CD226 Antibody
-
中文名稱:CD226兔多克隆抗體
-
貨號:CSB-PA016936
-
規格:¥1100
-
圖片:
-
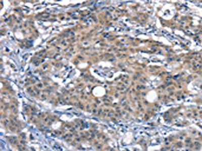
The image on the left is immunohistochemistry of paraffin-embedded Human thyroid cancer tissue using CSB-PA016936(CD226 Antibody) at dilution 1/60, on the right is treated with synthetic peptide. (Original magnification: ×200)
-
The image on the left is immunohistochemistry of paraffin-embedded Human gastric cancer tissue using CSB-PA016936(CD226 Antibody) at dilution 1/60, on the right is treated with synthetic peptide. (Original magnification: ×200)
-
-
其他:
產品詳情
-
Uniprot No.:
-
基因名:
-
別名:adhesion glycoprotein antibody; CD226 antibody; CD226 antigen antibody; CD226 molecule antibody; CD226_HUMAN antibody; DNAM 1 antibody; DNAM-1 antibody; DNAM1 antibody; DNAX accessory molecule 1 antibody; platelet and T cell activation antigen 1 antibody; PTA1 antibody; T lineage specific activation antigen 1 antigen antibody; TLiSA1 antibody
-
宿主:Rabbit
-
反應種屬:Human
-
免疫原:Synthetic peptide of Human CD226
-
免疫原種屬:Homo sapiens (Human)
-
標記方式:Non-conjugated
-
抗體亞型:IgG
-
純化方式:Antigen affinity purification
-
濃度:It differs from different batches. Please contact us to confirm it.
-
保存緩沖液:-20°C, pH7.4 PBS, 0.05% NaN3, 40% Glycerol
-
產品提供形式:Liquid
-
應用范圍:ELISA,IHC
-
推薦稀釋比:
Application Recommended Dilution ELISA 1:2000-1:5000 IHC 1:50-1:200 -
Protocols:
-
儲存條件:Upon receipt, store at -20°C or -80°C. Avoid repeated freeze.
-
貨期:Basically, we can dispatch the products out in 1-3 working days after receiving your orders. Delivery time maybe differs from different purchasing way or location, please kindly consult your local distributors for specific delivery time.
-
用途:For Research Use Only. Not for use in diagnostic or therapeutic procedures.
相關產品
靶點詳情
-
功能:Involved in intercellular adhesion, lymphocyte signaling, cytotoxicity and lymphokine secretion mediated by cytotoxic T-lymphocyte (CTL) and NK cell. Cell surface receptor for NECTIN2. Upon ligand binding, stimulates T-cell proliferation and cytokine production, including that of IL2, IL5, IL10, IL13, and IFNG. Competes with PVRIG for NECTIN2-binding.
-
基因功能參考文獻:
- this paper shows that the decreased expression of activating receptor DNAM-1 on peripheral blood NK cells is positively associated with gastric cancer progression PMID: 30255106
- T allele and TT genotype of the CD226 rs763361 polymorphism is associated with susceptibility to type 1 diabetes and with a lower age of disease onset among Egyptian children PMID: 30145014
- These findings highlight the importance of the TIGIT/CD226/PVR axis as an immune checkpoint barrier that could hinder future "cure" strategies requiring potent HIV-specific CD8(+) T cells PMID: 28084312
- Sole engagement of NKG2D, 2B4 or DNAM-1 is insufficient for NF-kappaB activation. PMID: 27221592
- The Serum level of CD226 and not CD226 genotypes could be considered as an independent risk factor for the prediction of RA within healthy individuals and also for RA disease activity. PMID: 29319370
- Natural killer cells and cytotoxic T cells express both TIGIT and DNAM-1 receptors, and in certain cases their effector functions are dictated by TIGIT or DNAM-1 signaling. Agonist and antagonist antibodies targeting either TIGIT or DNAM-1 present many therapeutic options for diseases spanning from cancer to auto-immunity. (Review) PMID: 28035916
- Results indicate that low-grade inflammation coupled with elevated blood glucose increases CD226 expression, resulting in decreased endothelial cell glucose uptake in T2DM. PMID: 26910838
- Results show that CD226 expression was down-regulated in human hepatocellular carcinoma (HCC) cells. MiR-892a directly targeted CD226 promoting HCC cells proliferation and invasion. PMID: 27883251
- cumulative incidences of acute graft-versus-host disease in patients with high maximal serum levels of sDNAM-1 (>/=30 pM) in the 7 days before allogeneic hematopoietic stem cell transplantation were significantly higher than those in patients with low maximal serum levels of sDNAM-1 in the same period. Our data suggest sDNAM-1 is potentially a unique candidate as a predictive biomarker for the development of acute GVHD. PMID: 27257974
- Our results support an important association of rs4810485 in CD40 gene and rs763361 in CD226 gene polymorphism, combined effect of rs4810485 and rs763361 with increased risk of systemic lupus erythematosus. PMID: 27722794
- our results support and explain the mechanism behind the recently reported finding that in EOC, NK-cell recognition and killing of tumor cells was mainly dependent on DNAM-1 signaling while the contribution of the NKG2D receptor-ligand pathway was complementary and uncertain. PMID: 26563374
- CD226 rs763361 polymorphism was significantly associated with susceptibility to T1D. PMID: 26634488
- Age and CMV serostatus influence the expression of NKp30, NKp46 and DNAM-1 activating receptors on resting and IL-2 activated natural killer cells. PMID: 25991472
- we propose that expression of DNAM-1 on inflammatory monocytes are evolutionally conserved and act as an adhesion molecule on blood inflammatory monocytes. PMID: 26675069
- DNAM-1 ligands CD112 and CD155 as well as the NKG2D ligands MICA and MICB were expressed on the hiPSC lines PMID: 25950680
- The CD226 gene has been identified as novel association with JIA, and a SNP near CD28 as a suggestive association. PMID: 25057181
- Effector and regulatory CD4+ memory T cells of healthy individuals carrying the predisposing CD226 variant showed, in comparison to carriers of the protective variant, reduced surface expression of CD226 and impaired induction of CD226 after stimulation. PMID: 26359290
- The present study provides evidence that regulation of the PVR/CD155 DNAM-1 ligand expression by nitric oxide may represent an additional immune-mediated mechanism and supports the anti-myeloma activity of nitric oxide donors. PMID: 25609078
- our data reveal the existence of a functional program of NK cell maturation marked by DNAM-1 expression. PMID: 25818301
- genetic polymorphism is associated with rheumatoid arthritis, meta-analysis PMID: 25645050
- upregulated CD226 expression on CD8(+) T cells reflects disease severity and is involved in Systemic sclerosis pathogenesis via the production of various cytokines, including profibrotic IL-13 and endothelial cell injury PMID: 26109642
- NKG2D and DNAM-1 ligand upregulation might sensitize B cells undergoing lytic Epstein-Barr virus replication to NK cell recognition. (Review) PMID: 25597312
- Human regulatory T cells expressing the receptors TIGIT and CD226 display widely divergent phenotypes in regard to expansion and activation. PMID: 25994968
- Data show that leucocyte function-associated antigen-1 (integrin alphaLbeta2), DNAX accessory molecule-1 (DNAM-1) or tumour necrosis factor-related apoptosis-inducing ligand (TRAIL) enhance osteoclast survival when co-cultured with activated NK cells. PMID: 25684021
- NKG2D and DNAM-1 receptor-ligand interactions were essential in cytolysis by resting NK cells, as simultaneous blocking of both pathways resulted in almost complete abrogation of the cytotoxicity. PMID: 25854581
- the coordinated expression of LFA-1 and DNAM-1 is a central component of NK cell education and provides a potential mechanism for controlling cytotoxicity by functionally mature NK cells. PMID: 25825444
- Downregulated NKG2D, NKp46, and DNAM-1 receptors associated with impaired NK cell effector function are important biomarkers of advanced disease with a poor prognosis in melanoma patients. PMID: 24769842
- CD112 downregulation resulted in a reduced ability of DNAM-1 to bind to the surface of both virus-infected and gD-transfected cells. PMID: 25352670
- These findings indicated that functional polymorphism rs727088A>G in CD226 might modify the susceptibility for the development of Gastric cancer. PMID: 25510399
- Up-regulation of DNAM-1 and NKp30, associated with improvement of NK cells activation after long-term culture of mononuclear cells from patients with ovarian neoplasms. PMID: 24882570
- Findings suggest that TIGIT is a key checkpoint inhibitor of chronic antiviral and antitumor responses through impairing CD226 function when disrupting its homodimerization. PMID: 25465800
- UPR decreases CD226 ligand CD155 expression and sensitivity to NK cell-mediated cytotoxicity in hepatoma cells. PMID: 25209846
- rs763361 variant of CD226 gene (TT genotype) is associated with susceptibility to type 1 diabetes, greater frequency of GAD65 autoantibody, and with the degree of aggressiveness of the disease in T1D patients from Brazil PMID: 24891767
- Balance between activating NKG2D, DNAM-1, NKp44 and NKp46 and inhibitory CD94/NKG2A receptors determine natural killer degranulation towards rheumatoid arthritis synovial fibroblasts. PMID: 24673109
- CD226 rs763361, but not rs727088, gene polymorphism increased the risk of rheumatoid arthritis in a sample of the Iranian population. PMID: 23999715
- these results show that CD226 functions in immune synapse formation via its first extracellular domain. PMID: 24451371
- XLP1 inhibitory effect by 2B4 does not affect DNAM-1 and NKG2D activating pathways in NK cells. PMID: 24496997
- The CD226/CD155 interaction regulates the proinflammatory (Th1/Th17)/anti-inflammatory (Th2) balance in humans. PMID: 23980210
- While prior studies have found CD226 polymorphisms to be significantly associated with inflammatory demyelinating diseases, our results indicate the CD226 polymorphisms to be not associated with the diseases in Korean population. PMID: 23922043
- Overexpression of DNAM-1 was detected in the skin of patients with SSc (systemic sclerosis) PMID: 23161903
- CD226 Gly307Ser (rs763361) is significantly associated with the risk of multiple autoimmune diseases. PMID: 23073294
- A CD226 three-variant haplotype is related with genetic predisposition to systemic sclerosis-related pulmonary fibrosis. PMID: 22531499
- The G allele and GG genotype of rs727088 polymorphism in CD226 gene contributes to increased Cervical Squamous Cell Carcinoma susceptibility in a Han Chinese population. PMID: 23262348
- This demonstrates the CD226 rs763361 polymorphism confers susceptibility to autoimmune disease in Europeans, South Americans and Asians PMID: 22941566
- Demonstrate a genetic association between the CD226 gene and rheumatoid arthritis in a Chinese Han population with a potentially greater genetic effect than in the European population. PMID: 21286723
- CD226 gene polymorphisms may not be associated with rheumatoid arthritis susceptibility. PMID: 22302395
- CD226 polymorphisms, rs727088, rs34794968 and rs763361 were not involved in giant cell arteritis susceptibility in the Spanish population. PMID: 22512842
- A soluble nectin-2 immunoglobulin-like V-set domain (nectin-2v) has been successfully prepared and demonstrates binding to both soluble ectodomain and cell surface-expressed full-length DNAX accessory molecule (DNAM)-1. PMID: 22547693
- TIGIT can inhibit T cell functions by competing with CD226 and can also directly inhibit T cells in a T cell-intrinsic manner. PMID: 22427644
- Data indicate that NK cells from acute myeloid leukemia (AML) patients younger than 65 years have a reduced expression of DNAM-1 compared with age-matched controls. PMID: 21383766
顯示更多
收起更多
-
亞細胞定位:Cell membrane; Single-pass type I membrane protein.
-
組織特異性:Expressed by peripheral blood T-lymphocytes.
-
數據庫鏈接:
Most popular with customers
-
-
YWHAB Recombinant Monoclonal Antibody
Applications: ELISA, WB, IHC, IF, FC
Species Reactivity: Human, Mouse, Rat
-
Phospho-YAP1 (S127) Recombinant Monoclonal Antibody
Applications: ELISA, WB, IHC
Species Reactivity: Human
-
-
-
-
-















