CD3E Antibody
-
中文名稱:CD3E兔多克隆抗體
-
貨號:CSB-PA004931HA01HU
-
規格:¥440
-
圖片:
-
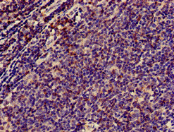
Immunohistochemistry of paraffin-embedded human lymph node tissue using CSB-PA004931HA01HU at dilution of 1:100
-
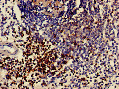
Immunohistochemistry of paraffin-embedded human spleen tissue using CSB-PA004931HA01HU at dilution of 1:100
-
Immunofluorescent analysis of A549 cells using CSB-PA004931HA01HU at dilution of 1:100 and Alexa Fluor 488-congugated AffiniPure Goat Anti-Rabbit IgG(H+L)
-
-
其他:
產品詳情
-
產品名稱:Rabbit anti-Homo sapiens (Human) CD3E Polyclonal antibody
-
Uniprot No.:
-
基因名:
-
別名:CD3 epsilon antibody; CD3e antibody; CD3e antigen antibody; CD3e antigen epsilon polypeptide (TiT3 complex) antibody; CD3E antigen epsilon polypeptide antibody; CD3E antigen, epsilon subunit antibody; CD3e molecule epsilon antibody; CD3e molecule, epsilon (CD3 TCR complex) antibody; CD3e molecule, epsilon (CD3-TCR complex) antibody; CD3E_HUMAN antibody; IMD18 antibody; T cell antigen receptor complex epsilon subunit of T3 antibody; T cell surface antigen T3/Leu 4 epsilon chain antibody; T cell surface glycoprotein CD3 epsilon chain antibody; T-cell surface antigen T3/Leu-4 epsilon chain antibody; T-cell surface glycoprotein CD3 epsilon chain antibody; T3E antibody; TCRE antibody
-
宿主:Rabbit
-
反應種屬:Human
-
免疫原:Recombinant Human T-cell surface glycoprotein CD3 epsilon chain protein (23-126AA)
-
免疫原種屬:Homo sapiens (Human)
-
標記方式:Non-conjugated
本頁面中的產品,CD3E Antibody (CSB-PA004931HA01HU),的標記方式是Non-conjugated。對于CD3E Antibody,我們還提供其他標記。見下表:
-
克隆類型:Polyclonal
-
抗體亞型:IgG
-
純化方式:>95%, Protein G purified
-
濃度:It differs from different batches. Please contact us to confirm it.
-
保存緩沖液:Preservative: 0.03% Proclin 300
Constituents: 50% Glycerol, 0.01M PBS, pH 7.4 -
產品提供形式:Liquid
-
應用范圍:ELISA, IHC, IF
-
推薦稀釋比:
Application Recommended Dilution IHC 1:20-1:200 IF 1:50-1:200 -
Protocols:
-
儲存條件:Upon receipt, store at -20°C or -80°C. Avoid repeated freeze.
-
貨期:Basically, we can dispatch the products out in 1-3 working days after receiving your orders. Delivery time maybe differs from different purchasing way or location, please kindly consult your local distributors for specific delivery time.
-
用途:For Research Use Only. Not for use in diagnostic or therapeutic procedures.
相關產品
靶點詳情
-
功能:Part of the TCR-CD3 complex present on T-lymphocyte cell surface that plays an essential role in adaptive immune response. When antigen presenting cells (APCs) activate T-cell receptor (TCR), TCR-mediated signals are transmitted across the cell membrane by the CD3 chains CD3D, CD3E, CD3G and CD3Z. All CD3 chains contain immunoreceptor tyrosine-based activation motifs (ITAMs) in their cytoplasmic domain. Upon TCR engagement, these motifs become phosphorylated by Src family protein tyrosine kinases LCK and FYN, resulting in the activation of downstream signaling pathways. In addition of this role of signal transduction in T-cell activation, CD3E plays an essential role in correct T-cell development. Initiates the TCR-CD3 complex assembly by forming the two heterodimers CD3D/CD3E and CD3G/CD3E. Participates also in internalization and cell surface down-regulation of TCR-CD3 complexes via endocytosis sequences present in CD3E cytosolic region.
-
基因功能參考文獻:
- The ionic CD3-epsilon -Lck interaction controls the phosphorylation level of the T-cell receptor. PMID: 28659468
- A novel pathogenic frameshift variant of CD3E gene has been found in two unrelated T-B+ NK+ severe combined immunodeficiency infants from Turkey. PMID: 28597365
- the stalk domains of NKp30 and NKp46, another NCR employing CD3zeta for signaling, were not exchangeable without drastic deficiencies in folding, plasma membrane targeting, and/or ligand-induced receptor signaling. PMID: 27754869
- The inducible recruitment of WASp to the TCR-CD3 complex is partially dependent of tyrosine phosphorylation of Cd3e. PMID: 26342115
- increase. Our results indicate that the change in CD3zeta-chain expression from the baseline is an independent predictor of residual and recurrent head and neck squamous cell carcinoma. PMID: 26888626
- Data suggest that HIV-1 gp41 transmembrane domain (TMD) directly interacts with TMDs of the T-cell receptor and it's CD3-antigen co-receptors (delta, gamma, and epsilon); these interactions appear to be involved in immune evasion mechanism of HIV-1. PMID: 26828096
- that Nck recruitment to the TCR is fundamental to mount an efficient T cell response in vivo, and that the Nck-CD3epsilon interaction may represent a target for pharmacological modulation of the immune response. PMID: 24470497
- ABCB1 homozygous 3435 TT carrier subjects showed the lowest Pgp activity compared with 3435 CT and CC carriers of renal transplant patients. PMID: 23216707
- Local changes in the lipid composition of TCR microclusters render the CD3epsilon cytoplasmic domain accessible during early stages of T cell activation. PMID: 23166358
- Results show that levels of CD3epsilon, CD25, CD68, and ICAM-1 mRNA in BCC biopsies may predict risk for new basal cell carcinomas. PMID: 21980389
- analysis of the transgenic integration site in immunodeficient tgepsilon26 human CD3epsilon transgenic mice PMID: 21203507
- Results suggest that generation of CD3varepsilon chain isoforms with different N-terminal sequence and pI is a general phenomenon. PMID: 19616027
- Recruitment of Nck by CD3 epsilon reveals a ligand-induced conformational change essential for T cell receptor signaling and synapse formation. PMID: 12110186
- T cell receptor can be recruited to a subset of plasma membrane rafts, independently of cell signaling and attendantly to raft clustering PMID: 12499387
- SCID is caused by a CD3E deficiency. PMID: 15546002
- CD3 expression was strong in normal proximal and distal tubular epithelium and in renal oncocytomas, weak in chromophobe carcinoma, and negative in clear cell carcinomas, in papillary renal cell carcinoma, and in a transitional cell carcinoma. PMID: 16308105
- The CD3 epsilon immune recognition receptor cytoplasmic domain binds to acidic and mixed phospholipid vesicles with a binding strength that correlates with the protein net charge and the presence of clustered basic amino acid residues. PMID: 17176095
- CD3epsilon-mediated signal transduction pathway is essential for this transformation process PMID: 17507663
- Notch-dependent cytoplasmic CD3 expression can only be achieved during the early phase of NK-cell differentiation. PMID: 17630354
- In lung adenocarcinoma patients, significant decreases of MFI values for CD3epsilon, but not CD3zeta, were found in CD4+T and CD8+T cells from pleural effusion compared to peripheral blood and in peripheral blood of patients compared to healthy donors. PMID: 17668204
- Data show that Nck forms a complex with an atypical PxxDY motif of the CD3epsilon tail, which encompasses Tyr166 within the activation motif and a T-cell receptor endocytosis signal. PMID: 18555270
- Data show that anti-CD3 monoclonal antibody (MAb)-mediated chimpanzee T-cell activation is a function of the anti-CD3 MAb isotype and is not governed by Siglec expression. PMID: 18667496
- Results revealed that the human CD3 epsilon subunit forms a homodimer structure, which provide insight into our understanding of the molecular assembly of the CD3 molecular complex. PMID: 19724882
顯示更多
收起更多
-
相關疾病:Immunodeficiency 18 (IMD18)
-
亞細胞定位:Cell membrane; Single-pass type I membrane protein.
-
數據庫鏈接:
Most popular with customers
-
-
YWHAB Recombinant Monoclonal Antibody
Applications: ELISA, WB, IHC, IF, FC
Species Reactivity: Human, Mouse, Rat
-
Phospho-YAP1 (S127) Recombinant Monoclonal Antibody
Applications: ELISA, WB, IHC
Species Reactivity: Human
-
-
-
-
-















