CD163 Antibody
-
中文名稱:CD163兔多克隆抗體
-
貨號:CSB-PA969205
-
規格:¥1100
-
圖片:
-
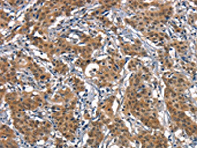
The image on the left is immunohistochemistry of paraffin-embedded Human gastic cancer tissue using CSB-PA969205(CD163 Antibody) at dilution 1/30, on the right is treated with synthetic peptide. (Original magnification: ×200)
-
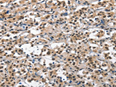
The image on the left is immunohistochemistry of paraffin-embedded Human thyroid cancer tissue using CSB-PA969205(CD163 Antibody) at dilution 1/30, on the right is treated with synthetic peptide. (Original magnification: ×200)
-
-
其他:
產品詳情
-
Uniprot No.:
-
基因名:
-
別名:C163A_HUMAN antibody; CD 163 antibody; CD163 antibody; CD163 antigen antibody; CD163 molecule antibody; Hemoglobin scavenger receptor antibody; M130 antibody; M130 antigen precursor antibody; Macrophage associated antigen antibody; MM130 antibody; OTTHUMP00000238617 antibody; OTTHUMP00000238618 antibody; OTTHUMP00000238619 antibody; OTTHUMP00000238620 antibody; SCARI1 antibody; Scavenger receptor cysteine rich type 1 protein M130 antibody; sCD163 antibody; Soluble CD163 antibody
-
宿主:Rabbit
-
反應種屬:Human
-
免疫原:Synthetic peptide of Human CD163
-
免疫原種屬:Homo sapiens (Human)
-
標記方式:Non-conjugated
-
抗體亞型:IgG
-
純化方式:Antigen affinity purification
-
濃度:It differs from different batches. Please contact us to confirm it.
-
保存緩沖液:-20°C, pH7.4 PBS, 0.05% NaN3, 40% Glycerol
-
產品提供形式:Liquid
-
應用范圍:ELISA,IHC
-
推薦稀釋比:
Application Recommended Dilution ELISA 1:1000-1:2000 IHC 1:25-1:100 -
Protocols:
-
儲存條件:Upon receipt, store at -20°C or -80°C. Avoid repeated freeze.
-
貨期:Basically, we can dispatch the products out in 1-3 working days after receiving your orders. Delivery time maybe differs from different purchasing way or location, please kindly consult your local distributors for specific delivery time.
-
用途:For Research Use Only. Not for use in diagnostic or therapeutic procedures.
相關產品
靶點詳情
-
功能:Acute phase-regulated receptor involved in clearance and endocytosis of hemoglobin/haptoglobin complexes by macrophages and may thereby protect tissues from free hemoglobin-mediated oxidative damage. May play a role in the uptake and recycling of iron, via endocytosis of hemoglobin/haptoglobin and subsequent breakdown of heme. Binds hemoglobin/haptoglobin complexes in a calcium-dependent and pH-dependent manner. Exhibits a higher affinity for complexes of hemoglobin and multimeric haptoglobin of HP*1F phenotype than for complexes of hemoglobin and dimeric haptoglobin of HP*1S phenotype. Induces a cascade of intracellular signals that involves tyrosine kinase-dependent calcium mobilization, inositol triphosphate production and secretion of IL6 and CSF1. Isoform 3 exhibits the higher capacity for ligand endocytosis and the more pronounced surface expression when expressed in cells.; After shedding, the soluble form (sCD163) may play an anti-inflammatory role, and may be a valuable diagnostic parameter for monitoring macrophage activation in inflammatory conditions.
-
基因功能參考文獻:
- high plasma levels of sCD163 is associated with measles virus infection. PMID: 29795672
- Increased sCD163 levels in sputum are associated with the impairment of lung function in asthma patients PMID: 30246699
- Expression of CD163 in urinary bladder cancer cells is significantly correlated with macrophage infiltration and might have a tumor promoting impact. PMID: 29288002
- A separate measurement of the two forms of CD163 constituting 'soluble CD163' in plasma may therefore add to the diagnostic and prognostic value. PMID: 28084321
- our results suggest that MR and CD163 may be novel biomarkers for CRC detection and survival evaluation. PMID: 29226859
- Data suggest a novel pathophysiological role of CD163 in type 2 diabetes; monocyte surface CD163 levels are significantly associated with insulin resistance in patients with type 2 diabetes; the association of insulin resistance with soluble CD163 levels is less significant. This study was conducted in Japan. PMID: 29445750
- Detection of the CD163 antigen on cancer cells might be a useful marker for evaluating the clinical course of patients with clear cell renal cell carcinoma PMID: 28687956
- CD163-expression by cancer cells was significantly associated with MI and clinicopathological data. Patients with CD163-positive tumors had significantly shorter disease-free survival (DFS) after RT. PMID: 29725763
- Plasma CD163 levels were increased in obese and type 2 diabetes mellitus patients compared to controls. PMID: 28406702
- soluble CD163 is associated with markers of liver necro-inflammation and glucose homoeostasis in non-alcoholic fatty liver disease. PMID: 28715286
- The effect of LPS in the expression of CD163 and CD206 on monocytes is not reverted in LPS tolerant cells, and the inhibition of inflammatory cytokines in tolerant cells is not related with modulation of these receptors PMID: 26352275
- The cumulative incidence of de novo-onset cGVHD was higher in patients with higher plasma soluble CD163 concentrations at day 80 than those with lower concentrations (75% versus 40%, P = .018). The cumulative incidence of de novo- or quiescent-onset cGVHD did not differ statistically according to concentrations of the 3 other proteins at day 80. PMID: 28455006
- Although sCD163 level cannot predict the development of varices, it serves as a good predictor for the detection of size of varices (large varices), the need of prophylactic interventions, and risk of variceal bleeding. sCD163 level is a helpful indicator with the progression of cirrhosis and portal hypertension. PMID: 28282272
- CD163 and ferritin are biomarkers of functional outcomes in intracerebral hemorrhage. PMID: 28392117
- the simultaneous detection of both plasma sCD14 and IL-6 is a promising diagnostic approach to identify active pulmonary tuberculosis, and further, measurement of TNF-alpha and sCD163 can identify the most severe cases of tuberculosis. PMID: 27591510
- The macrophage activation marker CD163 was increased in patients with active pulmonary TB compared with age- and sex-matched control subjects. PMID: 27684274
- alveolar macrophages from asthmatic subjects have reduced cell-surface expression of CD163, which suggests that CD163 might modulate the pathogenesis of asthma PMID: 26376364
- Serum sCD163 might be a potential biomarker for predicting the severity and prognosis of PM/DM-related interstitial lung disease PMID: 28103926
- Soluble CD163 reflecting macrophage activation is associated with morphological features of non-alcoholic fatty liver disease. An independent association between sCD163 and cytokeratin-18 suggests that apoptosis may contribute to macrophage activation in NAFLD/NASH. PMID: 27102725
- Most cases of histiocytic sarcoma expressed histiocytic markers CD68 (6 of 7 cases), CD163 (5 of 5 cases), and PU.1 (3 of 4 cases). PMID: 28805986
- Within a diabetic cohort, the percentage of monocytes expressing CD163 was decreased in those subjects with complications, compared to those without complications. These changes were not accompanied by a change in gene expression. Glucocorticoids increased CD163 expression in cultured peripheral blood monocytes from non-diabetic persons. PMID: 27354410
- sCD163 was markedly elevated in autoimmune hepatitis (AIH) in the acute phase, normalised by successful treatment in complete responders, but remained higher in the incompletely responding cases. Our results demonstrate macrophage activation in AIH paralleling disease activity, severity and treatment response, suggesting a role for macrophage activation in AIH. PMID: 27679428
- High CD163 expression is associated with glomerular inflammation in lupus nephritis. PMID: 27242373
- analysis of plasma CXCL10, sCD163 and sCD14 in virological suppression and risk of cardiovascular disease PMID: 27355513
- we found that higher percentages of circulating CD14+CD204+, CD14+CD163+CD204+ M2-like monocytes were significantly associated with TNM stage, lymph node metastasis, and histological differentiation. PMID: 28639912
- CD163 expression is significantly upregulated in human masticatory mucosa during wound healing PMID: 28005267
- Soluble CD163, which is identified as a marker of inflammation and type II diabetes, is elevated in polycystic ovary syndrome. PMID: 26985764
- soluble CD163 modulates the immune response to Dermatophagoides pteronyssinus allergens potentiating anti-inflammatory, homeostatic mechanisms. PMID: 27100336
- The mean serum-soluble CD163 level was higher in the ANCA-associated renal vasculitis patients with infectious complications than in the active-vasculitis patients, inactive-vasculitis patients, and normal controls. PMID: 27094919
- we have developed a highly sensitive targeted probe capable of detecting CD163-expressing macrophages that could provide useful information about the state of the atheromatous lesions. PMID: 26616677
- A subset of CD163+ macrophages displays mixed polarizations in discoid lupus skin. PMID: 26568320
- Increased soluble CD163 blood levels in hepatocellular carcinoma patients correlates with rapid hepatocellular carcinoma progression. PMID: 26549495
- these data indicate that sCD163 is a prognostic marker in B-CLL. PMID: 25747973
- sCD163 is a sensitive marker protein for liver failure. PMID: 26339412
- CD163-positive macrophages predict outcome in follicular lymphoma, but their prognostic impact is highly dependent on treatment received. PMID: 25869385
- therapy with rituximab, cyclophosphamide and fludarabine resulted in a significant reduction in the number of non-classical CD14+CD16++ monocytes and soluble form of CD163 but upregulation of membrane-associated monocyte CD163 PMID: 26135617
- Renal graft CD163+ infiltrates correlated strongly with interstitial inflammation, tubulitis, and peritubular capillaritis. PMID: 26087825
- Higher levels of circulating monocyte-platelet aggregates are correlated with viremia and increased sCD163 levels in HIV-1 infection. PMID: 25109683
- CD-163, related to immune-system (macrophage), correlated with symptoms (pain or discomfort) of prostatic inflammation. PMID: 26045748
- The correlation of CD antigens with cytomegalovirus (CMV) antibodies in HIV positive people showed that increased CD163 but not CD14 is a marker of CMV infection. PMID: 26569178
- Soluble CD163 is increased in patients with acute pancreatitis. PMID: 26209500
- CD163 may be correlated with disease severity and the disease progression in patients with hemorrhagic fever with renal syndrome; however, the underlying mechanisms should be explored further. PMID: 25392926
- Suggest MelanA-negative spindle-cell associated melanoma constitutes a distinct inflammatory phenotype correlated with dense infiltration of CD163 macrophages and loss of E-cadherin. PMID: 25602697
- The scavenger receptor CD163 has been found to be over-expressed in Head and neck squamous cell carcinoma. PMID: 24858806
- Show a high percentage of CD163+ tumor-associated macrophages and a low percentage of S100+ dendritic cells in thymic carcinoma samples. PMID: 25499804
- CD163 is a biomarker for the clinical assessment of macrophage proliferation and activity that would help in risk prediction of bone and lung involvement and monitoring treatment response PMID: 25587690
- This study describe elevated soluble CD163 (sCD163)levels in gestational diabetes mellitus (GDM) and identify human placenta as a novel source of sCD163 suggesting that placental tissues might contribute to the increased levels of circulating sCD163 in GDM pregnancies. PMID: 24983948
- could be potentially used as an immune diagnostic marker for malignant pleural effusion PMID: 25944005
- Soluble CD163 may be a marker of "unhealthy" fat distribution in obese subjects. PMID: 25376508
- IL-8 might be involved in poor clinical outcomes via generation of CD163-positive M2 macrophages, and these factors in addition to N status might have prognostic value in patients with resectable oral squamous cell carcinoma PMID: 25461761
顯示更多
收起更多
-
亞細胞定位:[Soluble CD163]: Secreted.; Cell membrane; Single-pass type I membrane protein. Note=Isoform 1 and isoform 2 show a lower surface expression when expressed in cells.
-
組織特異性:Expressed in monocytes and mature macrophages such as Kupffer cells in the liver, red pulp macrophages in the spleen, cortical macrophages in the thymus, resident bone marrow macrophages and meningeal macrophages of the central nervous system. Expressed a
-
數據庫鏈接:
Most popular with customers
-
-
YWHAB Recombinant Monoclonal Antibody
Applications: ELISA, WB, IHC, IF, FC
Species Reactivity: Human, Mouse, Rat
-
Phospho-YAP1 (S127) Recombinant Monoclonal Antibody
Applications: ELISA, WB, IHC
Species Reactivity: Human
-
-
-
-
-















