinoma. PMID: 25688501
- this study reveals that DeltaNp63alpha upregulates CD82 to inhibit cell invasion, and suggests that GSK3beta can regulate cell invasion by modulating the DeltaNp63alpha-CD82 axis. PMID: 24901051
- Low CD82 expression is associated with laryngeal squamous cell carcinoma. PMID: 24758564
- CD82 overexpression increases the molecular density of alpha4 within membrane clusters, thereby increasing cellular adhesion. PMID: 24623721
- clear cell renal cell carcinoma patients with CD82 positive expression show poor prognosis PMID: 24553302
- CD82/KAI expression prevents IL-8-mediated endothelial gap formation in late-stage melanomas. PMID: 23873025
- Positive expression of KAI1 protein was found in ovarian tissue in 72.2% cases in BRCA1 mutation carriers and in 72.2 % in the control group. PMID: 23553196
- Taken together, these data suggest that anti-miR-197 suppresses HCC migration and invasion by targeting CD82. PMID: 24613834
- No statistically significant association was observed in KAI1 exon 9. PMID: 23873015
- KAI1 overexpression increases ING4 expression.Decreased KAI1 expression correlated with a worse melanoma patient survival.Increased expression of KAI1 reduces melanoma cell migration. PMID: 24130172
- an important new insight into the modulatory role of CD82 in endocytic trafficking of EGF receptor. PMID: 23897813
- KAI1/CD82 and cyclinD1 may serve as markers for determination of invasiveness, metastasis and prognosis of laryngeal squamous cell carcinoma. PMID: 23696923
- our data suggest that the CD82/STAT5/IL-10 signaling pathway is involved in the survival of CD34(+)/CD38(-)acute myelogenous leukemia cells PMID: 23797738
顯示更多
收起更多
-
亞細胞定位:Cell membrane; Multi-pass membrane protein.
-
蛋白家族:Tetraspanin (TM4SF) family
-
組織特異性:Lymphoid specific.
-
數據庫鏈接:
Most popular with customers
-
-
YWHAB Recombinant Monoclonal Antibody
Applications: ELISA, WB, IHC, IF, FC
Species Reactivity: Human, Mouse, Rat
-
Phospho-YAP1 (S127) Recombinant Monoclonal Antibody
Applications: ELISA, WB, IHC
Species Reactivity: Human
-
-
-
-
-















