CD6 Antibody
-
中文名稱:CD6兔多克隆抗體
-
貨號:CSB-PA326953ESR1HU
-
規格:¥440
-
圖片:
-
Western blot
All lanes: CD6 antibody at 4μg/ml
Lane 1: Hela whole cell lysate
Lane 2: Jurkat whole cell lysate
Lane 3: HT-29 whole cell lysate
Secondary
Goat polyclonal to rabbit IgG at 1/10000 dilution
Predicted band size: 72, 69, 64, 65, 59, 61 kDa
Observed band size: 72 kDa -
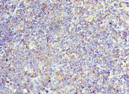
Immunohistochemistry of paraffin-embedded human tonsil tissue using CSB-PA326953ESR1HU at dilution of 1:100
-
Immunohistochemistry of paraffin-embedded human thymus tissue using CSB-PA326953ESR1HU at dilution of 1:100
-
-
其他:
產品詳情
-
產品名稱:Rabbit anti-Homo sapiens (Human) CD6 Polyclonal antibody
-
Uniprot No.:
-
基因名:
-
別名:CD_antigen=CD6 antibody; CD6 antibody; CD6 antigen Tp120 antibody; CD6 molecule antibody; CD6_HUMAN antibody; FLJ44171 antibody; OX52 antibody; T cell differentiation antigen CD6 antibody; T-cell differentiation antigen CD6 antibody; T12 antibody; TP120 antibody
-
宿主:Rabbit
-
反應種屬:Human
-
免疫原:Recombinant Human T-cell differentiation antigen CD6 protein (424-668AA)
-
免疫原種屬:Homo sapiens (Human)
-
標記方式:Non-conjugated
-
克隆類型:Polyclonal
-
抗體亞型:IgG
-
純化方式:Antigen Affinity Purified
-
濃度:It differs from different batches. Please contact us to confirm it.
-
保存緩沖液:PBS with 0.02% sodium azide, 50% glycerol, pH7.3.
-
產品提供形式:Liquid
-
應用范圍:ELISA, WB, IHC
-
推薦稀釋比:
Application Recommended Dilution WB 1:500-1:2000 IHC 1:20-1:200 -
Protocols:
-
儲存條件:Upon receipt, store at -20°C or -80°C. Avoid repeated freeze.
-
貨期:Basically, we can dispatch the products out in 1-3 working days after receiving your orders. Delivery time maybe differs from different purchasing way or location, please kindly consult your local distributors for specific delivery time.
-
用途:For Research Use Only. Not for use in diagnostic or therapeutic procedures.
相關產品
靶點詳情
-
功能:Cell adhesion molecule that mediates cell-cell contacts and regulates T-cell responses via its interaction with ALCAM/CD166. Contributes to signaling cascades triggered by activation of the TCR/CD3 complex. Functions as costimulatory molecule; promotes T-cell activation and proliferation. Contributes to the formation and maturation of the immunological synapse. Functions as calcium-dependent pattern receptor that binds and aggregates both Gram-positive and Gram-negative bacteria. Binds both lipopolysaccharide (LPS) from Gram-negative bacteria and lipoteichoic acid from Gram-positive bacteria. LPS binding leads to the activation of signaling cascades and down-stream MAP kinases. Mediates activation of the inflammatory response and the secretion of pro-inflammatory cytokines in response to LPS.
-
基因功能參考文獻:
- This study provides evidence that CD6 is involved in the susceptibility to Behcet's disease in a Chinese Han population. PMID: 27108704
- These results suggest that (i) CD6 is a negative regulator of T-cell activation, (ii) at the same time, CD6 is a positive regulator of activated T-cell survival/proliferation and infiltration; and (iii) CD6 is a potential new target for treating multiple sclerosis (MS)and potentially other T-cell-driven autoimmune conditions. PMID: 28209777
- These data are consistent with a model in which bivalent recruitment of a GADS/SLP-76 complex is required for costimulation by CD6. PMID: 28289074
- Data indicate that the T cell-specific adaptor protein (TSAd) SH2 domain interacts with CD6 antigen and linker for activation of T cells protein (LAT) phosphotyrosine (pTyr) peptides. PMID: 27896837
- Results from recent genetic association studies provide evidence for a role of CD6 in multiple sclerosis and in rheumatoid arthritis pathogenesis. [review] PMID: 26844569
- Study provides evidence on the role of CD6, a lymphocyte-specific surface receptor from to the ancient and highly conserved Scavenger Receptor Cysteine-Rich (SRCR) superfamily, as a pattern recognition receptor, and the functional consequences this may have on T cell activation and differentiation. [review] PMID: 25777272
- Data show the multiple aspects that determine the nature of the signals transmitted via CD6 and the context that may define a dual role for this important T cell surface molecule. [review] PMID: 26028048
- Data show a role for extracellular and intracellular interactions of CD6 in lateral movement in response to T cell activation. [review] PMID: 26302795
- The binding sites on CD6 and CD166 have been characterized to show that a SNP in CD6 causes glycosylation that hinders the CD6/CD166 interaction. PMID: 26146185
- CD6 regulatory T cells are characterized by CD6 expression and FOXP3 expression. PMID: 25088497
- interaction of Galectin-1 and -3 with CD6 PMID: 24945728
- upon T cell activation, SRSF1 becomes limiting, and its function in CD6 exon 5 splicing is countered by an increase in CD6 transcription, dependent on chromatin acetylation. PMID: 24890719
- The CD6 polymorphism conferred reduced odds of optic neuritis as an attack location PMID: 24130718
- In a Korean population, one SNP in CD6 was associated with neuromyelitis optica. PMID: 22994200
- Our findings reveal that this new MS-associated CD6 risk haplotype significantly modifies expression of CD6 on CD4(+) and CD8(+) T cells. PMID: 23638056
- A novel level of regulation of CD6 function by intracytoplasmic serine phosphorylation. PMID: 23711376
- Data suggest that genetic variations within CD6 and syntaxin binding protein 6 (STXBP6) may influence response to TNFalpha inhibitors in patients with rheumatoid arthritis (RA). PMID: 22685579
- Cd6 is a signaling attenuator whose expression alone, i.e. in the absence of ligand engagement, is sufficient to restrain signaling in T cells. PMID: 21956609
- These findings indicate that the multiple sclerosis risk allele in the CD6 locus is associated with altered proliferation of CD4(+) T cells PMID: 21849685
- CD6 expression on peripheral NK cells marks a novel CD56(dim) subpopulation associated with distinct patterns of cytokine and chemokine secretion. PMID: 21178331
- association of single nucleotide polymorphisms to multiple sclerosis PMID: 21552549
- CD6+ B cells are diminished in Sjogren's syndrome PMID: 20810246
- Data show that CD6-ALCAM interaction in vitro induced a synergistic co-stimulation of normal peripheral blood mononuclear cells. PMID: 20726988
- Study reinforces a role for CD6 and TNFRSF1A as risk loci for multiple sclerosis, extending to populations of southern European ancestry. PMID: 20430450
- CD6 associates with the scaffolding PDZ-containing protein syntenin-1 during maturation of the immunological synapse PMID: 16034076
- Engagement of CD6 with CD166 on tumor cells plays an important role in gammadelta T cell activation by tumor cells sensitized with nonpeptide antigens endogenously or exogenously. PMID: 16818742
- the CD6-ALCAM interaction results in activation of the three MAP kinase cascades, likely influencing the dynamic balance that determines whether resting or activated lymphocytes survive or undergo apoptosis. PMID: 16818773
- The costimulatory effect of CD6 is mediated through phosphorylation-dependent binding of a specific tyrosine residue, 662Y, in its cytoplasmic region to the adaptor SLP-76. PMID: 16914752
- Unprecedented bacterial binding properties of recombinant soluble CD6 support its therapeutic potential for the intervention of septic shock syndrome or other inflammatory diseases of infectious origin. PMID: 17601777
- A chimpanzee and human conserved CD6 domain 1 epitope recognized by T1 monoclonal antibody. PMID: 18707547
- Replication in an independent set of 2,215 subjects with multiple sclerosis (MS) and 2,116 control subjects validates new MS susceptibility loci at TNFRSF1A, IRF8 and CD6; TNFRSF1A harbors two independent susceptibility alleles. PMID: 19525953
- Comprehensive profiling of the cell surface proteome provides an effective approach for the identification of commonly occurring proteins as well as proteins with restricted expression patterns in this compartment. PMID: 12493773
顯示更多
收起更多
-
亞細胞定位:Cell membrane; Single-pass type I membrane protein.; [Soluble CD6]: Secreted.
-
組織特異性:Detected on thymocytes. Detected on peripheral blood T-cells. Detected on natural killer (NK) cells. Soluble CD6 is detected in blood serum (at protein level). Detected in spleen, thymus, appendix, lymph node and peripheral blood leukocytes. Expressed by
-
數據庫鏈接:
Most popular with customers
-
YWHAB Recombinant Monoclonal Antibody
Applications: ELISA, WB, IHC, IF, FC
Species Reactivity: Human, Mouse, Rat
-
Phospho-YAP1 (S127) Recombinant Monoclonal Antibody
Applications: ELISA, WB, IHC
Species Reactivity: Human
-
-
-
-
-
-















