CCT5 Antibody
-
中文名稱:CCT5兔多克隆抗體
-
貨號:CSB-PA004862ESR1HU
-
規格:¥440
-
圖片:
-
Western blot
All lanes: CCT5 antibody at 1.78µg/ml
Lane 1: Hela whole cell lysate
Lane 2: Colo320 whole cell lysate
Secondary
Goat polyclonal to rabbit IgG at 1/10000 dilution
Predicted band size: 60, 50 kDa
Observed band size: 60 kDa -
Immunohistochemistry of paraffin-embedded human testis tissue using CSB-PA004862ESR1HU at dilution of 1:100
-
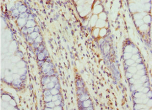
Immunohistochemistry of paraffin-embedded human colon cancer using CSB-PA004862ESR1HU at dilution of 1:100
-
Immunoprecipitating CCT5 in Hela whole cell lysate
Lane 1: Rabbit control IgG (1µg) instead of CSB-PA004862ESR1HU in Hela whole cell lysate. For western blotting, a HRP-conjugated Protein G antibody was used as the secondary antibody (1/2000)
Lane 2: CSB-PA004862ESR1HU (8µg) + Hela whole cell lysate (500µg)
Lane 3: Hela whole cell lysate (10µg)
-
-
其他:
產品詳情
-
產品名稱:Rabbit anti-Homo sapiens (Human) CCT5 Polyclonal antibody
-
Uniprot No.:
-
基因名:CCT5
-
別名:CCT 5 antibody; CCT epsilon antibody; CCT-epsilon antibody; CCT5 antibody; CCTE antibody; CCTepsilon antibody; Chaperonin containing T-complex polypeptide 1; subunit 5 antibody; Chaperonin containing TCP 1 epsilon antibody; Chaperonin containing TCP 1 subunit 5 antibody; Chaperonin containing TCP 1 subunit 5 epsilon antibody; Chaperonin containing TCP1 epsilon antibody; Chaperonin containing TCP1 subunit 5 antibody; Chaperonin containing TCP1 subunit 5 epsilon antibody; KIAA0098 antibody; T complex protein 1 epsilon subunit antibody; T complex protein 1 subunit epsilon antibody; T-complex protein 1 subunit epsilon antibody; TCP 1 epsilon antibody; TCP-1-epsilon antibody; TCP1epsilon antibody; TCPE antibody; TCPE_HUMAN antibody
-
宿主:Rabbit
-
反應種屬:Human
-
免疫原:Recombinant Human T-complex protein 1 subunit epsilon protein (1-270AA)
-
免疫原種屬:Homo sapiens (Human)
-
標記方式:Non-conjugated
-
克隆類型:Polyclonal
-
抗體亞型:IgG
-
純化方式:Antigen Affinity Purified
-
濃度:It differs from different batches. Please contact us to confirm it.
-
保存緩沖液:PBS with 0.02% sodium azide, 50% glycerol, pH7.3.
-
產品提供形式:Liquid
-
應用范圍:ELISA, WB, IHC, IP
-
推薦稀釋比:
Application Recommended Dilution WB 1:500-1:5000 IHC 1:20-1:200 IP 1:200-1:2000 -
Protocols:
-
儲存條件:Upon receipt, store at -20°C or -80°C. Avoid repeated freeze.
-
貨期:Basically, we can dispatch the products out in 1-3 working days after receiving your orders. Delivery time maybe differs from different purchasing way or location, please kindly consult your local distributors for specific delivery time.
-
用途:For Research Use Only. Not for use in diagnostic or therapeutic procedures.
相關產品
靶點詳情
-
功能:Component of the chaperonin-containing T-complex (TRiC), a molecular chaperone complex that assists the folding of proteins upon ATP hydrolysis. The TRiC complex mediates the folding of WRAP53/TCAB1, thereby regulating telomere maintenance. As part of the TRiC complex may play a role in the assembly of BBSome, a complex involved in ciliogenesis regulating transports vesicles to the cilia. The TRiC complex plays a role in the folding of actin and tubulin.
-
基因功能參考文獻:
- CCT5 complex caps mutant mHTT fibrils at their tips and encapsulates mHTT oligomers, providing a structural description of the inhibition of mHTTQ46-Ex1 by CCT5 complex and a shared mechanism of mHTT inhibition between TRiC chaperonin and the CCT5 complex PMID: 25995452
- H147R CCT5 was not as efficient in chaperoning these substrates as wild type CCT5. PMID: 25124038
- introduction of the truncated human CCT epsilon subunit into yeast cells PMID: 22232265
- A missense mutation within the CCT5 gene is associated with autosomal recessive mutilating sensory neuropathy with spastic paraplegia. PMID: 16399879
-
相關疾?。?/div>Neuropathy, hereditary sensory, with spastic paraplegia, autosomal recessive (HSNSP)亞細胞定位:Cytoplasm. Cytoplasm, cytoskeleton, microtubule organizing center, centrosome.蛋白家族:TCP-1 chaperonin family數據庫鏈接:
Most popular with customers
-
YWHAB Recombinant Monoclonal Antibody
Applications: ELISA, WB, IHC, IF, FC
Species Reactivity: Human, Mouse, Rat
-
Phospho-YAP1 (S127) Recombinant Monoclonal Antibody
Applications: ELISA, WB, IHC
Species Reactivity: Human
-
-
-
-
-
-















