CCR3 Antibody
-
中文名稱:CCR3兔多克隆抗體
-
貨號:CSB-PA262645
-
規格:¥1100
-
圖片:
-
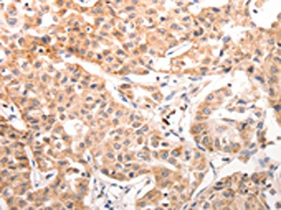
The image on the left is immunohistochemistry of paraffin-embedded Human lung cancer tissue using CSB-PA262645(CCR3 Antibody) at dilution 1/40, on the right is treated with synthetic peptide. (Original magnification: ×200)
-
Gel: 10%SDS-PAGE, Lysate: 40 μg, Lane: SKOV3 cells, Primary antibody: CSB-PA262645(CCR3 Antibody) at dilution 1/300, Secondary antibody: Goat anti rabbit IgG at 1/8000 dilution, Exposure time: 90 seconds
-
-
其他:
產品詳情
-
Uniprot No.:
-
基因名:
-
別名:CCR3; CMKBR3; C-C chemokine receptor type 3; C C CKR3; C-C CKR-3; CC-CKR-3; CCR-3; CCR3; CKR 3; CKR3; Eosinophil eotaxin receptor; CD antigen CD193
-
宿主:Rabbit
-
反應種屬:Human
-
免疫原:Synthetic peptide of Human CCR3
-
免疫原種屬:Homo sapiens (Human)
-
標記方式:Non-conjugated
-
抗體亞型:IgG
-
純化方式:Antigen affinity purification
-
濃度:It differs from different batches. Please contact us to confirm it.
-
保存緩沖液:-20°C, pH7.4 PBS, 0.05% NaN3, 40% Glycerol
-
產品提供形式:Liquid
-
應用范圍:ELISA,WB,IHC
-
推薦稀釋比:
Application Recommended Dilution ELISA 1:1000-1:5000 WB 1:200-1:1000 IHC 1:50-1:200 -
Protocols:
-
儲存條件:Upon receipt, store at -20°C or -80°C. Avoid repeated freeze.
-
貨期:Basically, we can dispatch the products out in 1-3 working days after receiving your orders. Delivery time maybe differs from different purchasing way or location, please kindly consult your local distributors for specific delivery time.
-
用途:For Research Use Only. Not for use in diagnostic or therapeutic procedures.
相關產品
靶點詳情
-
功能:Receptor for C-C type chemokine. Binds and responds to a variety of chemokines, including CCL11, CCL26, CCL7, CCL13, RANTES(CCL5) and CCL15. Subsequently transduces a signal by increasing the intracellular calcium ions level. In addition acts as a possible functional receptor for NARS1.; (Microbial infection) Alternative coreceptor with CD4 for HIV-1 infection.
-
基因功能參考文獻:
- MACs from Familial hypercholesterolemia (FH)-MACs have an inflammatory phenotype that is characterized by the up-regulation of CCR3, CCR4, and CXCR1 under the control of miR-505-3p. These results suggest a chronic inflammatory condition in FH innate immunity cells that is not reverted by standard lipid-lowering treatment PMID: 29457550
- CCR3 exists as a mixture of monomers and dimers under nearly physiological conditions. The monomeric CCR3 receptor is the minimal functional unit in cellular signal transduction. Agonists increase dimers and oligomers at high concentrations. Antagonists do not affect oligomeric status. Monomeric CCR3 exhibits a stronger chemotactic response in the migration assay of stably transfected CCR3 cells. PMID: 28994588
- Study shows that CCR3, receptor of CCL28, was highly expressed in vascular endothelial cells in lung adenocarcinoma and is targeted by CCL28 to regulate angiogenesis. PMID: 27250766
- Findings suggest that CCL11-CCR3 binding is involved in the progression of GBM. PMID: 27119233
- Data show that high mRNA expression of CCR3 was related with improved relapse-free survival in luminal-A/B. PMID: 27086913
- the expression of CCR3 on dispersed synovial tissue and peripheral blood cells in rheumatoid arthritis, was investigated. PMID: 27495116
- Chemokine receptors CCR3 and CCR4, and the mucosa specific chemokine CCL28 have predominant roles in oral wound healing by increasing human gingiva fibroblast proliferation, migration, and the secretion of IL-6 and HGF and reducing the secretion of TIMP-1. PMID: 28387445
- simvastatin was demonstrated to inhibit IL-5-induced CCR3 expression and chemotaxis of eosinophils mediated via the mevalonate pathway. PMID: 27275740
- Data indicate that approximately 4.5% dispersed osteoarthritis (OA) synovial tissue cells are CC chemokine receptor CCR 3 (CCR3)+ cells. PMID: 26409848
- This meta-analysis provides robust estimates that interleukin 18 receptor accessory protein rs917997 and chemokine (C-C motif) receptor 3 rs6441961 are potential risk factors for celiac disease in European populations. PMID: 26289103
- Periprostatic adipocytes drive prostate cancer progression in obesity via CCL7 secretion which stimulates CCR3 expressing tumor cells. PMID: 26756352
- Results show the structure of CCL11 bound to the sulfated N-terminal region of its receptor CCR3 and show that intact CCR3 is sulfated and sulfation enhances receptor activity. PMID: 25450766
- CCL28-CCR3 interactions are involved in the homeostatic trafficking of CD4(+) T cells to the upper airways. PMID: 24917456
- In vitro chemotaxis assay indicates dominant role of RANTES and IP-10 in the selective recruitment of CXCR3(+)CCR5(+)cells at the tubercular pathologic sites. PMID: 23643185
- CCR3-driven communication pathways from the epidermis to the dermis may modulate tissue remodeling in atopic skin inflammation. PMID: 23702389
- Retinoic acids up-regulate functional eosinophil-driving receptor CCR3. PMID: 23742077
- CCR3 demonstrates adequate sensitivity (83%) but weak specificity (59%) in its ability to reliably identify histamine-releasing activated basophils. PMID: 23955446
- Chemokine CCR3 ligands-binding peptides derived from a random phage-epitope library. PMID: 23183094
- Different GATA factors dictate CCR3 transcription in allergic inflammatory cells in a cell type-specific manner. PMID: 23636060
- rs3091250 single nucleotide polymorphism for CCR3 was found to be associated with age-related macular degeneration. PMID: 23566847
- CCR3 is strongly expressed by ASM cells in vitro and in vivo. Protection against cell death by CCR3 activation is dependent on p42/44 MAPK but does not affect caspase 3 mediated apoptosis. PMID: 22702503
- Methylation of CpG sites at the GATA elements in the regulatory regions fine-tunes CCR3 transcription. PMID: 22217447
- Cross-talk between CCR3 and VEGF signaling exists and may be important in choroidal neovascularization in human age-related macular degeneration. PMID: 21917937
- These results suggest that pulmonary epithelial CCR3 be involved in progression of lipopolysaccharide-induced lung inflammation by mediating release of IL-8. PMID: 21660963
- Data show that expression levels of CCL11 and CCR3 mRNA in the lesional skin of ALCL were significantly higher than those in normal skin. PMID: 21406396
- Leucocyte of children with infectious mononucleosis expressed higher level of CCR3 and lower level of CCR5. PMID: 21280323
- GATA-1 controls CCR3 transcription by interacting dynamically with multiple GATA sites in the regulatory region of the CCR3 gene. PMID: 21041734
- CCR3 expression in T-cells and the colon is increased in ulcerative colitis compared to inflammatory bowel disease and controls. PMID: 21077277
- CCR3 is differentially expressed on inflammatory cells in rheumatoid arthritis, while eotaxin-2, a potent CCR3 agonist, is differentially expressed in active disease. PMID: 20659406
- CCR3 genetic polymorphisms may contribute to the development of the aspirin exacerbated respiratory disease phenotype and may be used as a genetic marker for differentiating between the two major aspirin hypersensitivity phenotypes. PMID: 20022477
- interaction of eotaxins and CCR3 regulates the Th2-dominant tumor environment, which is closely related to the development of cutaneous T-cell lymphoma PMID: 20505746
- The T17C chemokine receptor 3 polymorphism appears to be associated with asthma BHR and disease severity but not with atopy. PMID: 20726325
- The present data are of interest with regard to the potential use of AZD3778 in allergic rhinitis and to the relative importance of eosinophil actions to the symptomatology of allergic rhinitis. PMID: 20144207
- data support the role of DCs in differential regulation of CCR3 and CCR4 on CD4+ T cells from HDM-sensitive and non-atopic asthmatics after Der p 1 exposure. PMID: 20364559
- Data show that both plasma eotaxin level and expression of CCR3 on CD4+ T cells were higher in allergic patients than controls in different types of allergy. PMID: 20306659
- Alanine scanning mutagenesis of CCR3 reveals that the three intracellular loops are essential for functional receptor expression. PMID: 11920572
- bronchial expression up-regulated in exacerbations of chronic bronchitis PMID: 11991282
- demonstrated that CCR3 is absent from the testes PMID: 11994538
- downstream promoter element dependent, general transcription control mechanism is conserved between Drosophila and human genes PMID: 12079287
- CCR3 is expressed by dendritic cells (DCs) differentiated from blood monocytes, DCs that emigrate from skin (epidermal and dermal DCs), and DCs derived from CD34+ hemopoietic precursors in bone marrow, umbilical cord blood, and leukapheresis collection. PMID: 12218106
- results suggest that expression of chemokine receptor 3(CCR3) and its ligand eotaxin/CCL11 plays a role in the recruitment and retention of CD30(+) malignant T cells to the skin PMID: 12393570
- This protein mobilizes to the surface of human mast cells and potentiates immunoglobulin E-dependent generation of interleukin 13. PMID: 12654630
- Eosinophil CCR3 expression between atopic individuals does not correlate with atopy or serum IgE levels, nor is the status of macrophage-inflammatory protein-1alpha-highly responsive donors associated with increased chemattractant receptor expression. PMID: 12794150
- eosinophil responses mediated by chemokines acting at CCR3 may be regulated by two distinct mechanisms: the antagonistic effects of CXCR3 ligands and the sequestration of CCL11 by CXCR3-expressing cells PMID: 12884299
- Ligation of CCR3 by eotaxin/chemokine ligand (CCL) 11 induces apoptosis in IL-2- and IL-4-stimulated primary CD19+ B cell cultures (approximately 40% apoptotic cells) as well as B cell lines, but has no effect on chemotaxis or cell adhesion. PMID: 12902471
- Single nucleotide polymorphism is not associated with atopic dermatitis in Japanese. PMID: 14581140
- the two N-terminal motifs of eotaxin must cooperate with other regions to successfully bind and activate CCR3 PMID: 14733956
- examination of the role of epidermal growth factor receptor in CCR3 signaling PMID: 15219825
- multiple residues on multiple extracellular domains of hCCR3 are important for coreceptor activity for HIV-1. PMID: 15476879
- the restoration of CRTH2(chemoattractant receptor-homologous molecule expressed on Th2 cells)/CCR3 expression may be an indicator for optimal recovery after septic shock PMID: 15507393
顯示更多
收起更多
-
亞細胞定位:Cell membrane; Multi-pass membrane protein.
-
蛋白家族:G-protein coupled receptor 1 family
-
組織特異性:In eosinophils as well as trace amounts in neutrophils and monocytes.
-
數據庫鏈接:
Most popular with customers
-
-
YWHAB Recombinant Monoclonal Antibody
Applications: ELISA, WB, IHC, IF, FC
Species Reactivity: Human, Mouse, Rat
-
Phospho-YAP1 (S127) Recombinant Monoclonal Antibody
Applications: ELISA, WB, IHC
Species Reactivity: Human
-
-
-
-
-















