CD33 Antibody
-
中文名稱:CD33兔多克隆抗體
-
貨號:CSB-PA070366
-
規格:¥1100
-
圖片:
-
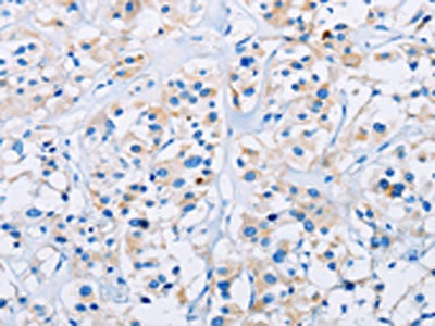
The image on the left is immunohistochemistry of paraffin-embedded Human thyroid cancer tissue using CSB-PA070366(CD33 Antibody) at dilution 1/30, on the right is treated with fusion protein. (Original magnification: ×200)
-
Gel: 10%SDS-PAGE, Lysate: 40 μg, Lane 1-2: Hela cells, NIH/3T3 cells, Primary antibody: CSB-PA070366(CD33 Antibody) at dilution 1/400, Secondary antibody: Goat anti rabbit IgG at 1/8000 dilution, Exposure time: 40 seconds
-
-
其他:
產品詳情
-
Uniprot No.:
-
基因名:
-
別名:CD33; SIGLEC3; Myeloid cell surface antigen CD33; Sialic acid-binding Ig-like lectin 3; Siglec-3; gp67; CD antigen CD33
-
宿主:Rabbit
-
反應種屬:Human,Mouse
-
免疫原:Fusion protein of Human CD33
-
免疫原種屬:Homo sapiens (Human)
-
標記方式:Non-conjugated
-
抗體亞型:IgG
-
純化方式:Antigen affinity purification
-
濃度:It differs from different batches. Please contact us to confirm it.
-
保存緩沖液:-20°C, pH7.4 PBS, 0.05% NaN3, 40% Glycerol
-
產品提供形式:Liquid
-
應用范圍:ELISA,WB,IHC
-
推薦稀釋比:
Application Recommended Dilution ELISA 1:1000-1:2000 WB 1:200-1:1000 IHC 1:25-1:100 -
Protocols:
-
儲存條件:Upon receipt, store at -20°C or -80°C. Avoid repeated freeze.
-
貨期:Basically, we can dispatch the products out in 1-3 working days after receiving your orders. Delivery time maybe differs from different purchasing way or location, please kindly consult your local distributors for specific delivery time.
-
用途:For Research Use Only. Not for use in diagnostic or therapeutic procedures.
相關產品
靶點詳情
-
功能:Sialic-acid-binding immunoglobulin-like lectin (Siglec) that plays a role in mediating cell-cell interactions and in maintaining immune cells in a resting state. Preferentially recognizes and binds alpha-2,3- and more avidly alpha-2,6-linked sialic acid-bearing glycans. Upon engagement of ligands such as C1q or syalylated glycoproteins, two immunoreceptor tyrosine-based inhibitory motifs (ITIMs) located in CD33 cytoplasmic tail are phosphorylated by Src-like kinases such as LCK. These phosphorylations provide docking sites for the recruitment and activation of protein-tyrosine phosphatases PTPN6/SHP-1 and PTPN11/SHP-2. In turn, these phosphatases regulate downstream pathways through dephosphorylation of signaling molecules. One of the repressive effect of CD33 on monocyte activation requires phosphoinositide 3-kinase/PI3K.
-
基因功能參考文獻:
- rs3865444 CD33 acts as a protective factor against late-onset Alzheimer's disease. PMID: 28477215
- Genetic variations in CD33 influence atrophy of specific Alzheimer's Disease-related brain structures; specifically the hippocampus and parahippocampal gyrus. PMID: 26803496
- The mean percentage of CD33-positivity of the myeloblast population was 80.5% in acute myeloid leukemia (AML), 81.8% in chronic myelomonocytic leukemia (CMML) and 75% in myelodysplastic syndromes (MDS). PMID: 26726757
- The 161533 TriKE induced superior NK cell cytotoxicity, degranulation, and cytokine production against CD33(+) HL-60 targets and increased NK survival and proliferation. PMID: 26847056
- High efficacy of CD33/CD3 TandAbs in various preclinical models of human AML. PMID: 27189165
- The use of CD33(+)CD11b(+)HLA-DR(-) cells as a predictive and prognostic biomarker. PMID: 27178742
- Data suggest that two SNPs in CD33 (rs3865444A, rs12459419T) that are protective of Alzheimer disease result in splice variants (CD33M, CD33m); CD33M localizes predominantly at cell surface in macrophage cell line; CD33m is primary intracellular form in neutrophils and a microglia cell line; intracellular CD33m accumulates in peroxisomes; activation of macrophages/neutrophils does not mobilize CD33m to cell surface. PMID: 28747436
- In cutaneous diffuse large b-cell lymphoma, a considerable proportion of CD33(+) myeloid-derived suppressor cells (MDSCs) with PD-L1 coexpression was admixed. Tumor cells expressed CD33 to variable degrees (2% to 60%). We propose that PD-L1(+) tumor cells and PD-L1(+) MDSCs shield the tumor against PD-1(+) tumor-infiltrating lymphocytes, consequently leading to inhibition and diminution of tumor-infiltrating lymphocytes. PMID: 28504999
- patients with the CC genotype for rs12459419 have a substantial response to Gemtuzumab Ozogamicin, making this a potential biomarker for the selection of patients with a likelihood of significant response to Gemtuzumab Ozogamicin. PMID: 28644774
- CD33-expressing microglia play a central role in the development of leukoencephalopathy in Nasu-Hakola disease brains PMID: 26087043
- There is substantial evidence that rs3865444 (CD33) function is related to AD pathways and pathology, but our data does not support an interaction with rs670139 (MS4A4E) that impacts AD risk. PMID: 26449541
- this study investigated the contribution of the immunoregulatory receptor CD33 to a uniquely human postreproductive disease, Alzheimer's dementia. PMID: 26621708
- the CD33 rs3865444 polymorphism is associated with Alzheimer's disease susceptibility in Chinese, European, and North American populations. PMID: 25186233
- CD33 and MS4A cluster variants are associated with LOAD susceptibility in East Asian populations. PMID: 26455864
- Among those with one or more APOE epsilon4 alleles, having one or more copies of the CD33 C (risk) allele may further increase the risk of cognitive decline PMID: 26102276
- decreased TREM2 expression with CD33 suppression and elevated cortical TREM2 mRNA expression with amyloid pathology PMID: 26414614
- we propose a model wherein a modest effect on RNA splicing is sufficient to mediate the CD33 association with AD risk and suggest the potential for an anti-CD33 antibody as an AD-relevant pharmacologic agent. PMID: 25762156
- Its single-nucleotide polymorphism rs3865444 in the CD33 gene as being associated with the reduced risk of developing Alzheimer's disease. PMID: 25448602
- 87.8% of AMLs express CD33. Additionally, 9.4% of AMLs express CD123 without concomitant CD33 expression. PMID: 24927407
- This study showed that CD13 and CD33 expression associated with poor prognosis in patients with MM implicating the need of analysis of these markers in MM diagnosis. PMID: 24991573
- Lectin galactoside-binding soluble 3 binding protein (LGALS3BP) is a tumor-associated immunomodulatory ligand for CD33-related Siglecs. PMID: 25320078
- The rs3865444(C) risk allele is strongly associated with greater expression of CD33 exon 2 and increased Alzheimer's disease susceptibility. [Meta-analysis] PMID: 24381305
- Dasatinib enhances migration of monocyte-derived dendritic cells by reducing phosphorylation of inhibitory immune receptors Siglec-9 and Siglec-3. PMID: 24882272
- This review discusses the recent epidemiological findings of CD33 that relate to Alzheimer's disease and the pathogenic roles played by CD33 in this disease. PMID: 23982747
- Case Report: indolent T-lymphoblastic proliferation with disseminated multinodal involvement with partial CD33 expression on T cells. PMID: 24618611
- Data suggest that the CD16xCD33 bispecific killer cell engager (BiKE) functions against both CD33(+) myelodysplastic syndromes (MDS) and myeloid-derived suppressor cells (MDSCs) targets and may be therapeutically beneficial for MDS patients. PMID: 24652987
- Results indicate that anti-CD33 chimeric receptors strongly enhance anti-leukemic cytokine-induced killer cell functions. PMID: 20713459
- these results suggest a novel model wherein single nucleotide polymorphism-modulated RNA splicing modulates CD33 function and, thereby, Alzheimer disease risk. PMID: 23946390
- Our data suggest that genetic variations in CD33 could impact clinical outcome of GO-based therapy in pediatric acute myeloid leukemia . PMID: 23444229
- This study showed that the rs3865444(C) risk allele was associated with greater cell surface expression of CD33 in the monocytes (t50 = 10.06, P(joint) = 1.3 x 10(-13)) of young and older individuals. PMID: 23708142
- The minor allele of the CD33 SNP rs3865444, which confers protection against Alzheimer disease, was associated with reductions in both CD33 expression and insoluble amyloid beta 42 (Abeta42) levels in AD brain. PMID: 23623698
- results support the view that single-nucleotide polymorphisms in GOLPH2 and in near gene 5' region of CD33 are significantly associated with sporadic Alzheimer's disease in the north Chinese Han population. PMID: 22167654
- CD33 is expressed abundantly on immature CD34(+)/CD38(-) stem cells and may serve as a stem cell target in chronic myeloid leukemia. PMID: 21993666
- data revealed the allele (T) of the rs3865444 polymorphism of the CD33 gene and the allele (C) of the rs610932 polymorphism of the MS4A6A gene may contribute to Alzheimer's disease risk in the Chinese Han population PMID: 22382309
- Studies indicate that CD33 is expressed on hepatocytes, which makes them susceptible for targeted CD33 chemotherapy. PMID: 21329979
- expression and localization of the two CD33 isoforms on several hematopoietic cell lines PMID: 21278227
- found independent evidence for association for Alzheimer's disease susceptibility loci at EPHA1, CD33 and CD2AP PMID: 21460840
- Common variants at MS4A4/MS4A6E, CD2AP, CD33 and EPHA1 are associated with late-onset Alzheimer's disease. PMID: 21460841
- Specific induction of CD33 expression by E2A-HLF is associated with acute Lymphoblastic Leukemia. PMID: 20147975
- Regulation of myeloid cell proliferation and survival by p75/AIRM1 and CD33 surface receptors. PMID: 11774609
- Sites of serine/threonine phosphorylation by protein kinase C and the effect on its lectin activity PMID: 11964282
- effectiveness of in vivo ablation of CD33+ cells to treat patients with aacaute myeloid leukemia. PMID: 11970770
- review of structure, function, expression and clinical application PMID: 12144127
- Expression of CD33 on CD4(+)CD56(+) lineage-negative cells should not exclude the diagnosis of plasmacytoid dendritic cell leukemia. PMID: 15388576
- Amount of internalization of CD33 following antibody binding for gemtuzumab ozogamicin induced cytotoxicity suggest novel therapeutic approaches for improvement of clinical outcome of leukemia patients. PMID: 15454492
- incubation of leukemia cells with anti-CD33 mAb and anticancer agents leads to additive antiproliferative effects and enhanced cytotoxicity. PMID: 15676214
- Expression is rarely decreased in association with chromic myelogenous leukemia. PMID: 17662271
- The results demonstrate that phosphorylation-dependent ubiquitylation of the immunoreceptor tyrosine-based inhibitory motif (ITIM) of CD33 regulates cell surface expression and internalization of this immunoreceptor. PMID: 18062779
- CD13 was expressed in 73% of acute myeloid leukemia patients, CD15 was expressed in 43% of patients, CD33 was expressed in 64% of patients, and CD34 was expressed in 66% of patients. PMID: 18085638
- The species-specific differences in the expression expression of Siglecs in SIV infection was studied. PMID: 18331725
顯示更多
收起更多
-
亞細胞定位:[Isoform CD33M]: Cell membrane; Single-pass type I membrane protein.; [Isoform CD33m]: Peroxisome.
-
蛋白家族:Immunoglobulin superfamily, SIGLEC (sialic acid binding Ig-like lectin) family
-
組織特異性:Monocytic/myeloid lineage cells. In the brain, CD33 is mainly expressed on microglial cells.
-
數據庫鏈接:
Most popular with customers
-
-
YWHAB Recombinant Monoclonal Antibody
Applications: ELISA, WB, IHC, IF, FC
Species Reactivity: Human, Mouse, Rat
-
Phospho-YAP1 (S127) Recombinant Monoclonal Antibody
Applications: ELISA, WB, IHC
Species Reactivity: Human
-
-
-
-
-















